产品封面图
文献支持

Desmin Mouse mAb(bsm-33229M)-5

0ul/100ul
收藏
  • ¥1180 - 1980
  • Bioss已认证
  • bsm-33229M
  • 2025年10月16日
  • 产品信息以Bioss网站为准
avatar
品牌商
10钻石会员
  • 企业认证

    点击 QQ 联系

    • 详细信息
    • 文献和实验
    • 技术资料
    • 应用范围

      产品信息以Bioss网站为准

    • 规格

      50ul/100ul

    规格:50ul产品价格:¥1180.0
    规格:100ul产品价格:¥1980.0
    产品编号bsm-33229M
    英文名称Desmin Mouse mAb
    中文名称结蛋白单克隆抗体
    英文别名DESM_HUMAN; DES;
    产品应用IHC-P=1:100-500, IHC-F=1:100-500, IF=1:100-500, WB=1:500-2000

    Not yet tested in other applications.
    Optimal working dilutions must be determined by the end user.

    交叉反应Human, skeletal muscle, stomach, stomach, stomach, stomach, human endometrial, human endometrial, human endometrial, human endometrial, stomach, stomach, stomach, Rat, Mouse
    抗体来源Mouse
    免疫原KLH conjugated synthetic peptide derived from human Desmin
    亚型IgG
    性状Liquid
    纯化方法affinity purified by Protein G
    克隆类型Monoclonal
    理论分子量52 kDa
    浓度1mg/ml
    储存液0.01M TBS (pH7.4) with 1% BSA, 0.02% Proclin300 and 50% Glycerol.
    研究领域

    Cancer > Invasion/microenvironment > ECM > Extracellular matrix

    Cardiovascular > Heart > Cardiac arrhythmias

    Signal Transduction > Cytoskeleton / ECM > Cytoskeleton > Intermediate Filaments > Class III > Desmin

    Stem Cells > Mesenchymal Stem Cells > Myogenesis

    亚基Homopolymer. Interacts with DST. Interacts with MTM1.
    亚细胞定位Cytoplasm.
    翻译后修饰ADP-ribosylation prevents ability to form intermediate filaments.
    相似性Belongs to the intermediate filament family.
    功能Desmin are class-III intermediate filaments found in muscle cells. In adult striated muscle they form a fibrous network connecting myofibrils to each other and to the plasma membrane from the periphery of the Z-line structures.
    保存条件Shipped at 4℃. Store at -20℃ for one year. Avoid repeated freeze/thaw cycles.
    注意事项This product as supplied is intended for research use only, not for use in human, therapeutic or diagnostic applications.
    背景资料Desmin is a muscle-specific, type III intermediate filament that integrates the sarcolemma, Z disk, and nuclear membrane in sarcomeres and regulates sarcomere architecture. In adult striated muscle they form a fibrous network connecting myofibrils to each other and to the plasma membrane from the periphery of the Z line structures. Defects in Desmin are the cause of desmin related cardio skeletal myopathy (CSM) also known as desmin related myopathy (DRM). CSM is characterized by skeletal muscle weakness associated with cardiac conduction blocks, arrhythmias, restrictive heart failure, and by intracytoplasmic accumulation of desmin reactive deposits in cardiac and skeletal muscle cells. A desmin related myopathy can have a distal onset, it is then known as hereditary distal myopathy (HDM). Defects in Desmin are also the cause of dilated cardiomyopathy type 1I (CMD1I). CMD1I is an autosomal form of dilated cardiomyopathy characterized by ventricular dilatation and impaired systolic function. Antidesmin antibodies are useful in identification of tumours of myogenic origin

     

    应用推荐稀释比例
    {IHC-P}{1:100-500}
    {IHC-F}{1:100-500}
    {IF}{1:100-500}
    {WB}{1:500-2000}

     

