相关产品推荐更多 >
万千商家帮你免费找货
0 人在求购买到急需产品
- 详细信息
- 文献和实验
- 技术资料
- 应用范围:
产品信息以Bioss网站为准
- 规格:
50ul/100ul/200ul
| 规格: | 50ul | 产品价格: | ¥1180.0 |
|---|---|---|---|
| 规格: | 100ul | 产品价格: | ¥1980.0 |
| 规格: | 200ul | 产品价格: | ¥2800.0 |
| 产品编号 | bs-12204R |
| 英文名称 | SALL4 Rabbit pAb |
| 中文名称 | 锌指转录蛋白Sall4抗体 |
| 英文别名 | AA407717; ZNF797; AL022809; AW536104; C330011P20Rik; C78083; C78563; Sal like 4(Drosophila); Sal like 4; Sal like Protein 4; Sal-like protein 4; Sall4; SALL4_HUMAN; Tex20; Zinc finger protein 797; Zinc finger protein SALL4. |
| 产品应用 | WB=1:500-2000, IHC-P=1:100-500, IHC-F=1:100-500, IF=1:100-500 Not yet tested in other applications. |
| 交叉反应 | Human, Mouse, Rat (Chicken, Dog, Pig, Cow, Horse, Sheep) |
| 抗体来源 | Rabbit |
| 免疫原 | KLH conjugated synthetic peptide derived from human SALL4 |
| 亚型 | IgG |
| 性状 | Liquid |
| 纯化方法 | affinity purified by Protein A |
| 克隆类型 | Polyclonal |
| 理论分子量 | 112 kDa |
| 浓度 | 1mg/ml |
| 储存液 | 0.01M TBS (pH7.4) with 1% BSA, 0.02% Proclin300 and 50% Glycerol. |
| 研究领域 | Developmental Biology > Embryogenesis > Embryonic stem cells > Surface molecules Epigenetics and Nuclear Signaling > Transcription > Domain Families > Zinc Finger Stem Cells > Embryonic Stem Cells > Intracellular Stem Cells > Signaling Pathways > Wnt > Nuclear |
| 亚细胞定位 | Nucleus. |
| 组织特异性 | Expressed in testis. |
| 相似性 | Belongs to the sal C2H2-type zinc-finger protein family. Contains 7 C2H2-type zinc fingers. |
| 功能 | Probable transcription factor. |
| 保存条件 | Shipped at 4℃. Store at -20℃ for one year. Avoid repeated freeze/thaw cycles. |
| 注意事项 | This product as supplied is intended for research use only, not for use in human, therapeutic or diagnostic applications. |
| 背景资料 | Sall4 is mammalian homologs of the Drosophila region-specific homeotic gene spalt, which encodes a zinc finger-containing transcription regulator. Drosophila spalt is an essential genetic component required for the specification of posterior head and anterior tail as opposed to trunk. Sall3 is expressed at 24 weeks of gestation in several regions of the human fetal brain including neurons of the hippocampus formation and of mediodorsal and ventrolateral thalamic nuclei, Purkinje cells of the cerebellum, and a subset of neurons in the brainstem. Sall4 expression in early mouse embryos is gradually confined to the head region and the primitive streak, followed by prominent expression in the developing midbrain, branchial arches, limbs and genital papilla. |
