相关产品推荐更多 >

SLC32A1 Rabbit pAb, BF647 conjugated(bs-19821R-BF647)-100ul
¥2980
DNASE1L1 Rabbit pAb, PE-Cy5.5 conjugated(bs-12995R-PE-Cy5.5)-100ul
¥2980
GRM1 + GRM5 Rabbit pAb(bs-12014R)-50ul/100ul/200ul
¥1180
HSP70 Rabbit pAb, PE-Cy5 conjugated(bs-0126R-PE-Cy5)-100ul
¥2980
BEX4 Rabbit pAb(bs-7978R)-50ul/100ul/200ul
¥1180
万千商家帮你免费找货
0 人在求购买到急需产品
- 详细信息
- 文献和实验
- 技术资料
- 应用范围:
产品信息以Bioss网站为准
- 规格:
50ul/100ul/200ul
| 规格: | 50ul | 产品价格: | ¥1180.0 |
|---|---|---|---|
| 规格: | 100ul | 产品价格: | ¥1980.0 |
| 规格: | 200ul | 产品价格: | ¥2800.0 |
| 产品编号 | bs-1531R |
| 英文名称 | ATF4 Rabbit pAb |
| 中文名称 | 活化转录因子4抗体 |
| 英文别名 | Cyclic AMP response element binding protein 2; DNA binding protein TAXREB67; Activating Transcription Factor 4; ATF 4; ATF4 protein; CREB 2; CREB2; CREB-2; Cyclic AMP dependent transcription factor ATF 4; Tax Responsive Enhancer Element B67; TAXREB67; TXREB; ATF4_HUMAN. |
| 产品应用 | WB=1:500-2000, IHC-P=1:100-500, IHC-F=1:100-500, ICC/IF=1:100-500, IF=1:100-500, Flow-Cyt=0.2μg /test Not yet tested in other applications. |
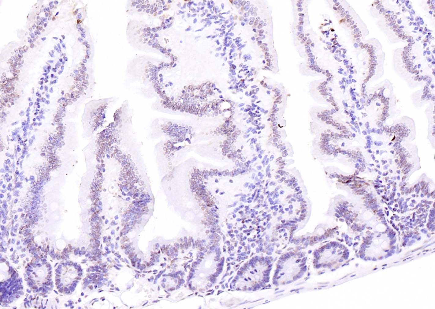
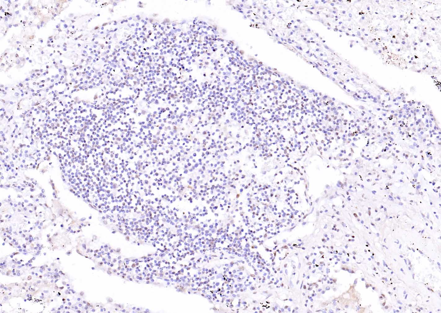
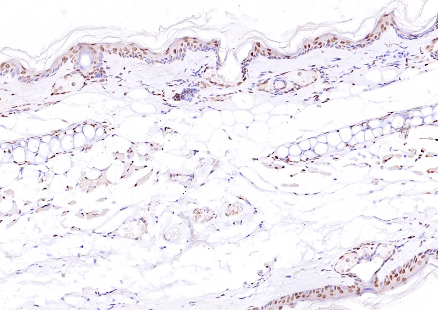
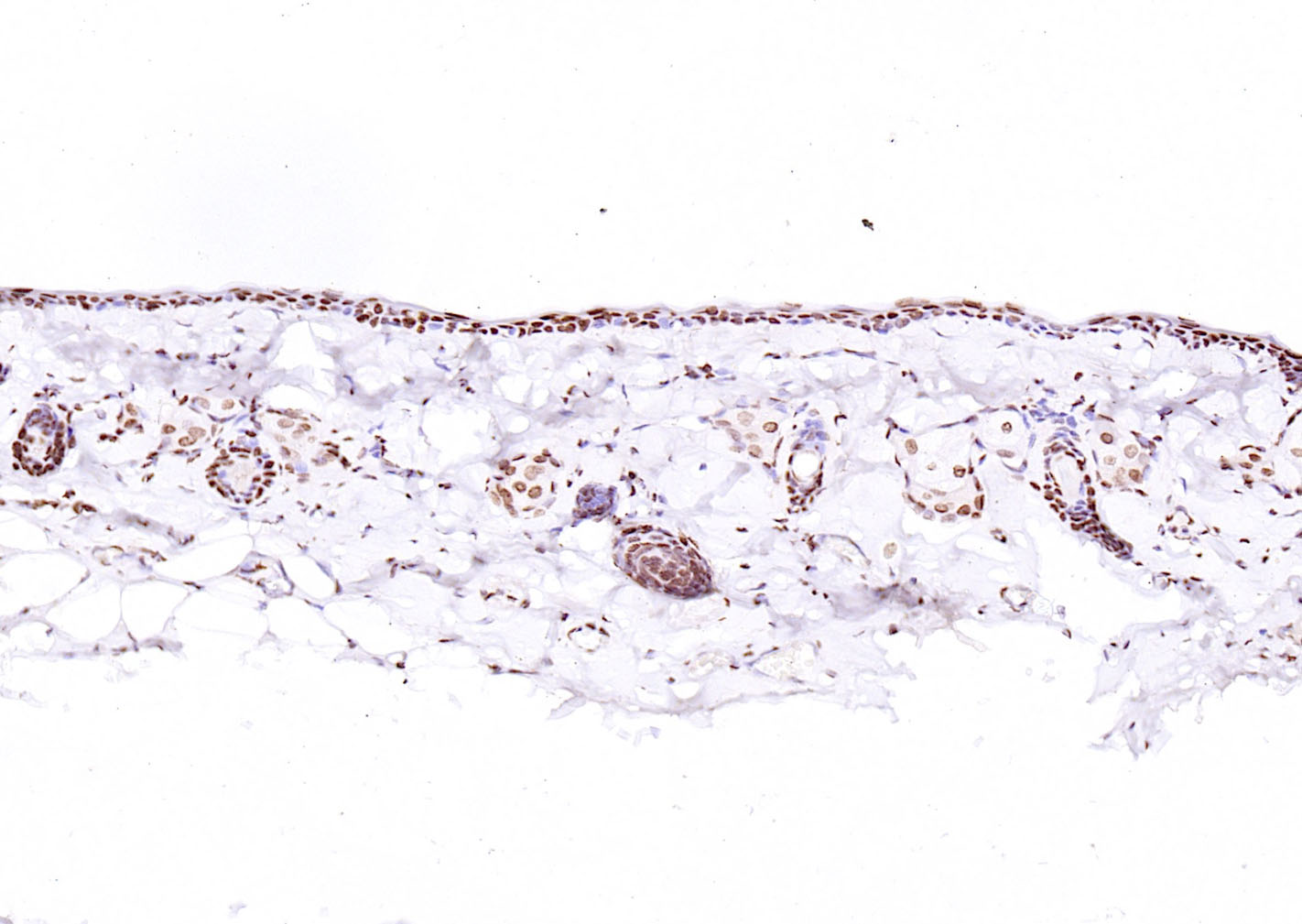
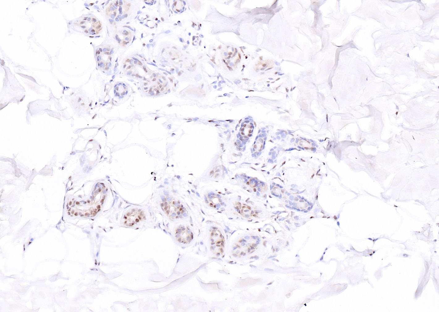
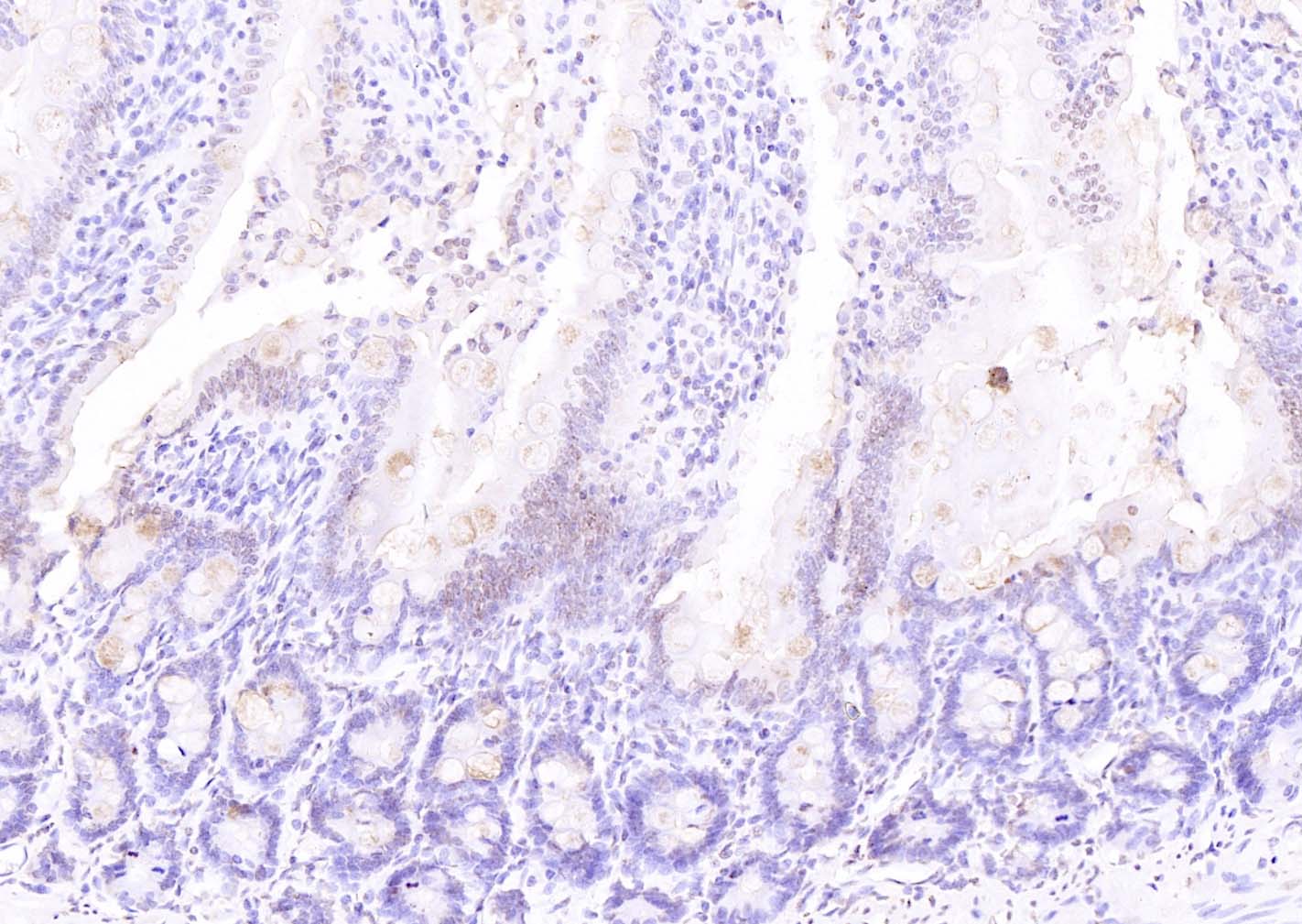
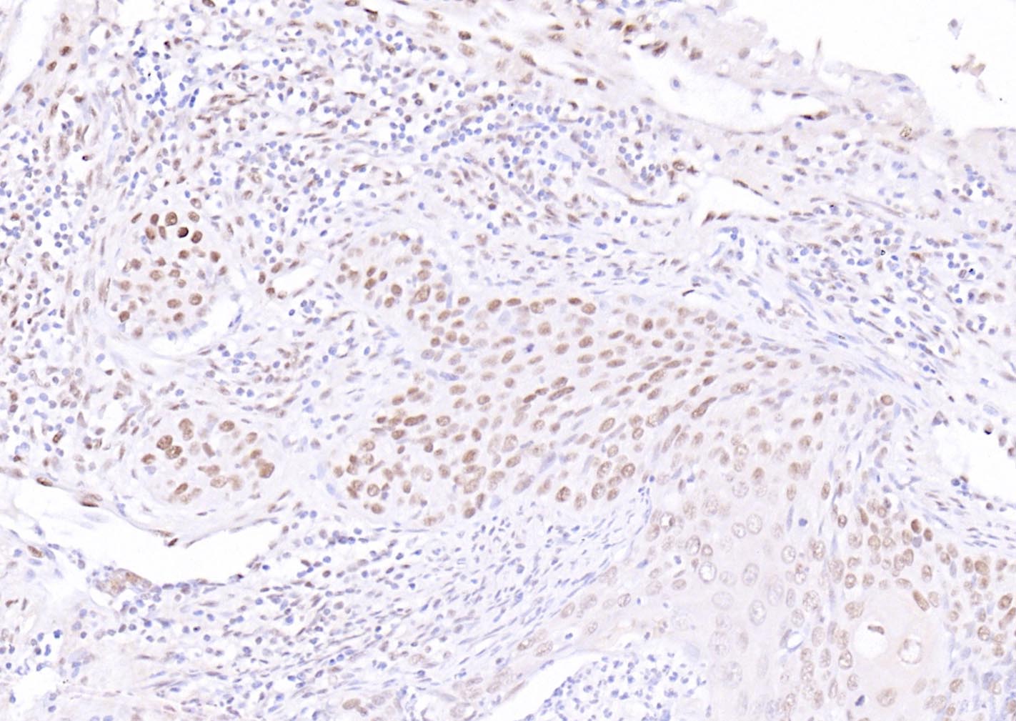
