相关产品推荐更多 >

TAGL2 Rabbit pAb, BF594 conjugated(bs-2977R-BF594)-100ul
¥2980
Parvalbumin Rabbit pAb, BF405 conjugated(bs-1299R-BF405)-100ul
¥2980
GIP Rabbit pAb, Biotin conjugated(bs-0098R-Bio)-100ul
¥2980
Histone binding protein/SLBP Rabbit pAb, AP conjugated(bs-19791R-AP)-100ul
¥2980
Ig kappa chain C region Rabbit pAb(bs-3800R)-50ul/100ul/200ul
¥1180
万千商家帮你免费找货
0 人在求购买到急需产品
- 详细信息
- 文献和实验
- 技术资料
- 应用范围:
产品信息以Bioss网站为准
- 规格:
50ul/100ul/200ul
| 规格: | 50ul | 产品价格: | ¥1180.0 |
|---|---|---|---|
| 规格: | 100ul | 产品价格: | ¥1980.0 |
| 规格: | 200ul | 产品价格: | ¥2800.0 |
| 产品编号 | bs-1812R |
| 英文名称 | Notch3 Rabbit pAb |
| 中文名称 | 跨膜受体蛋白Notch-3抗体 |
| 英文别名 | CADASIL; CASIL; NOTC3_HUMAN; Notch 3; Notch 3 intracellular domain; Notch homolog 3; Notch3. |
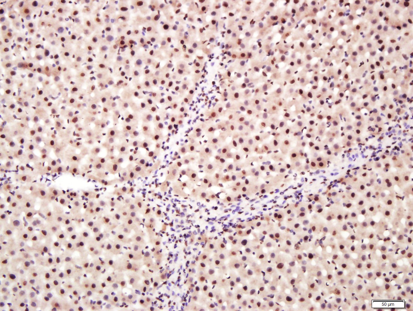
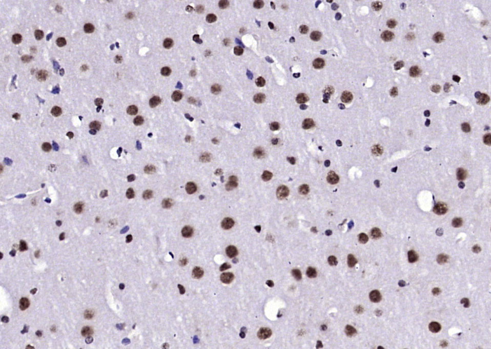
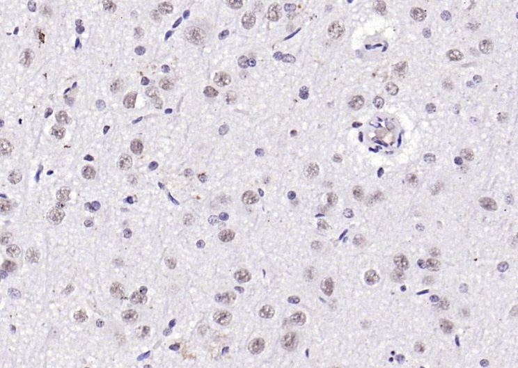
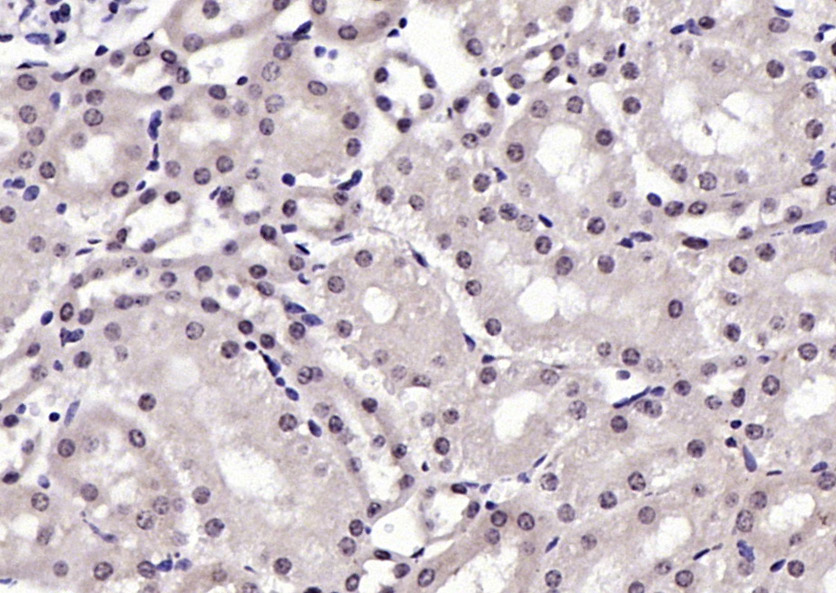
| 产品应用 | IHC-P=1:100-500, IHC-F=1:100-500, IF=1:100-500, Flow-Cyt=1ug/Test Not yet tested in other applications. |
| 交叉反应 | Human, Mouse, Rat |
| 抗体来源 | Rabbit |
| 免疫原 | KLH conjugated synthetic peptide derived from mouse Notch3 |
| 亚型 | IgG |
| 性状 | Liquid |
| 纯化方法 | affinity purified by Protein A |
| 克隆类型 | Polyclonal |
| 理论分子量 | 255 kDa |
| 浓度 | 1mg/ml |
| 储存液 | 0.01M TBS (pH7.4) with 1% BSA, 0.02% Proclin300 and 50% Glycerol. |
| 研究领域 | Cardiovascular > Heart > Cardiogenesis > Transcription factors/regulators Epigenetics and Nuclear Signaling > Cell cycle > Cell Differentiation Epigenetics and Nuclear Signaling > Transcription > Other factors Neuroscience > Neurology process > Notch Pathway Stem Cells > Hematopoietic Progenitors > Surface Molecules Stem Cells > Neural Stem Cells > Surface Molecules Stem Cells > Signaling Pathways > Notch > Surface Molecules |
| 亚基 | Heterodimer of a C-terminal fragment N(TM) and a N-terminal fragment N(EC) which are probably linked by disulfide bonds. Interacts with MAML1, MAML2 and MAML3 which act as transcriptional coactivators for NOTCH3. Interacts with PSMA1. Interacts with HIF1AN. |
| 亚细胞定位 | Cell membrane; Single-pass type I membrane protein. Notch 3 intracellular domain: Nucleus. Note=Following proteolytical processing NICD is translocated to the nucleus. |
| 组织特异性 | Ubiquitously expressed in fetal and adult tissues. |
| 翻译后修饰 | Synthesized in the endoplasmic reticulum as an inactive form which is proteolytically cleaved by a furin-like convertase in the trans-Golgi network before it reaches the plasma membrane to yield an active, ligand-accessible form. Cleavage results in a C-terminal fragment N(TM) and a N-terminal fragment N(EC). Following ligand binding, it is cleaved by TNF-alpha converting enzyme (TACE) to yield a membrane-associated intermediate fragment called notch extracellular truncation (NEXT). This fragment is then cleaved by presenilin dependent gamma-secretase to release a notch-derived peptide containing the intracellular domain (NICD) from the membrane. Phosphorylated. Hydroxylated by HIF1AN. |
| 相似性 | Belongs to the NOTCH family. Contains 5 ANK repeats. Contains 34 EGF-like domains. Contains 3 LNR (Lin/Notch) repeats. |
| 功能 | Functions as a receptor for membrane-bound ligands Jagged1, Jagged2 and Delta1 to regulate cell-fate determination. Upon ligand activation through the released notch intracellular domain (NICD) it forms a transcriptional activator complex with RBPJ/RBPSUH and activates genes of the enhancer of split locus. Affects the implementation of differentiation, proliferation and apoptotic programs. |
| 保存条件 | Shipped at 4℃. Store at -20℃ for one year. Avoid repeated freeze/thaw cycles. |
| 注意事项 | This product as supplied is intended for research use only, not for use in human, therapeutic or diagnostic applications. |
| 背景资料 | This gene encodes the third discovered human homologue of the Drosophilia melanogaster type I membrane protein notch. In Drosophilia, notch interaction with its cell-bound ligands (delta, serrate) establishes an intercellular signalling pathway that plays a key role in neural development. Homologues of the notch-ligands have also been identified in human, but precise interactions between these ligands and the human notch homologues remains to be determined. Mutations in NOTCH3 have been identified as the underlying cause of cerebral autosomal dominant arteriopathy with subcortical infarcts and leukoencephalopathy (CADASIL). [provided by RefSeq, Jul 2008] |
| 应用 | 推荐稀释比例 |
| {IHC-P} | {1:100-500} |
| {IHC-F} | {1:100-500} |
| {IF} | {1:100-500} |
| {Flow-Cyt} | {1ug/Test} |



