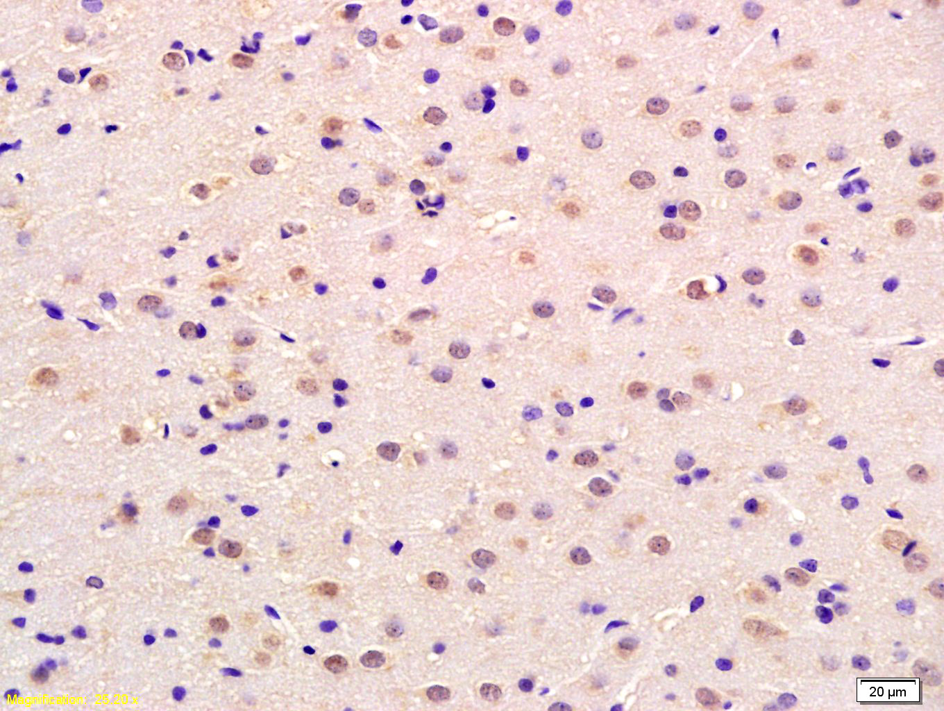
Tissue/cell: rat brain tissue; 4% Paraformaldehyde-fixed and paraffin-embedded;
Antigen retrieval: citrate buffer ( 0.01M, pH 6.0 ), Boiling bathing for 15min; Block endogenous peroxidase by 3% Hydrogen peroxide for 30min; Blocking buffer (normal goat serum,C-0005) at 37℃ for 20 min;
Incubation: Anti-Neurotrophin 4/NT-4/NT-5 Polyclonal Antibody, Unconjugated(bs-0158R) 1:200, overnight at 4°C, followed by conjugation to the secondary antibody(SP-0023) and DAB(C-0010) staining
相关产品推荐更多 >
万千商家帮你免费找货
0 人在求购买到急需产品
- 详细信息
- 技术资料
- 应用范围:
产品信息以Bioss网站为准
- 规格:
50ul/100ul/200ul
| 规格: | 50ul | 产品价格: | ¥1180.0 |
|---|---|---|---|
| 规格: | 100ul | 产品价格: | ¥1980.0 |
| 规格: | 200ul | 产品价格: | ¥2800.0 |
| 产品编号 | bs-0158R |
| 英文名称 | Neurotrophin 4 Rabbit pAb |
| 中文名称 | 神经生长因子4/5抗体 |
| 英文别名 | GLC1O; Neurotrophic factor 4; Neurotrophic factor 5; Neurotrophin 4/5; Neurotrophin 5(neurotrophin 4/5); Neurotrophin 5; Neurotrophin-4; Neurotrophin-5; Neurotrophin4; Neurotrophin4/5; Neurotrophin5; Neutrophic factor 4; Neutrophic factor 5; NT 4; NT-4; NT 4/5; NT-4/5; NT 5; NT-5; NT4; NT4/5; NT4P; NT5; NTF 4; NTF 5; NTF4; NTF4_HUMAN; NTF5 |
| 产品应用 | WB=1:500-2000, IHC-P=1:100-500, IHC-F=1:100-500, IF=1:100-500 Not yet tested in other applications. |
| 交叉反应 | Human, Rat (Mouse) |
| 抗体来源 | Rabbit |
| 免疫原 | KLH conjugated synthetic peptide derived from human NT-4 |
| 亚型 | IgG |
| 性状 | Liquid |
| 纯化方法 | affinity purified by Protein A |
| 克隆类型 | Polyclonal |
| 理论分子量 | 14/27 kDa |
| 浓度 | 1mg/ml |
| 储存液 | 0.01M TBS (pH7.4) with 1% BSA, 0.02% Proclin300 and 50% Glycerol. |
| 亚细胞定位 | Secreted. |
| 组织特异性 | Highest levels in prostate, lower levels in thymus, placenta, and skeletal muscle. Expressed in embryonic and adult tissues. |
| 相似性 | Belongs to the NGF-beta family. |
| 功能 | Target-derived survival factor for peripheral sensory sympathetic neurons. |
| 保存条件 | Shipped at 4℃. Store at -20℃ for one year. Avoid repeated freeze/thaw cycles. |
| 注意事项 | This product as supplied is intended for research use only, not for use in human, therapeutic or diagnostic applications. |
| 背景资料 | Neurotrophin 4 (NT4; synonymous with NT5) belongs to the NGF beta family and is a survival factor for peripheral sensory sympathetic neurons. The expression of this gene is ubiquitous and less influenced by environmental signals. NT4 levels are highest in the prostate, with lower levels in thymus, placenta, and skeletal muscle. NT4 is also expressed in embryonic and adult tissues. |
| 应用 | 推荐稀释比例 |
| {WB} | {1:500-2000} |
| {IHC-P} | {1:100-500} |
| {IHC-F} | {1:100-500} |
| {IF} | {1:100-500} |


Sample: DU145 Cell (Human) Lysate at 40 ug
Primary: Anti-Neurotrophin 4 (bs-0158R) at 1/300 dilution
Secondary: IRDye800CW Goat Anti-Rabbit IgG at 1/20000 dilution
Predicted band size: 14/27 kD
Observed band size: 26 kD
Primary: Anti-Neurotrophin 4 (bs-0158R) at 1/300 dilution
Secondary: IRDye800CW Goat Anti-Rabbit IgG at 1/20000 dilution
Predicted band size: 14/27 kD
Observed band size: 26 kD
风险提示:丁香通仅作为第三方平台,为商家信息发布提供平台空间。用户咨询产品时请注意保护个人信息及财产安全,合理判断,谨慎选购商品,商家和用户对交易行为负责。对于医疗器械类产品,请先查证核实企业经营资质和医疗器械产品注册证情况。
技术资料暂无技术资料 索取技术资料
Neurotrophin 4 Rabbit pAb(bs-0158R)-50ul/100ul/200ul
¥1180 - 2800







