相关产品推荐更多 >
万千商家帮你免费找货
0 人在求购买到急需产品
- 详细信息
- 文献和实验
- 技术资料
- 应用范围:
产品信息以Bioss网站为准
- 规格:
50ul/100ul/200ul
| 规格: | 50ul | 产品价格: | ¥1180.0 |
|---|---|---|---|
| 规格: | 100ul | 产品价格: | ¥1980.0 |
| 规格: | 200ul | 产品价格: | ¥2800.0 |
| 产品编号 | bs-0563R |
| 英文名称 | MDR1 Rabbit pAb |
| 中文名称 | 多药耐药蛋白/P-糖蛋白抗体 |
| 英文别名 | P-Glycoprotein; Multi Drug Resistance Associated Protein, ABCB1; ATP-binding cassette sub-family B(MDR/TAP), member 1; ABC20; CD243; CD243 antigen; CLCS; Multidrug resistance protein 1; P glycoprotein 1; p-GP; gp170; P gp; PGY1; MDR1_HUMAN. |
| 产品应用 | IHC-P=1:100-500, IHC-F=1:100-500, IF=1:100-500 Not yet tested in other applications. |
| 交叉反应 | Human, Mouse, Rat |
| 抗体来源 | Rabbit |
| 免疫原 | KLH conjugated synthetic peptide derived from human MDR1 |
| 亚型 | IgG |
| 性状 | Liquid |
| 纯化方法 | affinity purified by Protein A |
| 克隆类型 | Polyclonal |
| 理论分子量 | 141 kDa |
| 浓度 | 1mg/ml |
| 储存液 | 0.01M TBS (pH7.4) with 1% BSA, 0.02% Proclin300 and 50% Glycerol. |
| 研究领域 | Cancer > Drug resistance > P glycoproteins Signal Transduction > Metabolism > Plasma Membrane > ATPases Signal Transduction > Metabolism > Plasma Membrane > Channels Stem Cells > Hematopoietic Progenitors > Side Population Stem Cells > Hematopoietic Progenitors > Surface Molecules |
| 亚基 | Interacts with PSMB5. |
| 亚细胞定位 | Cell membrane; Multi-pass membrane protein. |
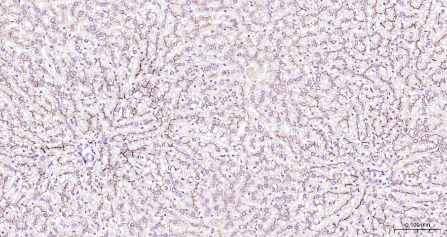
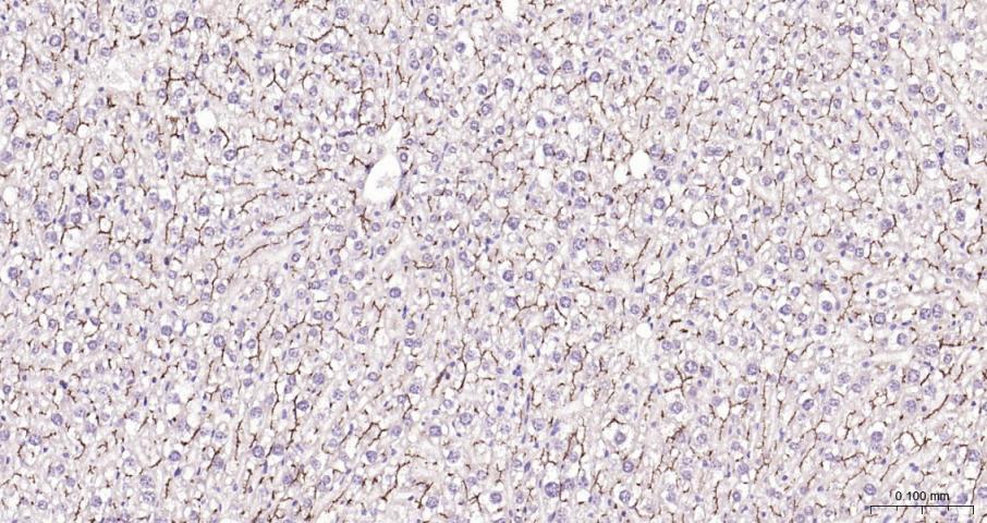
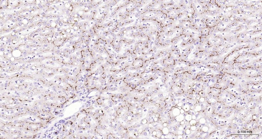
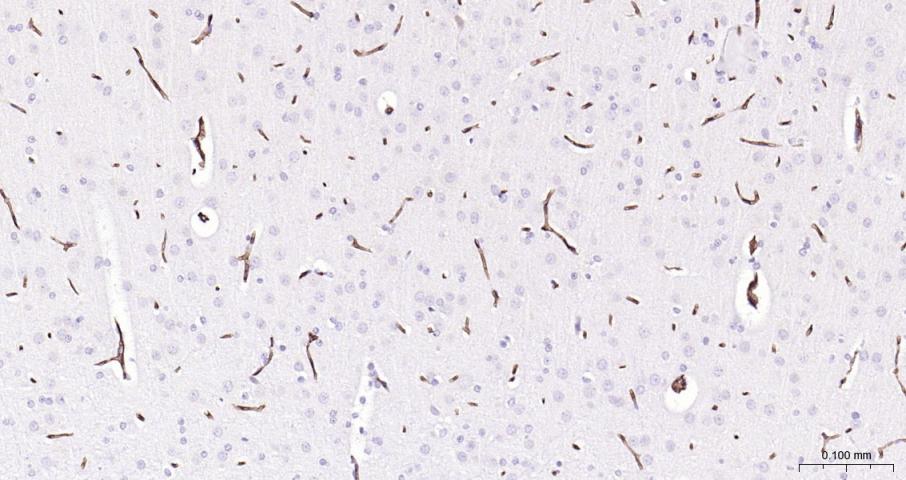
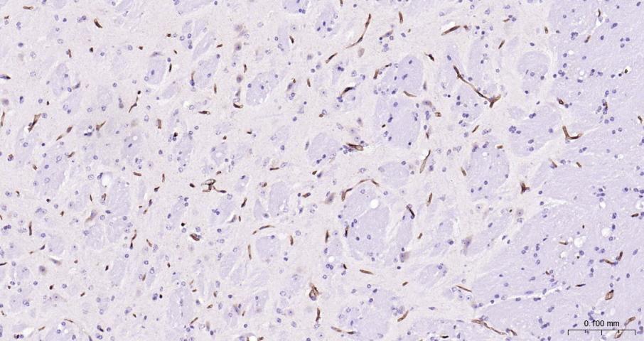
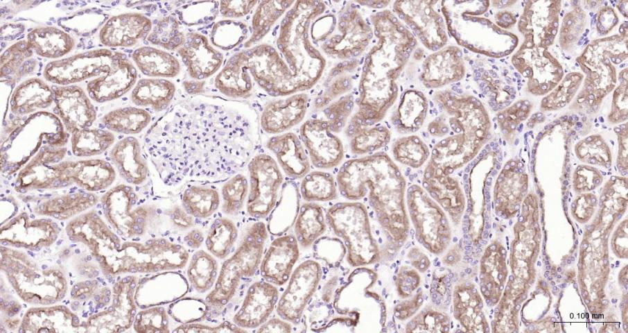
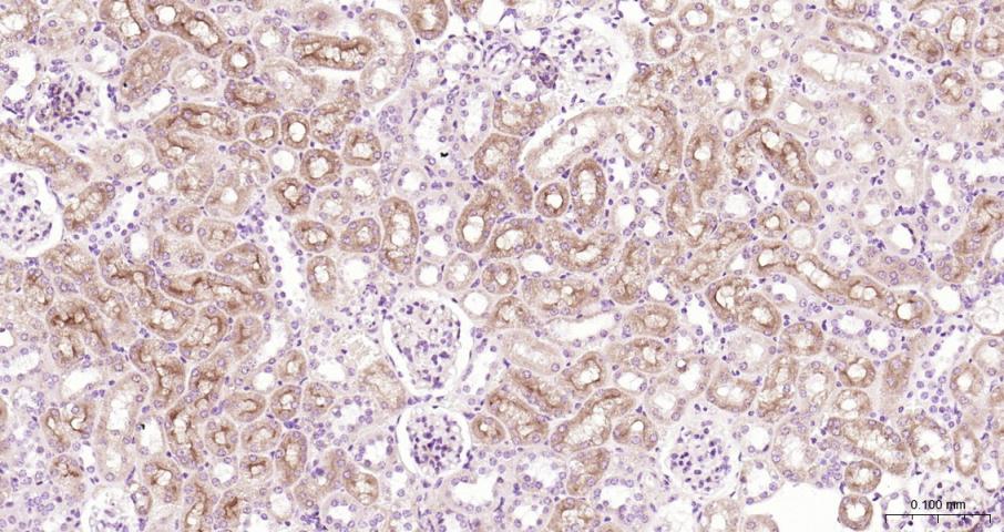
| 组织特异性 | Expressed in liver, kidney, small intestine and brain. |
