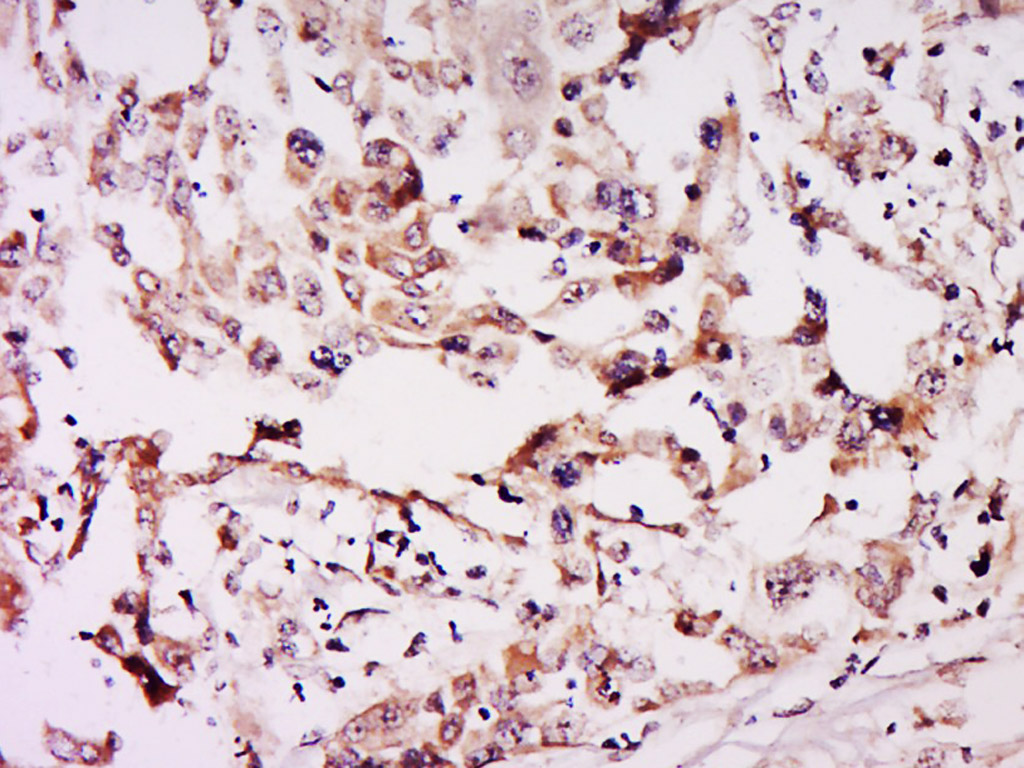
Tissue/cell: human breast cancer; 4% Paraformaldehyde-fixed and paraffin-embedded;
Antigen retrieval: citrate buffer ( 0.01M, pH 6.0 ), Boiling bathing for 15min; Block endogenous peroxidase by 3% Hydrogen peroxide for 30min; Blocking buffer (normal goat serum,C-0005) at 37∩ for 20 min;
Incubation: Anti-NSUN6 Polyclonal Antibody, Unconjugated(bs-19484R) 1:500, overnight at 4∑C, followed by conjugation to the secondary antibody(SP-0023) and DAB(C-0010) staining
相关产品推荐更多 >
万千商家帮你免费找货
0 人在求购买到急需产品
- 详细信息
- 文献和实验
- 技术资料
- 应用范围:
产品信息以Bioss网站为准
- 规格:
50ul/100ul/200ul
| 规格: | 50ul | 产品价格: | ¥1180.0 |
|---|---|---|---|
| 规格: | 100ul | 产品价格: | ¥1980.0 |
| 规格: | 200ul | 产品价格: | ¥2800.0 |
| 产品编号 | bs-19484R |
| 英文名称 | NSUN6 Rabbit pAb |
| 中文名称 | NSUN6蛋白抗体 |
| 英文别名 | 4933414E04Rik; FLJ23743; NOL1/NOP2/Sun and PUA domain-containing protein 1; NOL1/NOP2/Sun domain family 6; NOL1/NOP2/Sun domain family member 6; NOP2; NOPD1; NSUN6; NSUN6_HUMAN; nucleolar protein(NOL1/NOP2/sun) and PUA domains 1; Putative methyltransferase NSUN6; Sun domain family, member 6. |
| 产品应用 | WB=1:500-2000, IHC-P=1:100-500, IHC-F=1:100-500, IF=1:100-500 Not yet tested in other applications. |
| 交叉反应 | Human |
| 抗体来源 | Rabbit |
| 免疫原 | KLH conjugated synthetic peptide derived from human NSUN6 |
| 亚型 | IgG |
| 性状 | Liquid |
| 纯化方法 | affinity purified by Protein A |
| 克隆类型 | Polyclonal |
| 理论分子量 | 52 kDa |
| 浓度 | 1mg/ml |
| 储存液 | 0.01M TBS (pH7.4) with 1% BSA, 0.02% Proclin300 and 50% Glycerol. |
| 研究领域 | Epigenetics and Nuclear Signaling > DNA / RNA > RNA Processing |
| 相似性 | Belongs to the methyltransferase superfamily. RsmB/NOP family. Contains 1 PUA domain. |
| 功能 | May have S-adenosyl-L-methionine-dependent methyl-transferase activity. |
| 保存条件 | Shipped at 4℃. Store at -20℃ for one year. Avoid repeated freeze/thaw cycles. |
| 注意事项 | This product as supplied is intended for research use only, not for use in human, therapeutic or diagnostic applications. |
| 应用 | 推荐稀释比例 |
| {WB} | {1:500-2000} |
| {IHC-P} | {1:100-500} |
| {IHC-F} | {1:100-500} |
| {IF} | {1:100-500} |


Sample: Hela (human)Cell Lysate at 40 ug
Primary: Anti-NSUN6(bs-19484R) at 1/300 dilution
Secondary: IRDye800CW Goat Anti-Rabbit IgG at 1/20000 dilution
Predicted band size: 52 kD
Observed band size: 52 kD
Primary: Anti-NSUN6(bs-19484R) at 1/300 dilution
Secondary: IRDye800CW Goat Anti-Rabbit IgG at 1/20000 dilution
Predicted band size: 52 kD
Observed band size: 52 kD

Sample:
K562 Cell (Human) Lysate at 30 ug
Primary: Anti- NSUN6 (bs-19484R) at 1/300 dilution
Secondary: IRDye800CW Goat Anti-Rabbit IgG at 1/20000 dilution
Predicted band size: 52 kD
Observed band size: 52 kD
K562 Cell (Human) Lysate at 30 ug
Primary: Anti- NSUN6 (bs-19484R) at 1/300 dilution
Secondary: IRDye800CW Goat Anti-Rabbit IgG at 1/20000 dilution
Predicted band size: 52 kD
Observed band size: 52 kD
风险提示:丁香通仅作为第三方平台,为商家信息发布提供平台空间。用户咨询产品时请注意保护个人信息及财产安全,合理判断,谨慎选购商品,商家和用户对交易行为负责。对于医疗器械类产品,请先查证核实企业经营资质和医疗器械产品注册证情况。
文献和实验该产品被引用文献
[IF={{ 3.6 }}] {Yuanbo Cui. et al. NSUN6 mediates 5-methylcytosine modification of METTL3 and promotes colon adenocarcinoma progression. J BIOCHEM MOL TOXIC. 2024 May;38(6):e23749} {WB} {Human}
技术资料暂无技术资料 索取技术资料
文献支持
NSUN6 Rabbit pAb(bs-19484R)-50ul/100ul/200ul
¥1180 - 2800