| 交叉反应 | Human, Mouse, Rat, skin, skin, skin, skin, human breast carcinoma, human breast carcinoma, human breast carcinoma, human breast carcinoma, Cerebrum, Cerebrum, Cerebrum, Cerebrum, human skin cancer, human skin cancer, human skin cancer, human skin cancer, skin, skin, skin, skin, skin, skin, skin, skin, skin, skin, skin, skin, human breast carcinoma, human breast carcinoma, human breast carcinoma, Human Glioma, Human Glioma, Human Glioma, Human Glioma, skin, skin, skin, skin, intestine, intestine, intestine, intestine, skin, skin, skin, intestine, intestine, intestine, human lung carcinoma, human lung carcinoma, human lung carcinoma, human lung carcinoma, human cervical carcinoma, human cervical carcinoma, human cervical carcinoma, human cervical carcinoma, skin, skin, skin, skin, skin, skin, human cervical carcinoma, human cervical carcinoma, human cervical carcinoma, human lung carcinoma, human lung carcinoma, human lung carcinoma, intestine, intestine, intestine, skin, skin, skin, intestine, intestine, intestine, skin, skin, skin, human skin cancer, human skin cancer, human skin cancer (Dog, Pig, Cow, Horse, Rabbit, Sheep) |
| 抗体来源 | Rabbit |
| 免疫原 | KLH conjugated synthetic peptide derived from human ATF4 |
| 亚型 | IgG |
| 性状 | Liquid |
