相关产品推荐更多 >

Cadherin 16 Rabbit pAb(bs-24303R)-50ul/100ul/200ul
¥1180
Fbx32 Rabbit pAb, PerCP-Cy7 conjugated(bs-2591R-PerCP-Cy7)-100ul
¥2980
HER2 Rabbit pAb, Biotin conjugated(bs-2156R-Bio)-100ul
¥2980
TFDP3 Rabbit pAb(bs-6400R)-50ul/100ul/200ul
¥1180
CHRM4 Rabbit pAb, APC-Cy5.5 conjugated(bs-11998R-APC-Cy5.5)-100ul
¥2980
万千商家帮你免费找货
0 人在求购买到急需产品
- 详细信息
- 文献和实验
- 技术资料
- 应用范围:
产品信息以Bioss网站为准
- 规格:
50ul/100ul/200ul
| 规格: | 50ul | 产品价格: | ¥1180.0 |
|---|---|---|---|
| 规格: | 100ul | 产品价格: | ¥1980.0 |
| 规格: | 200ul | 产品价格: | ¥2800.0 |
| 产品编号 | bs-3794R |
| 英文名称 | ANO1/DOG1 Rabbit pAb |
| 中文名称 | 跨膜蛋白16A/钙激活氯离子通道抗体 |
| 英文别名 | ANO 1; ANO1_HUMAN; Anoctamin 1; Anoctamin 1 calcium activated chloride channel; Anoctamin-1; Anoctamin1; Discovered on gastrointestinal stromal tumors protein 1; DOG 1; DOG1; FLJ10261; Membrane protein; Oral cancer overexpressed 2; Oral cancer overexpressed protein 2; ORAOV 2; ORAOV2; TAOS 2; TAOS2; TMEM 16A; TMEM16A; Transmembrane protein 16A(eight membrane spanning domains); Transmembrane protein 16A; Tumor amplified and overexpressed sequence 2; Tumor-amplified and overexpressed sequence 2. |
| 产品应用 | WB=1:500-2000, IHC-P=1:100-500, IHC-F=1:100-500, IF=1:100-500 Not yet tested in other applications. |
| 交叉反应 | Human, Mouse, Rat (Dog, Pig, Cow, Horse) |
| 抗体来源 | Rabbit |
| 免疫原 | KLH conjugated synthetic peptide derived from human DOG-1/TMEM16A |
| 亚型 | IgG |
| 性状 | Liquid |
| 纯化方法 | affinity purified by Protein A |
| 克隆类型 | Polyclonal |
| 理论分子量 | 114 kDa |
| 浓度 | 1mg/ml |
| 储存液 | 0.01M TBS (pH7.4) with 1% BSA, 0.02% Proclin300 and 50% Glycerol. |
| 研究领域 | Tags & Cell Markers > Cell Type Markers > Tumor Associated |
| 亚细胞定位 | Cell membrane; Multi-pass membrane protein. Cytoplasm. |
| 组织特异性 | Broadly expressed with higher levels in liver and skeletal muscle. |
| 相似性 | Belongs to the anoctamin family. |
| 功能 | Acts as a calcium-activated chloride channel. Required for normal tracheal development (By similarity). |
| 保存条件 | Shipped at 4℃. Store at -20℃ for one year. Avoid repeated freeze/thaw cycles. |
| 注意事项 | This product as supplied is intended for research use only, not for use in human, therapeutic or diagnostic applications. |
| 背景资料 | TMEM16A (Transmembrane protein 16A) is an eight-transmembrane protein homologous to C12orf3, C11orf25 and FLJ34272 gene products and is amplified in various cancers. It acts as a calcium-activated chloride channel and is required for normal tracheal development. |
| 应用 | 推荐稀释比例 |
| {WB} | {1:500-2000} |
| {IHC-P} | {1:100-500} |
| {IHC-F} | {1:100-500} |
| {IF} | {1:100-500} |

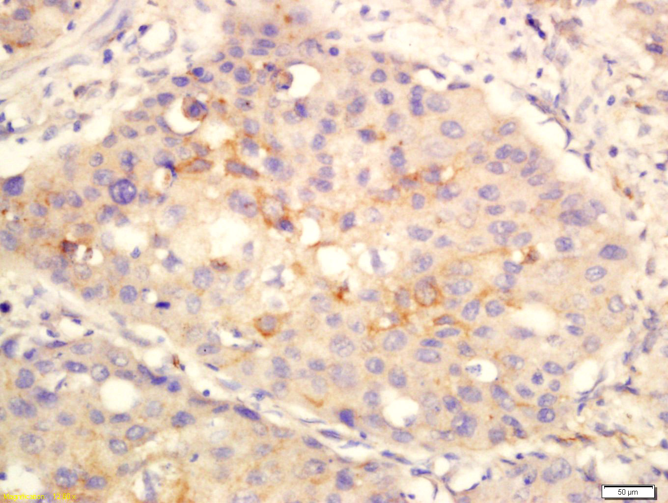
Antigen retrieval: citrate buffer ( 0.01M, pH 6.0 ), Boiling bathing for 15min; Block endogenous peroxidase by 3% Hydrogen peroxide for 30min; Blocking buffer (normal goat serum,C-0005) at 37℃ for 20 min;
Incubation: Anti-TMEM16A Polyclonal Antibody, Unconjugated(bs-3794R) 1:200, overnight at 4°C, followed by conjugation to the secondary antibody(SP-0023) and DAB(C-0010) staining

