相关产品推荐更多 >

Dopamine D3 receptor Rabbit pAb, APC conjugated(bs-1743R-APC)-100ul
¥2980
VLDL Receptor Rabbit pAb(bs-21401R)-50ul/100ul/200ul
¥1180
BPTF Rabbit pAb(bs-11641R)-50ul/100ul/200ul
¥1180
KIF14 Rabbit pAb(bs-2494R)-50ul/100ul/200ul
¥1180
p75 NGF Receptor Rabbit pAb, BF647 conjugated(bs-7122R-BF647)-100ul
¥2980
万千商家帮你免费找货
0 人在求购买到急需产品
- 详细信息
- 文献和实验
- 技术资料
- 应用范围:
产品信息以Bioss网站为准
- 规格:
50ul/100ul/200ul
| 规格: | 50ul | 产品价格: | ¥1180.0 |
|---|---|---|---|
| 规格: | 100ul | 产品价格: | ¥1980.0 |
| 规格: | 200ul | 产品价格: | ¥2800.0 |
| 产品编号 | bs-7058R |
| 英文名称 | ADGRE1 Rabbit pAb |
| 中文名称 | 表皮生长因子样激素受体1(EMR1)抗体 |
| 英文别名 | F4/80; Adhesion G protein-coupled receptor E1; Cell surface glycoprotein EMR1; Cell surface glycoprotein F4/80; DD7A5 7; Egf like module containing mucin like hormone receptor like 1; Egf like module containing mucin like hormone receptor like sequence 1; EGF like module receptor 1; EGF TM7; EGF-like module receptor 1; EGF-like module-containing mucin-like hormone receptor-like 1; EGFTM7; EMR 1; EMR1; EMR-1; EMR1 hormone receptor; EMR1_HUMAN; AGRE1_HUMAN; Gpf480; Ly71; Lymphocyte antigen 71; TM7LN3. |
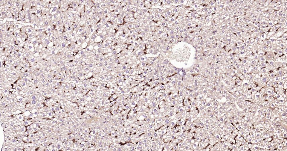
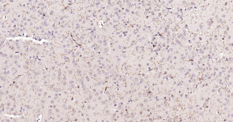
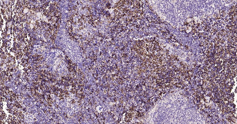
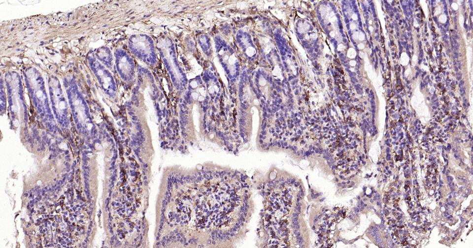
| 产品应用 | IHC-P=1:100-500, IHC-F=1:100-500, IF=1:100-500 Not yet tested in other applications. |
| 交叉反应 | Mouse |
| 抗体来源 | Rabbit |
| 免疫原 | KLH conjugated synthetic peptide derived from human ADGRE1 |
| 亚型 | IgG |
| 性状 | Liquid |
| 纯化方法 | affinity purified by Protein A |
| 克隆类型 | Polyclonal |
| 理论分子量 | 95 kDa |
| 浓度 | 1mg/ml |
| 储存液 | 0.01M TBS (pH7.4) with 1% BSA, 0.02% Proclin300 and 50% Glycerol. |
| 研究领域 | Immunology > Innate Immunity > Macrophage / Inflamm. Tags & Cell Markers > Cell Type Markers > Other Cell Types |
| 亚基 | Belongs to the G-protein coupled receptor 2 family. LN-TM7 subfamily. Contains 6 EGF-like domains. Contains 1 GPS domain. |
| 亚细胞定位 | Cell membrane. |
| 组织特异性 | Wide expression; increased levels in peripheral blood mononuclear cells. |
| 相似性 | Belongs to the G-protein coupled receptor 2 family. LN-TM7 subfamily.
