相关产品推荐更多 >

Cenexin1 Rabbit pAb(bs-10309R)-50ul/100ul/200ul
¥1180
MyD88 Rabbit pAb, Cy3 conjugated(bs-1047R-Cy3)-100ul
¥2980
PLEKHH3 Rabbit pAb(bs-12727R)-50ul/100ul/200ul
¥1180
phospho-Insulin Receptor Beta (Tyr1361) Rabbit pAb(bs-20191R)-50ul/100ul/200ul
¥1180
phospho-MCM2 (Ser53) Rabbit pAb, HRP conjugated(bs-10608R-HRP)-100ul
¥2980
万千商家帮你免费找货
0 人在求购买到急需产品
- 详细信息
- 文献和实验
- 技术资料
- 应用范围:
产品信息以Bioss网站为准
- 规格:
100ug
| 产品编号 | bsm-30046M |
| 英文名称 | NCAM Mouse mAb |
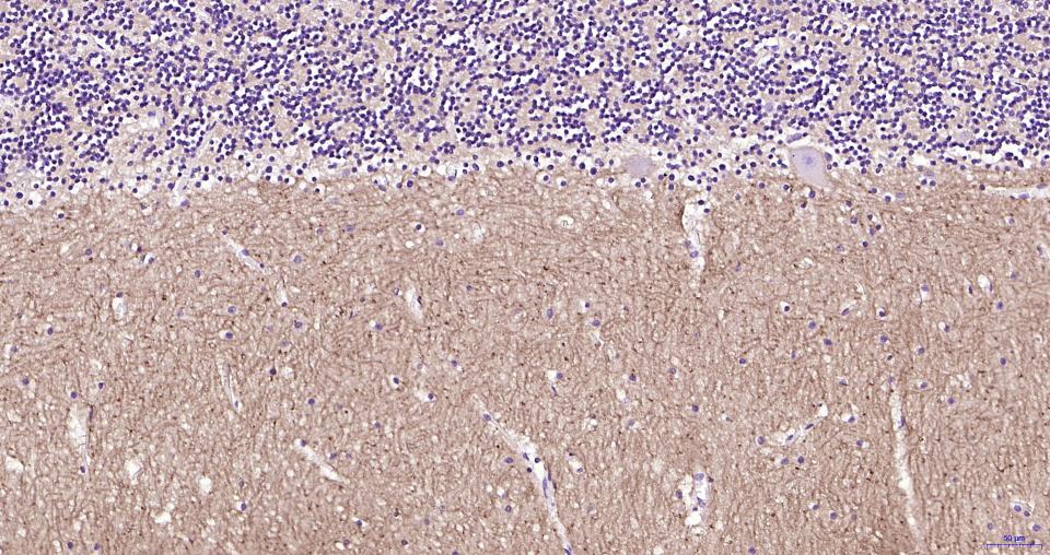
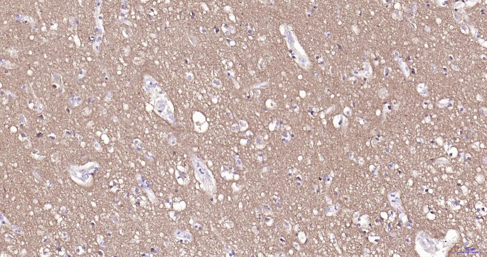
| 中文名称 | 小鼠抗人CD56 (NCAM)单克隆抗体 |
| 英文别名 | CD56 antigen; Cell Adhesion Molecule Neural 1; MSK39; N CAM 120; N CAM 140; N CAM 180; NCAM 1; NCAM 120; NCAM 140; NCAM1; Neural cell adhesion molecule 1 120 kDa isoform; Neural cell adhesion molecule 1 140 kDa isoform; Neural cell adhesion molecule 1; NCAM1_HUMAN. |
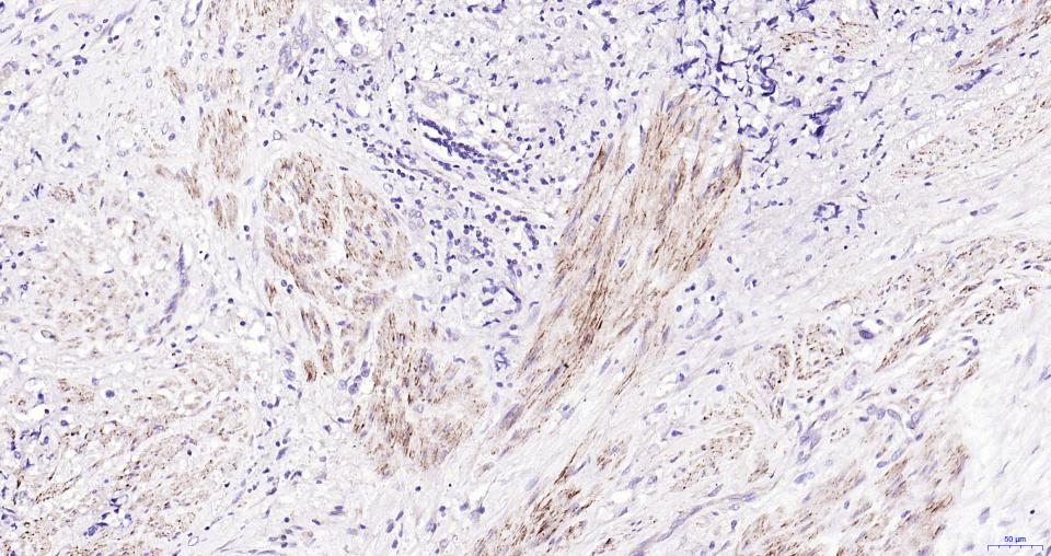
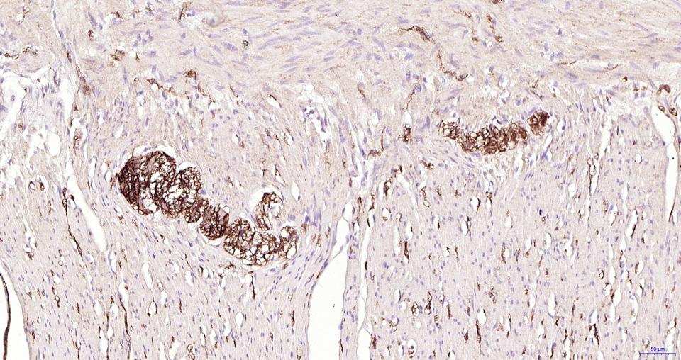
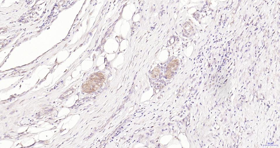
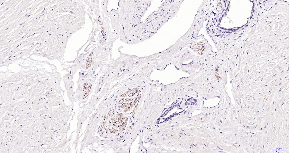
| 产品应用 | IHC-P=1:100-500, IHC-F=1:100-500, IF=1:100-500, Flow-Cyt=1ug/Test Not yet tested in other applications. |
| 交叉反应 | Human |
| 抗体来源 | Mouse |
| 免疫原 | KLH conjugated synthetic peptide derived from human CD56 |
| 亚型 | Mouse IgG2a, k |
| 性状 | Liquid |
| 纯化方法 | affinity purified by Protein G |
| 克隆类型 | Monoclonal |
| 理论分子量 | 92 kDa |
| 实际分子量 | 140kDa |
| 浓度 | 1mg/ml |
| 储存液 | 0.01M TBS (pH7.4). |
| 研究领域 | Neuroscience > Cell Adhesion Proteins > ECM Proteins Neuroscience > Cell Type Marker > Neuron marker > Growth Cone Neuroscience > Neurology process > Neural Signal Transduction Stem Cells > Hematopoietic Progenitors > Hematopoietic Stem Cells > Human Lineage Negative |
| 亚细胞定位 | Isoform 1, 2,: Cell membrane; Single-pass type I membrane protein. Isoform 3, 4: Cell membrane; Lipid-anchor, GPI-anchor. Isoform 5, 6: Secreted. |
| 相似性 | Contains 2 fibronectin type-III domains. Contains 5 Ig-like C2-type (immunoglobulin-like) domains. |
