相关产品推荐更多 >

CD69 Rabbit pAb, PerCP-Cy7 conjugated(bs-2499R-PerCP-Cy7)-100ul
¥2980
Deltex 1 Rabbit pAb, BF488 conjugated(bs-0399R-BF488)-100ul
¥2980
SARA Rabbit pAb(bs-19393R)-50ul/100ul/200ul
¥1180
BCL2L1 Rabbit pAb, PE conjugated(bs-1336R-PE)-100ul
¥2980
Anti-human MRC2 / CD280 (Quark Patent Anti-Endo180 Biosimilar)(BIO0919SM)-1mg/5mg/20mg
¥3200
万千商家帮你免费找货
0 人在求购买到急需产品
- 详细信息
- 文献和实验
- 技术资料
- 应用范围:
产品信息以Bioss网站为准
- 规格:
50ul/100ul/200ul
| 规格: | 50ul | 产品价格: | ¥1180.0 |
|---|---|---|---|
| 规格: | 100ul | 产品价格: | ¥1980.0 |
| 规格: | 200ul | 产品价格: | ¥2800.0 |
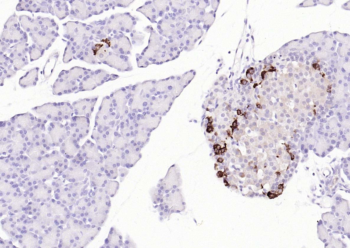
| 产品编号 | bs-3806R |
| 英文名称 | PGP9.5 Rabbit pAb |
| 中文名称 | 神经细胞胞浆蛋白9.5/蛋白基因产物9.5抗体 |
| 英文别名 | Gracile axonal dystrophy; Neuron cytoplasmic protein 9.5; Park 5; Park5; Parkinson Disease 5; PGP 9.5; PGP95; Protein gene product 9.5; Ubiquitin C terminal esterase L1; Ubiquitin C terminal hydrolase(neuron specific); Ubiquitin C terminal hydrolase; Ubiquitin carboxyl terminal esterase L1; Ubiquitin carboxyl terminal hydrolase isozyme L1; Ubiquitin carboxyl-terminal hydrolase isozyme L1; Ubiquitin thioesterase L1; Ubiquitin thiolesterase; Ubiquitin thiolesterase L1; UCH L1; UCH-L1; UCHL1; UCHL1_HUMAN. |
| 产品应用 | IHC-P=1:100-500, IHC-F=1:100-500, IF=1:100-500 Not yet tested in other applications. |
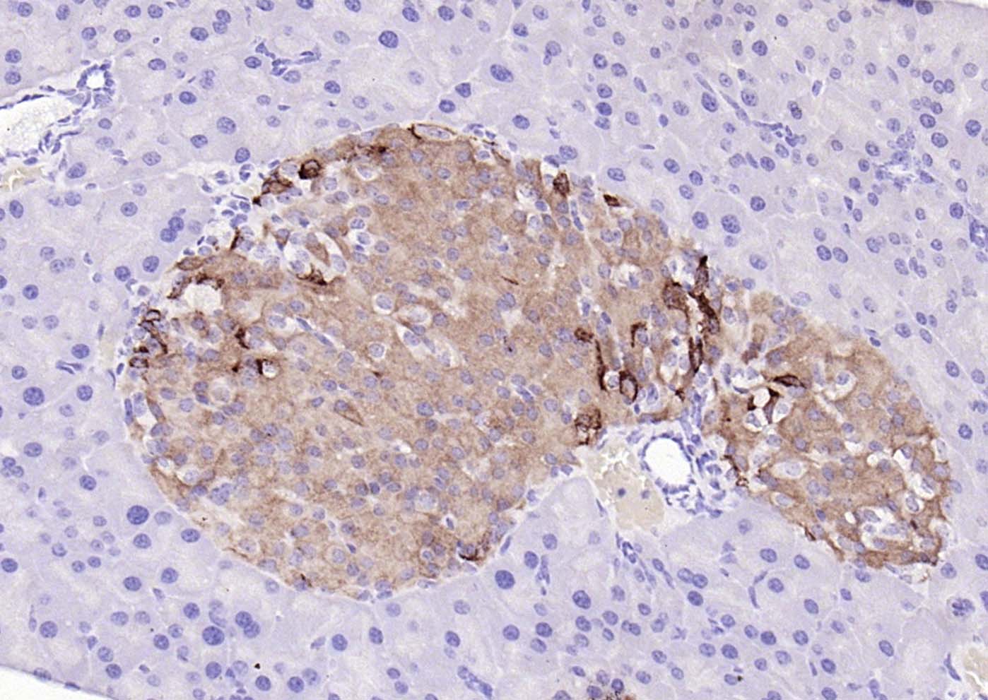
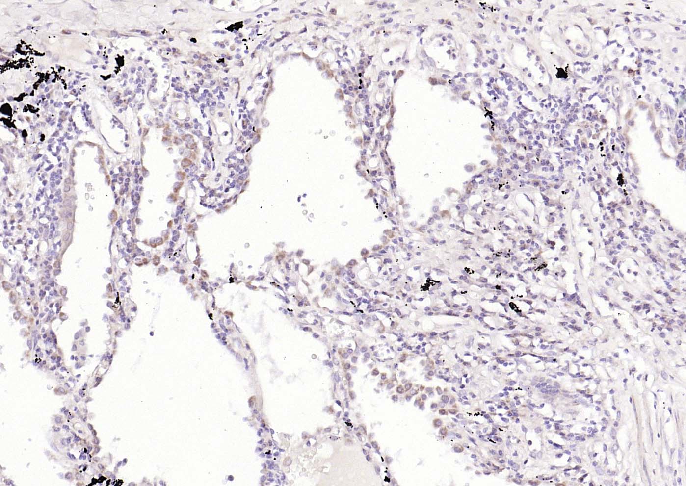
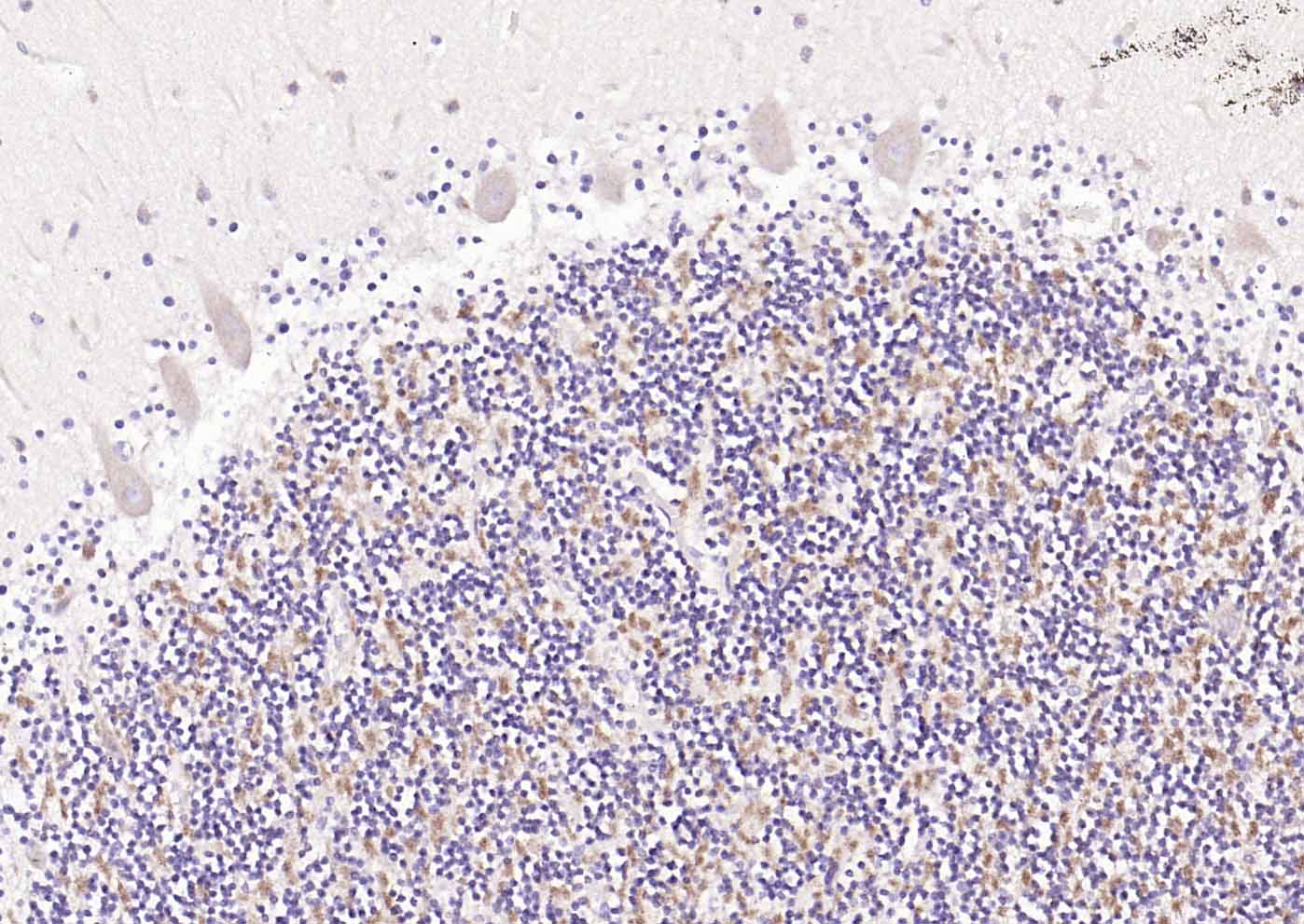
