相关产品推荐更多 >

MERTK Rabbit pAb(bs-23694R)-50ul/100ul/200ul
¥1180
SLCO2A1 Rabbit pAb, PerCP-Cy5.5 conjugated(bs-4710R-PerCP-Cy5.5)-100ul
¥2980
Synaptopodin Rabbit pAb, PerCP conjugated(bs-3633R-PerCP)-100ul
¥2980
HSP90 beta Rabbit pAb(bs-0135R)-50ul/100ul/200ul
¥1180
Cathepsin G Rabbit pAb, Biotin conjugated(bs-1598R-Bio)-100ul
¥2980
万千商家帮你免费找货
0 人在求购买到急需产品
- 详细信息
- 询价记录
- 文献和实验
- 技术资料
- 应用范围:
产品信息以Bioss网站为准
- 规格:
50ul/100ul/200ul
| 规格: | 50ul | 产品价格: | ¥1180.0 |
|---|---|---|---|
| 规格: | 100ul | 产品价格: | ¥1980.0 |
| 规格: | 200ul | 产品价格: | ¥2800.0 |
| 产品编号 | bs-2184R |
| 英文名称 | NQO1 Rabbit pAb |
| 中文名称 | 醌氧化还原酶抗体 |
| 英文别名 | Azoreductase; Cytochrome b 5 reductase; DHQU; DIA 4; DIA4; Diaphorase(NADH/NADPH)(cytochrome b 5 reductase); Diaphorase(NADH/NADPH)(cytochrome b-5 reductase); Diaphorase(NADH/NADPH)(cytochrome b-5 reductase); Diaphorase(NADH/NADPH); Diaphorase 4; Dioxin inducible 1; DT diaphorase; DT-diaphorase; DTD; Menadione reductase; NAD(P)H dehydrogenase [quinone] 1; NAD(P)H dehydrogenase quinone 1; NAD(P)H menadione oxidoreductase 1 dioxin inducible; NAD(P)H: menadione oxidoreductase 1 dioxin inducible 1; NAD(P)H:menadione oxidoreductase 1; NAD(P)H:Quinone acceptor oxidoreductase type 1; NAD(P)H:quinone oxidoreductase 1; NAD(P)H:quinone oxireductase; NMOR 1; NMOR I; NMOR1; NMORI; NQO 1; NQO1_HUMAN; Phylloquinone reductase; Phylloquinone reductase; QR 1; QR1; Quinone reductase 1; Quinone reductase 1. |
| 产品应用 | WB=1:500-2000, IHC-P=1:100-500, IHC-F=1:100-500, ICC/IF=1:50-200, IF=1:100-500 Not yet tested in other applications. |
| 交叉反应 | Human, Mouse, Rat (Pig, Horse, Rabbit, GuineaPig) |
| 抗体来源 | Rabbit |
| 免疫原 | KLH conjugated synthetic peptide derived from human NQO1 |
| 亚型 | IgG |
| 性状 | Liquid |
| 纯化方法 | affinity purified by Protein A |
| 克隆类型 | Polyclonal |
| 理论分子量 | 31 kDa |
| 浓度 | 1mg/ml |
| 储存液 | 0.01M TBS (pH7.4) with 1% BSA, 0.02% Proclin300 and 50% Glycerol. |
| 研究领域 | Metabolism > Pathways and Processes > Metabolic signaling pathways > Drug metabolism Metabolism > Types of disease > Cancer Signal Transduction > Metabolism > Drug metabolism |
