相关产品推荐更多 >

caspase-8 subunit p18 Rabbit pAb(bs-6463R)-50ul/100ul/200ul
¥1180
MMP2 Rabbit pAb, PerCP conjugated(bs-4605R-PerCP)-100ul
¥2980
BRN3B Rabbit pAb, BF680 conjugated(bs-6985R-BF680)-100ul
¥2980
human CD107a Mouse mAb, PE conjugated(bsm-30204M-PE)-25T/50T/100T
¥1180
S100A7 Rabbit pAb, APC-Cy5.5 conjugated(bs-6238R-APC-Cy5.5)-100ul
¥2980
万千商家帮你免费找货
0 人在求购买到急需产品
- 详细信息
- 文献和实验
- 技术资料
- 应用范围:
产品信息以Bioss网站为准
- 规格:
50ul/100ul/200ul
| 规格: | 50ul | 产品价格: | ¥1180.0 |
|---|---|---|---|
| 规格: | 100ul | 产品价格: | ¥1980.0 |
| 规格: | 200ul | 产品价格: | ¥2800.0 |
| 产品编号 | bs-0448R |
| 英文名称 | NIS Rabbit pAb |
| 中文名称 | 钠碘转运体蛋白抗体 |
| 英文别名 | Na(+)/I(-) cotransporter; Na(+)/I(-) symporter; Na(+)/I(-) cotransporter; Na(+)/I(-) symporter; Na+/I-cotransporter; Na+/I-symporter; NIS; SC5A5_HUMAN; SLC5A5; sodium iodide symporter; Sodium-iodide symporter; Sodium/iodide cotransporter; Solute carrier family 5(sodium iodide symporter) member 5; Solute carrier family 5; Solute carrier family 5 member 5. |
| 产品应用 | WB=1:500-2000, IHC-P=1:100-500, IHC-F=1:100-500, IF=1:100-500 Not yet tested in other applications. |
| 交叉反应 | Mouse, Rat (Human) |
| 抗体来源 | Rabbit |
| 免疫原 | KLH conjugated synthetic peptide derived from human NIS |
| 亚型 | IgG |
| 性状 | Liquid |
| 纯化方法 | affinity purified by Protein A |
| 克隆类型 | Polyclonal |
| 理论分子量 | 68 kDa |
| 浓度 | 1mg/ml |
| 储存液 | 0.01M TBS (pH7.4) with 1% BSA, 0.02% Proclin300 and 50% Glycerol. |
| 研究领域 | Cancer > Cancer Metabolism > Metabolic signaling pathway > Hormone biosynthesis Metabolism > Pathways and Processes > Cofactors, Vitamins / minerals > Vitamins / minerals Metabolism > Pathways and Processes > Endocrine metabolism > Hormone biosynthesis Signal Transduction > Metabolism > Plasma Membrane > Channels Signal Transduction > Metabolism > Vitamins / Minerals |
| 亚细胞定位 | Membrane; Multi-pass membrane protein. |
| 组织特异性 | Expression is primarily in thyroid tissue, but also to a lower extent in mammary gland and ovary. Expression is reduced in tumors. |
| 相似性 | Belongs to the sodium:solute symporter (SSF) (TC 2.A.21) family. |
| 功能 | Mediates iodide uptake in the thyroid gland. |
| 保存条件 | Shipped at 4℃. Store at -20℃ for one year. Avoid repeated freeze/thaw cycles. |
| 注意事项 | This product as supplied is intended for research use only, not for use in human, therapeutic or diagnostic applications. |
| 背景资料 | catalyzes Na+/I- symporter activity plays a role in iodide transport and thyroid hormone generation.Human Sodium Iodide Symporter (hNIS) is responsible for iodide concentrating ability within thyroid follicular cells. It is a membrane bound glycoprotein with 13 membrane spanning domains and 14 extramembranous domains. It may represent an autoantigen in thyroid. |
| 应用 | 推荐稀释比例 |
| {WB} | {1:500-2000} |
| {IHC-P} | {1:100-500} |
| {IHC-F} | {1:100-500} |
| {IF} | {1:100-500} |

