相关产品推荐更多 >
万千商家帮你免费找货
0 人在求购买到急需产品
- 详细信息
- 文献和实验
- 技术资料
- 应用范围:
产品信息以Bioss网站为准
- 规格:
50ul/100ul/200ul
| 规格: | 50ul | 产品价格: | ¥1180.0 |
|---|---|---|---|
| 规格: | 100ul | 产品价格: | ¥1980.0 |
| 规格: | 200ul | 产品价格: | ¥2800.0 |
| 产品编号 | bs-1000R |
| 英文名称 | CNPase Rabbit pAb |
| 中文名称 | 2’,3’-环腺苷酸-3’-磷酸二酯酶抗体 |
| 英文别名 | 2', 3'-cyclic-nucleotide 3'-phosphodiesterase; CNPase; Cnp; Cnp-1; Cnp1; 2''; 2'3' cyclic nucleotide 3' phosphodiesterase; 2'3'-cyclic-nucleotide 3'-phosphodiesterase; 3''-cyclic-nucleotide 3''-phosphodiesterase; CN37_HUMAN; CNP 1; CNP; CNP1. |
| 产品应用 | WB=1:500-2000, IHC-P=1:100-500, IHC-F=1:100-500, IF=1:100-500 Not yet tested in other applications. |
| 交叉反应 | Mouse, Rat (Human, Dog, Cow, Horse, Rabbit) |
| 抗体来源 | Rabbit |
| 免疫原 | KLH conjugated synthetic peptide derived from human CNPase |
| 亚型 | IgG |
| 性状 | Liquid |
| 纯化方法 | affinity purified by Protein A |
| 克隆类型 | Polyclonal |
| 理论分子量 | 48 kDa |
| 浓度 | 1mg/ml |
| 储存液 | 0.01M TBS (pH7.4) with 1% BSA, 0.02% Proclin300 and 50% Glycerol. |
| 研究领域 | Neuroscience > Cell Type Marker > Glia marker > Oligodendrocyte marker Neuroscience > Neurology process > Neurodegenerative disease Tags & Cell Markers > Cell Type Markers > Neuroscience Markers > Glial |
| 亚基 | Exists as monomers and homodimers. |
| 亚细胞定位 | Membrane. Melanosome. Firmly bound to membrane structures of brain white matter. Identified by mass spectrometry in melanosome fractions from stage I to stage IV. |
| 相似性 | Belongs to the cyclic nucleotide phosphodiesterase family. |
| 功能 | May participate in RNA metabolism in the myelinating cell, CNP is the third most abundant protein in central nervous system myelin. |
| 保存条件 | Shipped at 4℃. Store at -20℃ for one year. Avoid repeated freeze/thaw cycles. |
| 注意事项 | This product as supplied is intended for research use only, not for use in human, therapeutic or diagnostic applications. |
