相关产品推荐更多 >
万千商家帮你免费找货
0 人在求购买到急需产品
- 详细信息
- 文献和实验
- 技术资料
- 应用范围:
产品信息以Bioss网站为准
- 规格:
50ul/100ul/200ul
| 规格: | 50ul | 产品价格: | ¥1180.0 |
|---|---|---|---|
| 规格: | 100ul | 产品价格: | ¥1980.0 |
| 规格: | 200ul | 产品价格: | ¥2800.0 |
| 产品编号 | bs-1562R |
| 英文名称 | Annexin A1 Rabbit pAb |
| 中文名称 | 膜粘连蛋白A1抗体 |
| 英文别名 | Annexin I; AnnexinA1; AnnexinI; ANX 1; ANX A1; ANX1; ANXA 1; ANXA1; ANXA1 protein; Calpactin II; CalpactinII; Chromobindin 9; Chromobindin9; HGNC:533; Lipocortin 1; Lipocortin I; Lipocortin1; LipocortinI; LPC 1; LPC1; p35; phospholipase A2 inhibitory protein; ANXA1_HUMAN. |
| 产品应用 | WB=1:500-2000, IHC-P=1:100-500, IHC-F=1:100-500, ICC/IF=1:100-500, IF=1:100-500 Not yet tested in other applications. |
| 交叉反应 | Human, Rat (Mouse, Pig, Cow, Horse, Rabbit) |
| 抗体来源 | Rabbit |
| 免疫原 | KLH conjugated synthetic peptide derived from human Annexin A1 |
| 亚型 | IgG |
| 性状 | Liquid |
| 纯化方法 | affinity purified by Protein A |
| 克隆类型 | Polyclonal |
| 理论分子量 | 39 kDa |
| 浓度 | 1mg/ml |
| 储存液 | 0.01M TBS (pH7.4) with 1% BSA, 0.02% Proclin300 and 50% Glycerol. |
| 研究领域 | Signal Transduction > Cytoskeleton / ECM > Cell Adhesion > Annexins Signal Transduction > Signaling Pathway > Calcium Signaling Signal Transduction > Signaling Pathway > Lipid Signaling |
| 亚基 | Homodimer in placenta (20%); linked by transglutamylation. Interacts with DYSF (By similarity). |
| 亚细胞定位 | Nucleus (By similarity). Cytoplasm (By similarity). Cell projection, cilium (By similarity). Basolateral cell membrane (By similarity). Note=Found in the cilium, nucleus and basolateral cell membrane of ciliated cells in the tracheal endothelium (By similarity). Found in the cytoplasm of type II pneumocytes and alveolar macrophages (By similarity). |
| 翻译后修饰 | Phosphorylated by protein kinase C, epidermal growth factor receptor/kinase and TRPM7. Phosphorylation results in loss of the inhibitory activity. |
| 相似性 | Belongs to the annexin family. Contains 4 annexin repeats. |
| 功能 | Calcium/phospholipid-binding protein which promotes membrane fusion and is involved in exocytosis. This protein regulates phospholipase A2 activity. It seems to bind from two to four calcium ions with high affinity. |
| 保存条件 | Shipped at 4℃. Store at -20℃ for one year. Avoid repeated freeze/thaw cycles. |
| 注意事项 | This product as supplied is intended for research use only, not for use in human, therapeutic or diagnostic applications. |
| 背景资料 | This gene encodes a protein that belongs to a family of Ca(2+) dependent phospholipid binding proteins which have a molecular weight of approximately 35,000 to 40,000 and are preferentially located on the cytosolic face of the plasma membrane. Annexin I protein has an apparent relative molecular mass of 40 kDa, with phospholipase A2 inhibitory activity. Since phospholipase A2 is required for the biosynthesis of the potent mediators of inflammation, prostaglandins and leukotrienes, annexin I may have potential anti inflammatory activity. |
| 应用 | 推荐稀释比例 |
| {WB} | {1:500-2000} |
| {IHC-P} | {1:100-500} |
| {IHC-F} | {1:100-500} |
| {ICC/IF} | {1:100-500} |
| {IF} | {1:100-500} |


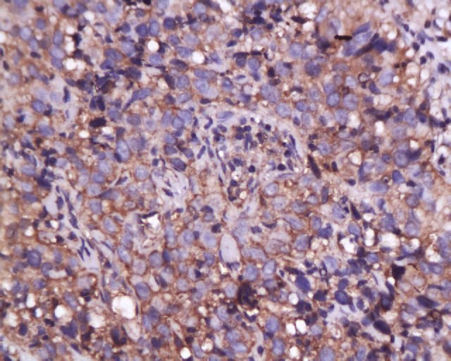
Antigen retrieval: citrate buffer ( 0.01M, pH 6.0 ), Boiling bathing for 15min; Block endogenous peroxidase by 3% Hydrogen peroxide for 30min; Blocking buffer (normal goat serum,C-0005) at 37鈩� for 20 min;
Incubation: Anti-Annexin A1 Polyclonal Antibody, Unconjugated(bs-1562R) 1:200, overnight at 4掳C, followed by conjugation to the secondary antibody(SP-0023) and DAB(C-0010) staining

Lane1: Kidney(Rat) Lysate at 30 ug
Lane2: Brain(Rat) Lysate at 30 ug
Primary: Anti-Annexin A1 (bs-1562R) at 1:200 dilution;
Secondary: HRP conjugated Goat Anti-Rabbit IgG(bs-0295G-HRP) at 1: 3000 dilution;
Predicted band size : 39kD
Observed band size : 40kD
风险提示:丁香通仅作为第三方平台,为商家信息发布提供平台空间。用户咨询产品时请注意保护个人信息及财产安全,合理判断,谨慎选购商品,商家和用户对交易行为负责。对于医疗器械类产品,请先查证核实企业经营资质和医疗器械产品注册证情况。
文献和实验[IF={{ 3.35 }}] {Li, Yangguang, et al. "Glycoproteomic analysis of tissues from patients with colon cancer using lectin microarrays and nanoLC-MS/MS." Mol. BioSyst. (2013).} {WB} {="Human"}
[IF={{ 2.46 }}] {Wang, Zhong-Chao, et al. "2D-DIGE proteomic analysis of changes in estrogen/progesterone-induced rat breast hyperplasia upon treatment with the Mongolian remedy RuXian-I." Molecules 16.4 (2011): 3048-3065.} {Other} {="Rat"}
技术资料暂无技术资料 索取技术资料