Contains 6 EGF-like domains. Contains 1 GPS domain. |
| 功能 | Could be involved in cell-cell interactions. |
| 保存条件 | Shipped at 4℃. Store at -20℃ for one year. Avoid repeated freeze/thaw cycles. |
| 注意事项 | This product as supplied is intended for research use only, not for use in human, therapeutic or diagnostic applications. |
| 背景资料 | The epidermal growth factor (EGF)-TM7 family constitutes a group of class B G-protein coupled receptors, which includes CD97, EMR1 (EGF-like molecule containing mucin-like hormone receptor 1, designated F4/80 in mouse), EMR2, EMR3, FIRE, and ETL (1–3). These family members are characterized by an extended extracellular region with several N-terminal EGF domains, and are predominantly expressed on cells of the immune system (1–3). The EGF-TM7 protein family are encoded by a gene cluster on human chromosome 19p13 (1,3,4). The F4/80 molecule is solely expressed on the surface of macrophages and serves as a marker for mature macrophage tissues, including Kupffer cells in liver, splenic red pulp macrophages, brain microglia, gut lamina propria, and Langerhans cells in the skin (1). F4/80/EMR1 undergoes extensive N-linked glycosylation as well as some O-linked glycosylation (5,6). The function of F4/80/EMR1 is unclear, but it is speculated to be involved in macrophage adhesion events, cell migration, or as a G-protein coupled signaling component of macrophages. |
| 应用 | 推荐稀释比例 |
| {IHC-P} | {1:100-500} |
| {IHC-F} | {1:100-500} |
| {IF} | {1:100-500} |




风险提示:丁香通仅作为第三方平台,为商家信息发布提供平台空间。用户咨询产品时请注意保护个人信息及财产安全,合理判断,谨慎选购商品,商家和用户对交易行为负责。对于医疗器械类产品,请先查证核实企业经营资质和医疗器械产品注册证情况。
文献和实验[IF={{ 9.918 }}] {Daijun Zhou. et al. An injectable miR181a-IFI6 nanoparticles promote high-quality healing of radiation-induced skin injury. MATER TODAY ADV. 2022 Aug;15:100267} {FCM} {Human}
[IF={{ 7.675 }}] {Tao Yang. et al. Sphingosine-1-Phosphate Alleviates Irradiation Induced Salivary Gland Hypofunction through Preserving Endothelial Cells and Resident Macrophages. ANTIOXIDANTS-BASEL. 2022 Oct;11(10):2050} {IF} {Mouse}
[IF={{ 7.5 }}] {Zhiwen Luo. et al. Voluntary exercise sensitizes cancer immunotherapy via the collagen inhibition-orchestrated inflammatory tumor immune microenvironment. CELL REP. 2024 Sep;43:114697} {Other} {Human}
[IF={{ 7.109 }}] {Xiong, Jingjie. et al. CircRNA mmu_circ_0000021 regulates microvascular function via the miR-143-3p/NPY axis and intracellular calcium following ischemia/reperfusion injury. CELL DEATH DISCOV. 2022 Jul;8(1):1-13} {IHC} {Mouse}
[IF={{ 6.93 }}] {Kwan, Karen HL, et al. ʺSilver nanaoparticles alter proteoglycan expression in the promotion of tendon repair.ʺ Nanomedicine: Nanotechnology, Biology and Medicine (2013).} {IHC} {="Rat"}
= NAL), appears to form upon oxidative cyclization of the nonfluorescent 2:1 lysine-HNE Michael adduct-Schiff base cross-link (Scheme 1). Polyclonal antibody (PAb) to the NAL-HNE fluorophore was raised in rabbit and found to be highly specific
GE Healthcare Benzamidine Sepharose™ 6B is p-aminobenzamidine covalently attached to Sepharose 6B by the epoxy coupling method. p-Aminobenzamidine (PAB), is a synthetic inhibitor of trypsin-like serine protease. Trypsin and trypsin
Nucleic Acid Programmable Protein Arrays: Versatile Tools for Array‐Based Functional Protein Studies
.g., Sigma) 50 mg/ml bis‐sulfosuccinimdylsuberate (BS3 ;Pierce, cat. no. PI 21580) in dimethylsulfoxide (DMSO) 5 mg/ml
技术资料暂无技术资料 索取技术资料





