相关产品推荐更多 >

VNN2 Rabbit pAb(bs-12340R)-50ul/100ul/200ul
¥1180
KLHL21 Rabbit pAb(bs-8048R)-50ul/100ul/200ul
¥1180
Egr1 Rabbit pAb, PE-Cy5 conjugated(bs-1076R-PE-Cy5)-100ul
¥2980
NEP1-40 Rabbit pAb, PE-Cy5.5 conjugated(bs-10509R-PE-Cy5.5)-100ul
¥2980
Nemo-like kinase Rabbit pAb, HRP conjugated(bs-10420R-HRP)-100ul
¥2980
万千商家帮你免费找货
0 人在求购买到急需产品
- 详细信息
- 文献和实验
- 技术资料
- 应用范围:
产品信息以Bioss网站为准
- 规格:
50ul/100ul/200ul
| 规格: | 50ul | 产品价格: | ¥1180.0 |
|---|---|---|---|
| 规格: | 100ul | 产品价格: | ¥1980.0 |
| 规格: | 200ul | 产品价格: | ¥2800.0 |
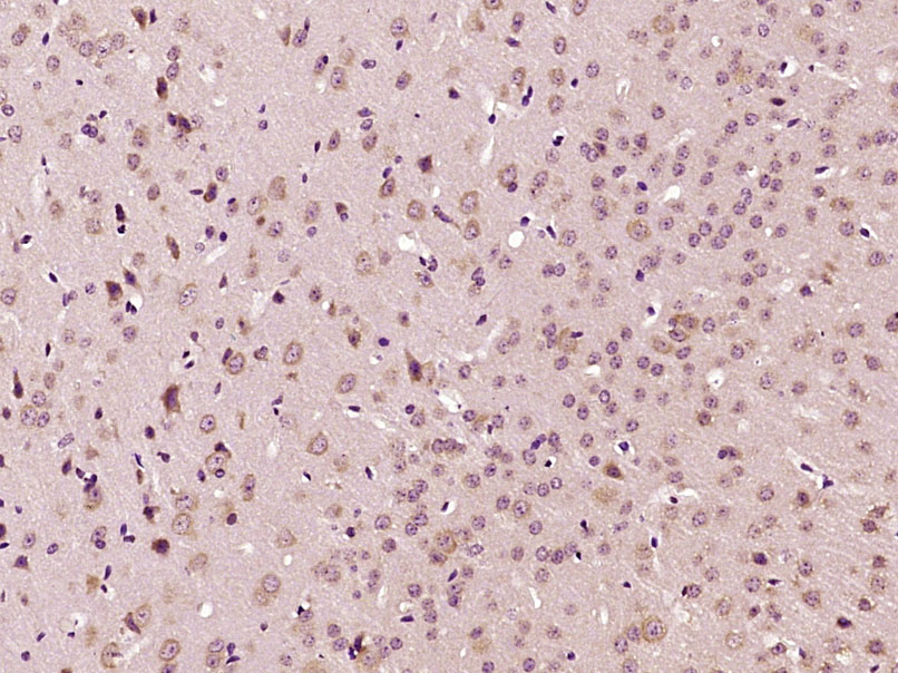
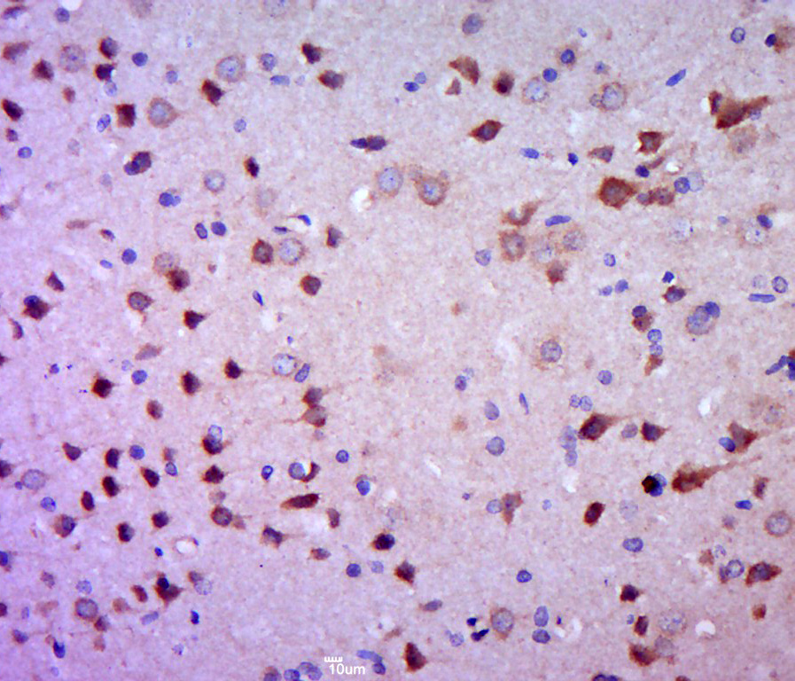
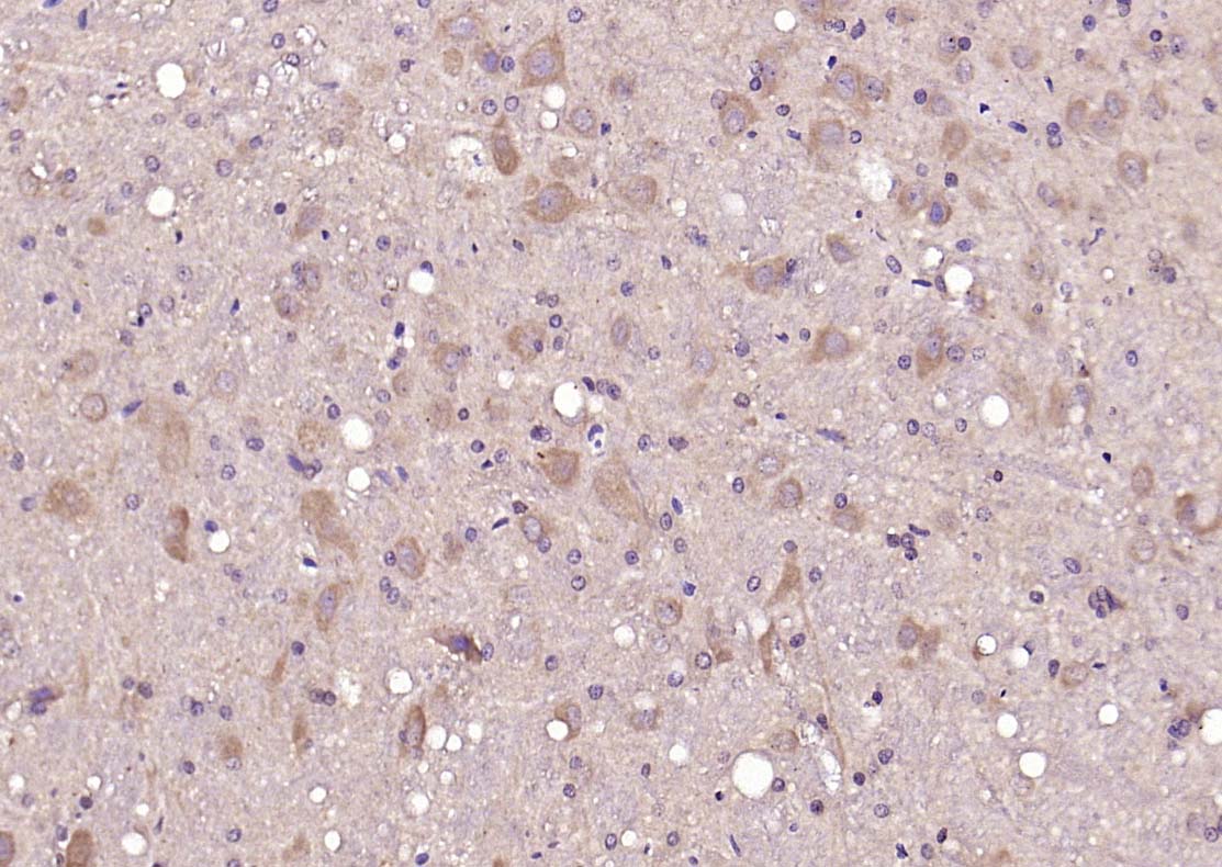
| 产品编号 | bs-0252R |
| 英文名称 | Glucocorticoid receptor Rabbit pAb |
| 中文名称 | 糖皮质激素受体抗体 |
| 英文别名 | NR3C1; GCR_HUMAN; Glucocorticoid receptor isoform alpha; GCCR; GCR; GR; GRL; Grl1; Nuclear receptor subfamily 3 group C member 1; Glucocorticoid receptor lymphocyte. |
| 产品应用 | IHC-P=1:100-500, IHC-F=1:100-500, IF=1:100-500, Flow-Cyt=1μg/Test Not yet tested in other applications. |
| 交叉反应 | Human, Mouse, Rat |
| 抗体来源 | Rabbit |
| 免疫原 | KLH conjugated synthetic peptide derived from human Glucocorticoid receptor |
