相关产品推荐更多 >
万千商家帮你免费找货
0 人在求购买到急需产品
- 详细信息
- 文献和实验
- 技术资料
- 应用范围:
产品信息以Bioss网站为准
- 规格:
50ul/100ul/200ul
| 规格: | 50ul | 产品价格: | ¥1180.0 |
|---|---|---|---|
| 规格: | 100ul | 产品价格: | ¥1980.0 |
| 规格: | 200ul | 产品价格: | ¥2800.0 |
| 产品编号 | bs-0380R |
| 英文名称 | MBP Rabbit pAb |
| 中文名称 | 髓鞘碱性蛋白/磷脂碱性蛋白抗体 |
| 英文别名 | Myelin Basic Protein; Myelin basic protien; GDB; Golli MBP; Hemopoietic MBP; HMBPR; HUGO; MBP; MGC99675; MLD; Myelin A1 Protein; Myelin Deficient; Myelin Membrane Encephalitogenic Protein; SHI; Shiverer; SP; MBP_HUMAN . |
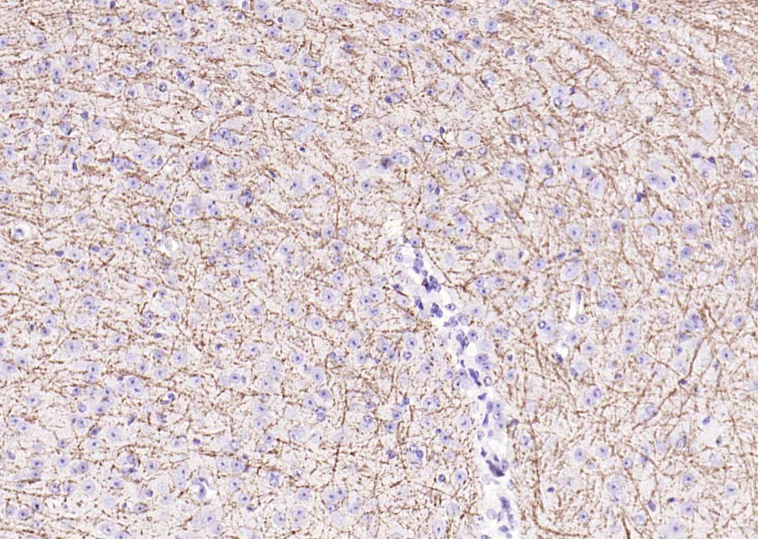
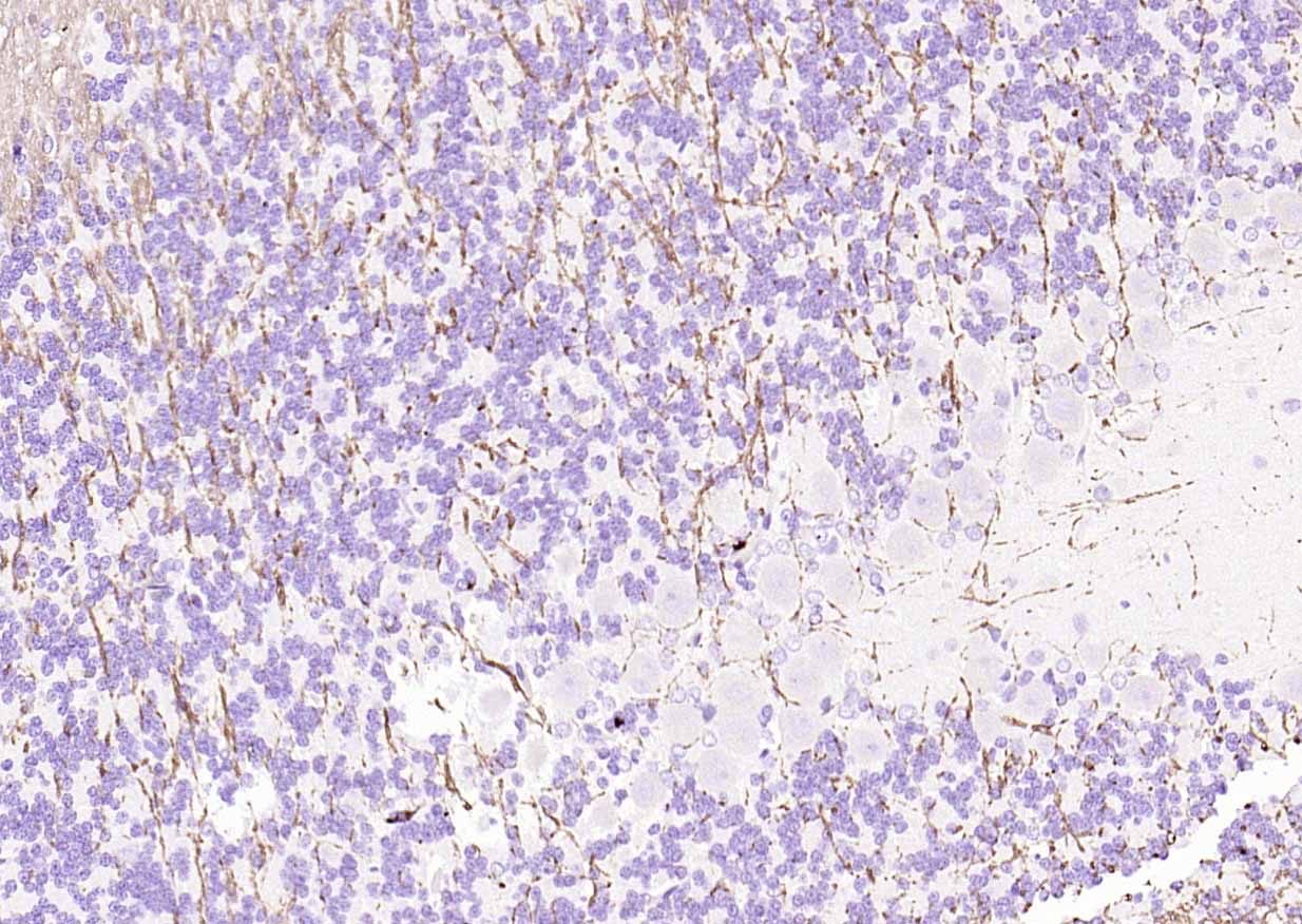
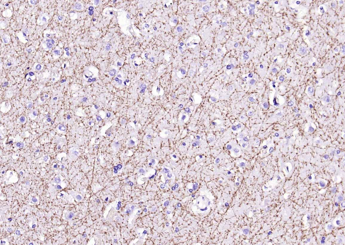
| 产品应用 | WB=1:1000-5000, IHC-P=1:500-2000, IHC-F=1:500-2000, IF=1:500-2000 Not yet tested in other applications. |
| 交叉反应 | Human, Mouse, Rat (Dog, Pig, Cow, Horse, Rabbit, Sheep) |
| 抗体来源 | Rabbit |
| 免疫原 | KLH conjugated synthetic peptide derived from Gpig MBP |
| 亚型 | IgG |
| 性状 | Liquid |
| 纯化方法 | affinity purified by Protein A |
| 克隆类型 | Polyclonal |
| 理论分子量 | 33 kDa |
| 浓度 | 1mg/ml |
| 储存液 | 0.01M TBS (pH7.4) with 1% BSA, 0.02% Proclin300 and 50% Glycerol. |
