相关产品推荐更多 >

WNT5A Rabbit pAb, BF350 conjugated(bs-1948R-BF350)-100ul
¥2980
HPV16 E7 Rabbit pAb, Cy7 conjugated(bs-10446R-Cy7)-100ul
¥2980
phospho-AQP2 (Ser264+261) Rabbit pAb, Biotin conjugated(bs-4610R-Bio)-100ul
¥2980
HOXC11 Rabbit pAb(bs-17366R)-50ul/100ul/200ul
¥1180
Cytokeratin 1 Rabbit pAb, BF555 conjugated(bs-1244R-BF555)-100ul
¥2980
万千商家帮你免费找货
0 人在求购买到急需产品
- 详细信息
- 文献和实验
- 技术资料
- 应用范围:
产品信息以Bioss网站为准
- 规格:
50ul/100ul/200ul
| 规格: | 50ul | 产品价格: | ¥1180.0 |
|---|---|---|---|
| 规格: | 100ul | 产品价格: | ¥1980.0 |
| 规格: | 200ul | 产品价格: | ¥2800.0 |
| 产品编号 | bs-1092R |
| 英文名称 | MRP2/ABCC2 Rabbit pAb |
| 中文名称 | 多药耐药相关蛋白2抗体 |
| 英文别名 | multidrug resistance-associated protein2; ABC30; ABCC2; ATP binding cassette sub family C(CFTR/MRP) member 2; ATP binding cassette subfamily C member 2; Canalicular multidrug resistance protein; Canalicular multispecific organic anion transporter 1; CMOAT; CMOAT1; cMRP; DJS; KIAA1010; MRP 2; MRP-2; MRP2; Multidrug resistance associated protein 2; MRP2_HUMAN; ATP-binding cassette sub-family C member 2; Multidrug resistance-associated protein 2. |
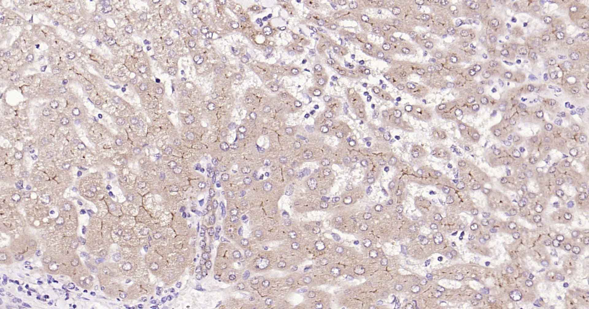
| 产品应用 | IHC-P=1:100-500, IHC-F=1:100-500, IF=1:100-500, Flow-Cyt=1ug/Test Not yet tested in other applications. |
| 交叉反应 | Human |
| 抗体来源 | Rabbit |
| 免疫原 | KLH conjugated synthetic peptide derived from human MRP2 |
| 亚型 | IgG |
| 性状 | Liquid |
| 纯化方法 | affinity purified by Protein A |
| 克隆类型 | Polyclonal |
| 理论分子量 | 174 kDa |
| 浓度 | 1mg/ml |
| 储存液 | 0.01M TBS (pH7.4) with 1% BSA, 0.02% Proclin300 and 50% Glycerol. |
| 研究领域 | Cancer > Drug resistance > MRP-related proteins Signal Transduction > Metabolism > Plasma Membrane > Channels |
| 亚细胞定位 | Membrane; Multi-pass membrane protein. |
| 组织特异性 | Found on the apical membrane of polarized cells in liver, kidney and intestine. The highest expression is found in liver. |
| 相似性 | Belongs to the ABC transporter superfamily. ABCC family. Conjugate transporter (TC 3.A.1.208) subfamily. Contains 2 ABC transmembrane type-1 domains. Contains 2 ABC transporter domains. |
| 功能 | Mediates hepatobiliary excretion of numerous organic anions. May function as a cellular cisplatin transporter. |
| 保存条件 | Shipped at 4℃. Store at -20℃ for one year. Avoid repeated freeze/thaw cycles. |
| 注意事项 | This product as supplied is intended for research use only, not for use in human, therapeutic or diagnostic applications. |