| 亚型 | IgG |
| 性状 | Liquid |
| 纯化方法 | affinity purified by Protein A |
| 克隆类型 | Polyclonal |
| 理论分子量 | 85 kDa |
| 浓度 | 1mg/ml |
| 储存液 | 0.01M TBS (pH7.4) with 1% BSA, 0.02% Proclin300 and 50% Glycerol. |
| 研究领域 | Cancer > Signal transduction > Nuclear signaling > Nuclear hormone receptors Epigenetics and Nuclear Signaling > Nuclear Signaling Pathways > Nuclear Receptors > Corticoid Signal Transduction > Signaling Pathway > Nuclear Signaling > Nuclear Hormone Receptors > Corticoid |
| 亚基 | Heteromultimeric cytoplasmic complex with HSP90, HSP70, and FKBP5 or another immunophilin, or the immunophilin homolog PPP5C. Directly interacts with UNC45A. Upon ligand binding FKBP5 dissociates from the complex and FKBP4 takes its place, thereby linking the complex to dynein and mediating transport to the nucleus, where the complex dissociates (By similarity). Binds to DNA as a homodimer, and as a heterodimer with NR3C2 or the retinoid X receptor. Binds STAT5A and STAT5B homodimers and heterodimers. Interacts with NRIP1, POU2F1, POU2F2 and TRIM28. Interacts with NCOA1, NCOA3, SMARCA4, SMARCC1, SMARCD1, and SMARCE1 (By similarity). Interacts with several