| 相似性 | Belongs to the ABC transporter superfamily. ABCB family. Multidrug resistance exporter (TC 3.A.1.201) subfamily. Contains 2 ABC transmembrane type-1 domains. Contains 2 ABC transporter domains. |
| 功能 | Energy-dependent efflux pump responsible for decreased drug accumulation in multidrug-resistant cells. Subunit : Interacts with PSMB5. |
| 保存条件 | Shipped at 4℃. Store at -20℃ for one year. Avoid repeated freeze/thaw cycles. |
| 注意事项 | This product as supplied is intended for research use only, not for use in human, therapeutic or diagnostic applications. |
| 背景资料 | bs-1468P is one synthetic peptide derived from human MDR1. P Glycoprotein, the product of the MDR1 gene, is expressed in distinct non-malignant cells, typically cells with secretory and excretory functions. It is assumed to function as an ATP-dependent drug efflux pump with broad substrate specificity. The highest expression of P Glycoprotein has been observed in kidney (proximal tubules), liver (bile canaliculi), adrenal gland and intestine, suggesting that the primary role of P Glycoprotein is in the normal secretion of physiological metabolites and ingested chemicals into bile, urine and the lumen of the intestinal tract. Elevated levels of P Glycoprotein have also been reported in multidrug-resistant cell lines and in colon, endometrial, ovarian, and breast tumors, as well as in sarcomas and leukemias / lymphomas. |
| 应用 | 推荐稀释比例 |
| {IHC-P} | {1:100-500} |
| {IHC-F} | {1:100-500} |
| {IF} | {1:100-500} |









风险提示:丁香通仅作为第三方平台,为商家信息发布提供平台空间。用户咨询产品时请注意保护个人信息及财产安全,合理判断,谨慎选购商品,商家和用户对交易行为负责。对于医疗器械类产品,请先查证核实企业经营资质和医疗器械产品注册证情况。
文献和实验[IF={{ 9.727 }}] {Hiroshi Kikuchiet al. Chemotherapy-Induced IL8 Upregulates MDR1/ABCB1 in Tumor Blood Vessels and Results in Unfavorable Outcome. Cancer Res . 2020 Jul 15;80(14):2996-3008.} {Other} {}