| 背景资料 | multidrug resistance-associated protein 2 is a member of the superfamily of ATP-binding cassette (ABC) transporters. ABC proteins transport various molecules across extra- and intra-cellular membranes. ABC genes are divided into seven distinct subfamilies (ABC1, MDR/TAP, MRP, ALD, OABP, GCN20, White). This protein is a member of the MRP subfamily which is involved in multi-drug resistance. This protein is expressed in the canalicular (apical) part of the hepatocyte and functions in biliary transport. Substrates include anticancer drugs such as vinblastine; therefore, this protein appears to contribute to drug resistance in mammalian cells. Several different mutations in this gene have been observed in patients with Dubin-Johnson syndrome (DJS), an autosomal recessive disorder characterized by conjugated hyperbilirubinemia. Belongs to the ABC transporter family. |
| 应用 | 推荐稀释比例 |
| {IHC-P} | {1:100-500} |
| {IHC-F} | {1:100-500} |
| {IF} | {1:100-500} |
| {Flow-Cyt} | {1ug/Test} |


风险提示:丁香通仅作为第三方平台,为商家信息发布提供平台空间。用户咨询产品时请注意保护个人信息及财产安全,合理判断,谨慎选购商品,商家和用户对交易行为负责。对于医疗器械类产品,请先查证核实企业经营资质和医疗器械产品注册证情况。
文献和实验[IF={{ 7.149 }}] {Yuan P et al. WS2 Nanosheets at Noncytotoxic Concentrations Enhance the Cytotoxicity of Organic Pollutants by Disturbing the Plasma Membrane and Efflux Pumps. Environ Sci Technol. 2020 Feb 4;54(3):1698-1709.} {WB} {Mouse&Human}
[IF={{ 6.7 }}] {Na Han. et al. A discovery in traditional Chinese medicine compatibility: Cinnabaris suppresses the Strychni Semen-induced neurotoxicity in Shang-Ke-Jie-Gu tablet. PHYTOMEDICINE. 2024 Dec;135:156029} {WB} {Rat}
[IF={{ 6.525 }}] {Silvia Di Giacomo. et al. Sorafenib Chemosensitization by Caryophyllane Sesquiterpenes in Liver, Biliary, and Pancreatic Cancer Cells: The Role of STAT3/ABC Transporter Axis. PHARMACEUTICS. 2022 Jun;14(6):1264} {IF} {Human}
[IF={{ 5.988 }}] {Zipeng Gong. et al. Pharmacokinetic Differences of Wuji Pill Components in Normal and Chronic Visceral Hypersensitivity Irritable Bowel Syndrome Rats Attributable to Changes in Tight Junction and Transporters. FRONT PHARMACOL. 2022; 13: 948678} {IHC,IF} {Rat}
[IF={{ 5.6 }}] {Berezin Casey-Tyler. et al. Morphine pharmacokinetics and opioid transporter expression at the blood-retina barrier of male and female mice. FRONT PHARMACOL. 2023 Jun;14:} {IHC} {Mouse}
= NAL), appears to form upon oxidative cyclization of the nonfluorescent 2:1 lysine-HNE Michael adduct-Schiff base cross-link (Scheme 1). Polyclonal antibody (PAb) to the NAL-HNE fluorophore was raised in rabbit and found to be highly specific
. Retrieved 2010-11-29. ^ Nielsen BS, Jørgensen S, Fog JU, Søkilde R, Christensen IJ, Hansen U, Brünner N, Baker A, Møller S, Nielsen HJ (October 2010). "High levels of microRNA-21 in the stroma of colorectal cancers predict short disease-free survival
+oieSKeKcgxGinlRPl7uja5iYeDdc+K3eZhXhIOHOy+p9cxrGU9WCTkVcT5iRR/BsR+N0IDPSu3x0pXo0IRAQiAhGBiEBE4ABCwPnwbu0wGmW8ULj7NRb20DLRYqFW1Up6ODBube+wknwaZ5w/y92bXLbV5K3CJ+hhzKwdSHCmVrada2Qy0eyxvi0r7Lkl99ukcaOkRe60Sj82E8qgnmxNtzHGRRyZQtf1g41GIMau5W7ITlqbiDRR0CA3tPhIsEdmP5hZ
技术资料暂无技术资料 索取技术资料