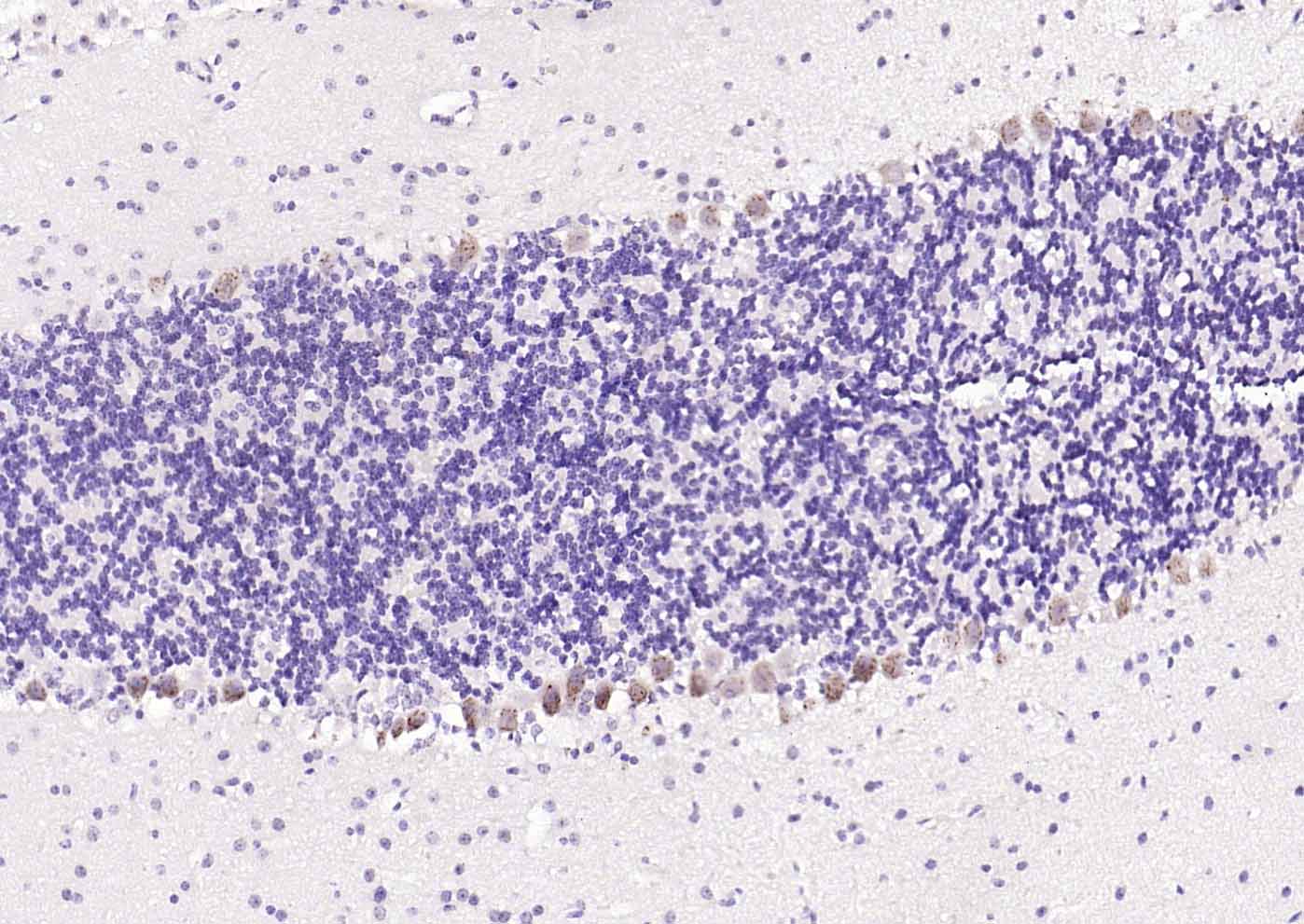
| 交叉反应 | Human, Mouse, Rat, cerebellum, cerebellum, cerebellum, cerebellum, pancreas, pancreas, pancreas, pancreas, human lung carcinoma, human lung carcinoma, human lung carcinoma, human lung carcinoma, cerebellum, cerebellum, cerebellum, Cerebrum, Cerebrum, Cerebrum, Cerebrum, cerebellum, cerebellum, cerebellum, pancreas, pancreas, pancreas (Pig, Cow, Horse, GuineaPig) |
| 抗体来源 | Rabbit |
| 免疫原 | KLH conjugated synthetic peptide derived from human PGP95 |
| 亚型 | IgG |
| 性状 | Liquid |
| 纯化方法 | affinity purified by Protein A |
| 克隆类型 | Polyclonal |
| 理论分子量 | 25 kDa |
| 浓度 | 1mg/ml |
| 储存液 | 0.01M TBS (pH7.4) with 1% BSA, 0.02% Proclin300 and 50% Glycerol. |
| 亚基 | Monomer. Homodimer. Interacts with SNCA (By similarity). Interacts with COPS5. |
| 亚细胞定位 | Cytoplasm. Endoplasmic reticulum membrane. About 30% of total UCHL1 is associated with membranes in brain. |
| 组织特异性 | Found in neuronal cell bodies and processes throughout the neocortex (at protein level). Expressed in neurons and cells of the diffuse neuroendocrine system and their tumors. Weakly expressed in ovary. Down-regulated in brains from Parkinson disease and Alzheimer disease patients. |
| 翻译后修饰 | O-glycosylated. |
| 相似性 | Belongs to the peptidase C12 family. |