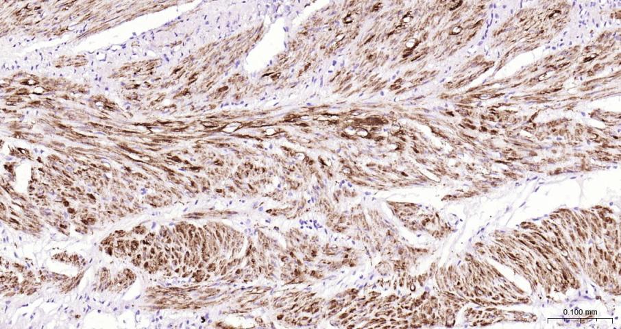
    产品细节图片1
    P‌‌araformaldehyde-fixed, paraffin embedded (Rat bladder); Antigen retrieval by boiling in sodium citrate buffer (pH6.0) for 15min; Block endogenous peroxidase by 3% hydrogen peroxide for 20 minutes; Blocking buffer (normal goat serum) at 37°C for 30min; Incubation with (Desmin) Monoclonal Antibody, Unconjugated (bsm-33229M) at 1:200 overnight at 4°C, followed by conjugation to the bs-0295G-HRP and DAB (C-0010) staining.
    产品细节图片2
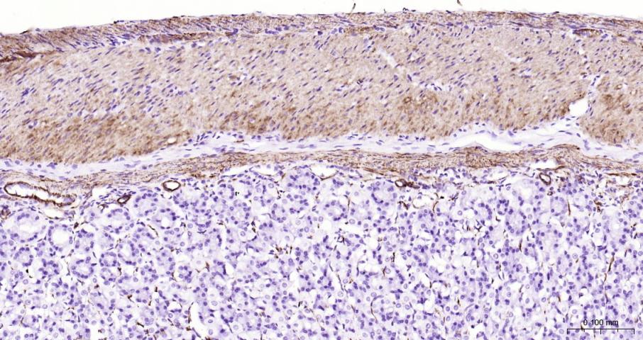
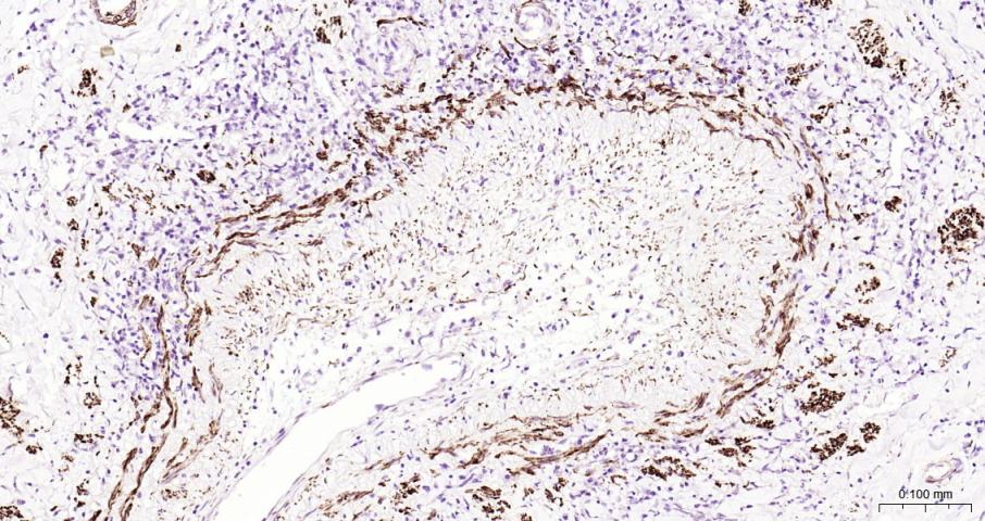
    P‌‌araformaldehyde-fixed, paraffin embedded (Rat stomach); Antigen retrieval by boiling in sodium citrate buffer (pH6.0) for 15min; Block endogenous peroxidase by 3% hydrogen peroxide for 20 minutes; Blocking buffer (normal goat serum) at 37°C for 30min; Incubation with (Desmin) Monoclonal Antibody, Unconjugated (bsm-33229M) at 1:200 overnight at 4°C, followed by conjugation to the bs-0295G-HRP and DAB (C-0010) staining.
    产品细节图片3
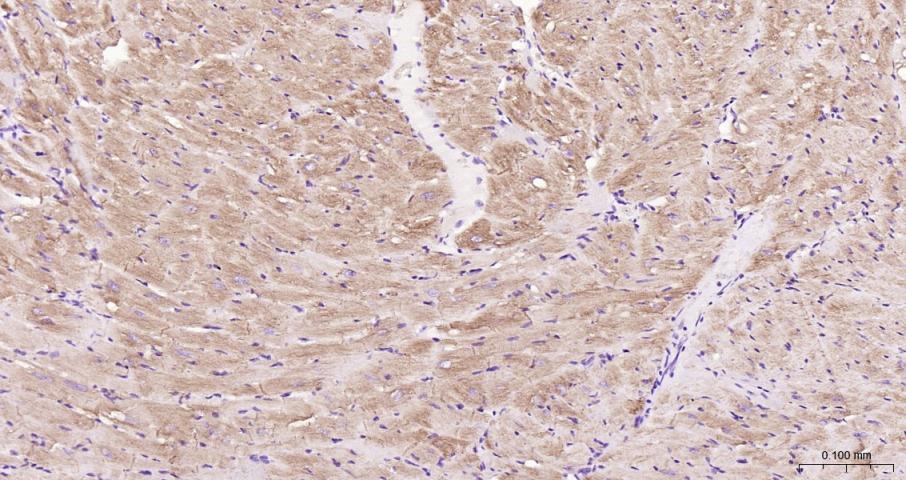
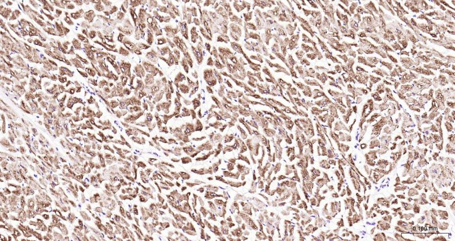
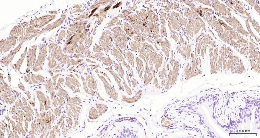
    P‌‌araformaldehyde-fixed, paraffin embedded (Rat heart); Antigen retrieval by boiling in sodium citrate buffer (pH6.0) for 15min; Block endogenous peroxidase by 3% hydrogen peroxide for 20 minutes; Blocking buffer (normal goat serum) at 37°C for 30min; Incubation with (Desmin) Monoclonal Antibody, Unconjugated (bsm-33229M) at 1:200 overnight at 4°C, followed by conjugation to the bs-0295G-HRP and DAB (C-0010) staining.
    产品细节图片4
    P‌‌araformaldehyde-fixed, paraffin embedded (Rat uterus); Antigen retrieval by boiling in sodium citrate buffer (pH6.0) for 15min; Block endogenous peroxidase by 3% hydrogen peroxide for 20 minutes; Blocking buffer (normal goat serum) at 37°C for 30min; Incubation with (Desmin) Monoclonal Antibody, Unconjugated (bsm-33229M) at 1:200 overnight at 4°C, followed by conjugation to the bs-0295G-HRP and DAB (C-0010) staining.
    产品细节图片5
