相关产品推荐更多 >

CD58 Rabbit pAb, PerCP-Cy7 conjugated(bs-2498R-PerCP-Cy7)-100ul
¥2980
GPNMB Recombinant Rabbit mAb(bsm-60456R)-50ul/100ul/25ul
¥800
CTLA4 Rabbit pAb, APC-Cy7 conjugated(bs-10006R-APC-Cy7)-100ul
¥2980
PKC delta Rabbit pAb, Cy7 conjugated(bs-23441R-Cy7)-100ul
¥2980
Gemin 7 Rabbit pAb, Cy5 conjugated(bs-13330R-Cy5)-100ul
¥2980
万千商家帮你免费找货
0 人在求购买到急需产品
- 详细信息
- 文献和实验
- 技术资料
- 应用范围:
产品信息以Bioss网站为准
- 规格:
50ul/100ul/200ul
| 规格: | 50ul | 产品价格: | ¥1180.0 |
|---|---|---|---|
| 规格: | 100ul | 产品价格: | ¥1980.0 |
| 规格: | 200ul | 产品价格: | ¥2800.0 |
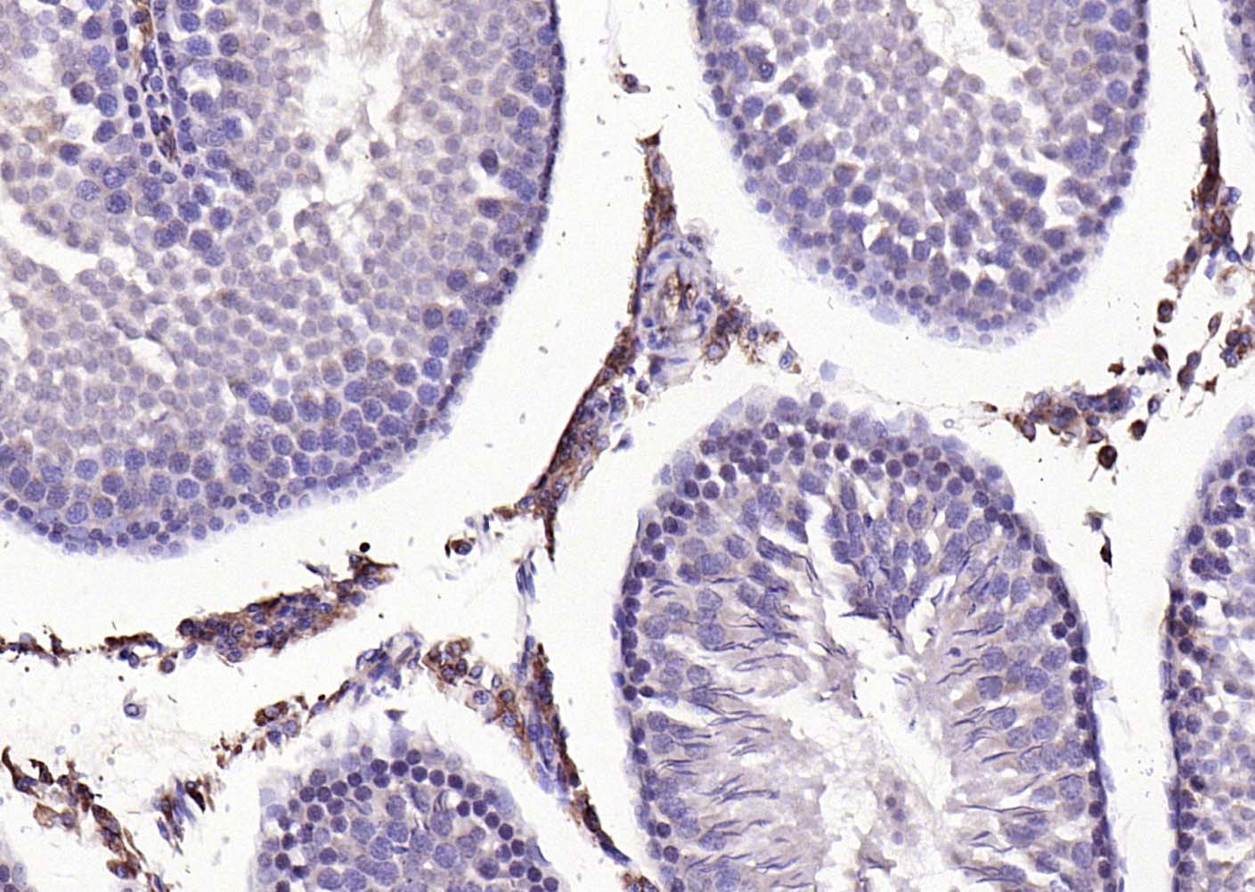
| 产品编号 | bs-4597R |
| 英文名称 | MMP-1 Rabbit pAb |
| 中文名称 | 基质金属蛋白酶-1抗体 |
| 英文别名 | MMP-1; MMP1; CLGN; CLG; collagenase, fibroblast; Fibroblast collagenase; Interstitial collagenase; Matrix metallopeptidase 1(interstitial collagenase); Matrix metalloprotease 1; Matrix metalloproteinase-1; Matrix Metalloproteinase 1; MMP1_HUMAN; OTTHUMP00000045866; MMP 1. |
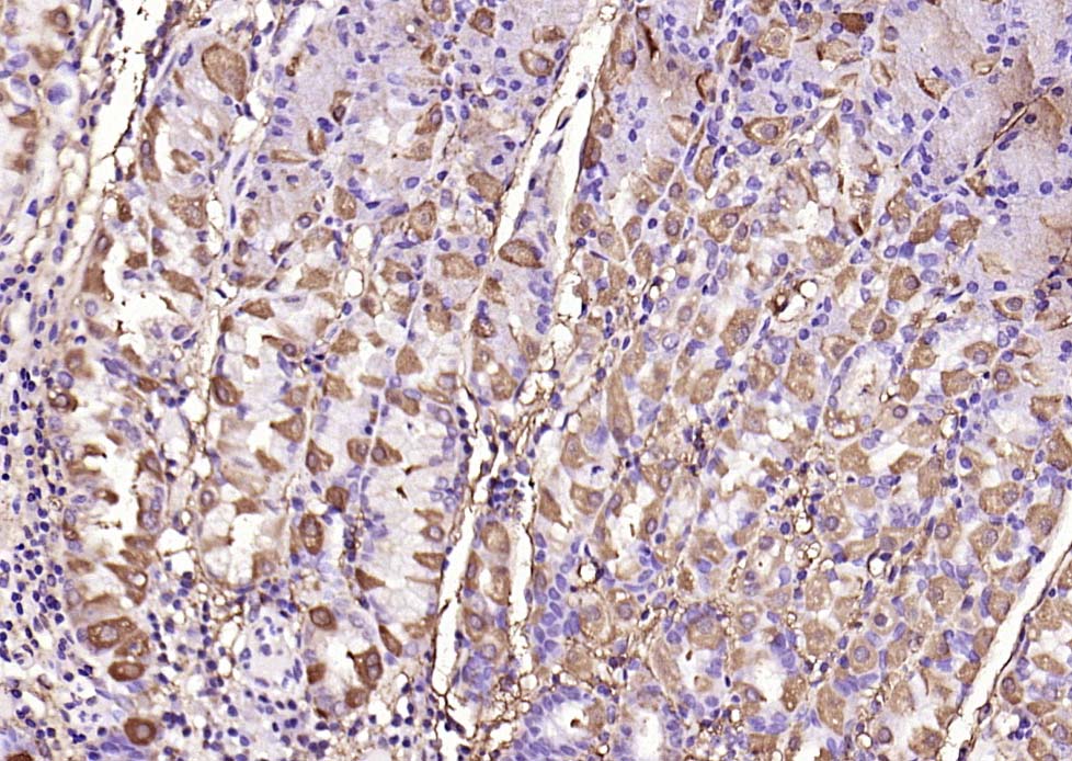
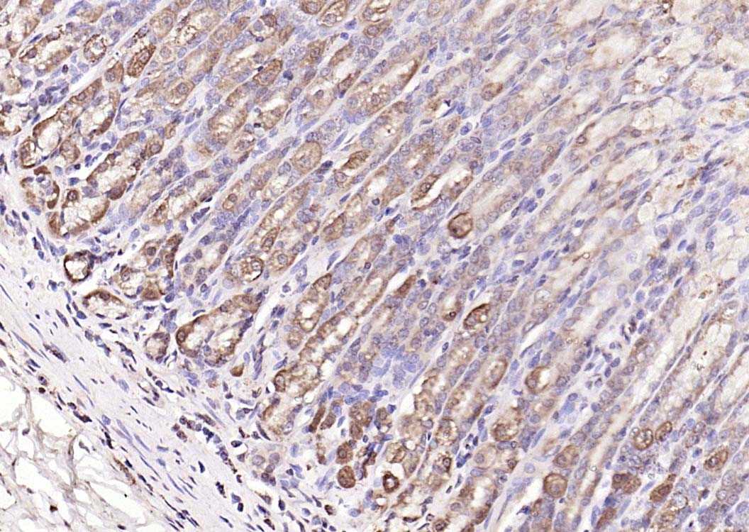
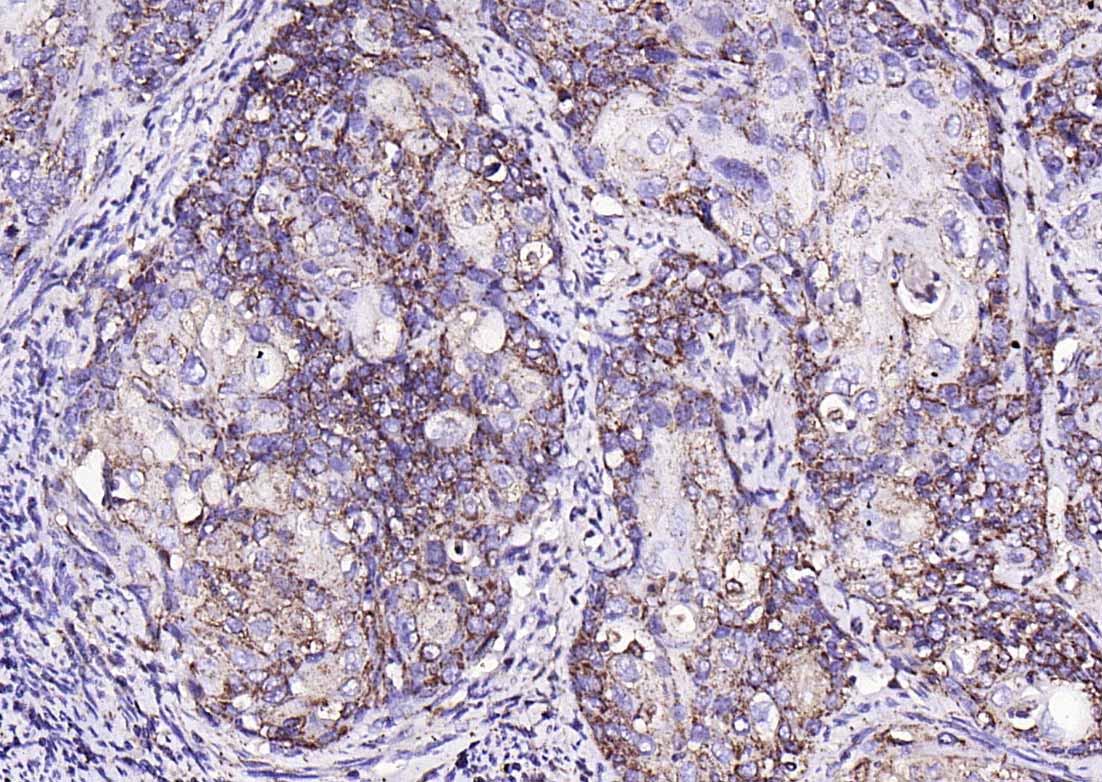
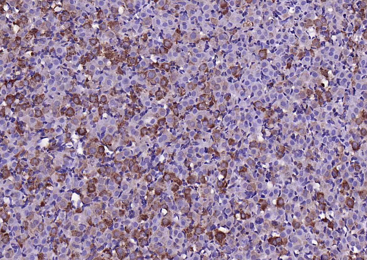
| 产品应用 | WB=1:500-2000, IHC-P=1:100-500, IHC-F=1:100-500, IF=1:100-500 Not yet tested in other applications. |
| 交叉反应 | Human, Mouse, Rat (Dog, Cow, Horse, Rabbit, Sheep) |
| 抗体来源 | Rabbit |
| 免疫原 | KLH conjugated synthetic peptide derived from human MMP-1 |
| 亚型 | IgG |
| 性状 | Liquid |
| 纯化方法 | affinity purified by Protein A |
| 克隆类型 | Polyclonal |
| 理论分子量 | 27/41/54 kDa |
| 浓度 | 1mg/ml |
| 储存液 | 0.01M TBS (pH7.4) with 1% BSA, 0.02% Proclin300 and 50% Glycerol. |