| 研究领域 | Neuroscience > Cell Adhesion Proteins > Membrane Proteins Neuroscience > Cell Type Marker > Glia marker > Oligodendrocyte marker Tags & Cell Markers > Cell Type Markers > Neuroscience Markers > Glial |
| 亚基 | Homodimer. Isoform 3 exists as a homodimer. |
| 亚细胞定位 | Myelin membrane; Peripheral membrane protein; Cytoplasmic side. Note=Cytoplasmic side of myelin. |
| 组织特异性 | MBP isoforms are found in both the central and the peripheral nervous system, whereas Golli-MBP isoforms are expressed in fetal thymus, spleen and spinal cord, as well as in cell lines derived from the immune system. |
| 翻译后修饰 | Several charge isomers of MBP; C1 (the most cationic, least modified, and most abundant form), C2, C3, C4, C5, C6, C7, C8-A and C8-B (the least cationic form); are produced as a result of optional PTM, such as phosphorylation, deamidation of glutamine or asparagine, arginine citrullination and methylation. C8-A and C8-B contain each two mass isoforms termed C8-A(H), C8-A(L), C8-B(H) and C8-B(L), (H) standing for higher and (L) for lower molecular weight. C3, C4 and C5 are phosphorylated. The ratio of methylated arginine residues decreases during aging, making the protein more cationic.