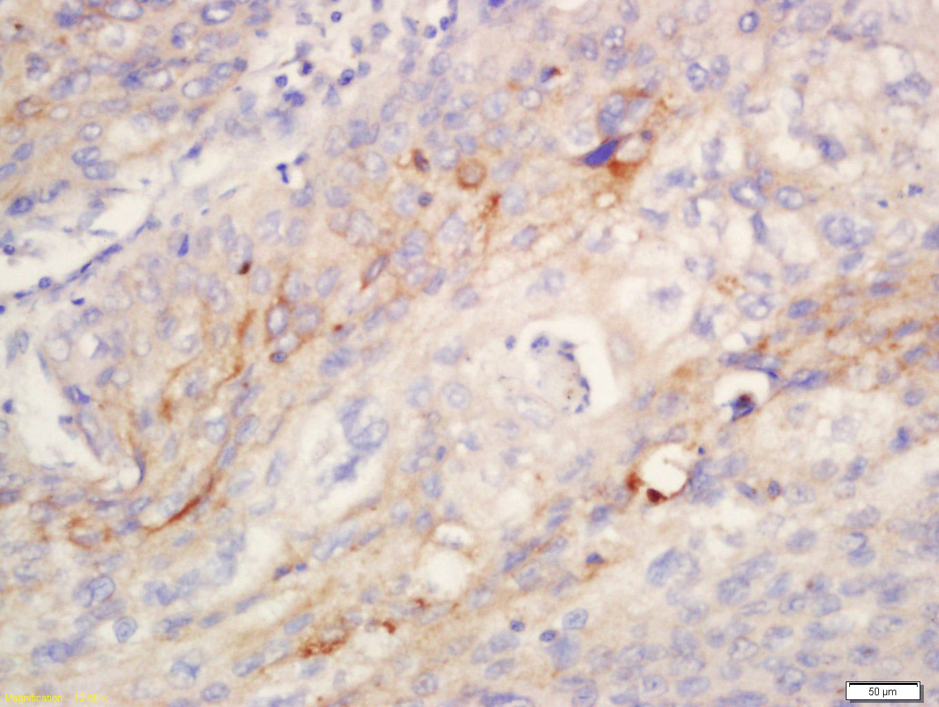
Antigen retrieval: citrate buffer ( 0.01M, pH 6.0 ), Boiling bathing for 15min; Block endogenous peroxidase by 3% Hydrogen peroxide for 30min; Blocking buffer (normal goat serum,C-0005) at 37℃ for 20 min;
Incubation: Anti-TMEM16A Polyclonal Antibody, Unconjugated(bs-3794R) 1:200, overnight at 4°C, followed by conjugation to the secondary antibody(SP-0023) and DAB(C-0010) staining

Lane 1: Skeletal muscle (Mouse) Lysate at 40 ug
Lane 2: Skeletal muscle (Rat) Lysate at 40 ug
Lane 3: HepG2 (Human) Cell Lysate at 30 ug
Lane 4: A673 (Human) Cell Lysate at 30 ug
Lane 5: U-2OS (Human) Cell Lysate at 30 ug
Lane 6: MKN45 (Human) Cell Lysate at 30 ug
Primary: Anti-ANO1/TMEM16A (bs-3794R) at 1/1000 dilution
Secondary: IRDye800CW Goat Anti-Rabbit IgG at 1/20000 dilution
Predicted band size: 114-120 kD
Observed band size: 120 kD
风险提示:丁香通仅作为第三方平台,为商家信息发布提供平台空间。用户咨询产品时请注意保护个人信息及财产安全,合理判断,谨慎选购商品,商家和用户对交易行为负责。对于医疗器械类产品,请先查证核实企业经营资质和医疗器械产品注册证情况。
文献和实验= NAL), appears to form upon oxidative cyclization of the nonfluorescent 2:1 lysine-HNE Michael adduct-Schiff base cross-link (Scheme 1). Polyclonal antibody (PAb) to the NAL-HNE fluorophore was raised in rabbit and found to be highly specific
. Retrieved 2010-11-29. ^ Nielsen BS, Jørgensen S, Fog JU, Søkilde R, Christensen IJ, Hansen U, Brünner N, Baker A, Møller S, Nielsen HJ (October 2010). "High levels of microRNA-21 in the stroma of colorectal cancers predict short disease-free survival
+oieSKeKcgxGinlRPl7uja5iYeDdc+K3eZhXhIOHOy+p9cxrGU9WCTkVcT5iRR/BsR+N0IDPSu3x0pXo0IRAQiAhGBiEBE4ABCwPnwbu0wGmW8ULj7NRb20DLRYqFW1Up6ODBube+wknwaZ5w/y92bXLbV5K3CJ+hhzKwdSHCmVrada2Qy0eyxvi0r7Lkl99ukcaOkRe60Sj82E8qgnmxNtzHGRRyZQtf1g41GIMau5W7ITlqbiDRR0CA3tPhIsEdmP5hZ
技术资料暂无技术资料 索取技术资料






