相关产品推荐更多 >

CDH6 Rabbit pAb, BF680 conjugated(bs-5823R-BF680)-100ul
¥2980
GLUT4 Rabbit pAb, Cy3 conjugated(bs-0384R-Cy3)-100ul
¥2980
GAD67 Rabbit pAb, APC conjugated(bs-1302R-APC)-100ul
¥2980
ADIPOR2/PAQR2 Rabbit pAb, Cy3 conjugated(bs-0611R-Cy3)-100ul
¥2980
Endomucin Rabbit pAb, Biotin conjugated(bs-5884R-Bio)-100ul
¥2980
万千商家帮你免费找货
0 人在求购买到急需产品
- 详细信息
- 文献和实验
- 技术资料
- 应用范围:
产品信息以Bioss网站为准
- 规格:
50ul/100ul/200ul
| 规格: | 50ul | 产品价格: | ¥1180.0 |
|---|---|---|---|
| 规格: | 100ul | 产品价格: | ¥1980.0 |
| 规格: | 200ul | 产品价格: | ¥2800.0 |
| 产品编号 | bs-1719R |
| 英文名称 | HPV16 E6 + HPV18 E6 Rabbit pAb |
| 中文名称 | 人类乳头状瘤病毒16/18 E6抗体 |
| 英文别名 | HPV16+HPV18 E6; HPV16/18 protein; Human Papilloma virus; E6; Human papillomavirus type 16 E6; Human papillomavirus type 18 E6; Protein E6 . |
| 产品应用 | WB=1:500-2000, IHC-P=1:100-500, IHC-F=1:100-500, IF=1:100-500, Flow-Cyt=1ug/Test Not yet tested in other applications. |
| 交叉反应 | HPV16, HPV18 |
| 抗体来源 | Rabbit |
| 免疫原 | KLH conjugated synthetic peptide derived from HPV16 E6+ HPV18 E6 |
| 亚型 | IgG |
| 性状 | Liquid |
| 纯化方法 | affinity purified by Protein A |
| 克隆类型 | Polyclonal |
| 理论分子量 | 11 kDa |
| 浓度 | 1mg/ml |
| 储存液 | 0.01M TBS (pH7.4) with 1% BSA, 0.02% Proclin300 and 50% Glycerol. |
| 保存条件 | Shipped at 4℃. Store at -20℃ for one year. Avoid repeated freeze/thaw cycles. |
| 注意事项 | This product as supplied is intended for research use only, not for use in human, therapeutic or diagnostic applications. |
| 应用 | 推荐稀释比例 |
| {WB} | {1:500-2000} |
| {IHC-P} | {1:100-500} |
| {IHC-F} | {1:100-500} |
| {IF} | {1:100-500} |
| {Flow-Cyt} | {1ug/Test} |

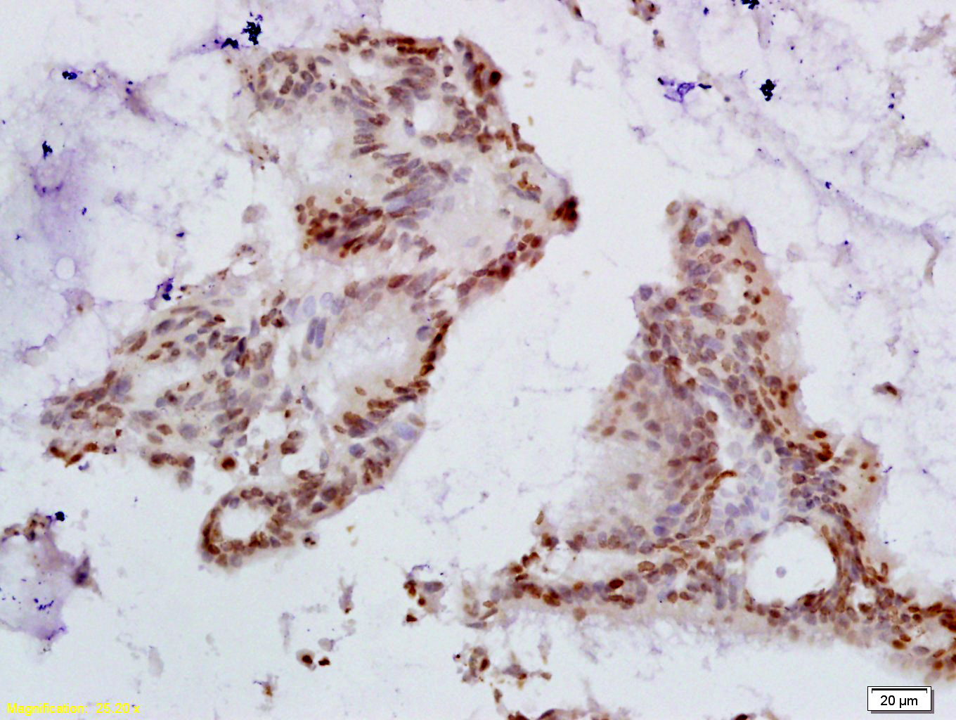
Tissue/cell: human colon carcinoma; 4% Paraformaldehyde-fixed and paraffin-embedded;
Antigen retrieval: citrate buffer ( 0.01M, pH 6.0 ), Boiling bathing for 15min; Block endogenous peroxidase by 3% Hydrogen peroxide for 30min; Blocking buffer (normal goat serum,C-0005) at 37℃ for 20 min;
Incubation: Anti-HPV16 E6+HPV18 E6 Polyclonal Antibody, Unconjugated(bs-1719R) 1:200, overnight at 4°C, followed by conjugation to the secondary antibody(SP-0023) and DAB(C-0010) staining
Antigen retrieval: citrate buffer ( 0.01M, pH 6.0 ), Boiling bathing for 15min; Block endogenous peroxidase by 3% Hydrogen peroxide for 30min; Blocking buffer (normal goat serum,C-0005) at 37℃ for 20 min;
Incubation: Anti-HPV16 E6+HPV18 E6 Polyclonal Antibody, Unconjugated(bs-1719R) 1:200, overnight at 4°C, followed by conjugation to the secondary antibody(SP-0023) and DAB(C-0010) staining

