相关产品推荐更多 >
万千商家帮你免费找货
0 人在求购买到急需产品
- 详细信息
- 文献和实验
- 技术资料
- 应用范围:
产品信息以Bioss网站为准
- 规格:
50ul/100ul/200ul
| 规格: | 50ul | 产品价格: | ¥1180.0 |
|---|---|---|---|
| 规格: | 100ul | 产品价格: | ¥1980.0 |
| 规格: | 200ul | 产品价格: | ¥2800.0 |
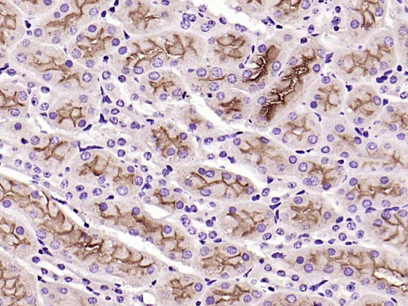
| 产品编号 | bs-0954R |
| 英文名称 | ET-1 Rabbit pAb |
| 中文名称 | 内皮素-1抗体 |
| 英文别名 | Endothelin-1; Big endothelin 1; EDN 1; EDN1; EDN1 protein; Endothelin1; ET 1; ET1; OTTHUMP00000039245; PPET1; Preproendothelin 1; Preproendothelin1. |
| 产品应用 | IHC-P=1:100-500, IHC-F=1:100-500, IF=1:100-500, Flow-Cyt=1ug/Test Not yet tested in other applications. |
| 交叉反应 | Human, Mouse, Rat (Dog, Pig, Cow, Horse, Sheep, GuineaPig) |
| 抗体来源 | Rabbit |
| 免疫原 | KLH conjugated synthetic peptide derived from human ET-1(CSCSSLMDKECVYFCHLDIIW Disulfide bridges C1-C15, C3-C11) |
| 亚型 | IgG |
| 性状 | Liquid |
| 纯化方法 | affinity purified by Protein A |
| 克隆类型 | Polyclonal |
| 理论分子量 | 2.5/24 kDa |
| 浓度 | 1mg/ml |
| 储存液 | 0.01M TBS (pH7.4) with 1% BSA, 0.02% Proclin300 and 50% Glycerol. |
| 研究领域 | Cancer > Cancer Metabolism > Response to hypoxia Cardiovascular > Vasculature > Endothelium Cardiovascular > Vasculature > Vasoconstriction Metabolism > Pathways and Processes > Metabolism processes > Hypoxia Metabolism > Types of disease > Cancer Signal Transduction > Growth Factors/Hormones > Hormones |
| 亚细胞定位 | Secreted. |
| 组织特异性 | Expressed in lung, placental stem villi vessels and in cultured placental vascular smooth muscle cells. |
| 相似性 | Belongs to the endothelin/sarafotoxin family. |
| 功能 | Endothelins are endothelium-derived vasoconstrictor peptides. |
| 保存条件 | Shipped at 4℃. Store at -20℃ for one year. Avoid repeated freeze/thaw cycles. |
| 注意事项 | This product as supplied is intended for research use only, not for use in human, therapeutic or diagnostic applications. |
| 背景资料 | Endothelins (ET) show potent constrictor activity in vascular and non-vascular smooth muscle. This family of 21-amino acid peptides exists in at least three isoforms - ET-1, ET-2, and ET-3, and is produced in endothelial and epithelial cells. ET's can mediate biological effects in cells and tissues, and have been shown to bind to an ET receptor in the lung, kidney, heart, and liver. Endothelin 1 is expressed in lung, placental stem villi vessels and in cultured placental vascular smooth muscle cells.Molecular weight: 2491.9Molecular formula: C109H159N25O32S5CAS: 117399-94-7MDL: MFCD00133305Reconstitution: 1mM (1mg/0.4013mL) |
| 应用 | 推荐稀释比例 |
| {IHC-P} | {1:100-500} |
| {IHC-F} | {1:100-500} |
| {IF} | {1:100-500} |
| {Flow-Cyt} | {1ug/Test} |

Primary Antibody (green line): Rabbit Anti-ET-1 antibody (bs-0954R)
Dilution: 1μg /10^6 cells;
Isotype Control Antibody (orange line): Rabbit IgG .
Secondary Antibody : Goat anti-rabbit IgG-AF647
Dilution: 1μg /test.
Protocol
The cells were fixed with 4% PFA (10min at room temperature)and then permeabilized with 0.1% PBST for 20 min at room temperature. The cells were then incubated in 5%BSA to block non-specific protein-protein interactions for 30 min at room temperature .Cells stained with Primary Antibody for 30 min at room temperature. The secondary antibody used for 40 min at room temperature. Acquisition of 20,000 events was performed.


风险提示:丁香通仅作为第三方平台,为商家信息发布提供平台空间。用户咨询产品时请注意保护个人信息及财产安全,合理判断,谨慎选购商品,商家和用户对交易行为负责。对于医疗器械类产品,请先查证核实企业经营资质和医疗器械产品注册证情况。
文献和实验[IF={{ 7.727 }}] {Jinbo Li. et al. Low dose shikonin and anthracyclines coloaded liposomes induce robust immunogenetic cell death for synergistic chemo-immunotherapy. J Control Release. 2021 Jul;335:306} {IHC} {Mouse}
[IF={{ 6.785 }}] {Tian B et al. Electrochemical Immunoassay of Endothelin-1 Based on a Fenton-Type Reaction Using Cu(II)-Containing Nanocomposites as NanozymesAnal Chem.2020 Dec 15;92(24):15916-15926.} {Other} {}
[IF={{ 6.1 }}] {Yiyan Xie. et al. Portable pH meter-based competitive immunoassay of E-selectin using urease-encapsulated metal-organic frameworks. TALANTA. 2025 Jan;:127613} {} {}
[IF={{ 5.988 }}] {Yang Liu. et al. Platycodon grandiflorus polysaccharides deeply participate in the anti-chronic bronchitis effects of platycodon grandiflorus decoction, a representative of "the lung and intestine are related". FRONT PHARMACOL. 2022 Sep 7;13:927384} {IF} {Rat}
[IF={{ 5.8 }}] {Zhu Li. et al. Acod1/itaconate activates Nrf2 in pulmonary microvascular endothelial cells to protect against the obesity-induced pulmonary microvascular endotheliopathy. RESP RES. 2024 Dec;25(1):1-13} {IF} {Mouse}
= NAL), appears to form upon oxidative cyclization of the nonfluorescent 2:1 lysine-HNE Michael adduct-Schiff base cross-link (Scheme 1). Polyclonal antibody (PAb) to the NAL-HNE fluorophore was raised in rabbit and found to be highly specific
) ELISA 48T/96T 2000/3000 进口分装 F20030 兔内皮素 -1(rabbit ET-1) ELISA 48T/96T 2000/3000 进口分装 F20040 兔纤维蛋白原降解产物 (rabbit FDP
-Selectin) ELISA 48T/96T 2000/3000 进口分装 F2003 兔内皮素-1(rabbit ET-1) ELISA 48T/96T 2000/3000 进口分装 F2004 兔纤维蛋白原降解产物(rabbit FDP) ELISA 48T/96T 2000/3000 进口分装 F2005 兔碱性成纤维生长因子 (rabbit b-FGF) ELISA 48T/96T 2000/3000 进口分装 F2015 兔透明
技术资料暂无技术资料 索取技术资料