    P‌‌araformaldehyde-fixed, paraffin embedded (Human lung cancer); Antigen retrieval by boiling in sodium citrate buffer (pH6.0) for 15min; Block endogenous peroxidase by 3% hydrogen peroxide for 20 minutes; Blocking buffer (normal goat serum) at 37°C for 30min; Incubation with (Desmin) Monoclonal Antibody, Unconjugated (bsm-33229M) at 1:200 overnight at 4°C, followed by conjugation to the bs-0295G-HRP and DAB (C-0010) staining
    产品细节图片6
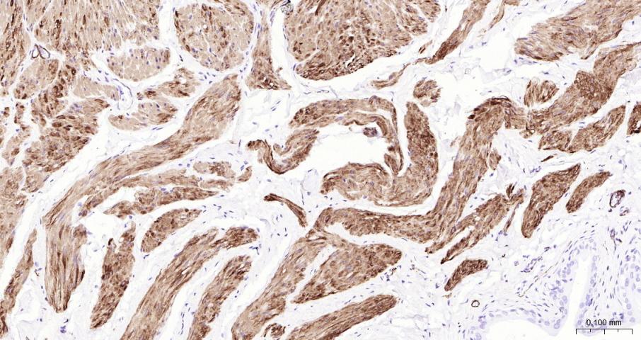
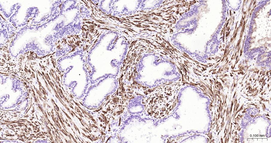
    P‌‌araformaldehyde-fixed, paraffin embedded (Human prostate tumor); Antigen retrieval by boiling in sodium citrate buffer (pH6.0) for 15min; Block endogenous peroxidase by 3% hydrogen peroxide for 20 minutes; Blocking buffer (normal goat serum) at 37°C for 30min; Incubation with (Desmin) Monoclonal Antibody, Unconjugated (bsm-33229M) at 1:200 overnight at 4°C, followed by conjugation to the bs-0295G-HRP and DAB (C-0010) staining.
    产品细节图片7
    P‌‌araformaldehyde-fixed, paraffin embedded (Human skeletal muscle); Antigen retrieval by boiling in sodium citrate buffer (pH6.0) for 15min; Block endogenous peroxidase by 3% hydrogen peroxide for 20 minutes; Blocking buffer (normal goat serum) at 37°C for 30min; Incubation with (Desmin) Monoclonal Antibody, Unconjugated (bsm-33229M) at 1:200 overnight at 4°C, followed by conjugation to the bs-0295G-HRP and DAB (C-0010) staining.
    产品细节图片8
    P‌‌araformaldehyde-fixed, paraffin embedded (Human stomach); Antigen retrieval by boiling in sodium citrate buffer (pH6.0) for 15min; Block endogenous peroxidase by 3% hydrogen peroxide for 20 minutes; Blocking buffer (normal goat serum) at 37°C for 30min; Incubation with (Desmin) Monoclonal Antibody, Unconjugated (bsm-33229M) at 1:200 overnight at 4°C, followed by conjugation to the bs-0295G-HRP and DAB (C-0010) staining.
    产品细节图片9
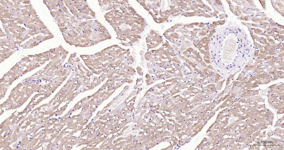