| 功能 | Ubiquitin-protein hydrolase involved both in the processing of ubiquitin precursors and of ubiquitinated proteins. This enzyme is a thiol protease that recognizes and hydrolyzes a peptide bond at the C-terminal glycine of ubiquitin. Also binds to free monoubiquitin and may prevent its degradation in lysosomes. The homodimer may have ATP-independent ubiquitin ligase activity. |
| 保存条件 | Shipped at 4℃. Store at -20℃ for one year. Avoid repeated freeze/thaw cycles. |
| 注意事项 | This product as supplied is intended for research use only, not for use in human, therapeutic or diagnostic applications. |
| 背景资料 | catalyzes the hydrolysis of ubiquitin carboxy-terminal thiolesters to form ubiquitin and a thiol; may play a role in neuropathic pain [RGD].Found in neuronal cell bodies and processes throughout the neocortex (at protein level). Expressed in neurons and cells of the diffuse neuroendocrine system and their tumors. Weakly expressed in ovary. Down-regulated in brains from Parkinson disease and Alzheimer disease patients. |
| 应用 | 推荐稀释比例 |
| {IHC-P} | {1:100-500} |
| {IHC-F} | {1:100-500} |
| {IF} | {1:100-500} |







风险提示:丁香通仅作为第三方平台,为商家信息发布提供平台空间。用户咨询产品时请注意保护个人信息及财产安全,合理判断,谨慎选购商品,商家和用户对交易行为负责。对于医疗器械类产品,请先查证核实企业经营资质和医疗器械产品注册证情况。
文献和实验[IF={{ 7.81 }}] {Deng, Shou‐Long, et al. "Melatonin promotes development of haploid germ cells from early developing spermatogenic cells of Suffolk sheep under in vitro condition." Journal of Pineal Research (2016).} {Other} {="Sheep"}
[IF={{ 7.7 }}] {Lin Guan. et al. “All-in-one” tea polyphenol-modified injectable hyaluronic acid-based hydrogel for diabetic wound healing. INT J BIOL MACROMOL. 2024 Nov;280:135736} {IF} {Rat}