| 应用 | 推荐稀释比例 |
| {WB} | {1:500-2000} |
| {IHC-P} | {1:100-500} |
| {IHC-F} | {1:100-500} |
| {IF} | {1:100-500} |

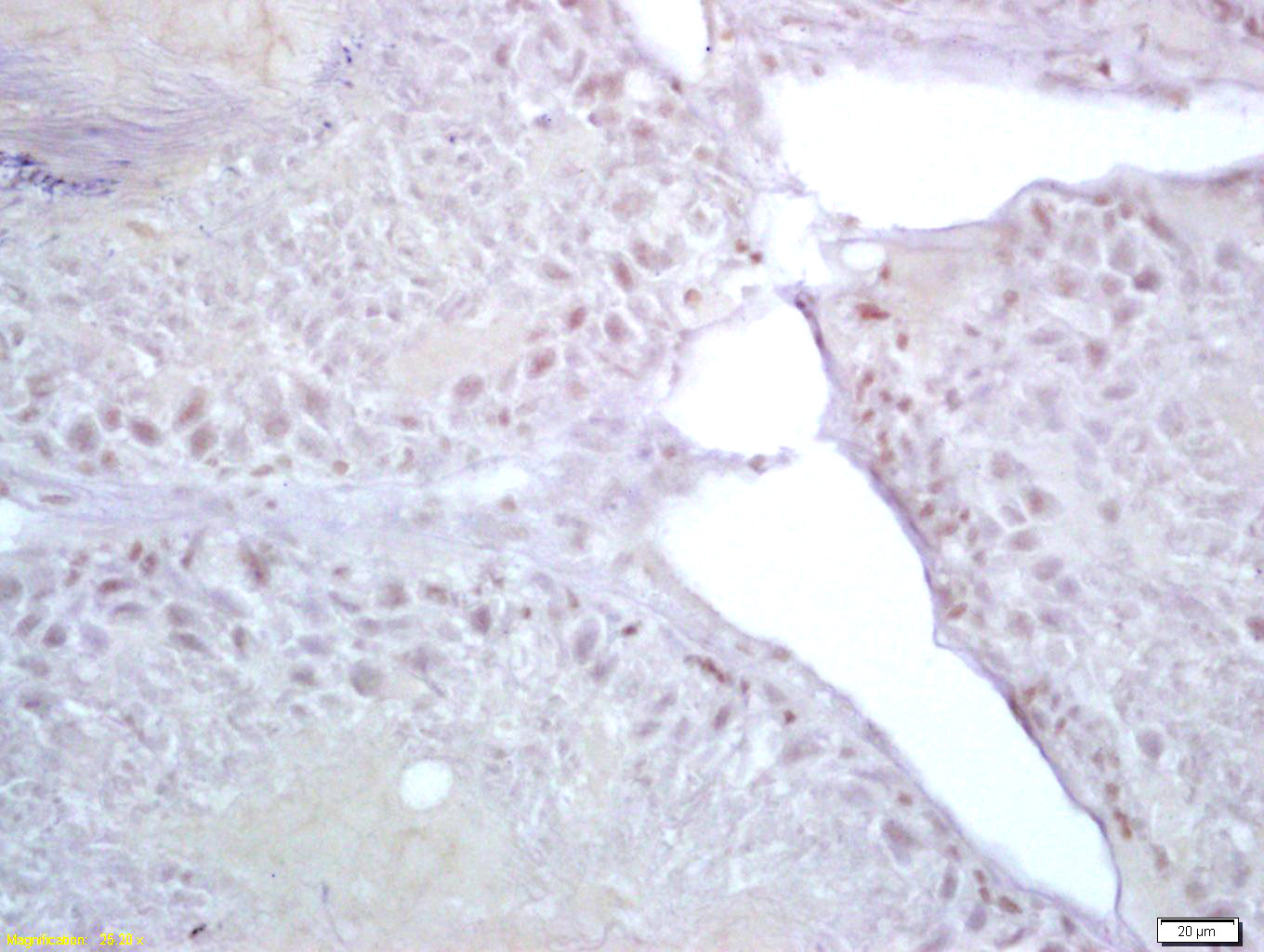
Antigen retrieval: citrate buffer ( 0.01M, pH 6.0 ), Boiling bathing for 15min; Block endogenous peroxidase by 3% Hydrogen peroxide for 30min; Blocking buffer (normal goat serum,C-0005) at 37℃ for 20 min;
Incubation: Anti-SALL4 Polyclonal Antibody, Unconjugated(bs-12204R) 1:200, overnight at 4°C, followed by conjugation to the secondary antibody(SP-0023) and DAB(C-0010) staining

Lane 1: Mouse Testis tissue lysates
Lane 2: Rat Testis tissue lysates
Lane 3: Human Jurkat cell lysates
Primary: Anti-SALL4 (bs-12204R) at 1/1000 dilution
Secondary: IRDye800CW Goat Anti-Rabbit IgG at 1/20000 dilution
Predicted band size: 112 kDa
Observed band size: 118 kDa
风险提示:丁香通仅作为第三方平台,为商家信息发布提供平台空间。用户咨询产品时请注意保护个人信息及财产安全,合理判断,谨慎选购商品,商家和用户对交易行为负责。对于医疗器械类产品,请先查证核实企业经营资质和医疗器械产品注册证情况。
文献和实验[IF={{ 2.775 }}] {Ru Yu. et al. ATF6 deficiency damages the development of spermatogenesis in male Atf6 knockout mice. 2021 Dec 13} {IHC} {Mouse}
[IF={{ 2.4 }}] {Zhao Xuan. et al. CircSFMBT2 Plays an Oncogenic Role in Lung Adenocarcinoma Depending on the miR-1305/SALL4 Axis. BIOCHEM GENET. 2023 Dec;:1-19} {WB} {Human}
= NAL), appears to form upon oxidative cyclization of the nonfluorescent 2:1 lysine-HNE Michael adduct-Schiff base cross-link (Scheme 1). Polyclonal antibody (PAb) to the NAL-HNE fluorophore was raised in rabbit and found to be highly specific
GE Healthcare Benzamidine Sepharose™ 6B is p-aminobenzamidine covalently attached to Sepharose 6B by the epoxy coupling method. p-Aminobenzamidine (PAB), is a synthetic inhibitor of trypsin-like serine protease. Trypsin and trypsin
Nucleic Acid Programmable Protein Arrays: Versatile Tools for Array‐Based Functional Protein Studies
.g., Sigma) 50 mg/ml bis‐sulfosuccinimdylsuberate (BS3 ;Pierce, cat. no. PI 21580) in dimethylsulfoxide (DMSO) 5 mg/ml
技术资料暂无技术资料 索取技术资料