| 研究领域 | Cancer > Invasion/microenvironment > Angiogenesis > ECM enzymes > MMPs Cancer > Tumor biomarkers > Enzymes > MMPs Cardiovascular > Angiogenesis > Adhesion / ECM > Matrix Metalloproteinases > MMP Cardiovascular > Atherosclerosis > Thrombosis > Endothelial mediators/regulators Cell Biology > Proteolysis / Ubiquitin > Proteolytic enzymes > Metalloprotease > MMPs Signal Transduction > Cytoskeleton / ECM > Extracellular Matrix > ECM Enzymes > MMP |
| 亚基 | Interacts with HIV-1 Tat. |
| 亚细胞定位 | Secreted, extracellular space, extracellular matrix (Probable). |
| 翻译后修饰 | Undergoes autolytic cleavage to two major forms (22 kDa and 27 kDa). A minor form (25 kDa) is the glycosylated form of the 22 kDa form. The 27 kDa form has no activity while the 22/25 kDa form can act as activator for collagenase. |
| 相似性 | Belongs to the peptidase M10A family. Contains 4 hemopexin-like domains. |
| 功能 | Cleaves collagens of types I, II, and III at one site in the helical domain. Also cleaves collagens of types VII and X. In case of HIV infection, interacts and cleaves the secreted viral Tat protein, leading to a decrease in neuronal Tat's mediated neurotoxicity. |
| 保存条件 | Shipped at 4℃. Store at -20℃ for one year. Avoid repeated freeze/thaw cycles. |
| 注意事项 | This product as supplied is intended for research use only, not for use in human, therapeutic or diagnostic applications. |
| 背景资料 | The matrix metalloproteinases (MMPs) are a family of at least eighteen secreted and membrane bound zincendopeptidases. Collectively, these enzymes can degrade all the components of the extracellular matrix, including fibrillar and non fibrillar collagens, fibronectin, laminin and basement membrane glycoproteins. In general, a