coactivator complexes, including the SMARCA4 complex, CREBBP/EP300, TADA2L and p160 coactivators such as NCOA2 and NCOA6. Interaction with BAG1 inhibits transactivation. Interacts with HEXIM1, PELP1 and TGFB1I1. |
| 亚细胞定位 | Cytoplasm. Nucleus. Note=Cytoplasmic in the absence of ligand, nuclear after ligand-binding.
Isoform Beta: Nucleus. Note=Localized largely in the nucleus. |
| 组织特异性 | Widely expressed. In the heart, detected in left and right atria, left and right ventricles, aorta, apex, intraventricular septum, and atrioventricular node as well as whole adult and fetal heart. |
| 翻译后修饰 | Increased proteasome-mediated degradation in response to glucocorticoids.
Phosphorylated in the absence of hormone; becomes hyperphosphorylated in the presence of glucocorticoid. The Ser-203-phosphorylated form is mainly cytoplasmic, and the Ser-211-phosphorylated form is nuclear. Transcriptional activity correlates with the amount of phosphorylation at Ser-211. Sumoylated; this reduces transcription transactivation. Ubiquitinated; restricts glucocorticoid-mediated transcriptional signalin. |
| 相似性 | Belongs to the nuclear hormone receptor family. NR3 subfamily.