    P‌‌araformaldehyde-fixed, paraffin embedded (Human Heart); Antigen retrieval by boiling in sodium citrate buffer (pH6.0) for 15min; Block endogenous peroxidase by 3% hydrogen peroxide for 20 minutes; Blocking buffer (normal goat serum) at 37°C for 30min; Incubation with (Desmin) Monoclonal Antibody, Unconjugated (bsm-33229M) at 1:200 overnight at 4°C, followed by conjugation to the bs-0295G-HRP and DAB (C-0010) staining.
    产品细节图片10
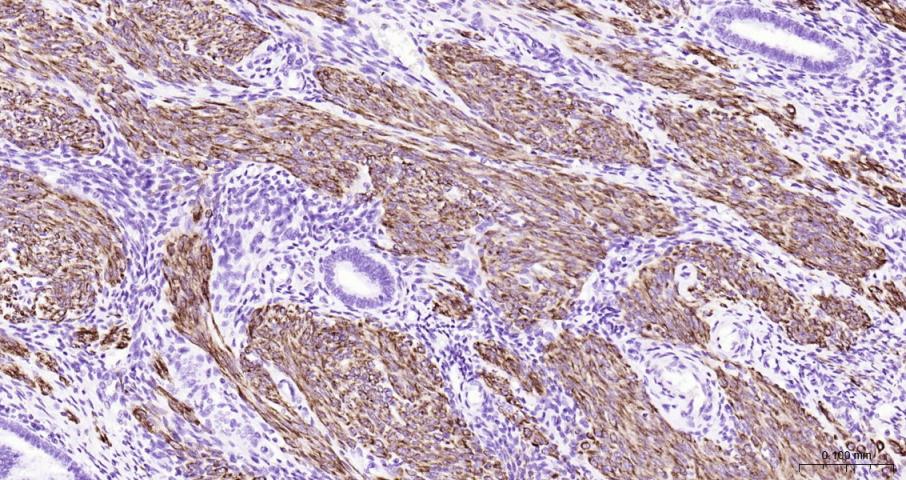
    P‌‌araformaldehyde-fixed, paraffin embedded (Human uterus); Antigen retrieval by boiling in sodium citrate buffer (pH6.0) for 15min; Block endogenous peroxidase by 3% hydrogen peroxide for 20 minutes; Blocking buffer (normal goat serum) at 37°C for 30min; Incubation with (Desmin) Monoclonal Antibody, Unconjugated (bsm-33229M) at 1:200 overnight at 4°C, followed by conjugation to the bs-0295G-HRP and DAB (C-0010) staining.
    产品细节图片11
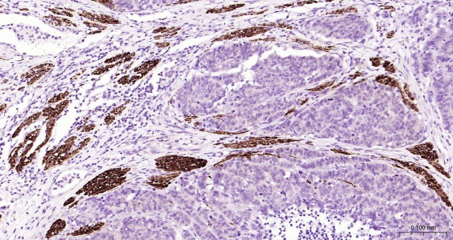
    P‌‌araformaldehyde-fixed, paraffin embedded (Human esophageal cancer); Antigen retrieval by boiling in sodium citrate buffer (pH6.0) for 15min; Block endogenous peroxidase by 3% hydrogen peroxide for 20 minutes; Blocking buffer (normal goat serum) at 37°C for 30min; Incubation with (Desmin) Monoclonal Antibody, Unconjugated (bsm-33229M) at 1:200 overnight at 4°C, followed by conjugation to the bs-0295G-HRP and DAB (C-0010) staining.
    产品细节图片12
    P‌‌araformaldehyde-fixed, paraffin embedded (Mouse bladder); Antigen retrieval by boiling in sodium citrate buffer (pH6.0) for 15min; Block endogenous peroxidase by 3% hydrogen peroxide for 20 minutes; Blocking buffer (normal goat serum) at 37°C for 30min; Incubation with (Desmin) Monoclonal Antibody, Unconjugated (bsm-33229M) at 1:200 overnight at 4°C, followed by conjugation to the bs-0295G-HRP and DAB (C-0010) staining.
    产品细节图片13
    P‌‌araformaldehyde-fixed, paraffin embedded (Mouse stomach); Antigen retrieval by boiling in sodium citrate buffer (pH6.0) for 15min; Block endogenous peroxidase by 3% hydrogen peroxide for 20 minutes; Blocking buffer (normal goat serum) at 37°C for 30min; Incubation with (Desmin) Monoclonal Antibody, Unconjugated (bsm-33229M) at 1:200 overnight at 4°C, followed by conjugation to the bs-0295G-HRP and DAB (C-0010) staining.
