相关产品推荐更多 >

phospho-IRS1 (Tyr632) Rabbit pAb, APC-Cy5.5 conjugated(bs-8707R-APC-Cy5.5)-100ul
¥2980
SNRK Rabbit pAb(bs-12656R)-50ul/100ul/200ul
¥1180
ZNF763 Rabbit pAb(bs-16490R)-50ul/100ul/200ul
¥1180
phospho-MAP3K7IP1 (Thr431) Rabbit pAb(bs-5496R)-50ul/100ul/200ul
¥1180
RASGRF1 Rabbit pAb(bs-3560R)-50ul/100ul/200ul
¥1180
万千商家帮你免费找货
0 人在求购买到急需产品
- 详细信息
- 文献和实验
- 技术资料
- 应用范围:
产品信息以Bioss网站为准
- 规格:
50ul/100ul/200ul
| 规格: | 50ul | 产品价格: | ¥1180.0 |
|---|---|---|---|
| 规格: | 100ul | 产品价格: | ¥1980.0 |
| 规格: | 200ul | 产品价格: | ¥2800.0 |
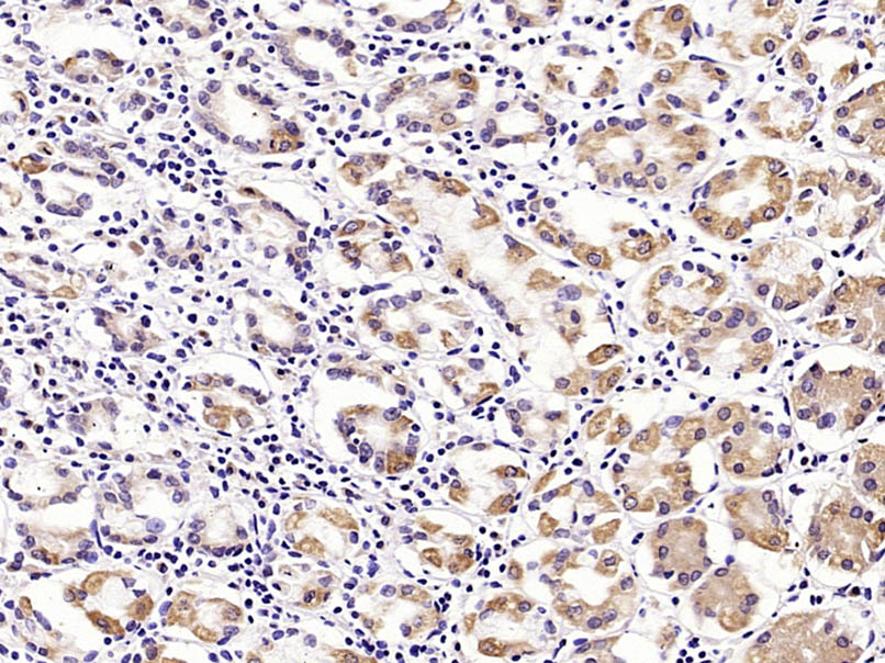
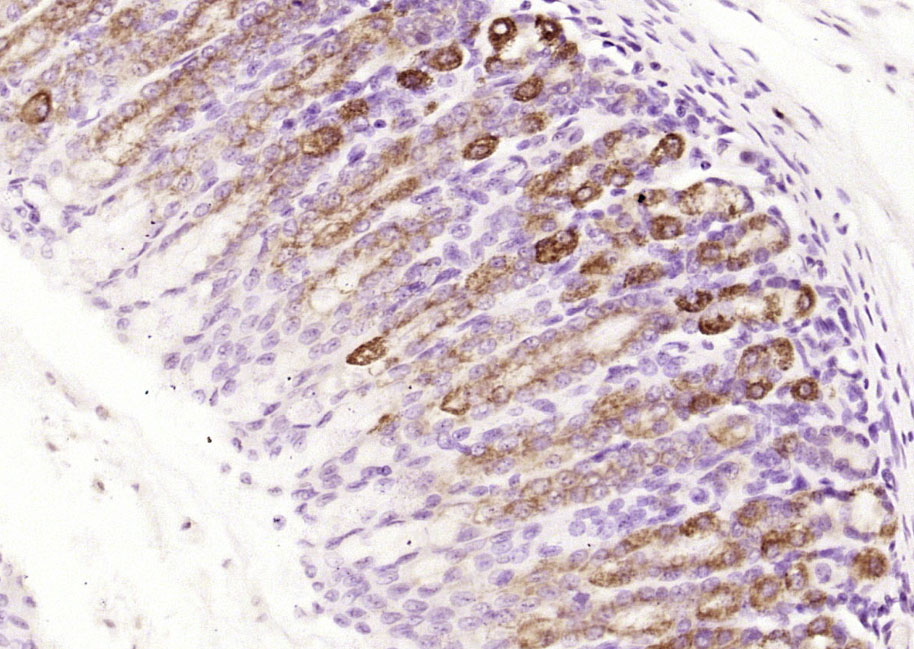
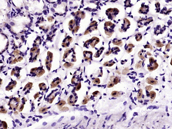
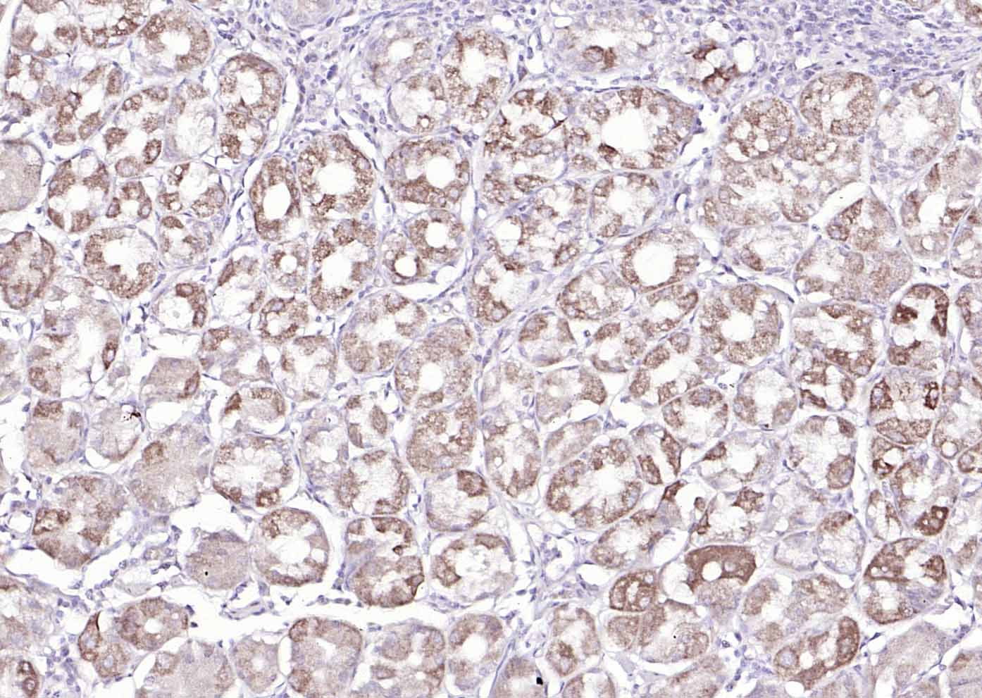
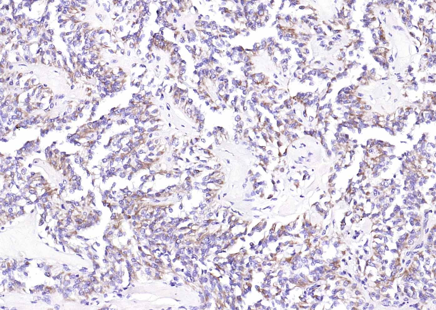
| 产品编号 | bs-7166R |
| 英文名称 | MUC5AC Rabbit pAb |
| 中文名称 | 胃粘液素抗体 |
| 英文别名 | MUC5AC Glycoprotein; Gastric Mucin M1; Apomucin; Major Airway Glycoprotein; MUC 5; MUC5; Mucin 5 subtype AC tracheobronchial; Mucin 5 Subtypes A And C; Mucin 5 subtypes A and C tracheobronchial/gastric; TBM; Tracheobronchial Mucin. |
| 产品应用 | IHC-P=1:100-500, IHC-F=1:100-500, IF=1:100-500 Not yet tested in other applications. |
| 交叉反应 | Human, Mouse, Rat (Dog, Horse) |
| 抗体来源 | Rabbit |
| 免疫原 | KLH conjugated synthetic peptide derived from human MUC5AC/Mucin 5AC |
| 亚型 | IgG |
| 性状 | Liquid |
| 纯化方法 | affinity purified by Protein A |
| 克隆类型 | Polyclonal |
| 理论分子量 | 523 kDa |
| 浓度 | 1mg/ml |
| 储存液 | 0.01M TBS (pH7.4) with 1% BSA, 0.02% Proclin300 and 50% Glycerol. |
| 研究领域 | Cancer > Invasion/microenvironment > ECM > Extracellular matrix > MUC Cancer > Tumor biomarkers > Tumor antigens Cancer > Tumor immunology > Tumor-associated antigens Signal Transduction > Cytoskeleton / ECM > Extracellular Matrix > ECM Proteins > MUC |
| 亚基 | Multimeric. Interacts with H.pylori in the gastric epithelium, Barrett's esophagus as well as in gastric metaplasia of the duodenum (GMD). |
| 亚细胞定位 | Secreted; Cytoplasmic and cell surface |