[IF={{ 7.3 }}] {Jinhua Gu. et al. Deciphering the mechanism of Peptostreptococcus anaerobius-induced chemoresistance in colorectal cancer: the important roles of MDSC recruitment and EMT activation. FRONT IMMUNOL. 2023; 14: 1230681} {WB} {Mouse}
[IF={{ 7.149 }}] {Yuan P et al. WS2 Nanosheets at Noncytotoxic Concentrations Enhance the Cytotoxicity of Organic Pollutants by Disturbing the Plasma Membrane and Efflux Pumps. Environ Sci Technol. 2020 Feb 4;54(3):1698-1709.} {WB} {Mouse&Human}
[IF={{ 6.93 }}] {Peng, Lei, et al. "Development of a novel orthotopic non-small cell lung cancer model and therapeutic benefit of 2’-(2-bromohexadecanoyl)-docetaxel conjugate nanoparticles." Nanomedicine: Nanotechnology, Biology and Medicine (2014).} {IHC} {="Mouse"}
[IF={{ 5.4 }}] {Jialing Sun. et al. Investigating the molecular mechanism of Qizhu anticancer prescription in inhibiting hepatocellular carcinoma based on high-resolution mass spectrometry and network pharmacology. J ETHNOPHARMACOL. 2024 Feb;:117985} {WB} {Mouse}
关节等)及宿主组织中形成生物膜,其内的酵母细胞可播散至其他部位引发局部或全身的感染。据美国国家卫生研究院估计,大约80%的微生物感染都是由生物膜引起的[5]。 土槿皮乙酸(pseudolaric acid B,PAB)是一种二萜酸,为我国传统抗真菌药物土槿皮的主要活性成分,据记载自 17 世纪土槿皮就被用于治疗皮肤真菌感染[6-7]。联合用药是临床应对耐药加剧的常用方法,在增强抗真菌药物疗效的同时,也可减少药物的不良反应。有些中药的天然活性成分可以显著增强耐药真菌对抗真菌药物的敏感性。2020 年 8 月
= NAL), appears to form upon oxidative cyclization of the nonfluorescent 2:1 lysine-HNE Michael adduct-Schiff base cross-link (Scheme 1). Polyclonal antibody (PAb) to the NAL-HNE fluorophore was raised in rabbit and found to be highly specific
GE Healthcare Benzamidine Sepharose™ 6B is p-aminobenzamidine covalently attached to Sepharose 6B by the epoxy coupling method. p-Aminobenzamidine (PAB), is a synthetic inhibitor of trypsin-like serine protease. Trypsin and trypsin
技术资料暂无技术资料 索取技术资料









