相关产品推荐更多 >

Ubiquityl-Histone H2B (Lys120) Recombinant Rabbit mAb(bsm-60167R)-50ul/100ul/25ul
¥800
Lefty/TGF β4 Rabbit pAb(bs-11236R)-50ul/100ul/200ul
¥1180
LC3B Rabbit pAb, Biotin conjugated(bs-2912R-Bio)-100ul
¥2980
IFNA1 Rabbit pAb, Cy5 conjugated(bs-8995R-Cy5)-100ul
¥2980
NKB Rabbit pAb, BF647 conjugated(bs-0070R-BF647)-100ul
¥2980
万千商家帮你免费找货
0 人在求购买到急需产品
- 详细信息
- 文献和实验
- 技术资料
- 应用范围:
产品信息以Bioss网站为准
- 规格:
50ul/100ul/200ul
| 规格: | 50ul | 产品价格: | ¥1180.0 |
|---|---|---|---|
| 规格: | 100ul | 产品价格: | ¥1980.0 |
| 规格: | 200ul | 产品价格: | ¥2800.0 |
| 产品编号 | bs-9350R |
| 英文名称 | Proteasome 20S C2 Rabbit pAb |
| 中文名称 | 蛋白酶体PSMα1抗体 |
| 英文别名 | 20S Proteasome α1; 30 kDa prosomal protein; HC 2; HC2; Macropain subunit C2; Macropain subunit nu; Multicatalytic endopeptidase complex subunit C2; NU antibody PROS 30; PROS-30; PROS30; Proteasome(prosome macropain) subunit alpha type 1; Proteasome alpha 1 subunit; Proteasome component C2; Proteasome nu chain; Proteasome subunit alpha type 1; Proteasome subunit alpha type I; Proteasome subunit alpha type-1; Proteasome subunit nu; Protein P30 33K; PSA1_HUMAN; PSC 2; PSC2; PSMA 1; psmA1. |
| 产品应用 | IHC-P=1:100-500, IHC-F=1:100-500, IF=1:100-500 Not yet tested in other applications. |
| 交叉反应 | Human (Mouse, Rat, Chicken, Dog, Cow, Horse) |
| 抗体来源 | Rabbit |
| 免疫原 | KLH conjugated synthetic peptide derived from human Proteasome 20S C2 |
| 亚型 | IgG |
| 性状 | Liquid |
| 纯化方法 | affinity purified by Protein A |
| 克隆类型 | Polyclonal |
| 理论分子量 | 30 kDa |
| 浓度 | 1mg/ml |
| 储存液 | 0.01M TBS (pH7.4) with 1% BSA, 0.02% Proclin300 and 50% Glycerol. |
| 研究领域 | Cell Biology > Proteolysis / Ubiquitin > Proteasome / Ubiquitin > Proteasome |
| 亚基 | The 26S proteasome consists of a 20S proteasome core and two 19S regulatory subunits. The 20S proteasome core is composed of 28 subunits that are arranged in four stacked rings, resulting in a barrel-shaped structure. The two end rings are each formed by seven alpha subunits, and the two central rings are each formed by seven beta subunits. The catalytic chamber with the active sites is on the inside of the barrel. Interacts with bacterial. |
| 亚细胞定位 | Cytoplasm. Nucleus. |
| 组织特异性 | Induced in breast cancer tissue (at protein level). Up-regulated in liver tumor tissues. |
| 相似性 | Belongs to the peptidase T1A family. |