[IF={{ 5.295 }}] {Ko-Chao Lee. et al. Use of iTRAQ-based quantitative proteomic identification of CHGA and UCHL1 correlated with lymph node metastasis in colorectal carcinoma. JOURNAL OF CELLULAR AND MOLECULAR MEDICINE. 2023 May;:} {IHC,WB} {Human}
[IF={{ 5.23 }}] {Zheng, Liming, et al. "The Modification of Tet1 in Male Germline Stem Cells and Interact with PCNA, HDAC1 to promote their Self-renewal and Proliferation." Scientific Reports 6 (2016): 37414.} {ICC} {="Goat"}
[IF={{ 3.12 }}] {Zheng, Liming, et al. "CD49f promotes proliferation of male dairy goat germline stem cells." Cell Proliferation (2016).} {Other} {="Goat"}
= NAL), appears to form upon oxidative cyclization of the nonfluorescent 2:1 lysine-HNE Michael adduct-Schiff base cross-link (Scheme 1). Polyclonal antibody (PAb) to the NAL-HNE fluorophore was raised in rabbit and found to be highly specific
GE Healthcare Benzamidine Sepharose™ 6B is p-aminobenzamidine covalently attached to Sepharose 6B by the epoxy coupling method. p-Aminobenzamidine (PAB), is a synthetic inhibitor of trypsin-like serine protease. Trypsin and trypsin
Nucleic Acid Programmable Protein Arrays: Versatile Tools for Array‐Based Functional Protein Studies
.g., Sigma) 50 mg/ml bis‐sulfosuccinimdylsuberate (BS3 ;Pierce, cat. no. PI 21580) in dimethylsulfoxide (DMSO) 5 mg/ml
技术资料暂无技术资料 索取技术资料