| 纯化方法 | affinity purified by Protein A |
| 克隆类型 | Polyclonal |
| 理论分子量 | 38 kDa |
| 浓度 | 1mg/ml |
| 储存液 | 0.01M TBS (pH7.4) with 1% BSA, 0.02% Proclin300 and 50% Glycerol. |
| 亚基 | Binds DNA as a homo- or heterodimer. Interacts (via its leucine zipper domain) with GABBR1 and GABBR2 (via their C-termini). Interacts (via its DNA binding domain) with FOXO1 (C-terminal half); the interaction occurs in osteoblasts and regulates glucose homeostasis through suppression of beta-cell proliferation and a decrease in insulin production. Interacts with SATB2; the interaction results in enhanced DNA binding and transactivation by these transcription factors. Interacts with CEP290 (via an N-terminal region). Interacts with NEK6, DAPK2 (isoform 2) and ZIPK/DAPK3. Forms a heterodimer with TXLNG in osteoblasts. Interacts with DDIT3/CHOP. |
| 亚细胞定位 | Cytoplasm. Cell membrane. Nucleus. Colocalizes with GABBR1 in hippocampal neuron dendritic membranes. |
| 翻译后修饰 | Ubiquitinated by SCF(BTRC) in response to mTORC1 signal, followed by proteasomal degradation and leading to down-regulate expression of SIRT4. Phosphorylated by NEK6. Phosphorylated on the betaTrCP degron motif at Ser-219, followed by phosphorylation at Thr-213, Ser-224, Ser-231, Ser-235 and Ser-248, promoting interaction with BTRC and ubiquitination. Phosphorylation is promoted by mTORC1. Phosphorylated by NEK6. |
