相关产品推荐更多 >

DYNLT1 Rabbit pAb(bs-11310R)-50ul/100ul/200ul
¥1180
SSBP2 Rabbit pAb(bs-6111R)-50ul/100ul/200ul
¥1180
Amyloid Precursor Protein Rabbit pAb, Cy7 conjugated(bs-0112R-Cy7)-100ul
¥2980
BMPR1A Rabbit pAb, PE-Cy7 conjugated(bs-1509R-PE-Cy7)-100ul
¥2980
CLEC 4E Rabbit pAb, BF680 conjugated(bs-8541R-BF680)-100ul
¥2980
万千商家帮你免费找货
0 人在求购买到急需产品
- 详细信息
- 文献和实验
- 技术资料
- 应用范围:
产品信息以Bioss网站为准
- 规格:
50ul/100ul/200ul
| 规格: | 50ul | 产品价格: | ¥1180.0 |
|---|---|---|---|
| 规格: | 100ul | 产品价格: | ¥1980.0 |
| 规格: | 200ul | 产品价格: | ¥2800.0 |
| 产品编号 | bs-1972R |
| 英文名称 | LCAT Rabbit pAb |
| 中文名称 | 卵磷酯胆固醇酰基转移酶抗体 |
| 英文别名 | LCAT; LCAT_HUMAN; Lecithin cholesterol acyltransferase; Lecithin-cholesterol acyltransferase; Phosphatidylcholine sterol acyltransferase; Phosphatidylcholine-sterol acyltransferase; phospholipid cholesterol acyltransferase; phospholipid-cholesterol acyltransferase. |
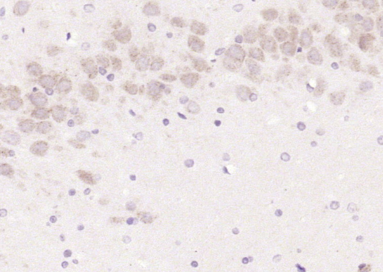
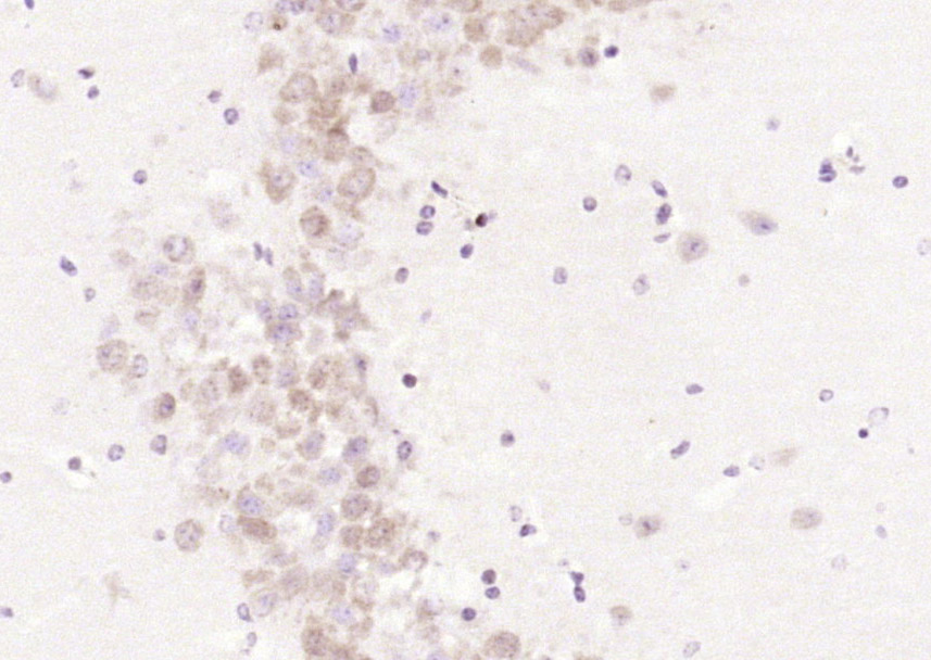
| 产品应用 | IHC-P=1:100-500, IHC-F=1:100-500, IF=1:100-500 Not yet tested in other applications. |
| 交叉反应 | Mouse, Rat (Human, Dog, Pig, Cow, Horse, Rabbit) |
| 抗体来源 | Rabbit |
| 免疫原 | KLH conjugated synthetic peptide derived from human LCAT |
| 亚型 | IgG |
| 性状 | Liquid |
| 纯化方法 | affinity purified by Protein A |
| 克隆类型 | Polyclonal |
| 理论分子量 | 47 kDa |
| 浓度 | 1mg/ml |
| 储存液 | 0.01M TBS (pH7.4) with 1% BSA, 0.02% Proclin300 and 50% Glycerol. |
| 研究领域 | Cancer > Cancer Metabolism > Metabolic signaling pathway > Metabolism of lipids and lipoproteins Cardiovascular > Atherosclerosis > Lipoprotein metabolism Cardiovascular > Lipids / Lipoproteins > Lipid Metabolism > Cholesterol Metabolism Metabolism > Pathways and Processes > Metabolic signaling pathways > Lipid and lipoprotein metabolism > Cholesterol Metabolism Metabolism > Pathways and Processes > Metabolic signaling pathways > Lipid and lipoprotein metabolism > Lipid metabolism Metabolism > Pathways and Processes > Metabolic signaling pathways > Lipid and lipoprotein metabolism > Lipoprotein metabolism Metabolism > Types of disease > Cancer Metabolism > Types of disease > Heart disease Signal Transduction > Metabolism > Lipid metabolism |
| 亚细胞定位 | Secreted. Note=Secreted into blood plasma. Produced in astrocytes and secreted into cerebral spinal fluid (CSF). |
| 组织特异性 | Expressed mainly in brain, liver and testes. Secreted into plasma and cerebral spinal fluid. Expressed in Hep-G2 cell line. |
| 翻译后修饰 | O- and N-glycosylated. O-glycosylation on Thr-431 and Ser-433 consists of sialylated galactose beta 1-->3N-acetylgalactosamine structures. N-glycosylated sites contain sialylated triantennary and/or biantennary complex structures. |
