相关产品推荐更多 >

Anti-human B7-H1 / PD-L1 / CD274 (Lodapolimab Biosimilar)(BIO0608SM)-1mg/5mg/20mg
¥3200
GLUT2 Rabbit pAb, BF680 conjugated(bs-10379R-BF680)-100ul
¥2980
IGF1R Rabbit pAb, PerCP-Cy7 conjugated(bs-0227R-PerCP-Cy7)-100ul
¥2980
Selenoprotein M Rabbit pAb(bs-19629R)-50ul/100ul/200ul
¥1180
GLUT12 Rabbit pAb, FITC conjugated(bs-2540R-FITC)-100ul
¥2980
万千商家帮你免费找货
0 人在求购买到急需产品
- 详细信息
- 文献和实验
- 技术资料
- 应用范围:
产品信息以Bioss网站为准
- 规格:
50ul/100ul/200ul
| 规格: | 50ul | 产品价格: | ¥1180.0 |
|---|---|---|---|
| 规格: | 100ul | 产品价格: | ¥1980.0 |
| 规格: | 200ul | 产品价格: | ¥2800.0 |
| 产品编号 | bs-1545R |
| 英文名称 | TPA Rabbit pAb |
| 中文名称 | 组织型纤溶酶原激活剂抗体 |
| 英文别名 | TPA Tissue Plasminogen Activator; Plasminogen activator tissue; Plasminogen activator tissue type; Plasminogen Activator Tissue Type Isoform 1 Preproprotein; PLAT; Reteplase; t PA; t-PA; T Plasminogen Activator; Tissue plasminogen activator(t PA); PATISS; Tissue type plasminogen activator; TPA1; AU020998; AW212668; D8Ertd2e; MGC18508; TPA_HUMAN; Tissue-type plasminogen activator; t-plasminogen activator; Alteplase; Tissue-type plasminogen activator chain B. |
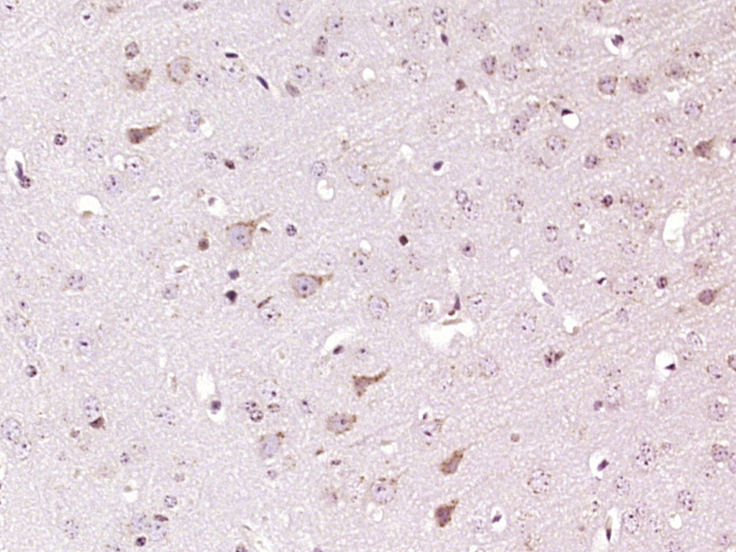
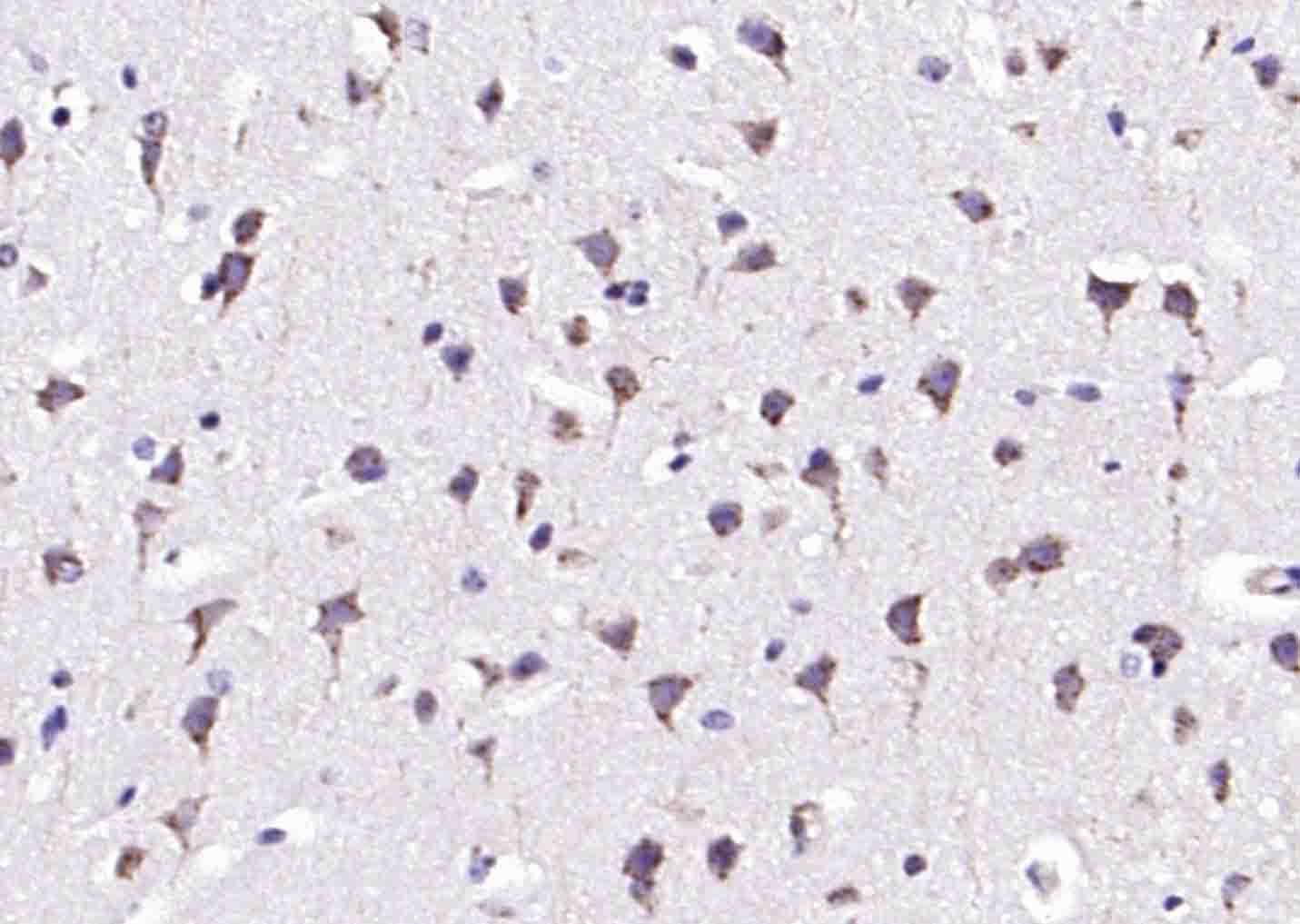
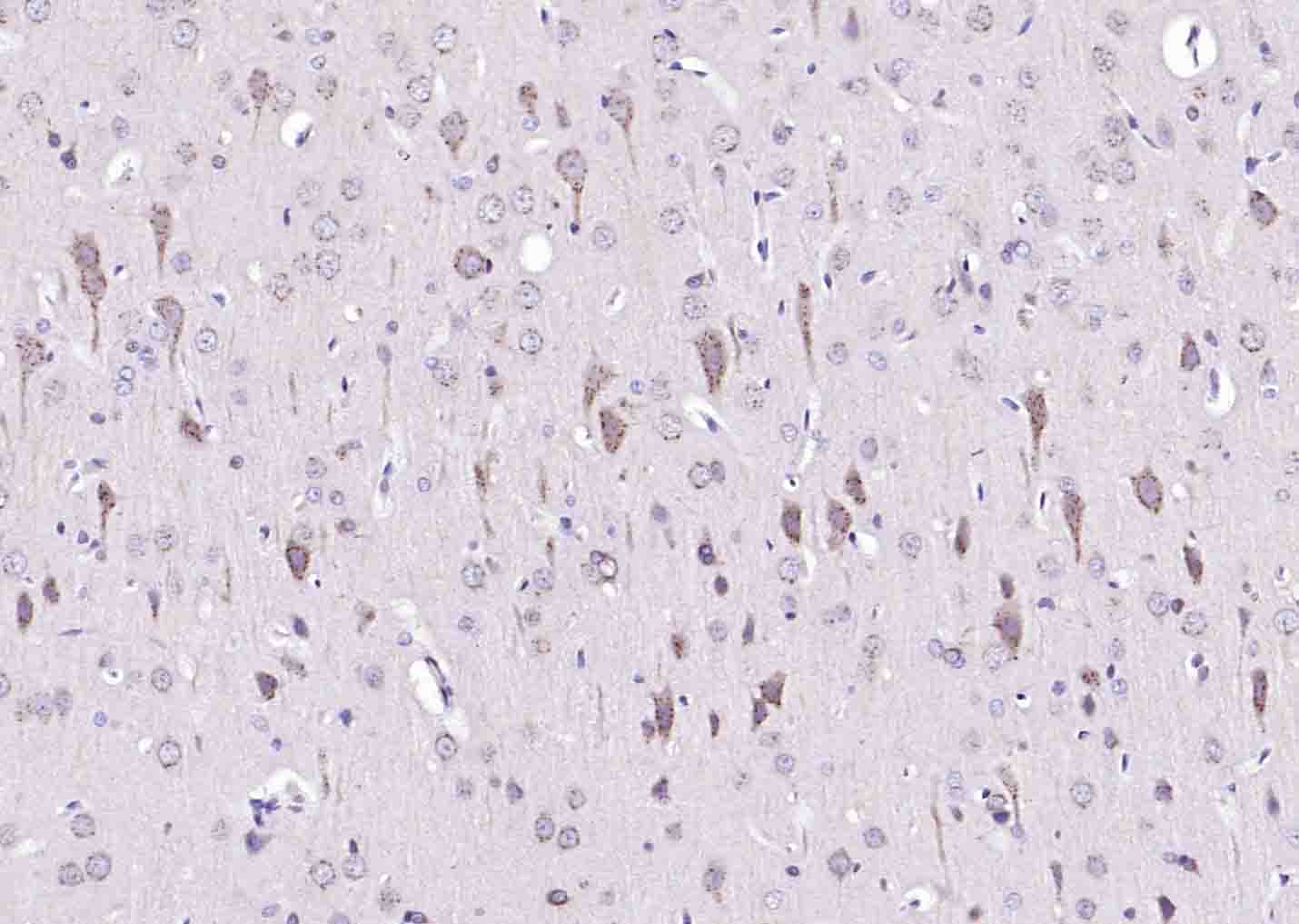
| 产品应用 | WB=1:500-2000, IHC-P=1:100-500, IHC-F=1:100-500, IF=1:100-500 Not yet tested in other applications. |
| 交叉反应 | Human, Mouse, Rat (Pig, Cow, Horse, Rabbit) |
| 抗体来源 | Rabbit |
| 免疫原 | KLH conjugated synthetic peptide derived from human Tissue-type plasminogen activator chain B |
| 亚型 | IgG |
| 性状 | Liquid |
| 纯化方法 | affinity purified by Protein A |
| 克隆类型 | Polyclonal |
| 理论分子量 | 28/58 kDa |
| 浓度 | 1mg/ml |
| 储存液 | 0.01M TBS (pH7.4) with 1% BSA, 0.02% Proclin300 and 50% Glycerol. |
