相关产品推荐更多 >

Crotonyl-Histone H2B (Lys11) Recombinant Rabbit mAb(bsm-60207R)-50ul/100ul/25ul
¥800
SMAD1 + SMAD5 Rabbit pAb, PerCP-Cy5.5 conjugated(bs-2973R-PerCP-Cy5.5)-100ul
¥2980
DNASE1L1 Rabbit pAb, PerCP-Cy5.5 conjugated(bs-12995R-PerCP-Cy5.5)-100ul
¥2980
Estrogen receptor alpha Rabbit pAb, PE-Cy5.5 conjugated(bs-0254R-PE-Cy5.5)-100ul
¥2980
SLCO2B1 Rabbit pAb(bs-3913R)-50ul/100ul/200ul
¥1180
万千商家帮你免费找货
0 人在求购买到急需产品
- 详细信息
- 文献和实验
- 技术资料
- 应用范围:
产品信息以Bioss网站为准
- 规格:
50ul/100ul/200ul
| 规格: | 50ul | 产品价格: | ¥1180.0 |
|---|---|---|---|
| 规格: | 100ul | 产品价格: | ¥1980.0 |
| 规格: | 200ul | 产品价格: | ¥2800.0 |
| 产品编号 | bs-0250R |
| 英文名称 | PPAR delta + beta Rabbit pAb |
| 中文名称 | D型-过氧化酶活化增生受体抗体 |
| 英文别名 | PPAR delta+beta; FAAR; MGC3931; NR1C2; NUC1; NUCI; NUCII; Nuclear hormone receptor 1; Nuclear receptor subfamily 1 group C member 2; Peroxisome proliferative activated receptor delta; Peroxisome proliferator-activated receptor beta(PPAR-beta); Peroxisome proliferator-activated receptor beta; Peroxisome proliferator-activated receptor delta; PPAR beta; PPAR-beta; PPAR-delta; PPAR-? PPARB; PPARD; PPARD_HUMAN. |
| 产品应用 | WB=1:500-2000, IHC-P=1:100-500, IHC-F=1:100-500, IF=1:100-500, Flow-Cyt=1ug/Test Not yet tested in other applications. |
| 交叉反应 | Human, Mouse (Rat) |
| 抗体来源 | Rabbit |
| 免疫原 | KLH conjugated synthetic peptide derived from mouse PPAR-delta |
| 亚型 | IgG |
| 性状 | Liquid |
| 纯化方法 | affinity purified by Protein A |
| 克隆类型 | Polyclonal |
| 理论分子量 | 48 kDa |
| 浓度 | 1mg/ml |
| 储存液 | 0.01M TBS (pH7.4) with 1% BSA, 0.02% Proclin300 and 50% Glycerol. |
| 研究领域 | Cardiovascular > Heart > Cardiac metabolism Epigenetics and Nuclear Signaling > Transcription > Domain Families > Zinc Finger Kits/ Lysates/ Other > Kits > Cell Metabolism Kits > Lipid Metabolism Kits > Fatty acids Metabolism > Types of disease > Obesity |
| 亚细胞定位 | Nucleus. |
| 组织特异性 | Ubiquitous with maximal levels in placenta and skeletal muscle. |
| 相似性 | Belongs to the nuclear hormone receptor family. NR1 subfamily.
Contains 1 nuclear receptor DNA-binding domain. |
| 功能 | Ligand-activated transcription factor. Receptor that binds peroxisome proliferators such as hypolipidemic drugs and fatty acids. Has a preference for poly-unsaturated fatty acids, such as gamma-linoleic acid and eicosapentanoic acid. Once activated by a ligand, the receptor binds to promoter elements of target genes. Regulates the peroxisomal beta-oxidation pathway of fatty acids. Functions as transcription activator for the acyl-CoA oxidase gene. Decreases expression of NPC1L1 once activated by a ligand. |
| 保存条件 | Shipped at 4℃. Store at -20℃ for one year. Avoid repeated freeze/thaw cycles. |
| 注意事项 | This product as supplied is intended for research use only, not for use in human, therapeutic or diagnostic applications. |
| 背景资料 | Receptor that binds peroxisome proliferators such as hypolipidemic drugs and fatty acids. Once activated by a ligand, the receptor binds to a promoter element in the gene for acyl-CoA oxidase and activates its transcription. It therefore controls the peroxisomal beta-oxidation pathway of fatty acids. Heterodimer with the retinoid X receptor. Subcellular located at nuclear Tissue specificity: Heart, adrenal and intestine. Belongs to the nuclear hormone receptor family. NR1 subfamily. It Contains 1 nuclear receptor DNA-binding domain. |
| 应用 | 推荐稀释比例 |
| {WB} | {1:500-2000} |
| {IHC-P} | {1:100-500} |
| {IHC-F} | {1:100-500} |
| {IF} | {1:100-500} |
| {Flow-Cyt} | {1ug/Test} |