Primary Antibody (green line): Rabbit Anti-Notch3 antibody (bs-1812R)
Dilution: 1ug/Test;
Secondary Antibody : Goat anti-rabbit IgG-FITC
Dilution: 0.5ug/Test.
Protocol
The cells were fixed with 4% PFA (10min at room temperature)and then permeabilized with 90% ice-cold methanol for 20 min at -20℃.The cells were then incubated in 5%BSA to block non-specific protein-protein interactions for 30 min at room temperature .Cells stained with Primary Antibody for 30 min at room temperature. The secondary antibody used for 40 min at room temperature. Acquisition of 20,000 events was performed.



风险提示:丁香通仅作为第三方平台,为商家信息发布提供平台空间。用户咨询产品时请注意保护个人信息及财产安全,合理判断,谨慎选购商品,商家和用户对交易行为负责。对于医疗器械类产品,请先查证核实企业经营资质和医疗器械产品注册证情况。
文献和实验[IF={{ 17.521 }}] {Hao Sun. et al. Silencing of NOTCH3 Signaling in Meniscus Smooth Muscle Cells Inhibits Fibrosis and Exacerbates Degeneration in a HEYL-Dependent Manner. Advanced Science. 2023 Apr;:2207020} {IHC,IF} {Human}
[IF={{ 1.984 }}] {Zhan J et al. In Vivo Study on the Effects of Xiaoaiping on the Stemness of Hepatocellular Carcinoma Cells. Evid Based Complement Alternat Med. 2019 Jun 23;2019:4738243.} {WB} {Human}
= NAL), appears to form upon oxidative cyclization of the nonfluorescent 2:1 lysine-HNE Michael adduct-Schiff base cross-link (Scheme 1). Polyclonal antibody (PAb) to the NAL-HNE fluorophore was raised in rabbit and found to be highly specific
GE Healthcare Benzamidine Sepharose™ 6B is p-aminobenzamidine covalently attached to Sepharose 6B by the epoxy coupling method. p-Aminobenzamidine (PAB), is a synthetic inhibitor of trypsin-like serine protease. Trypsin and trypsin
Clinical Chemistry and Other Laboratory Tests on Mouse Plasma or Serum
/) 96‐well plate (8 well removable strips) coated with polyclonal rabbit anti‐PINP antibody (from Competitive ELISA kit; IDS Ltd, http://www.idsplc.com/) Precision
技术资料暂无技术资料 索取技术资料