| 功能 | The proteasome is a multicatalytic proteinase complex which is characterized by its ability to cleave peptides with Arg, Phe, Tyr, Leu, and Glu adjacent to the leaving group at neutral or slightly basic pH. The proteasome has an ATP-dependent proteolytic activity. Mediates the lipopolysaccharide-induced signal transduction in the macrophage proteasome (By similarity). Might be involved in the anti-inflammatory response of macrophages during the interaction with C.albicans heat-inactivated cells. |
| 保存条件 | Shipped at 4℃. Store at -20℃ for one year. Avoid repeated freeze/thaw cycles. |
| 注意事项 | This product as supplied is intended for research use only, not for use in human, therapeutic or diagnostic applications. |
| 背景资料 | Ubiquitin-dependent proteolysis mediates selective destruction of various cell cycle regulators, transcription factors and tumor suppressors. In eukaryotic cells, selective breakdown of cellular proteins is ensured by their ubiquitination and subsequent degradation by the 26S proteasome. At specific stages of development, embryo- and tissue-specific components of the 26S proteasome form, facilitating proteolysis. 20S Proteasome ?, also designated macropain subunit C2 or PROS-30, is a prosomal protein involved in a non-lysosomal ATP/ubiquitin-dependent proteolytic pathway. The entire proteasome is composed of at least 15 non-identical subunits which form a highly-ordered ring-shaped structure. |
| 应用 | 推荐稀释比例 |
| {IHC-P} | {1:100-500} |
| {IHC-F} | {1:100-500} |
| {IF} | {1:100-500} |

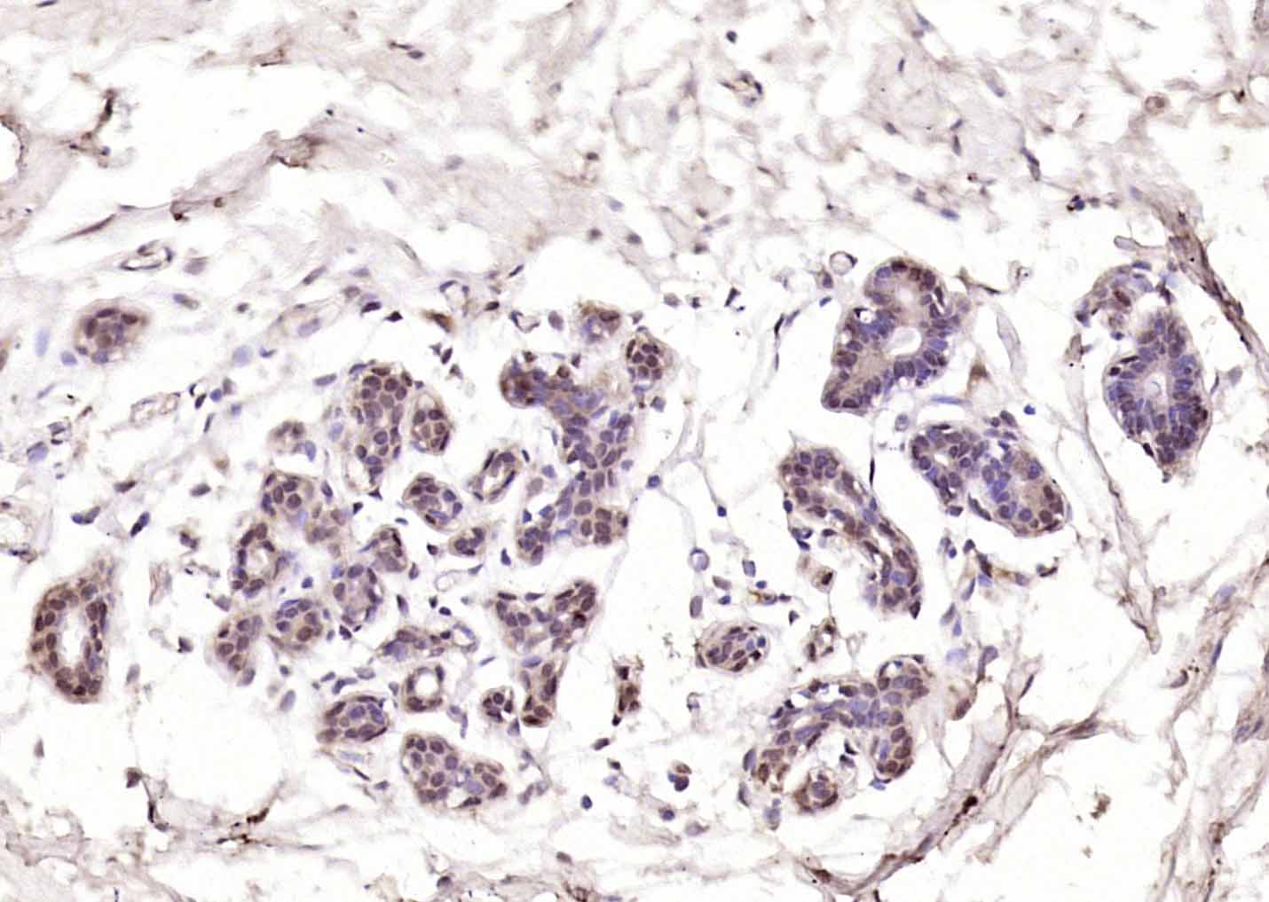
Paraformaldehyde-fixed, paraffin embedded (human breast); Antigen retrieval by boiling in sodium citrate buffer (pH6.0) for 15min; Block endogenous peroxidase by 3% hydrogen peroxide for 20 minutes; Blocking buffer (normal goat serum) at 37°C for 30min; Antibody incubation with (Proteasome 20S C2) Polyclonal Antibody, Unconjugated (bs-9350R) at 1:200 overnight at 4°C, followed by operating according to SP Kit(Rabbit) (sp-0023) instructionsand DAB staining.
风险提示:丁香通仅作为第三方平台,为商家信息发布提供平台空间。用户咨询产品时请注意保护个人信息及财产安全,合理判断,谨慎选购商品,商家和用户对交易行为负责。对于医疗器械类产品,请先查证核实企业经营资质和医疗器械产品注册证情况。
文献和实验相关实验
Studies of the Ubiquitin Proteasome System
Assays of E1 and E2 Activity Basic Protocol 1: Thiolester Formation Between Rabbit E1 and Ubiquitin Basic Protocol 2: Thiolester Formation Between E2 and Ubiquitin Binding of Ubiquitin‐Proteasome Proteins Basic Protocol 3: Binding of E2s to E3s Alternate
技术资料暂无技术资料 索取技术资料
Proteasome 20S C2 Rabbit pAb(bs-9350R)-50ul/100ul/200ul
¥1180 - 2800