| 亚基 | Heterodimer of chain A and chain B held by a disulfide bond. Forms a heterodimer with SERPINA5. Binds to fibrin with high affinity. This interaction leads to an increase in the catalytic efficiency of the enzyme between 100-fold and 1000-fold, due to an increase in affinity for plasminogen. Similarly, binding to heparin increases the activation of plasminogen. Binds to annexin A2, cytokeratin-8, fibronectin and laminin. Binds to mannose receptor and the low-density lipoprotein receptor-related protein (LRP1); these proteins are involved in TPA clearance. Yet unidentified interactions on endothelial cells and vascular smooth muscle cells (VSMC) lead to a 100-fold stimulation of plasminogen activation. In addition, binding to VSMC reduces TPA inhibition by PAI-1 by 30-fold. Binds LRP1B; binding is followed by internalization and degradation. |
| 亚细胞定位 | Secreted > extracellular space. |
| 组织特异性 | Synthesized in numerous tissues (including tumors) and secreted into most extracellular body fluids, such as plasma, uterine fluid, saliva, gingival crevicular fluid, tears, seminal fluid, and milk. |
| 翻译后修饰 | The single chain, almost fully active enzyme, can be further processed into a two-chain fully active form by a cleavage after Arg-310 catalyzed by plasmin, tissue kallikrein or factor Xa. Differential cell-specific N-linked glycosylation gives rise to two glycoforms, type I (glycosylated at Asn-219) and type II (not glycosylated at Asn-219). The single chain type I glycoform is less readily converted into the two-chain form by plasmin, and the two-chain type I glycoform has a lower activity than the two-chain type II glycoform in the presence of fibrin. N-glycosylation of Asn-152; the bound oligomannosidic glycan is involved in the interaction with the mannose receptor. Characterization of O-linked glycan was studied in Bowes melanoma cell line. |