| 组织特异性 | Highly expressed in surface mucosal cells of respiratory tract and stomach epithelia. Overexpressed in a number of carcinomas. Also expressed in Barrett's esophagus epithelium and in the proximal duodenum. |
| 翻译后修饰 | C-, O- and N-glycosylated. O-glycosylated on the Thr-/Ser-rich tandem repeats. C-mannosylation in the Cys-rich subdomains may be required for proper folding of these regions and for export from the endoplasmic reticulum during biosynthesis. Proteolytic cleavage in the C-terminal is initiated early in the secretory pathway and does not involve a serine protease. The extent of cleavage is increased in the acidic parts of the secretory pathway. Cleavage generates a reactive group which could link the protein to a primary amide. |
| 相似性 | Contains 1 CTCK (C-terminal cystine knot-like) domain. Contains 2 VWFC domains. Contains 4 VWFD domains. |
| 功能 | Gel-forming glycoprotein of gastric and respiratoy tract epithelia that protects the mucosa from infection and chemical damage by binding to inhaled microrganisms and particles that are subsequently removed by the mucocilary system. |
| 保存条件 | Shipped at 4℃. Store at -20℃ for one year. Avoid repeated freeze/thaw cycles. |
| 注意事项 | This product as supplied is intended for research use only, not for use in human, therapeutic or diagnostic applications. |
| 背景资料 | Mucin is a high M.W. (>1,000 kDa) glycoprotein, expressed by mucus cells of the gastric epithelium and by goblet cells of the fetal, precancerous and cancerous colon, but not by those of the normal colon. It also appears in other epithelial tissues, which are embryologically derived from the foregut (epigastric and bronchial epithelium) and in Müller ducts (mucus cells of the endocervix and urethral epithelium near the prostatic utriculus). The expression of MUC5AC has been frequently observed in gastric carcinomas and may be used as a marker of gastric differentiation. |
| 应用 | 推荐稀释比例 |
