相关产品推荐更多 >

E2F1 Rabbit pAb, AP conjugated(bs-23184R-AP)-100ul
¥2980
Integrin alpha 4 Rabbit pAb(bs-0641R)-50ul/100ul
¥1180
phospho-DNM1L (Ser616) Rabbit pAb, PE-Cy5 conjugated(bs-12702R-PE-Cy5)-100ul
¥2980
LRRC39 Rabbit pAb(bs-12312R)-50ul/100ul/200ul
¥1180
Defensin beta 1 Rabbit pAb, Biotin conjugated(bs-1163R-Bio)-100ul
¥2980
万千商家帮你免费找货
0 人在求购买到急需产品
- 详细信息
- 文献和实验
- 技术资料
- 应用范围:
产品信息以Bioss网站为准
- 规格:
50ul/100ul/200ul
| 规格: | 50ul | 产品价格: | ¥1180.0 |
|---|---|---|---|
| 规格: | 100ul | 产品价格: | ¥1980.0 |
| 规格: | 200ul | 产品价格: | ¥2800.0 |
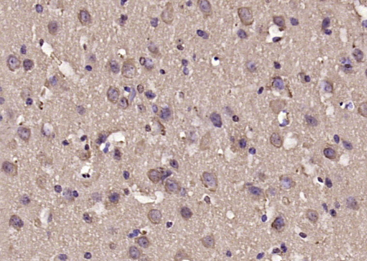
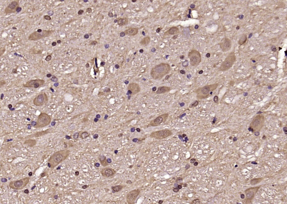
| 产品编号 | bs-11674R |
| 英文名称 | TPPP Rabbit pAb |
| 中文名称 | 微管蛋白聚合促进蛋白24 |
| 英文别名 | Tubulin Polymerization Promoting Protein 24; 25 kDa brain specific protein; 25 kDa brain-specific protein; Brain specific protein p25 alpha; Glycogen synthase kinase 3(GSK3) inhibitor p24; p24; p25; p25-alpha; p25alpha; TPPP; TPPP/p25; TPPP_HUMAN; TPPP1; Tubulin polymerization promoting protein; Tubulin polymerization-promoting protein. |
| 产品应用 | IHC-P=1:100-500, IHC-F=1:100-500, IF=1:100-500 Not yet tested in other applications. |
| 交叉反应 | Mouse (Human, Rat, Chicken, Dog, Pig, Cow) |
| 抗体来源 | Rabbit |
| 免疫原 | KLH conjugated synthetic peptide derived from human TPPP |
| 亚型 | IgG |
| 性状 | Liquid |
| 纯化方法 | affinity purified by Protein A |
| 克隆类型 | Polyclonal |
| 理论分子量 | 24 kDa |
| 浓度 | 1mg/ml |
| 储存液 | 0.01M TBS (pH7.4) with 1% BSA, 0.02% Proclin300 and 50% Glycerol. |
| 研究领域 | Signal Transduction > Cytoskeleton / ECM > Cytoskeleton > Microtubules > Tubulin |
| 亚基 | Homodimer. Binds tubulin; binding is inhibited by GTP (By similarity). Interacts with GSK3 (By similarity). Interacts with MAPK1 (By similarity). Interacts with GAPDH; the interaction is direct (By similarity). Interacts with LIMK1 (via the PDZ domain); the interaction is direct. |
| 亚细胞定位 | Cytoplasm. Cytoplasm, cytoskeleton. Nucleus. Note=Localizes to glial Lewy bodies in the brains of individuals with synucleinopathies. |
| 组织特异性 | Widely expressed. |
| 翻译后修饰 | Poor substrate for GSK3 (By similarity). Phosphorylated by LIMK1 on serine residues. Phosphorylation may alter the tubulin polymerization activity. |
| 相似性 | Belongs to the TPPP family. |
| 功能 | May play a role in the polymerization of tubulin into microtubules, microtubule bundling and the stabilization of existing microtubules, thus maintaining the integrity of the microtubule network. May play a role in mitotic spindle assembly and nuclear envelope breakdown. |
| 保存条件 | Shipped at 4℃. Store at -20℃ for one year. Avoid repeated freeze/thaw cycles. |
| 注意事项 | This product as supplied is intended for research use only, not for use in human, therapeutic or diagnostic applications. |
| 背景资料 | Tubulin family members are globular proteins important in the assembly of microtubules. Microtubules are structural components that play important roles in mitosis, cytokinesis and vesicle transport. TPPP (Tubulin polymerization-promoting protein), also known as p24 and p25, is a widely expressed 219 amino acid protein found in the perinuclear region of the cytoplasm. TPPP may form dimers and functions in polymerizing tubulin into double-walled tubules, polymorphic aggregates, or stabilized blocks. TPPP overexpression prevents formation of the mitotic spindle assembly and breakdown of the nuclear envelope. TPPP is phosphorylated by TPK II and is encoded by a gene that maps to human chromosome 5, which contains 181 million base pairs and comprises nearly 6% of the human genome. |
| 应用 | 推荐稀释比例 |
| {IHC-P} | {1:100-500} |
| {IHC-F} | {1:100-500} |
| {IF} | {1:100-500} |


风险提示:丁香通仅作为第三方平台,为商家信息发布提供平台空间。用户咨询产品时请注意保护个人信息及财产安全,合理判断,谨慎选购商品,商家和用户对交易行为负责。对于医疗器械类产品,请先查证核实企业经营资质和医疗器械产品注册证情况。
文献和实验= NAL), appears to form upon oxidative cyclization of the nonfluorescent 2:1 lysine-HNE Michael adduct-Schiff base cross-link (Scheme 1). Polyclonal antibody (PAb) to the NAL-HNE fluorophore was raised in rabbit and found to be highly specific
GE Healthcare Benzamidine Sepharose™ 6B is p-aminobenzamidine covalently attached to Sepharose 6B by the epoxy coupling method. p-Aminobenzamidine (PAB), is a synthetic inhibitor of trypsin-like serine protease. Trypsin and trypsin
Nucleic Acid Programmable Protein Arrays: Versatile Tools for Array‐Based Functional Protein Studies
.g., Sigma) 50 mg/ml bis‐sulfosuccinimdylsuberate (BS3 ;Pierce, cat. no. PI 21580) in dimethylsulfoxide (DMSO) 5 mg/ml
技术资料暂无技术资料 索取技术资料