| 背景资料 | Predicted to enable 2',3'-cyclic-nucleotide 3'-phosphodiesterase activity. Involved in substantia nigra development. Located in several cellular components, including extracellular space; microtubule; and plasma membrane. Implicated in hypomyelinating leukodystrophy 20; multiple sclerosis; and schizophrenia. Biomarker of alcoholic liver cirrhosis; multiple sclerosis; and restless legs syndrome. [provided by Alliance of Genome Resources, Nov 2021] |
| 应用 | 推荐稀释比例 |
| {WB} | {1:500-2000} |
| {IHC-P} | {1:100-500} |
| {IHC-F} | {1:100-500} |
| {IF} | {1:100-500} |

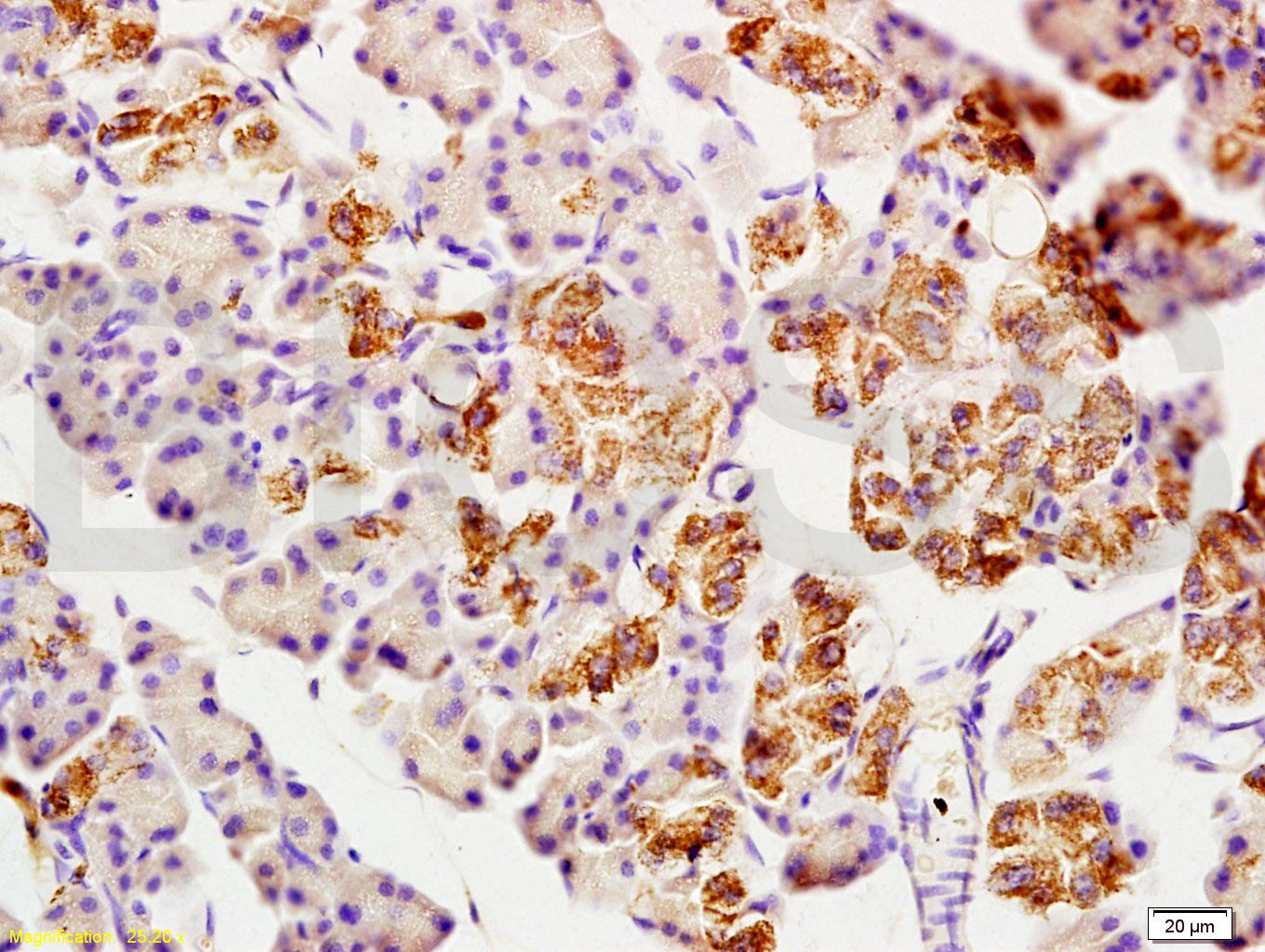
Antigen retrieval: citrate buffer ( 0.01M, pH 6.0 ), Boiling bathing for 15min; Block endogenous peroxidase by 3% Hydrogen peroxide for 30min; Blocking buffer (normal goat serum,C-0005) at 37℃ for 20 min;
Incubation: Anti-CNP/CNPase Polyclonal Antibody, Unconjugated(bs-1000R) 1:200, overnight at 4°C, followed by conjugation to the secondary antibody(SP-0023) and DAB(C-0010) staining

Antigen retrieval: citrate buffer ( 0.01M, pH 6.0 ), Boiling bathing for 15min; Block endogenous peroxidase by 3% Hydrogen peroxide for 30min; Blocking buffer (normal goat serum,C-0005) at 37℃ for 20 min;
Incubation: Anti-CNP/CNPase Polyclonal Antibody, Unconjugated(bs-1000R) 1:200, overnight at 4°C, followed by conjugation to the secondary antibody(SP-0023) and DAB(C-0010) staining


Primary: Anti-CNPase(bs-1000R) at 1/300 dilution
Secondary: HRP conjugated Goat-Anti-rabbit IgG (bs-0295G-HRP) at 1/5000 dilution
Predicted band size: 48 kD
Observed band size: 46 kD

Primary: Anti-CNPase (bs-1000R) at 1/300 dilution
Secondary: IRDye800CW Goat Anti-Rabbit IgG at 1/20000 dilution
Predicted band size: 48kD
Observed band size: 48kD
风险提示:丁香通仅作为第三方平台,为商家信息发布提供平台空间。用户咨询产品时请注意保护个人信息及财产安全,合理判断,谨慎选购商品,商家和用户对交易行为负责。对于医疗器械类产品,请先查证核实企业经营资质和医疗器械产品注册证情况。
