相关产品推荐更多 >

SKP2 Rabbit pAb(bs-1096R)-50ul/100ul/200ul
¥1180
TGF-beta 3 Rabbit pAb, APC-Cy7 conjugated(bs-20413R-APC-Cy7)-100ul
¥2980
FCGRT Rabbit pAb, Cy5.5 conjugated(bs-13151R-Cy5.5)-100ul
¥2980
phospho-CHEK2 (Thr383) Rabbit pAb, APC conjugated(bs-13910R-APC)-100ul
¥2980
SCNN1B Rabbit pAb, AP conjugated(bs-4252R-AP)-100ul
¥2980
万千商家帮你免费找货
0 人在求购买到急需产品
- 详细信息
- 文献和实验
- 技术资料
- 应用范围:
产品信息以Bioss网站为准
- 规格:
50ul/100ul/200ul
| 规格: | 50ul | 产品价格: | ¥1180.0 |
|---|---|---|---|
| 规格: | 100ul | 产品价格: | ¥1980.0 |
| 规格: | 200ul | 产品价格: | ¥2800.0 |
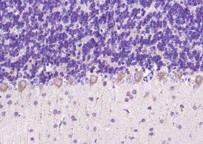
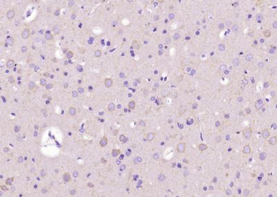
| 产品编号 | bs-18257R |
| 英文名称 | phospho-LIM Kinase 2 (Thr505) Rabbit pAb |
| 中文名称 | 磷酸化单丝氨酸蛋白激酶2抗体 |
| 英文别名 | LIM Kinase 1(phospho T505); p-LIM Kinase 1(phospho T505); LIM domain kinase 2; LIMK 2; LIMK-2; LIMK2; LIMK2_HUMAN. |
| 产品应用 | IHC-P=1:100-500, IHC-F=1:100-500, IF=1:100-500 Not yet tested in other applications. |
| 交叉反应 | Rat (Human, Mouse, Chicken, Dog, Pig, Cow, Horse, Rabbit) |
| 抗体来源 | Rabbit |
| 免疫原 | KLH conjugated synthesised phosphopeptide derived from human LIM Kinase 1 around the phosphorylation site of Thr505 |
| 亚型 | IgG |
| 性状 | Liquid |
| 纯化方法 | affinity purified by Protein A |
| 克隆类型 | Polyclonal |
| 理论分子量 | 70 kDa |
| 浓度 | 1mg/ml |
| 储存液 | 0.01M TBS (pH7.4) with 1% BSA, 0.02% Proclin300 and 50% Glycerol. |
| 研究领域 | Signal Transduction > Cytoskeleton / ECM > Cytoskeleton > Microfilaments > Actin etc > Actin Signal Transduction > Protein Phosphorylation > Ser / Thr Kinases > Other Kinases |
| 亚细胞定位 | Cytoplasm. Nucleus. Isoform LIMK2a is distributed in the cytoplasm and the nucleus and Cytoplasm. Nucleus. Isoform LIMK2b occurs mainly in the cytoplasm and is scarcely translocated to the nucleus. |
| 组织特异性 | Highest expression in the placenta; moderate level in liver, lung, kidney, and pancreas. LIMK2a is found to be more abundant then LIMK2b in liver, colon, stomach, and spleen, while in brain, kidney, and placenta LIMK2b is the dominant form. In adult lung, both LIMK2a and LIMK2b is nearly equally observed. |
| 翻译后修饰 | Phosphorylated on serine and/or threonine residues by ROCK1. |
| 相似性 | Belongs to the protein kinase superfamily.
TKL Ser/Thr protein kinase family. Contains 2 LIM zinc-binding domains. Contains 1 PDZ (DHR) domain. Contains 1 protein kinase domain. |
| 功能 | Displays serine/threonine-specific phosphorylation of myelin basic protein and histone (MBP) in vitro. |
| 保存条件 | Shipped at 4℃. Store at -20℃ for one year. Avoid repeated freeze/thaw cycles. |
| 注意事项 | This product as supplied is intended for research use only, not for use in human, therapeutic or diagnostic applications. |
| 背景资料 | There are approximately 40 known eukaryotic LIM proteins, so named for the LIM domains they contain. LIM domains are highly conserved cysteine-rich structures containing 2 zinc fingers. Although zinc fingers usually function by binding to DNA or RNA, the LIM motif probably mediates protein-protein interactions. LIM kinase-1 and LIM kinase-2 belong to a small subfamily with a unique combination of 2 N-terminal LIM motifs and a C-terminal protein kinase domain. The protein encoded by this gene is phosphorylated and activated by ROCK, a downstream effector of Rho, and the encoded protein, in turn, phosphorylates cofilin, inhibiting its actin-depolymerizing activity. It is thought that this pathway contributes to Rho-induced reorganization of the actin cytoskeleton. At least three transcript variants encoding different isoforms have been found for this gene. [provided by RefSeq, Jul 2008] |
| 应用 | 推荐稀释比例 |
| {IHC-P} | {1:100-500} |
| {IHC-F} | {1:100-500} |
| {IF} | {1:100-500} |


风险提示:丁香通仅作为第三方平台,为商家信息发布提供平台空间。用户咨询产品时请注意保护个人信息及财产安全,合理判断,谨慎选购商品,商家和用户对交易行为负责。对于医疗器械类产品,请先查证核实企业经营资质和医疗器械产品注册证情况。
文献和实验antibody dilution buffer: TBS-T supplemented with2% (w/v) BSA. 6. Antibodies: Phospho-b-catenin Ser33/Ser37/Thr41, phospho-glycogen synthase Ser641, and glycogen synthase (CellSignaling Technologies, Beverly, MA); b-catenin and GSK-3b(BD PharMingen, San
v468. chapter 4 WNT 细胞通路 检测细胞GSK3活性与表达水平
. Key words: GSK3 , Wnt , Assay , Phosphorylation , Growth factor . 1. Introduction Glycogen synthase kinase (GSK)-3 is an evolutionarily conservedSer/Thr kinase that is ubiquitously expressed in all mammaliantissues and in all major subcellular
secondary antibody were purchased from GIBCO-BRL. Phosphospecific rabbit polyclonal antibodies against 180Thr and 182Tyr dual-phosphorylated p38, against total p38 (phosphorylation state independent), against 204Tyr-phosphorylated ERK1/2 and against total
技术资料暂无技术资料 索取技术资料