| 相似性 | Belongs to the peptidase S1 family. Contains 1 EGF-like domain. Contains 1 fibronectin type-I domain. Contains 2 kringle domains. Contains 1 peptidase S1 domain. |
| 功能 | Converts the abundant, but inactive, zymogen plasminogen to plasmin by hydrolyzing a single Arg-Val bond in plasminogen. By controlling plasmin-mediated proteolysis, it plays an important role in tissue remodeling and degradation, in cell migration and many other physiopathological events. Play a direct role in facilitating neuronal migration. |
| 保存条件 | Shipped at 4℃. Store at -20℃ for one year. Avoid repeated freeze/thaw cycles. |
| 注意事项 | This product as supplied is intended for research use only, not for use in human, therapeutic or diagnostic applications. |
| 背景资料 | This gene encodes tissue-type plasminogen activator, a secreted serine protease which converts the proenzyme plasminogen to plasmin, a fibrinolytic enzyme. Tissue-type plasminogen activator is synthesized as a single chain which is cleaved by plasmin to a two chain disulfide linked protein. This enzyme plays a role in cell migration and tissue remodeling. Increased enzymatic activity causes hyperfibrinolysis, which manifests as excessive bleeding; decreased activity leads to hypofibrinolysis which can result in thrombosis or embolism. Alternative splicing of this gene results in multiple transcript variants encoding different isoforms. [provided by RefSeq, Jul 2008] |
| 应用 | 推荐稀释比例 |
| {WB} | {1:500-2000} |
| {IHC-P} | {1:100-500} |
| {IHC-F} | {1:100-500} |
| {IF} | {1:100-500} |

Ovary (Mouse) Lysate at 40 ug
Primary: Anti-TPA (bs-1545R) at 1/300 dilution
Secondary: IRDye800CW Goat Anti-Rabbit IgG at 1/20000 dilution
Predicted band size: 62 kD
Observed band size: 62 kD




