相关产品推荐更多 >
万千商家帮你免费找货
0 人在求购买到急需产品
- 详细信息
- 文献和实验
- 技术资料
- 应用范围:
产品信息以Bioss网站为准
- 规格:
50ul/100ul/200ul
| 规格: | 50ul | 产品价格: | ¥1180.0 |
|---|---|---|---|
| 规格: | 100ul | 产品价格: | ¥1980.0 |
| 规格: | 200ul | 产品价格: | ¥2800.0 |
| 产品编号 | bs-19393R |
| 英文名称 | SARA Rabbit pAb |
| 中文名称 | SARA蛋白抗体 |
| 英文别名 | CG15667; hSARA; LD33044p; Madh-interacting protein; MADHIP; Mothers against decapentaplegic homolog-interacting protein; Novel serine protease; NSP; Receptor activation anchor; SAR1; SARA; SARA1; Smad anchor for receptor activation; SMADIP; ZFYV9_HUMAN; ZFYVE9; Zinc finger FYVE domain-containing protein 9. |
| 产品应用 | IHC-P=1:100-500, IHC-F=1:100-500, IF=1:100-500 Not yet tested in other applications. |
| 交叉反应 | Human |
| 抗体来源 | Rabbit |
| 免疫原 | KLH conjugated synthetic peptide derived from human SARA |
| 亚型 | IgG |
| 性状 | Liquid |
| 纯化方法 | affinity purified by Protein A |
| 克隆类型 | Polyclonal |
| 理论分子量 | 156 kDa |
| 浓度 | 1mg/ml |
| 储存液 | 0.01M TBS (pH7.4) with 1% BSA, 0.02% Proclin300 and 50% Glycerol. |
| 研究领域 | Epigenetics and Nuclear Signaling > Nuclear Signaling Pathways > SMADs Signal Transduction > Growth Factors/Hormones > TGF Signal Transduction > Signaling Pathway > Nuclear Signaling > SMADs |
| 亚基 | Interacts (via the SBD region) with SMAD2; the interaction recruits SMAD2 to the TGF-beta receptor and is disrupted by phosphorylation of SMAD2 upon TGF-beta receptor activation. Interacts with SMAD3. Interacts with TGFBR1 and TGFBR2; the interaction recruits SMAD2 to the TGF-beta receptor. Interacts with PML. {ECO:0000269|PubMed:10615055, |
| 亚细胞定位 | Cytoplasm. Early endosome membrane. |
| 组织特异性 | Ubiquitous. In the brain found primarily in the cerebrovascular smooth muscle cells and reactive astrocytes. |
| 相似性 | Contains 1 FYVE-type zinc finger. |
| 功能 | Early endosomal protein that functions to recruit SMAD2/SMAD3 to intracellular membranes and to the TGF-beta receptor. Plays a significant role in TGF-mediated signaling by regulating the subcellular location of SMAD2 and SMAD3 and modulating the transcriptional activity of the SMAD3/SMAD4 complex. Possibly associated with TGF-beta receptor internalization. |
| 保存条件 | Shipped at 4℃. Store at -20℃ for one year. Avoid repeated freeze/thaw cycles. |
| 注意事项 | This product as supplied is intended for research use only, not for use in human, therapeutic or diagnostic applications. |
| 背景资料 | This gene encodes a double zinc finger motif-containing protein that participates in the transforming growth factor-beta (TGFB) signalling pathway. The encoded protein interacts directly with SMAD2 and SMAD3, and recruits SMAD2 to the TGFB receptor. There are multiple pseudogenes for this gene on chromosomes 2, 15, and X. Alternative splicing results in multiple transcript variants. [provided by RefSeq, Mar 2013] |
| 应用 | 推荐稀释比例 |
| {IHC-P} | {1:100-500} |
| {IHC-F} | {1:100-500} |
| {IF} | {1:100-500} |

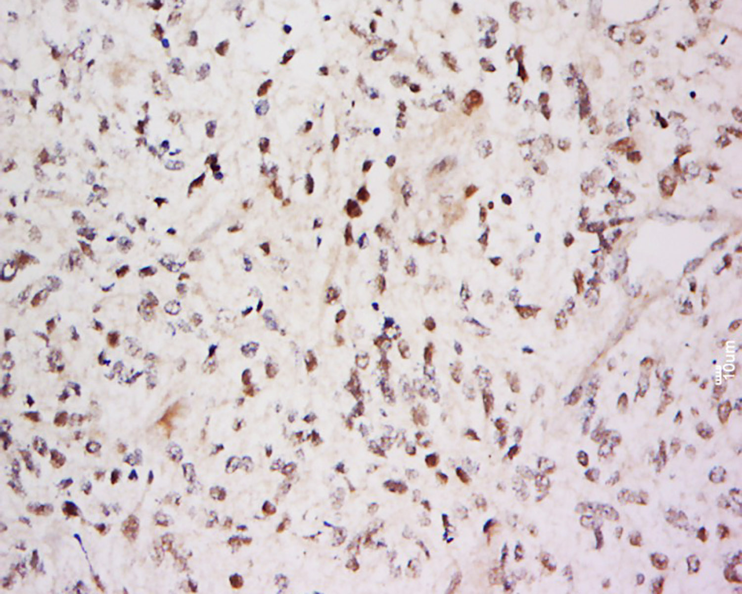
Antigen retrieval: citrate buffer ( 0.01M, pH 6.0 ), Boiling bathing for 15min; Block endogenous peroxidase by 3% Hydrogen peroxide for 30min; Blocking buffer (normal goat serum,C-0005) at 37℃ for 20 min;
Incubation: Anti-SARA Polyclonal Antibody, Unconjugated(bs-19393R) 1:500, overnight at 4°C, followed by conjugation to the secondary antibody(SP-0023) and DAB(C-0010) staining
风险提示:丁香通仅作为第三方平台,为商家信息发布提供平台空间。用户咨询产品时请注意保护个人信息及财产安全,合理判断,谨慎选购商品,商家和用户对交易行为负责。对于医疗器械类产品,请先查证核实企业经营资质和医疗器械产品注册证情况。
文献和实验= NAL), appears to form upon oxidative cyclization of the nonfluorescent 2:1 lysine-HNE Michael adduct-Schiff base cross-link (Scheme 1). Polyclonal antibody (PAb) to the NAL-HNE fluorophore was raised in rabbit and found to be highly specific
GE Healthcare Benzamidine Sepharose™ 6B is p-aminobenzamidine covalently attached to Sepharose 6B by the epoxy coupling method. p-Aminobenzamidine (PAB), is a synthetic inhibitor of trypsin-like serine protease. Trypsin and trypsin
Nucleic Acid Programmable Protein Arrays: Versatile Tools for Array‐Based Functional Protein Studies
.g., Sigma) 50 mg/ml bis‐sulfosuccinimdylsuberate (BS3 ;Pierce, cat. no. PI 21580) in dimethylsulfoxide (DMSO) 5 mg/ml
技术资料暂无技术资料 索取技术资料