signal peptide, a propeptide, and a catalytic domain containing the highly conserved zinc binding site characterizes the structure of the MMPs. In addition, fibronectin like repeats, a hinge region, and a C terminal hemopexin like domain allow categorization of MMPs into the collagenase, gelatinase, stomelysin and membrane type MMP subfamilies. All MMPs are synthesized as proenzymes, and most of them are secreted from the cells as proenzymes. Thus, the activation of these proenzymes is a critical step that leads to extracellular matrix breakdown. MMPs are considered to play an important role in wound healing, apoptosis, bone elongation, embryo development, uterine involution, angiogenesis and tissue remodeling, and in diseases such as multiple sclerosis, Alzheimer's, malignant gliomas, lupus, arthritis, periodontis, glumerulonephritis, atherosclerosis, tissue ulceration, and in cancer cell invasion and metastasis. |
| 应用 | 推荐稀释比例 |
| {WB} | {1:500-2000} |
| {IHC-P} | {1:100-500} |
| {IHC-F} | {1:100-500} |
| {IF} | {1:100-500} |



Lane 1: Testis (Rat) Lysate at 40 ug
Lane 2: Testis (Mouse) Lysate at 40 ug
Primary: Anti-MMP-1 (bs-4597R) at 1/1000 dilution
Secondary: IRDye800CW Goat Anti-Rabbit IgG at 1/20000 dilution
Predicted band size: 54 kD
Observed band size: 54 kD




风险提示:丁香通仅作为第三方平台,为商家信息发布提供平台空间。用户咨询产品时请注意保护个人信息及财产安全,合理判断,谨慎选购商品,商家和用户对交易行为负责。对于医疗器械类产品,请先查证核实企业经营资质和医疗器械产品注册证情况。
文献和实验[IF={{ 6.51 }}] {Woan-Ruoh Lee. et al. Laser-assisted nanoparticle delivery to promote skin absorption and penetration depth of retinoic acid with the aim for treating photoaging. INT J PHARMACEUT. 2022 Nov;627:122162} {WB} {Human}