| 相似性 | Belongs to the AB hydrolase superfamily. Lipase family. |
| 功能 | Central enzyme in the extracellular metabolism of plasma lipoproteins. Synthesized mainly in the liver and secreted into plasma where it converts cholesterol and phosphatidylcholines (lecithins) to cholesteryl esters and lysophosphatidylcholines on the surface of high and low density lipoproteins (HDLs and LDLs). The cholesterol ester is then transported back to the liver. Has a preference for plasma 16:0-18:2 or 18:O-18:2 phosphatidylcholines. Also produced in the brain by primary astrocytes, and esterifies free cholesterol on nascent APOE-containing lipoproteins secreted from glia and influences cerebral spinal fluid (CSF) APOE- and APOA1 levels. Together with APOE and the cholesterol transporter ABCA1, plays a key role in the maturation of glial-derived, nascent lipoproteins. Required for remodeling high-density lipoprotein particles into their spherical forms. |
| 保存条件 | Shipped at 4℃. Store at -20℃ for one year. Avoid repeated freeze/thaw cycles. |
| 注意事项 | This product as supplied is intended for research use only, not for use in human, therapeutic or diagnostic applications. |
| 背景资料 | This gene encodes the extracellular cholesterol esterifying enzyme, lecithin-cholesterol acyltransferase. The esterification of cholesterol is required for cholesterol transport. Mutations in this gene have been found to cause fish-eye disease as well as LCAT deficiency. [provided by RefSeq, Jul 2008] |
| 应用 | 推荐稀释比例 |
| {IHC-P} | {1:100-500} |
| {IHC-F} | {1:100-500} |
| {IF} | {1:100-500} |


风险提示:丁香通仅作为第三方平台,为商家信息发布提供平台空间。用户咨询产品时请注意保护个人信息及财产安全,合理判断,谨慎选购商品,商家和用户对交易行为负责。对于医疗器械类产品,请先查证核实企业经营资质和医疗器械产品注册证情况。
文献和实验[IF={{ 5.6 }}] {Kai Wang. et al. Silver carp muscle hydrolysate ameliorated atherosclerosis and liver injury in apoE-/- mice: the modulator effects on enterohepatic cholesterol metabolism. FOOD SCI HUM WELL. 2024 Nov;13:3325} {WB} {Mouse}
= NAL), appears to form upon oxidative cyclization of the nonfluorescent 2:1 lysine-HNE Michael adduct-Schiff base cross-link (Scheme 1). Polyclonal antibody (PAb) to the NAL-HNE fluorophore was raised in rabbit and found to be highly specific
Theoretical Aspects of the Quantitative Characterization of Ligand Binding
, S.J., Evans, R.W., Greenwood, C., and Gore, M.G. 1972. Protein fluorescence of nicotinamide‐dependent dehydrogenases. Biochem. J. 128:933‐940. Jacobsen, M.P. and Winzor, D
GE Healthcare Benzamidine Sepharose™ 6B is p-aminobenzamidine covalently attached to Sepharose 6B by the epoxy coupling method. p-Aminobenzamidine (PAB), is a synthetic inhibitor of trypsin-like serine protease. Trypsin and trypsin
技术资料暂无技术资料 索取技术资料