| 相似性 | Belongs to the bZIP family. Contains 1 bZIP domain. |
| 功能 | Transcriptional activator. Binds the cAMP response element (CRE) (consensus: 5'-GTGACGT[AC][AG]-3'), a sequence present in many viral and cellular promoters. It binds to a Tax-responsive enhancer element in the long terminal repeat of HTLV-I. |
| 保存条件 | Shipped at 4℃. Store at -20℃ for one year. Avoid repeated freeze/thaw cycles. |
| 注意事项 | This product as supplied is intended for research use only, not for use in human, therapeutic or diagnostic applications. |
| 背景资料 | ATF4 is a transcription factor that was originally identified as a widely expressed mammalian DNA binding protein that could bind a tax-responsive enhancer element in the LTR of HTLV1. The encoded protein was also isolated and characterized as the cAMP-response element binding protein 2 (CREB2). The protein encoded by this gene belongs to a family of DNA-binding proteins that includes the AP1 family of transcription factors, cAMP-response element binding proteins (CREBs) and CREB-like proteins. These transcription factors share a leucine zipper region that is involved in protein-protein interactions, located C-terminal to a stretch of basic amino acids that functions as a DNA binding domain (referenced from Entrez gene). |
| 应用 | 推荐稀释比例 |
| {WB} | {1:500-2000} |
| {IHC-P} | {1:100-500} |
| {IHC-F} | {1:100-500} |
| {ICC/IF} | {1:100-500} |
| {IF} | {1:100-500} |
| {Flow-Cyt} | {0.2μg /test} |
Cerebrum (Rat) Lysate at 40 ug
Cerebrum (Mouse) Lysate at 40 ug
Primary: Anti-ATF4 (bs-1531R) at 1/1000 dilution
Secondary: IRDye800CW Goat Anti-Rabbit IgG at 1/20000 dilution
Predicted band size: 37’50 kD
Observed band size: 50 kD
Primary Antibody (green line): Rabbit Anti-Bid antibody (bs-1531R)
Dilution: 0.2μg /10^6 cells;
Isotype Control Antibody (orange line): Rabbit IgG .
Secondary Antibody (white blue line): Goat anti-rabbit IgG-FITC
Dilution: 1μg /test.
Protocol
The cells were fixed with 70% ethanol (Overnight at 4℃) and then permeabilized with 90% ice-cold methanol for 30 min on ice. Cells stained with Primary Antibody for 30 min at room temperature. The cells were then incubated in 1 X PBS/2%BSA/10% goat serum to block non-specific protein-protein interactions followed by the antibody for 15 min at room temperature. The secondary antibody used for 40 min at room temperature. Acquisition of 20,000 events was performed.
Primary Antibody (green line): Rabbit Anti-ATF4 Alpha antibody (bs-1531R)
Dilution: 2μg /10^6 cells;
Isotype Control Antibody (orange line): Rabbit IgG .
