相关产品推荐更多 >

Aquaporin 5 Rabbit pAb(bs-10927R)-50ul/100ul/200ul
¥1180
CCL12 Rabbit pAb, Biotin conjugated(bs-21433R-Bio)-100ul
¥2980
CCL26 Signal peptide Rabbit pAb, BF750 conjugated(bs-10409R-BF750)-100ul
¥2980
Placental alkaline phosphatase (PLAP) Rabbit pAb, BF405 conjugated(bs-20015R-BF405)-100ul
¥2980
MC1R Rabbit pAb, FITC conjugated(bs-1419R-FITC)-100ul
¥2980
万千商家帮你免费找货
0 人在求购买到急需产品
- 详细信息
- 技术资料
- 应用范围:
产品信息以Bioss网站为准
- 规格:
50ul/100ul/200ul
| 规格: | 50ul | 产品价格: | ¥1180.0 |
|---|---|---|---|
| 规格: | 100ul | 产品价格: | ¥1980.0 |
| 规格: | 200ul | 产品价格: | ¥2800.0 |
| 产品编号 | bs-12641R |
| 英文名称 | SMPD4 Rabbit pAb |
| 中文名称 | 鞘磷脂磷酸二酯酶4抗体 |
| 英文别名 | EC 3.1.4.12; EC=3.1.4.123; FLJ20297; FLJ20756; KIAA1418; NET 13; NET13; Neutral sphingomyelinase 3; Neutral sphingomyelinase III; NSMA3_HUMAN; nSMase 3; nSMase-3; nSMase3; OTTHUMP00000162391; OTTHUMP00000190862; SKNY protein; smpd4; Sphingomyelin phosphodiesterase 4; Sphingomyelin phosphodiesterase 4, neutral membrane(neutral sphingomyelinase 3). |
| 产品应用 | WB=1:500-2000, IHC-P=1:100-500, IHC-F=1:100-500, IF=1:100-500 Not yet tested in other applications. |
| 交叉反应 | Mouse (Human, Rat, Dog, Pig, Cow, Horse, Rabbit) |
| 抗体来源 | Rabbit |
| 免疫原 | KLH conjugated synthetic peptide derived from human SMPD4 |
| 亚型 | IgG |
| 性状 | Liquid |
| 纯化方法 | affinity purified by Protein A |
| 克隆类型 | Polyclonal |
| 理论分子量 | 93 kDa |
| 浓度 | 1mg/ml |
| 储存液 | 0.01M TBS (pH7.4) with 1% BSA, 0.02% Proclin300 and 50% Glycerol. |
| 研究领域 | Neuroscience > Neurotransmission > Intracellular Signaling > Regulation Neuroscience > Neurotransmitter > Transporters |
| 亚基 | Associates with spliceosomes. Associates with U4/U5/U6 tri-snRNP and with U2 snRNP. |
| 亚细胞定位 | Endoplasmic reticulum membrane. Golgi apparatus membrane. |
| 组织特异性 | Widely expressed, with highest levels in heart and skeletal muscle. |
| 相似性 | Belongs to the SMN family. Contains 1 Tudor domain. |
| 功能 | Catalyzes the hydrolysis of membrane sphingomyelin to form phosphorylcholine and ceramide. |
| 保存条件 | Shipped at 4℃. Store at -20℃ for one year. Avoid repeated freeze/thaw cycles. |
| 注意事项 | This product as supplied is intended for research use only, not for use in human, therapeutic or diagnostic applications. |
| 背景资料 | Sphingomyelinases (EC 3.1.4.12), such as SMPD4, catalyze the hydrolysis of membrane sphingomyelin to form phosphorylcholine and ceramide (Krut et al., 2006 [PubMed 16517606]).[supplied by OMIM, Mar 2008] |
| 应用 | 推荐稀释比例 |
| {WB} | {1:500-2000} |
| {IHC-P} | {1:100-500} |
| {IHC-F} | {1:100-500} |
| {IF} | {1:100-500} |

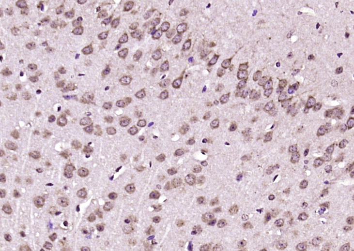
Paraformaldehyde-fixed, paraffin embedded (mouse cerebellum); Antigen retrieval by boiling in sodium citrate buffer (pH6.0) for 15min; Block endogenous peroxidase by 3% hydrogen peroxide for 20 minutes; Blocking buffer (normal goat serum) at 37°C for 30min; Antibody incubation with (SMPD4) Polyclonal Antibody, Unconjugated (bs-12641R) at 1:200 overnight at 4°C, followed by operating according to SP Kit(Rabbit) (sp-0023) instructionsand DAB staining.

Sample:
Muscle (Mouse) Lysate at 40 ug
Primary: Anti-SMPD4 (bs-12641R) at 1/1000 dilution
Secondary: IRDye800CW Goat Anti-Rabbit IgG at 1/20000 dilution
Predicted band size: 93 kD
Observed band size: 96 kD
Muscle (Mouse) Lysate at 40 ug
Primary: Anti-SMPD4 (bs-12641R) at 1/1000 dilution
Secondary: IRDye800CW Goat Anti-Rabbit IgG at 1/20000 dilution
Predicted band size: 93 kD
Observed band size: 96 kD
风险提示:丁香通仅作为第三方平台,为商家信息发布提供平台空间。用户咨询产品时请注意保护个人信息及财产安全,合理判断,谨慎选购商品,商家和用户对交易行为负责。对于医疗器械类产品,请先查证核实企业经营资质和医疗器械产品注册证情况。
技术资料暂无技术资料 索取技术资料
SMPD4 Rabbit pAb(bs-12641R)-50ul/100ul/200ul
¥1180 - 2800