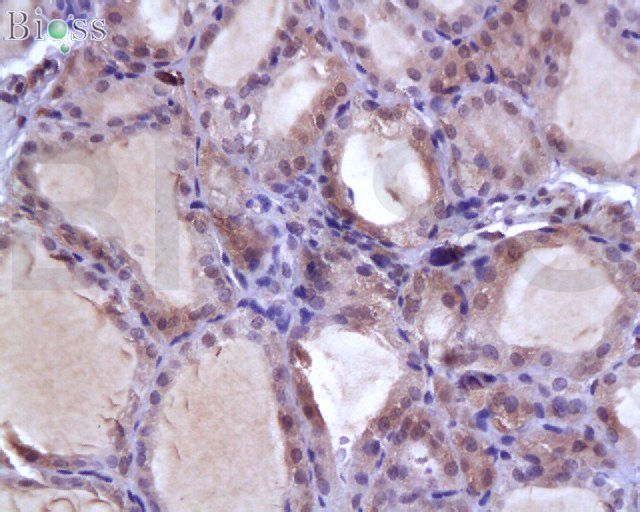
Antigen retrieval: citrate buffer ( 0.01M, pH 6.0 ), Boiling bathing for 15min; Block endogenous peroxidase by 3% Hydrogen peroxide for 30min; Blocking buffer (normal goat serum,C-0005) at 37℃ for 20 min;
Incubation: Anti-NIS Polyclonal Antibody, Unconjugated(bs-0448R) 1:200, overnight at 4°C, followed by conjugation to the secondary antibody(SP-0023) and DAB(C-0010) staining

Antigen retrieval: citrate buffer ( 0.01M, pH 6.0 ), Boiling bathing for 15min; Block endogenous peroxidase by 3% Hydrogen peroxide for 30min; Blocking buffer (normal goat serum,C-0005) at 37℃ for 20 min;
Incubation: Anti-NIS Polyclonal Antibody, Unconjugated(bs-0448R) 1:200, overnight at 4°C, followed by conjugation to the secondary antibody(SP-0023) and DAB(C-0010) staining

Lane 1: Mouse Stomach tissue lysates
Lane 2: Rat Stomach tissue lysates
Primary: Anti-NIS (bs-0448R) at 1/200 dilution
Secondary: IRDye800CW Goat Anti-Rabbit IgG at 1/20000 dilution
Predicted band size: 68 kDa
Observed band size: 48 kDa
风险提示:丁香通仅作为第三方平台,为商家信息发布提供平台空间。用户咨询产品时请注意保护个人信息及财产安全,合理判断,谨慎选购商品,商家和用户对交易行为负责。对于医疗器械类产品,请先查证核实企业经营资质和医疗器械产品注册证情况。
文献和实验[IF={{ 6.291 }}] {Siying Tang. et al. GLIS3 mediated by the Rap1/PI3K/AKT signal pathway facilitates real-ambient PM2.5 exposure disturbed thyroid hormone homeostasis regulation. Ecotox Environ Safe. 2022 Mar;232:113248} {WB} {Mouse}
[IF={{ 6.1 }}] {Guangshan Xie. et al. 2, 2′, 4, 4′-tetrabromodiphenyl ether induces thyroid toxicity by targeting BRAF-mediated MEK-ERK-NIS pathway in human thyroid follicular epithelial cells. ECOTOX ENVIRON SAFE. 2025 Sep;302:118577} {WB} {Human}
[IF={{ 5.467 }}] {Jiang B.. et al. Primary human thyrocytes maintained the function of thyroid hormone production and secretion in vitro. J ENDOCRINOL INVEST. 2023 May;:1-12} {ICC} {Human}
[IF={{ 4.872 }}] {Dong X et al. PM2.5 disrupts thyroid hormone homeostasis through activation of the hypothalamic-pituitary-thyroid (HPT) axis and induction of hepatic transthyretin in female rats 2.5Ecotoxicol Environ Saf.2021 Jan 15;208:111720.} {IHC,WB} {Rat}
[IF={{ 4.848 }}] {Shasha Hou. et al. Downregulation of miR-146b-3p Inhibits Proliferation and Migration and Modulates the Expression and Location of Sodium/Iodide Symporter in Dedifferentiated Thyroid Cancer by Potentially Targeting MUC20. Front Oncol. 2020; 10: 566365} {WB,IF} {Human}
= NAL), appears to form upon oxidative cyclization of the nonfluorescent 2:1 lysine-HNE Michael adduct-Schiff base cross-link (Scheme 1). Polyclonal antibody (PAb) to the NAL-HNE fluorophore was raised in rabbit and found to be highly specific
GE Healthcare Benzamidine Sepharose™ 6B is p-aminobenzamidine covalently attached to Sepharose 6B by the epoxy coupling method. p-Aminobenzamidine (PAB), is a synthetic inhibitor of trypsin-like serine protease. Trypsin and trypsin
Nucleic Acid Programmable Protein Arrays: Versatile Tools for Array‐Based Functional Protein Studies
.g., Sigma) 50 mg/ml bis‐sulfosuccinimdylsuberate (BS3 ;Pierce, cat. no. PI 21580) in dimethylsulfoxide (DMSO) 5 mg/ml
技术资料暂无技术资料 索取技术资料