| 亚基 | Homodimer. |
| 亚细胞定位 | Cytoplasm. |
| 相似性 | Belongs to the NAD(P)H dehydrogenase (quinone) family. |
| 功能 | The enzyme apparently serves as a quinone reductase in connection with conjugation reactions of hydroquinons involved in detoxification pathways as well as in biosynthetic processes such as the vitamin K-dependent gamma-carboxylation of glutamate residues in prothrombin synthesis. |
| 保存条件 | Shipped at 4℃. Store at -20℃ for one year. Avoid repeated freeze/thaw cycles. |
| 注意事项 | This product as supplied is intended for research use only, not for use in human, therapeutic or diagnostic applications. |
| 背景资料 | This gene is a member of the NAD(P)H dehydrogenase (quinone) family and encodes a cytoplasmic 2-electron reductase. This FAD-binding protein forms homodimers and reduces quinones to hydroquinones. This protein's enzymatic activity prevents the one electron reduction of quinones that results in the production of radical species. Mutations in this gene have been associated with tardive dyskinesia (TD), an increased risk of hematotoxicity after exposure to benzene, and susceptibility to various forms of cancer. Altered expression of this protein has been seen in many tumors and is also associated with Alzheimer's disease (AD). Alternate transcriptional splice variants, encoding different isoforms, have been characterized. [provided by RefSeq]. |
| 应用 | 推荐稀释比例 |
| {WB} | {1:500-2000} |
| {IHC-P} | {1:100-500} |
| {IHC-F} | {1:100-500} |
| {ICC/IF} | {1:50-200} |
| {IF} | {1:100-500} |


A549(Human) Cell Lysate at 30 ug
Primary: Anti-NQO1 (bs-2184R) at 1/1000 dilution
Secondary: IRDye800CW Goat Anti-Rabbit IgG at 1/20000 dilution
Predicted band size: 31 kD
Observed band size: 31 kD

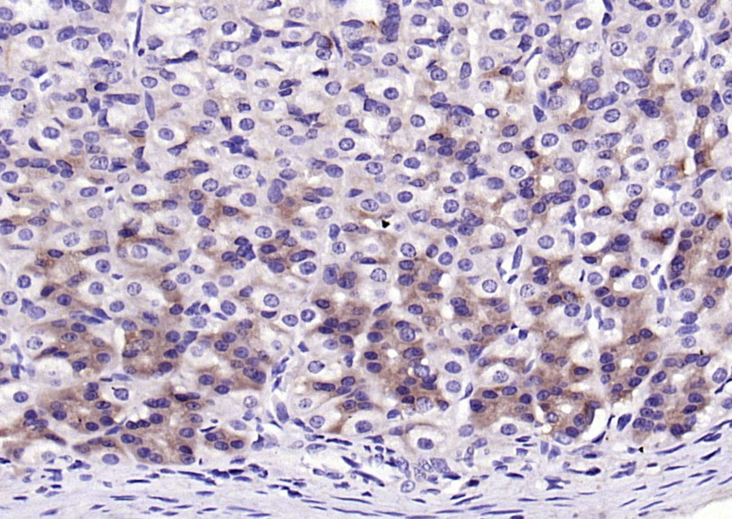
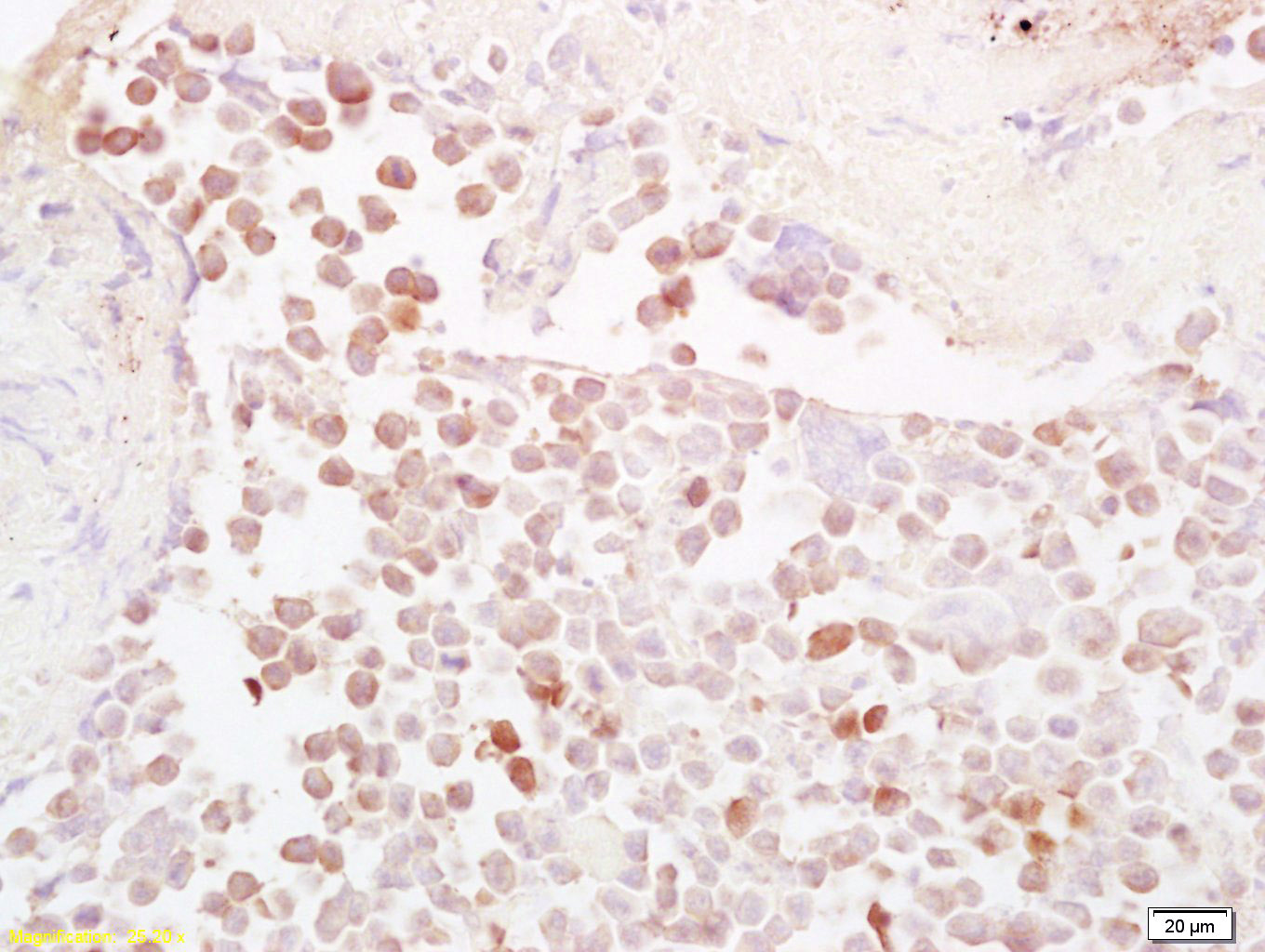
Antigen retrieval: citrate buffer ( 0.01M, pH 6.0 ), Boiling bathing for 15min; Block endogenous peroxidase by 3% Hydrogen peroxide for 30min; Blocking buffer (normal goat serum,C-0005) at 37℃ for 20 min;
