相关产品推荐更多 >

GRM1 Rabbit pAb, RBITC conjugated(bs-12011R-RBITC)-100ul
¥2980
C6orf115 Rabbit pAb(bs-15214R)-50ul/100ul/200ul
¥1180
CCL26 Rabbit pAb, PerCP conjugated(bs-15512R-PerCP)-100ul
¥2980
NFAT1 Rabbit pAb, BF405 conjugated(bs-4246R-BF405)-100ul
¥2980
phospho-c-Kit (Tyr823) Rabbit pAb, Cy3 conjugated(bs-12915R-Cy3)-100ul
¥2980
万千商家帮你免费找货
0 人在求购买到急需产品
- 详细信息
- 文献和实验
- 技术资料
- 应用范围:
产品信息以Bioss网站为准
- 规格:
50ul/100ul/200ul
| 规格: | 50ul | 产品价格: | ¥1180.0 |
|---|---|---|---|
| 规格: | 100ul | 产品价格: | ¥1980.0 |
| 规格: | 200ul | 产品价格: | ¥2800.0 |
| 产品编号 | bs-0151R |
| 英文名称 | Caspase-6 Rabbit pAb |
| 中文名称 | 半胱胺酸蛋白酶蛋白-6前体蛋白抗体 |
| 英文别名 | Apoptosis-related cysteine protein; Apoptosis Related Cysteine Protease; Apoptotic cysteine protease MCH2; Apoptotic protease MCH 2; Apoptotic protease MCH2; Casp 6; Casp6; Caspase 6 apoptosis related cysteine protease; Caspase 6 precursor; Caspase6; Human cysteine protease Mch2 isoform alpha; Mch 2; Mch2; CASP6_HUMAN. |
| 产品应用 | IHC-P=1:100-500, IHC-F=1:100-500, IF=1:100-500, Flow-Cyt=2ug/Test Not yet tested in other applications. |
| 交叉反应 | Human (Mouse, Rat) |
| 抗体来源 | Rabbit |
| 免疫原 | KLH conjugated synthetic peptide derived from human Caspase-6 |
| 亚型 | IgG |
| 性状 | Liquid |
| 纯化方法 | affinity purified by Protein A |
| 克隆类型 | Polyclonal |
| 理论分子量 | 33 kDa |
| 浓度 | 1mg/ml |
| 储存液 | 0.01M TBS (pH7.4) with 1% BSA, 0.02% Proclin300 and 50% Glycerol. |
| 研究领域 | Cancer > Cell Death > Apoptosis > Apoptosis Markers > Caspases Cancer > Cell Death > Apoptosis > Metabolism Cancer > Invasion/microenvironment > Apoptosis > Caspases Cell Biology > Apoptosis > Intracellular > Caspases etc > Caspases Metabolism > Pathways and Processes > Metabolism processes > Apoptosis Neuroscience > Neurology process > Neurodegenerative disease > Alzheimer's disease |
| 亚基 | Heterotetramer that consists of two anti-parallel arranged heterodimers, each one formed by a 18 kDa (p18) and a 11 kDa (p11) subunit. Interacts with BIRC6/bruce. |
| 亚细胞定位 | Cytoplasm. |
| 翻译后修饰 | Cleavages by caspase-3, caspase-8 or -10 generate the two active subunits. |
| 相似性 | Belongs to the peptidase C14A family. |
| 功能 | Involved in the activation cascade of caspases responsible for apoptosis execution. Cleaves poly(ADP-ribose) polymerase in vitro, as well as lamins. Overexpression promotes programmed cell death. |
| 保存条件 | Shipped at 4℃. Store at -20℃ for one year. Avoid repeated freeze/thaw cycles. |
| 注意事项 | This product as supplied is intended for research use only, not for use in human, therapeutic or diagnostic applications. |
| 背景资料 | This gene encodes a protein which is a member of the cysteine-aspartic acid protease (caspase) family. Sequential activation of caspases plays a central role in the execution-phase of cell apoptosis. Caspases exist as inactive proenzymes which undergo proteolytic processing at conserved aspartic residues to produce two subunits, large and small, that dimerize to form the active enzyme. This protein is processed by caspases 7, 8 and 10, and is thought to function as a downstream enzyme in the caspase activation cascade. Alternative splicing of this gene results in two transcript variants that encode different isoforms. [provided by RefSeq, Jul 2008] |
| 应用 | 推荐稀释比例 |
| {IHC-P} | {1:100-500} |
| {IHC-F} | {1:100-500} |
| {IF} | {1:100-500} |
| {Flow-Cyt} | {2ug/Test} |