    产品细节图片14
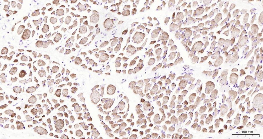
    P‌‌araformaldehyde-fixed, paraffin embedded (Mouse skeletal muscle); Antigen retrieval by boiling in sodium citrate buffer (pH6.0) for 15min; Block endogenous peroxidase by 3% hydrogen peroxide for 20 minutes; Blocking buffer (normal goat serum) at 37°C for 30min; Incubation with (Desmin) Monoclonal Antibody, Unconjugated (bsm-33229M) at 1:200 overnight at 4°C, followed by conjugation to the bs-0295G-HRP and DAB (C-0010) staining.
    产品细节图片15
    P‌‌araformaldehyde-fixed, paraffin embedded (Mouse heart); Antigen retrieval by boiling in sodium citrate buffer (pH6.0) for 15min; Block endogenous peroxidase by 3% hydrogen peroxide for 20 minutes; Blocking buffer (normal goat serum) at 37°C for 30min; Incubation with (Desmin) Monoclonal Antibody, Unconjugated (bsm-33229M) at 1:200 overnight at 4°C, followed by conjugation to the bs-0295G-HRP and DAB (C-0010) staining.
    产品细节图片16
    25 ug total protein per lane of various lysates (see on figure) probed with Desmin monoclonal antibody, unconjugated (bsm-33229M) at 1:1000 dilution and 4°C overnight incubation. Followed by conjugated secondary antibody incubation at r.t. for 60 min.
    产品细节图片17
    P‌‌araformaldehyde-fixed, paraffin embedded Rat Bladder; Antigen retrieval by boiling in sodium citrate buffer (pH6.0) for 15 min; The section was incubated with Desmin Monoclonal Antibody, Unconjugated (bsm-33229M) at 1:200 overnight at 4°C. Followed by conjugated Goat Anti-Mouse IgG antibody (green, bs-0296G-BF488), DAPI (blue, C02-04002) was used to stain the cell nuclei.
    产品细节图片18
    P‌‌araformaldehyde-fixed, paraffin embedded Human Uterus; Antigen retrieval by boiling in sodium citrate buffer (pH6.0) for 15 min; The section was incubated with Desmin Monoclonal Antibody, Unconjugated (bsm-33229M) at 1:200 overnight at 4°C. Followed by conjugated Goat Anti-Mouse IgG antibody (green, bs-0296G-BF488), DAPI (blue, C02-04002) was used to stain the cell nuclei.