Incubation: Anti-NQO1 Polyclonal Antibody, Unconjugated(bs-2184R) 1:200, overnight at 4°C, followed by conjugation to the secondary antibody(SP-0023) and DAB(C-0010) staining


风险提示:丁香通仅作为第三方平台,为商家信息发布提供平台空间。用户咨询产品时请注意保护个人信息及财产安全,合理判断,谨慎选购商品,商家和用户对交易行为负责。对于医疗器械类产品,请先查证核实企业经营资质和医疗器械产品注册证情况。
- 作者
- 内容
- 询问日期
文献和实验[IF={{ 8.2 }}] {Yaqi Li. et al. Non-thermal plasma promotes boar sperm quality through increasing AMPK methylation. INT J BIOL MACROMOL. 2024 Feb;257:128768} {WB} {Pig}
[IF={{ 7.9 }}] {Yu-Sheng Shi. et al. Dendrobine rescues cognitive dysfunction in diabetic encephalopathy by inhibiting ferroptosis via activating Nrf2/GPX4 axis. PHYTOMEDICINE. 2023 Jul;:154993} {WB} {Mouse}
[IF={{ 7.129 }}] {Yuan-yuan Wei. et al. Acute liver injury induced by carbon tetrachloride reversal by Gandankang aqueous extracts through nuclear factor erythroid 2-related factor 2 signaling pathway. ECOTOX ENVIRON SAFE. 2023 Feb;251:114527} {WB} {Mouse}
[IF={{ 7.129 }}] {Rui Sang. et al. Taraxasterol alleviates aflatoxin B1-induced liver damage in broiler chickens via regulation of oxidative stress, apoptosis and autophagy. ECOTOX ENVIRON SAFE. 2023 Feb;251:114546} {WB} {Chicken}
[IF={{ 6.992 }}] {Qingyue Yang. et al. The link between deacetylation and hepatotoxicity induced by exposure to hexavalent chromium. J Adv Res. 2021 Apr;:} {WB} {Rat}
= NAL), appears to form upon oxidative cyclization of the nonfluorescent 2:1 lysine-HNE Michael adduct-Schiff base cross-link (Scheme 1). Polyclonal antibody (PAb) to the NAL-HNE fluorophore was raised in rabbit and found to be highly specific
GE Healthcare Benzamidine Sepharose™ 6B is p-aminobenzamidine covalently attached to Sepharose 6B by the epoxy coupling method. p-Aminobenzamidine (PAB), is a synthetic inhibitor of trypsin-like serine protease. Trypsin and trypsin
Developing Genetically Engineered Mouse Models to Study Tumor Suppression
models. Oncogene 26:2177‐2184. Jacks, T., Fazeli, A., Schmitt, E.M., Bronson, R.T., Goodell, M.A., and Weinberg, R.A. 1992. Effects of an Rb mutation in the mouse. Nature 359
技术资料暂无技术资料 索取技术资料