Contains 1 nuclear receptor DNA-binding domain. |
| 功能 | Receptor for glucocorticoids (GC). Has a dual mode of action: as a transcription factor that binds to glucocorticoid response elements (GRE) and as a modulator of other transcription factors. Affects inflammatory responses, cellular proliferation and differentiation in target tissues. Could act as a coactivator for STAT5-dependent transcription upon growth hormone (GH) stimulation and could reveal an essential role of hepatic GR in the control of body growth. Involved in chromatin remodeling. Plays a significant role in transactivation. Involved in nuclear translocation. |
| 保存条件 | Shipped at 4℃. Store at -20℃ for one year. Avoid repeated freeze/thaw cycles. |
| 注意事项 | This product as supplied is intended for research use only, not for use in human, therapeutic or diagnostic applications. |
| 背景资料 | Steroid receptors are ligand-dependent, intracellular proteins that stimulate transcription of specific genes by binding to specific DNA sequences following activation by the appropriate hormone. Glucocorticoids are a family of steroids necessary for the regulation of energy metabolism and the immune and inflammatory responses. These compounds exert their effect through their interaction with the glucocoticoid receptor (GR) and that complex's subsequent association with DNA. All normal mammalian tissues examined to date have been shown to contain glucocorticoid receptor. |
| 应用 | 推荐稀释比例 |
| {IHC-P} | {1:100-500} |
| {IHC-F} | {1:100-500} |
| {IF} | {1:100-500} |
| {Flow-Cyt} | {1μg/Test} |


Concentration:1:100
Host/Isotype:Rabbit/IgG
Flow cytometric analysis of primary antibody (Cat#: bs-0252R) on H-4-II-E(green) compared with control in the absence of primary antibody (blue) followed by Alexa Fluor 488-conjugated goat anti-rabbit IgG(H+L) secondary antibody .


Primary Antibody (green line): Rabbit Anti-Glucocorticoid receptor antibody (bs-0252R)
Dilution: 1μg /10^6 cells;
Isotype Control Antibody (orange line): Rabbit IgG .
Secondary Antibody : Goat anti-rabbit IgG-AF647
Dilution: 1μg /test.
Protocol
The cells were fixed with 4% PFA (10min at room temperature)and then permeabilized with 0.1% PBST for 20 min at room temperature. The cells were then incubated in 5%BSA to block non-specific protein-protein interactions for 30 min at room temperature .Cells stained with Primary Antibody for 30 min at room temperature. The secondary antibody used for 40 min at room temperature. Acquisition of 20,000 events was performed.

风险提示:丁香通仅作为第三方平台,为商家信息发布提供平台空间。用户咨询产品时请注意保护个人信息及财产安全,合理判断,谨慎选购商品,商家和用户对交易行为负责。对于医疗器械类产品,请先查证核实企业经营资质和医疗器械产品注册证情况。
文献和实验[IF={{ 4.249 }}] {Zoratto, F. et al.Intranasal oxytocin administration promotes emotional contagion and reduces aggression in a mouse model of callousness. (2018) Neuropharmacology.Sep 10;143:250-267.} {IHC} {mouse}
[IF={{ 3.252 }}] {Ting-Wang Xiong. et al. Beneficial effects of Dendrobium nobile Lindl. Alkaloids (DNLA) on anxiety and depression induced by chronic unpredictable stress in rats. Brain Res. 2021 Nov;1771:147647} {IHC} {rat}
[IF={{ 3.216 }}] {Daneng Wei. et al. The Volatile Oil of Zanthoxylum bungeanum Pericarp Improved the Hypothalamic-Pituitary-Adrenal Axis and Gut Microbiota to Attenuate Chronic Unpredictable Stress-Induced Anxiety Behavior in Rats. Drug Des Dev Ther. 2021 Feb;15:769-786} {IHC} {Rat}
[IF={{ 1.69 }}] {Guo et al. Androgen receptor reverts dexamethasone?induced inhibition of prostate cancer cell proliferation and migration. (2018) Mol.Med.Rep. 17:5887-5893} {WB} {Human}
[IF={{ 1.41 }}] {Pang et al. Expression of glucocorticoid receptor-α in the epidermis of patients with psoriasis vulgaris. (2015) Exp.Ther.Med. 10:419-422} {IHC} {Human}
secondary antibody review -- data from 99 publications
data
, Algermissen, B. et al. 3. Purification of rabbit liver aldehyde oxidase by affinity chromatography on benzamidine Sepharose 6B. J. Chromatogr. (1989), 475 363-72, Stell, J. G. P. et al. 4. The Crystal Structure of a T Cell Receptor in Complex
进口分装 F0252 血清淀粉样蛋白(SAA) ELISA 48T/96T 2000/3000 进口分装 F0253 可溶性细胞表面分化抗原40 配体 (sCD40L) ELISA 48T/96T 2000/3000 进口分装 F0254 ★ 干细胞因子(SCF) ELISA 48T/96T 1200/2000 进口分装 F0255 干细胞因子受体(SCF R) ELISA 48T/96T 2000/3000 进口分装 F
技术资料暂无技术资料 索取技术资料