The N-terminal alanine is acetylated (isoform 3, isoform 4, isoform 5 and isoform 6). Arg-241 was found to be 6% monomethylated and 60% symmetrically dimethylated. Phosphorylated by TAOK2, VRK2, MAPK11, MAPK12, MAPK14 and MINK1. |
| 相似性 | Belongs to the myelin basic protein family. |
| 功能 | The classic group of MBP isoforms (isoform 4-isoform 14) are with PLP the most abundant protein components of the myelin membrane in the CNS. They have a role in both its formation and stabilization. The smaller isoforms might have an important role in remyelination of denuded axons in multiple sclerosis. The non-classic group of MBP isoforms (isoform 1-isoform 3/Golli-MBPs) may preferentially have a role in the early developing brain long before myelination, maybe as components of transcriptional complexes, and may also be involved in signaling pathways in T-cells and neural cells. Differential splicing events combined with optional post-translational modifications give a wide spectrum of isomers, with each of them potentially having a specialized function. Induces T-cell proliferation. |
| 保存条件 | Shipped at 4℃. Store at -20℃ for one year. Avoid repeated freeze/thaw cycles. |
| 注意事项 | This product as supplied is intended for research use only, not for use in human, therapeutic or diagnostic applications. |
| 背景资料 | Oligodendrocyte Marker The classic group of Myelin basic protein (MBP) isoforms (isoforms 4 to 14) are with PLP the most abundant protein components of the myelin membrane in the CNS. They have a role in both its formation and stabilization. The smaller isoforms might have an important role in remyelination of denuded axons in multiple sclerosis. The non classic group of MBP isoforms (isoforms 1 to 3/Golli MBPs) may preferentially have a role in the early developing brain long before myelination, maybe as components of transcriptional complexes, and may also be involved in signaling pathways in T cells and neural cells. Differential splicing events combined to optional posttranslational modifications give a wide spectrum of isomers, each of them having maybe a specialized function. |
| 应用 | 推荐稀释比例 |
| {WB} | {1:1000-5000} |
| {IHC-P} | {1:500-2000} |
| {IHC-F} | {1:500-2000} |
| {IF} | {1:500-2000} |













风险提示:丁香通仅作为第三方平台,为商家信息发布提供平台空间。用户咨询产品时请注意保护个人信息及财产安全,合理判断,谨慎选购商品,商家和用户对交易行为负责。对于医疗器械类产品,请先查证核实企业经营资质和医疗器械产品注册证情况。
文献和实验[IF={{ 8.352 }}] {Chanjuan Dong. et al. Graphene-based conductive fibrous scaffold boosts sciatic nerve regeneration and functional recovery upon electrical stimulation. Appl Mater Today. 2020 Dec;21:100870} {IHC} {Rat}
[IF={{ 7.59 }}] {Yuanxin Zhai. et al. High-efficiency Brain-targeted Intranasal Delivery of BDNF Mediated by Engineered Exosomes to Promote Remyelination. BIOMATER SCI-UK. 2022 Aug;:} {IF} {Mouse}
[IF={{ 7.478 }}] {Ayaka Nakatani. et al. S100A8 enhances IL-1β production from nasal epithelial cells in eosinophilic chronic rhinosinusitis. ALLERGOL INT. 2022 Sep;:} {IF} {Human}
[IF={{ 7.4 }}] {Ruoyan Xue. et al. Mesenchymal Stem Cell-Derived Exosomes Promote Recovery of The Facial Nerve Injury through Regulating Macrophage M1 and M2 Polarization by Targeting the P38 MAPK/NF-Κb Pathway. AGING DIS. 2024 Apr 1; 15(2): 851–868} {IF} {Rat}
[IF={{ 7 }}] {Yueqi Yang. et al. DHA and EPA Alleviate Epileptic Depression in PTZ-Treated Young Mice Model by Inhibiting Neuroinflammation through Regulating Microglial M2 Polarization and Improving Mitochondrial Metabolism. ANTIOXIDANTS-BASEL. 2023 Dec;12(12):2079} {WB} {Mouse}
= NAL), appears to form upon oxidative cyclization of the nonfluorescent 2:1 lysine-HNE Michael adduct-Schiff base cross-link (Scheme 1). Polyclonal antibody (PAb) to the NAL-HNE fluorophore was raised in rabbit and found to be highly specific
分子 -1 (rabbit ICAM-1) ELISA 48T/96T 2000/3000 进口分装 F20170 兔干扰素 -r(rabbit IFN-r) ELISA 48T/96T 1500/2500 进口分装 F20180 兔白介素
免疫组化技术-Immunohistochemical Protocols
, Table 3) to either mouse or rabbit IgGs depending on the primary antibody, for 1 hr 3x5 min washes in PBS. Negative controls should include incubations in non-immune mouse IgG or normal
技术资料暂无技术资料 索取技术资料










