相关产品推荐更多 >

phospho-GIT1 (Tyr545) Rabbit pAb(bs-5373R)-50ul/100ul/200ul
¥1180
AKIRIN1 Rabbit pAb(bs-9081R)-50ul/100ul/200ul
¥1180
PIK3AP1 Rabbit pAb(bs-13675R)-50ul/100ul/200ul
¥1180
phospho-LYRIC (Ser568) Rabbit pAb, AP conjugated(bs-18581R-AP)-100ul
¥2980
Semaphorin 3F Rabbit pAb, HRP conjugated(bs-23827R-HRP)-100ul
¥2980
万千商家帮你免费找货
0 人在求购买到急需产品
- 详细信息
- 技术资料
- 应用范围:
产品信息以Bioss网站为准
- 规格:
50ul/100ul/200ul
| 规格: | 50ul | 产品价格: | ¥1180.0 |
|---|---|---|---|
| 规格: | 100ul | 产品价格: | ¥1980.0 |
| 规格: | 200ul | 产品价格: | ¥2800.0 |
| 产品编号 | bs-11017R |
| 英文名称 | NPTX2 Rabbit pAb |
| 中文名称 | 神经细胞穿透素2抗体 |
| 英文别名 | apexin; NARP; Neuronal pentraxin 2; Neuronal pentraxin II; Neuronal pentraxin-2; NP 2; NP-II; NP2; NPII; NPTX2; NPTX2_HUMAN. |
| 产品应用 | WB=1:500-2000, IHC-P=1:100-500, IHC-F=1:100-500, IF=1:100-500 Not yet tested in other applications. |
| 交叉反应 | Mouse (Human, Rat, Dog, Cow, Sheep) |
| 抗体来源 | Rabbit |
| 免疫原 | KLH conjugated synthetic peptide derived from human NPTX2 |
| 亚型 | IgG |
| 性状 | Liquid |
| 纯化方法 | affinity purified by Protein A |
| 克隆类型 | Polyclonal |
| 理论分子量 | 46 kDa |
| 浓度 | 1mg/ml |
| 储存液 | 0.01M TBS (pH7.4) with 1% BSA, 0.02% Proclin300 and 50% Glycerol. |
| 研究领域 | Neuroscience > Cell Adhesion Proteins > Cytoskeletal Proteins > Intermediate Filaments Neuroscience > Cell Type Marker > Neuron marker > Synapse marker |
| 亚基 | Homooligomer or heterooligomer (probably pentamer) with neuronal pentraxin receptor (NPTXR). |
| 亚细胞定位 | Secreted. |
| 组织特异性 | Brain, pancreas, liver, heart and skeletal muscle. Highest levels are seen in the testis. |
| 相似性 | Contains 1 pentaxin domain. |
| 功能 | Likely to play role in the modification of cellular properties that underlie long-term plasticity. Binds to agar matrix in a calcium-dependent manner. |
| 保存条件 | Shipped at 4℃. Store at -20℃ for one year. Avoid repeated freeze/thaw cycles. |
| 注意事项 | This product as supplied is intended for research use only, not for use in human, therapeutic or diagnostic applications. |
| 背景资料 | Long pentraxins are a family of highly conserved proteins that are expressed in the brain and central nervous system, and form multimeric complexes. Neuronal pentraxin 1 (NP1), NP2, and neuronal pentraxin receptor (NPR) are members of the long pentraxins that represent a neuronal uptake pathway that may function during synapse formation and remodeling. The NP1 gene is located on chromosome 17q25.3 and the protein product mediates the uptake of synaptic material, including the presynaptic snake venom toxin, taipoxin (3). NP2, whose function is unknown, is located on chromosome 7q22.1 and like NP1 contains several potential N-linked glycosylation sites. NPR is expressed on the cell membrane and can form heteropentamers with NP1 and NP2 that can be released from the cell membrane by proteolysis. |
| 应用 | 推荐稀释比例 |
| {WB} | {1:500-2000} |
| {IHC-P} | {1:100-500} |
| {IHC-F} | {1:100-500} |
| {IF} | {1:100-500} |

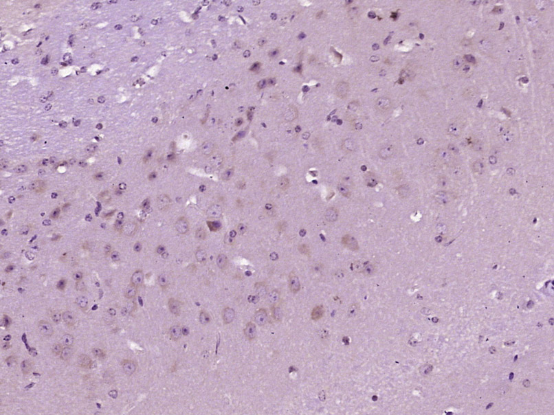
Paraformaldehyde-fixed, paraffin embedded (Mouse brain); Antigen retrieval by boiling in sodium citrate buffer (pH6.0) for 15min; Block endogenous peroxidase by 3% hydrogen peroxide for 20 minutes; Blocking buffer (normal goat serum) at 37°C for 30min; Antibody incubation with (NPTX2) Polyclonal Antibody, Unconjugated (bs-11017R) at 1:400 overnight at 4°C, followed by operating according to SP Kit(Rabbit) (sp-0023) instructionsand DAB staining.

Sample:
Cerebrum (Mouse) Lysate at 40 ug
Primary: Anti-NPTX2 (bs-11017R) at 1/1000 dilution
Secondary: IRDye800CW Goat Anti-Rabbit IgG at 1/20000 dilution
Predicted band size: 46 kD
Observed band size: 46 kD
Cerebrum (Mouse) Lysate at 40 ug
Primary: Anti-NPTX2 (bs-11017R) at 1/1000 dilution
Secondary: IRDye800CW Goat Anti-Rabbit IgG at 1/20000 dilution
Predicted band size: 46 kD
Observed band size: 46 kD
风险提示:丁香通仅作为第三方平台,为商家信息发布提供平台空间。用户咨询产品时请注意保护个人信息及财产安全,合理判断,谨慎选购商品,商家和用户对交易行为负责。对于医疗器械类产品,请先查证核实企业经营资质和医疗器械产品注册证情况。
技术资料暂无技术资料 索取技术资料
NPTX2 Rabbit pAb(bs-11017R)-50ul/100ul/200ul
¥1180 - 2800