风险提示:丁香通仅作为第三方平台,为商家信息发布提供平台空间。用户咨询产品时请注意保护个人信息及财产安全,合理判断,谨慎选购商品,商家和用户对交易行为负责。对于医疗器械类产品,请先查证核实企业经营资质和医疗器械产品注册证情况。
文献和实验[IF={{ 6.34 }}] {Balaoing, Liezl R., et al. "Age-Related Changes in Aortic Valve Hemostatic Protein Regulation." Arteriosclerosis, Thrombosis, and Vascular Biology (2013): ATVBAHA-113.} {IHC} {="Pig"}
[IF={{ 5.7 }}] {Lili Yang. et al.HerbalHuoXueTongFuFormula with anti-inflammatory and fibrinolytic activity regulation for the prevention of postoperative peritoneal adhesions.FRONTIERS IN IMMUNOLOGY.2025 Jan 23:15:1510766.} {} {Mouse}
[IF={{ 3.484 }}] {Abicht J.-M. et al. Multiple genetically modified GTKO/hCD46/HLA-E/hβ2−mg porcine hearts are protected from complement activation and natural killer cell infiltration during ex vivo perfusion with human blood. Xenotransplantation,2018. e12390.} {IF} {Pig}
[IF={{ 3.263 }}] {Makuszewska, Maria. et al. Enhanced Expression of Plasminogen Activators and Inhibitor in the Healing of Tympanic Membrane Perforation in Rats. JARO-J ASSOC RES OTO. 2023 Feb;:1-12} {IF,WB} {Rat}
= NAL), appears to form upon oxidative cyclization of the nonfluorescent 2:1 lysine-HNE Michael adduct-Schiff base cross-link (Scheme 1). Polyclonal antibody (PAb) to the NAL-HNE fluorophore was raised in rabbit and found to be highly specific
are needed to reveal the important role of the members of the Wnt signaling pathway in the RA pathogenesis and treatment. Rspo 1 promotes osteoblast differentiation via Wnt signaling pathway. 作者:Sharma AR, Choi BS, Park JM, Lee DH, Lee JE, Kim HS
/96T 2000/3000 进口分装 F0021 骨成型蛋白-9(BMP-9) ELISA 48T/96T 2000/3000 进口分装 F0022 BMP-R1A ELISA 48T/96T 2000/3000 进口分装 F0023 BMP-R2 ELISA 48T/96T 2000/3000 进口分装 F0024 BTC ELISA 48T/96T 2000/3100 进口分装 F0030 CAE-Ab ELISA 96
技术资料暂无技术资料 索取技术资料