Secondary Antibody : Goat anti-rabbit IgG-FITC
Dilution: 1μg /test.
Protocol
The cells were fixed with 4% PFA (10min at room temperature)and then permeabilized with 90% ice-cold methanol for 20 min at -20℃. The cells were then incubated in 5%BSA to block non-specific protein-protein interactions for 30 min at room temperature .Cells stained with Primary Antibody for 30 min at room temperature. The secondary antibody used for 40 min at room temperature. Acquisition of 20,000 events was performed.
Lane 1: Mouse Cerebrum tissue lysates
Lane 2: Rat Cerebrum tissue lysates
Lane 3: Human HeLa cell lysates
Lane 4: Human Jurkat cell lysates
Lane 5: Human HL-60 cell lysates
Primary: Anti-ATF4 (bs-1531R) at 1/1000 dilution
Secondary: IRDye800CW Goat Anti-Rabbit IgG at 1/20000 dilution
Predicted band size: 38 kDa
Observed band size: 47 kDa
风险提示:丁香通仅作为第三方平台,为商家信息发布提供平台空间。用户咨询产品时请注意保护个人信息及财产安全,合理判断,谨慎选购商品,商家和用户对交易行为负责。对于医疗器械类产品,请先查证核实企业经营资质和医疗器械产品注册证情况。
文献和实验[IF={{ 9.274 }}] {Wiebke Sachs. et al. Distinct Modes of Balancing Glomerular Cell Proteostasis in Mucolipidosis Type II and III Prevent Proteinuria. J Am Soc Nephrol. 2020 Aug;31(8):1796-1814} {WB,IF} {Mouse}
[IF={{ 7.1 }}] {Tingting Wang. et al. Endoplasmic reticulum stress-autophagy axis is involved in copper-induced ovarian ferroptosis. FREE RADICAL BIO MED. 2025 Apr;:} {WB} {Mouse}
[IF={{ 6.208 }}] {Yurong Fu. et al. Zearalenone Promotes LPS-Induced Oxidative Stress, Endoplasmic Reticulum Stress, and Accelerates Bovine Mammary Epithelial Cell Apoptosis. INT J MOL SCI. 2022 Jan;23(18):10925} {WB} {Bovine}
[IF={{ 5.9 }}] {Shiokawa Daisuke. et al. Elevated stress response marks deeply quiescent reserve cells of gastric chief cells. COMMUN BIOL. 2023 Nov;6(1):1-10} {IF} {Mouse}
[IF={{ 5.793 }}] {Chunyue Wang. et al. Neuroprotective effects of verbascoside against Alzheimer’s disease via the relief of endoplasmic reticulum stress in Aβ-exposed U251 cells and APP/PS1 mice. J Neuroinflamm. 2020 Dec;17(1):1-16} {WB} {Human}
= NAL), appears to form upon oxidative cyclization of the nonfluorescent 2:1 lysine-HNE Michael adduct-Schiff base cross-link (Scheme 1). Polyclonal antibody (PAb) to the NAL-HNE fluorophore was raised in rabbit and found to be highly specific
/96T 2000/3000 进口分装 F0021 骨成型蛋白-9(BMP-9) ELISA 48T/96T 2000/3000 进口分装 F0022 BMP-R1A ELISA 48T/96T 2000/3000 进口分装 F0023 BMP-R2 ELISA 48T/96T 2000/3000 进口分装 F0024 BTC ELISA 48T/96T 2000/3100 进口分装 F0030 CAE-Ab ELISA 96
/96T 2000/3000 进口分装 F0021 骨成型蛋白-9(BMP-9) ELISA 48T/96T 2000/3000 进口分装 F0022 BMP-R1A ELISA 48T/96T 2000/3000 进口分装 F0023 BMP-R2 ELISA 48T/96T 2000/3000 进口分装 F0024 BTC ELISA 48T/96T 2000/3100 进口分装 F0030 CAE-Ab ELISA 96
技术资料暂无技术资料 索取技术资料