Lane 1: Mouse Placenta tissue lysates
Lane 2: Mouse Testis tissue lysates
Primary: Anti-PPAR delta + beta (bs-0250R) at 1/200 dilution
Secondary: IRDye800CW Goat Anti-Rabbit IgG at 1/20000 dilution
Predicted band size: 48 kDa
Observed band size: 53 kDa

Primary Antibody (green line): Rabbit Anti-PPAR delta + beta antibody (bs-0250R)
Dilution: 1μg /10^6 cells;
Isotype Control Antibody (orange line): Rabbit IgG .
Secondary Antibody : Goat anti-rabbit IgG-AF647
Dilution: 1μg /test.
Protocol
The cells were fixed with 4% PFA (10min at room temperature)and then permeabilized with 90% ice-cold methanol for 20 min at-20℃. The cells were then incubated in 5%BSA to block non-specific protein-protein interactions for 30 min at at room temperature .Cells stained with Primary Antibody for 30 min at room temperature. The secondary antibody used for 40 min at room temperature. Acquisition of 20,000 events was performed.

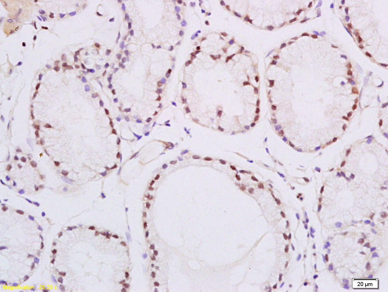
Antigen retrieval: citrate buffer ( 0.01M, pH 6.0 ), Boiling bathing for 15min; Block endogenous peroxidase by 3% Hydrogen peroxide for 30min; Blocking buffer (normal goat serum,C-0005) at 37℃ for 20 min;
Incubation: Anti-PPAR-delta Polyclonal Antibody, Unconjugated(bs-0250R) 1:200, overnight at 4°C, followed by conjugation to the secondary antibody(SP-0023) and DAB(C-0010) staining
风险提示:丁香通仅作为第三方平台,为商家信息发布提供平台空间。用户咨询产品时请注意保护个人信息及财产安全,合理判断,谨慎选购商品,商家和用户对交易行为负责。对于医疗器械类产品,请先查证核实企业经营资质和医疗器械产品注册证情况。
文献和实验[IF={{ 4.398 }}] {Xiaoyu Qu. et al. Integration of metabolomics and proteomics analysis to explore the mechanism of neurotoxicity induced by receipt of isoniazid and rifampicin in mice. NEUROTOXICOLOGY. 2023 Jan;94:24} {IHC} {Mouse}
Overview of the Measurement of Lipids and Lipoproteins in Mice
into pre‐beta‐migrating high‐density lipoprotein. Biochemistry 27:25‐29. Castro, G.R., Nihoul, L.P., Dengremont, C., de Geitère, C., Delfly, B., Tailleux, A., Fievet, C
技术资料暂无技术资料 索取技术资料