文献和实验[IF={{ 7 }}] {Yueqi Yang. et al. DHA and EPA Alleviate Epileptic Depression in PTZ-Treated Young Mice Model by Inhibiting Neuroinflammation through Regulating Microglial M2 Polarization and Improving Mitochondrial Metabolism. ANTIOXIDANTS-BASEL. 2023 Dec;12(12):2079} {WB} {Mouse}
[IF={{ 45.6 }}] {Javier Ganz. et al.Contrasting somatic mutation patterns in aging human neurons and oligodendrocytes.cell.2024 Apr 11;187(8):1955-1970.e23.} {fluorescence-activated nuclear sorting (FANS)} {Human}
[IF={{ 3.3 }}] {Gu Jingyang. et al. Combined enriched environment and fluoxetine enhance myelin protein expression in the prefrontal cortex of a chronic unpredictable stress depression model. BEHAV BRAIN FUNCT. 2025 Dec;21(1):1-11} {IHC} {Rat}
[IF={{ 2.889 }}] {Bin Liu. et al. Nicotinamide Improves Cognitive Function in Mice With Chronic Cerebral Hypoperfusion. Front Neurol. 2021; 12: 596641} {WB,IHC} {Mouse}
[IF={{ 2.882 }}] {Gul Fatma Yarim. et al. Nobiletin attenuates inflammation via modulating proinflammatory and antiinflammatory cytokine expressions in an autoimmune encephalomyelitis mouse model. Fitoterapia. 2022 Jan;156:105099} {IHC} {Rat}
= NAL), appears to form upon oxidative cyclization of the nonfluorescent 2:1 lysine-HNE Michael adduct-Schiff base cross-link (Scheme 1). Polyclonal antibody (PAb) to the NAL-HNE fluorophore was raised in rabbit and found to be highly specific
Immunoflourescence of Cultured Cells
as in 4). 7) Add secondary antibody as in 5) and 6) above. (e.g. FITC-conj goat anti-rabbit (1:1000) or Biotinylated isotype specific anti mouse for immunoperoxidase staining). Wash as before. 8) To minimize quenching of flourochrome mount
进口分装 F0106 可溶性细胞间粘附分子-2(sICAM-2) ELISA 48T/96T 1200/2000 进口分装 F0107 干扰素- a (IFN- a ) ELISA 48T/96T 1200/2000 进口分装 F0108 干扰素- b (IFN- b ) ELISA 48T/96T 1200/2000 进口分装 F0109 ★ 干扰素-r(IFN-r) ELISA 48T/96T 1000/1800 进口
技术资料暂无技术资料 索取技术资料