Sample:
Lane 1: Recombinant HPV16 E6 protein, DsbC & His(bs-49102P) 0.1ug
Lane 2: Recombinant HPV16 E6 protein, DsbC & His(bs-49102P) 0.05ug
Primary: Anti-HPV16 E6 + HPV18 E6 (bs-1719R) at 1/1000 dilution
Secondary: IRDye800CW Goat Anti-Rabbit IgG at 1/20000 dilution
Predicted band size: 11 kDa
Observed band size: 50 kDa
Lane 1: Recombinant HPV16 E6 protein, DsbC & His(bs-49102P) 0.1ug
Lane 2: Recombinant HPV16 E6 protein, DsbC & His(bs-49102P) 0.05ug
Primary: Anti-HPV16 E6 + HPV18 E6 (bs-1719R) at 1/1000 dilution
Secondary: IRDye800CW Goat Anti-Rabbit IgG at 1/20000 dilution
Predicted band size: 11 kDa
Observed band size: 50 kDa

Blank control(black line):Hela.
Primary Antibody (green line): Rabbit Anti-HPV16 E6 + HPV18 E6 antibody (bs-1719R)
Dilution:1ug/Test;
Secondary Antibody(white blue line): Goat anti-rabbit IgG-AF488
Dilution: 0.5ug/Test.
Isotype control(orange line): Normal Rabbit IgG
Protocol
The cells were fixed with 4% PFA (10min at room temperature)and then permeabilized with 90% ice-cold methanol for 20 min at -20℃, The cells were then incubated in 5%BSA to block non-specific protein-protein interactions for 30 min at room temperature .Cells stained with Primary Antibody for 30 min at room temperature. The secondary antibody used for 40 min at room temperature. Acquisition of 20,000 events was performed.
Primary Antibody (green line): Rabbit Anti-HPV16 E6 + HPV18 E6 antibody (bs-1719R)
Dilution:1ug/Test;
Secondary Antibody(white blue line): Goat anti-rabbit IgG-AF488
Dilution: 0.5ug/Test.
Isotype control(orange line): Normal Rabbit IgG
Protocol
The cells were fixed with 4% PFA (10min at room temperature)and then permeabilized with 90% ice-cold methanol for 20 min at -20℃, The cells were then incubated in 5%BSA to block non-specific protein-protein interactions for 30 min at room temperature .Cells stained with Primary Antibody for 30 min at room temperature. The secondary antibody used for 40 min at room temperature. Acquisition of 20,000 events was performed.
风险提示:丁香通仅作为第三方平台,为商家信息发布提供平台空间。用户咨询产品时请注意保护个人信息及财产安全,合理判断,谨慎选购商品,商家和用户对交易行为负责。对于医疗器械类产品,请先查证核实企业经营资质和医疗器械产品注册证情况。
文献和实验该产品被引用文献
[IF={{ 6.852 }}] {Yang JH et al. HPV16 E6/E7 upregulate hTERC mRNA and gene amplification levels by relieving the effect of LKB1 on Sp1 phosphorylation in lung cancer cells:. Ther Adv Med Oncol.2020 May 12;12:1758835920917562.} {WB} {Human}
[IF={{ 6.244 }}] {Xiaona Chen. et al. CXCL10 Produced by HPV-Positive Cervical Cancer Cells Stimulates Exosomal PDL1 Expression by Fibroblasts via CXCR3 and JAK-STAT Pathways. Front Oncol. 2021; 11: 629350} {IHC} {Human}
技术资料暂无技术资料 索取技术资料
文献支持
HPV16 E6 + HPV18 E6 Rabbit pAb(bs-1719R)-50ul/100ul/200ul
¥1180 - 2800





