相关产品推荐更多 >

Cytokeratin 19 Rabbit pAb, FITC conjugated(bs-15590R-FITC)-100ul
¥2980
FBLL1 Rabbit pAb(bs-16033R)-50ul/100ul/200ul
¥1180
Occludin Rabbit pAb, FITC conjugated(bs-10011R-FITC)-100ul
¥2980
Cathepsin L Rabbit pAb, PerCP-Cy5.5 conjugated(bs-1508R-PerCP-Cy5.5)-100ul
¥2980
Shigella tropina Rabbit pAb, Biotin conjugated(bs-4583R-Bio)-100ul
¥2980
万千商家帮你免费找货
0 人在求购买到急需产品
- 详细信息
- 文献和实验
- 技术资料
- 应用范围:
产品信息以Bioss网站为准
- 规格:
50ul/100ul/200ul
| 规格: | 50ul | 产品价格: | ¥1180.0 |
|---|---|---|---|
| 规格: | 100ul | 产品价格: | ¥1980.0 |
| 规格: | 200ul | 产品价格: | ¥2800.0 |
| 产品编号 | bs-14184R |
| 英文名称 | Cytokeratin 2e Rabbit pAb |
| 中文名称 | 细胞角蛋白2e抗体 |
| 英文别名 | K 2e; Cytokeratin-2e; Epithelial keratin-2e; K2e; Keratin type II cytoskeletal 2 epidermal; Keratin-2 epidermis; KRT2; K22E_HUMAN; KRT2A; KRT2E; Type-II keratin Kb2. |
| 产品应用 | WB=1:500-2000, IHC-P=1:100-500, IHC-F=1:100-500, IF=1:100-500 Not yet tested in other applications. |
| 交叉反应 | Human |
| 抗体来源 | Rabbit |
| 免疫原 | KLH conjugated synthetic peptide derived from human Cytokeratin 2e |
| 亚型 | IgG |
| 性状 | Liquid |
| 纯化方法 | affinity purified by Protein A |
| 克隆类型 | Polyclonal |
| 理论分子量 | 70 kDa |
| 浓度 | 1mg/ml |
| 储存液 | 0.01M TBS (pH7.4) with 1% BSA, 0.02% Proclin300 and 50% Glycerol. |
| 研究领域 | Signal Transduction > Cytoskeleton / ECM > Extracellular Matrix > ECM Proteins > Cytokeratin |
| 亚基 | Heterotetramer of two type I and two type II keratins. Associates with KRT10. |
| 亚细胞定位 | Cytoplasmic. |
| 组织特异性 | Expressed in the upper spinous and granular suprabasal layers of normal adult epidermal tissues from most body sites including thigh, breast nipple, foot sole, penile shaft and axilla. Not present in foreskin, squamous metaplasias and carcinomas. Expression in hypertrophic and keloid scars begins in the deepest suprabasal layer. Weakly expressed in normal gingival and tongue, however expression is induced in benign keratoses of lingual mucosa and in mild-to-moderate oral dysplasia with orthokeratinization. |
| 相似性 | Belongs to the intermediate filament family. |
| 功能 | Keratins are the major gene product of keratinocytes and form the intermediate filament cytoskeletal network in these cells. In cells of the upper spinous layer, KRT2E and KRT9 are expressed. Although the expression of KRT9 is limited to palmoplantar epidermis, KRT2E is expressed not only in this tissue but also in other regions, notably the epidermis covering the knee, thigh, and groin. It is not known whether these keratins simply replace their respective type I or type II counterpart in the preexisting KRT1/KRT10 network or dimerize with another, as yet undiscovered keratin partner. |
| 保存条件 | Shipped at 4℃. Store at -20℃ for one year. Avoid repeated freeze/thaw cycles. |
| 注意事项 | This product as supplied is intended for research use only, not for use in human, therapeutic or diagnostic applications. |
| 背景资料 | The protein encoded by this gene is a member of the keratin gene family. The type II cytokeratins consist of basic or neutral proteins which are arranged in pairs of heterotypic keratin chains coexpressed during differentiation of simple and stratified epithelial tissues. This type II cytokeratin is expressed largely in the upper spinous layer of epidermal keratinocytes and mutations in this gene have been associated with bullous congenital ichthyosiform erythroderma. The type II cytokeratins are clustered in a region of chromosome 12q12-q13. [provided by RefSeq, Jul 2008] |
| 应用 | 推荐稀释比例 |
| {WB} | {1:500-2000} |
| {IHC-P} | {1:100-500} |
| {IHC-F} | {1:100-500} |
| {IF} | {1:100-500} |

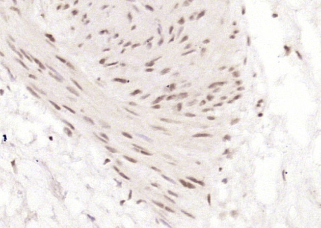
Paraformaldehyde-fixed, paraffin embedded (human cervical); Antigen retrieval by boiling in sodium citrate buffer (pH6.0) for 15min; Block endogenous peroxidase by 3% hydrogen peroxide for 20 minutes; Blocking buffer (normal goat serum) at 37°C for 30min; Antibody incubation with (Cytokeratin 2e) Polyclonal Antibody, Unconjugated (bs-14184R) at 1:200 overnight at 4°C, followed by operating according to SP Kit(Rabbit) (sp-0023) instructionsand DAB staining.

Sample:
Hela (Human) Cell Lysate at 40 ug
A431 (Human) Cell Lysate at 40 ug
Primary: Anti- Cytokeratin 2e (bs-14184R)at 1/300 dilution
Secondary: IRDye800CW Goat Anti-RabbitIgG at 1/20000 dilution
Predicted band size: 65kD
Observed band size: 70kD
Hela (Human) Cell Lysate at 40 ug
A431 (Human) Cell Lysate at 40 ug
Primary: Anti- Cytokeratin 2e (bs-14184R)at 1/300 dilution
Secondary: IRDye800CW Goat Anti-RabbitIgG at 1/20000 dilution
Predicted band size: 65kD
Observed band size: 70kD
风险提示:丁香通仅作为第三方平台,为商家信息发布提供平台空间。用户咨询产品时请注意保护个人信息及财产安全,合理判断,谨慎选购商品,商家和用户对交易行为负责。对于医疗器械类产品,请先查证核实企业经营资质和医疗器械产品注册证情况。
文献和实验相关实验
Nucleic Acid Programmable Protein Arrays: Versatile Tools for Array‐Based Functional Protein Studies
: 100 mM Tris⋅Cl, pH 7.5 ( appendix 2E )/10 mM EDTA bisBenzimide H (Hoechst dye; Sigma) Plasmid DNA to prepare DNA
技术资料暂无技术资料 索取技术资料
Cytokeratin 2e Rabbit pAb(bs-14184R)-50ul/100ul/200ul
¥1180 - 2800