| {IHC-P} | {1:100-500} |
| {IHC-F} | {1:100-500} |
| {IF} | {1:100-500} |





风险提示:丁香通仅作为第三方平台,为商家信息发布提供平台空间。用户咨询产品时请注意保护个人信息及财产安全,合理判断,谨慎选购商品,商家和用户对交易行为负责。对于医疗器械类产品,请先查证核实企业经营资质和医疗器械产品注册证情况。
文献和实验[IF={{ 8.46 }}] {Taki, K., et al. "GNASR201H and KrasG12D cooperate to promote murine pancreatic tumorigenesis recapitulating human intraductal papillary mucinous neoplasm." Oncogene 35.18 (2016): 2407-2412.} {IHC} {="Mouse"}
[IF={{ 7.5 }}] {Wu Meirong. et al. Culture and expansion of murine proximal airway basal stem cells. STEM CELL RES THER. 2024 Dec;15(1):1-13} {IF} {Mouse}
[IF={{ 7.2 }}] {Lu Liu. et al. Scutellarein alleviates chronic obstructive pulmonary disease through inhibition of ferroptosis by chelating iron and interacting with arachidonate 15-lipoxygenase. PHYTOTHER RES. 2023 Jun;:} {IHC} {Mouse}
[IF={{ 7.1 }}] {Kiyoshi Saeki. et al. Acvr1b Loss Increases Formation of Pancreatic Precancerous Lesions From Acinar and Ductal Cells of Origin. CELL MOL GASTROENTER. 2024 Jan;18:101387} {IHC} {Mouse}
[IF={{ 7.076 }}] {Annika Sünderhauf. et al. Loss of Mucosal p32/gC1qR/HABP1 Triggers Energy Deficiency and Impairs Goblet Cell Differentiation in Ulcerative Colitis. Cell Mol Gastroenter. 2021 Jan;:} {ELISA,IHC} {Mouse}
= NAL), appears to form upon oxidative cyclization of the nonfluorescent 2:1 lysine-HNE Michael adduct-Schiff base cross-link (Scheme 1). Polyclonal antibody (PAb) to the NAL-HNE fluorophore was raised in rabbit and found to be highly specific
GE Healthcare Benzamidine Sepharose™ 6B is p-aminobenzamidine covalently attached to Sepharose 6B by the epoxy coupling method. p-Aminobenzamidine (PAB), is a synthetic inhibitor of trypsin-like serine protease. Trypsin and trypsin
Nucleic Acid Programmable Protein Arrays: Versatile Tools for Array‐Based Functional Protein Studies
.g., Sigma) 50 mg/ml bis‐sulfosuccinimdylsuberate (BS3 ;Pierce, cat. no. PI 21580) in dimethylsulfoxide (DMSO) 5 mg/ml
技术资料暂无技术资料 索取技术资料