    风险提示:丁香通仅作为第三方平台,为商家信息发布提供平台空间。用户咨询产品时请注意保护个人信息及财产安全,合理判断,谨慎选购商品,商家和用户对交易行为负责。对于医疗器械类产品,请先查证核实企业经营资质和医疗器械产品注册证情况。

    图标文献和实验
    该产品被引用文献

    [IF={{ 2.6 }}] {Huifang Bai. et al. Murine skeletal muscle satellite cells isolation and preliminary study on regulation in immune microenvironment during nurse cells formation of Trichinella spiralis infection. VET PARASITOL. 2024 Apr;:110175} {IHC} {Mouse}

    相关实验
    • T-Cell Activation Using mAb to CD3

      One of the most common ways to assess T cell activation is to measure T cell proliferation upon in vitro stimulation of T cells via antigen or agonistic antibodies to TCR. This protocol is written as a starting point for examining in vitro proliferation of mouse

    • WHOLE MOUNT IN SITU HYBRIDIZATION. Mouse Embryos

      . Use gloves and aerosol barrier tips.   Linearize the plasmid and check the digest. Phenol extract. Extract twice with chloroform:isoamyl alcohol (24:1) Ethanol precipitate ( 1/2 vol 7.5 M NH4 OAc + 2.5 vol 100

    • Hybrid Resistance by Mouse NK Cells In Vitro

      A purified NK cells to kill H2d target cells can be reversed by adding MAb reagents that bind to either Ly49A or H2-Dd . We and others have extended these early findings to the Ly49C and I subsets of NK cells, and have recently detected positive signaling

    图标技术资料

    暂无技术资料 索取技术资料

    同类产品报价

    产品名称
    产品价格
    公司名称
    报价日期
    ¥1800
    杭州戴格生物技术有限公司
    2026年01月17日询价
    ¥1880
    北京博奥森生物技术有限公司
    2025年10月24日询价
    ¥1260
    杭州臻优品生物科技有限公司
    2026年02月24日询价
    询价
    ImmunoWay Biotechnology Company
    2025年07月12日询价
    询价
    武汉佰瑞得生物技术有限公司
    2025年07月10日询价
    文献支持
    Desmin Mouse mAb(bsm-33229M)-50ul/100ul
    ¥1180 - 1980