[IF={{ 5.606 }}] {Luo Ping. et al. IL-37 inhibits M1-like macrophage activation to ameliorate temporomandibular joint inflammation through the NLRP3 pathway. Rheumatology. 2020 Oct;59(10):3070-3080} {WB} {Human}
[IF={{ 5.4 }}] {Daijing Long. et al. TET2 promotes UVB-induced cell death by activating RIPK3-MLKL-necroptosis signaling. CHEM-BIOL INTERACT. 2025 May;:111550} {IHC} {Mouse}
[IF={{ 5.17 }}] {Ou et al. Tumor microenvironment B cells increase bladder cancer metastasis via modulation of the IL-8/androgen receptor (AR)/MMPs signals. (2015) Oncotarge. 6:26065-78} {WB} {Human}
[IF={{ 5.039 }}] {Luo P et al. IL‐37b alleviates inflammation in the temporomandibular joint cartilage via IL‐1R8 pathway. Cell Prolif. 2019 Sep 27:e12692.} {WB,IHC} {Human&Rat}
Assays of Proteoglycan and Collagen Degradation in Cultures of Rabbit Cartilage Explants
Cultures of cartilage explants have long been used to study the effects of modulators of extracellular matrix degradation. We present a simple and rapid assay system, based on culture of rabbit cartilage explants, which permits study
Use of EIA to Measure MMPs and TIMPs
the combination of a monoclonal antibody as the solid-phase with rabbit polyclonal antibody and horseradish peroxidase (HRP)-labeled donkey antirabbit gamma globulin as the second phase (2 ). EIAs for human MMP-9 were developed using MMP-9 specific polyclonal
= NAL), appears to form upon oxidative cyclization of the nonfluorescent 2:1 lysine-HNE Michael adduct-Schiff base cross-link (Scheme 1). Polyclonal antibody (PAb) to the NAL-HNE fluorophore was raised in rabbit and found to be highly specific
技术资料暂无技术资料 索取技术资料