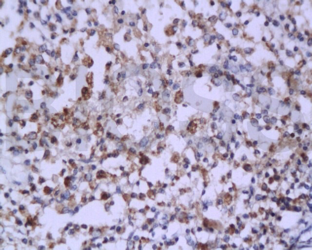
Antigen retrieval: citrate buffer ( 0.01M, pH 6.0 ), Boiling bathing for 15min; Block endogenous peroxidase by 3% Hydrogen peroxide for 30min; Blocking buffer (normal goat serum,C-0005) at 37℃ for 20 min;
Incubation: Anti-Caspase-6 Polyclonal Antibody, Unconjugated(bs-0151R) 1:200, overnight at 4°C, followed by conjugation to the secondary antibody(SP-0023) and DAB(C-0010) staining

Antigen retrieval: citrate buffer ( 0.01M, pH 6.0 ), Boiling bathing for 15min; Block endogenous peroxidase by 3% Hydrogen peroxide for 30min; Blocking buffer (normal goat serum,C-0005) at 37℃ for 20 min;
Incubation: Anti-Caspase-6 Polyclonal Antibody, Unconjugated(bs0151R) 1:200, overnight at 4°C, followed by conjugation to the secondary antibody(SP-0023) and DAB(C-0010) staining

Primary Antibody (green line): Rabbit Anti-Caspase-6 antibody (bs-0151R)
Dilution: 2ug/Test;
Secondary Antibody : Goat anti-rabbit IgG-FITC
Dilution: 0.5ug/Test.
Protocol
The cells were fixed with 4% PFA (10min at room temperature)and then permeabilized with 90% ice-cold methanol for 20 min at -20℃.The cells were then incubated in 5%BSA to block non-specific protein-protein interactions for 30 min at room temperature .Cells stained with Primary Antibody for 30 min at room temperature. The secondary antibody used for 40 min at room temperature. Acquisition of 20,000 events was performed.
风险提示:丁香通仅作为第三方平台,为商家信息发布提供平台空间。用户咨询产品时请注意保护个人信息及财产安全,合理判断,谨慎选购商品,商家和用户对交易行为负责。对于医疗器械类产品,请先查证核实企业经营资质和医疗器械产品注册证情况。
文献和实验[IF={{ 4.8 }}] {Yali Deng. et al. Knocking down macrophages Caspase-6 through HMGB1 coordinates macrophage trophoblast crosstalk to suppress ferroptosis and alleviate preeclampsia. INT IMMUNOPHARMACOL. 2024 Oct;140:112859} {IF} {Rat}
= NAL), appears to form upon oxidative cyclization of the nonfluorescent 2:1 lysine-HNE Michael adduct-Schiff base cross-link (Scheme 1). Polyclonal antibody (PAb) to the NAL-HNE fluorophore was raised in rabbit and found to be highly specific
) ELISA 48T/96T 1500/2500 进口分装 F0148 可溶性白介素-18 受体 (sIL-18R) ELISA 48T/96T 1500/2500 进口分装 F0149 白介素-19(IL-19) ELISA 48T/96T 1500/2500 进口分装 F0150 白介素-20(IL-20) ELISA 48T/96T 1500/2500 进口分装 F0151 白介素-21(IL-21) ELISA 48T/96
) ELISA 48T/96T 1500/2500 进口分装 F0148 可溶性白介素-18 受体 (sIL-18R) ELISA 48T/96T 1500/2500 进口分装 F0149 白介素-19(IL-19) ELISA 48T/96T 1500/2500 进口分装 F0150 白介素-20(IL-20) ELISA 48T/96T 1500/2500 进口分装 F0151 白介素-21(IL-21) ELISA 48T/96
技术资料暂无技术资料 索取技术资料