| 功能 | This protein is a cell adhesion molecule involved in neuron-neuron adhesion, neurite fasciculation, outgrowth of neurites, etc. Subcellular Location : Isoform 1, 2,: Cell membrane; Single-pass type I membrane protein. Isoform 3, 4: Cell membrane; Lipid-anchor, GPI-anchor. Isoform 5, 6: Secreted. |
| 保存条件 | Shipped at 4℃. Store at -20℃ for one year. Avoid repeated freeze/thaw cycles. |
| 注意事项 | This product as supplied is intended for research use only, not for use in human, therapeutic or diagnostic applications. |
| 背景资料 | This gene encodes a cell adhesion protein which is a member of the immunoglobulin superfamily. The encoded protein is involved in cell-to-cell interactions as well as cell-matrix interactions during development and differentiation. The encoded protein has been shown to be involved in development of the nervous system, and for cells involved in the expansion of T cells and dendritic cells which play an important role in immune surveillance. Alternative splicing results in multiple transcript variants. [provided by RefSeq, Jun 2011] |
| 应用 | 推荐稀释比例 |
| {IHC-P} | {1:100-500} |
| {IHC-F} | {1:100-500} |
| {IF} | {1:100-500} |
| {Flow-Cyt} | {1ug/Test} |







风险提示:丁香通仅作为第三方平台,为商家信息发布提供平台空间。用户咨询产品时请注意保护个人信息及财产安全,合理判断,谨慎选购商品,商家和用户对交易行为负责。对于医疗器械类产品,请先查证核实企业经营资质和医疗器械产品注册证情况。
文献和实验Hybrid Resistance by Mouse NK Cells In Vitro
A purified NK cells to kill H2d target cells can be reversed by adding MAb reagents that bind to either Ly49A or H2-Dd . We and others have extended these early findings to the Ly49C and I subsets of NK cells, and have recently detected positive signaling
#:RT1510, HuaAn biotechnology , inc.4.IRS1, Mouse mAb IgG1, Cat#:M1210-2. HuaAn biotechnology , inc.5.XBP1, Rabbit polyclonal antibodies, SC-7160, Santa Cruz biotechnology,inc.6.b-Actin, Mouse monoclonal IgG1, SC-47778. Santa Cruz biotechnology
Production of Monoclonal Antibodies in Swine
A major objective of this laboratory has been to improve the growth performance of swine with immunological manipulation. During the progress of the program, we demonstrated that a mouse monoclonal antibody (MAb) was able to enhance
技术资料暂无技术资料 索取技术资料






