相关产品推荐更多 >

TDRD3 Rabbit pAb(bs-11768R)-50ul/100ul/200ul
¥1180
PUF60 Rabbit pAb, HRP conjugated(bs-19595R-HRP)-100ul
¥2980
Giantin Rabbit pAb, PE-Cy5 conjugated(bs-13356R-PE-Cy5)-100ul
¥2980
Endomucin Rabbit pAb, PE-Cy7 conjugated(bs-5884R-PE-Cy7)-100ul
¥2980
Anti-human NCAM1 / CD56 (Lorvotuzumab Biosimilar)(BIO0128SM)-1mg/5mg/20mg
¥1550
万千商家帮你免费找货
0 人在求购买到急需产品
- 详细信息
- 文献和实验
- 技术资料
- 应用范围:
产品信息以Bioss网站为准
- 规格:
50ul/100ul
| 规格: | 50ul | 产品价格: | ¥1180.0 |
|---|---|---|---|
| 规格: | 100ul | 产品价格: | ¥1980.0 |
| 产品编号 | bs-16249R |
| 英文名称 | GLIS3 Rabbit pAb |
| 中文名称 | 锌指蛋白ZNF515抗体 |
| 英文别名 | GLIS3_HUMAN; Zinc finger protein GLIS3; ZNF515; NDH; GLI-similar 3; Zinc finger protein 515; GLIS family zinc finger 3; |
| 产品应用 | WB=1:500-2000, IHC-P=1:100-500, IHC-F=1:100-500, IF=1:100-500, ELISA=1:5000-10000 Not yet tested in other applications. |
| 交叉反应 | Human, Rat, Sheep |
| 抗体来源 | Rabbit |
| 免疫原 | KLH conjugated synthetic peptide derived from human GLIS3 |
| 亚型 | IgG |
| 性状 | Liquid |
| 纯化方法 | affinity purified by Protein A |
| 克隆类型 | Polyclonal |
| 理论分子量 | 84 kDa |
| 浓度 | 1mg/ml |
| 储存液 | 0.01M TBS (pH7.4) with 1% BSA, 0.02% Proclin300 and 50% Glycerol. |
| 研究领域 | Epigenetics and Nuclear Signaling > Transcription > Domain Families > Krueppel like factor Epigenetics and Nuclear Signaling > Transcription > Domain Families > Zinc Finger Epigenetics and Nuclear Signaling > Transcription > Krueppel like factor Epigenetics and Nuclear Signaling > Transcription > Polymerase associated factors > Pol II Transcription Epigenetics and Nuclear Signaling > Transcription > Transcription Factors |
| 亚细胞定位 | Nuclear |
| 组织特异性 | In the adult, expressed at high levels in the kidney and at lower levels in the brain, skeletal muscle, pancreas, liver, lung, thymus and ovary. |
| 相似性 | Belongs to the GLI C2H2-type zinc-finger protein family. Contains 5 C2H2-type zinc fingers. |
| 功能 | GLIS3 is a member of the GLI similar zinc finger protein family, and encodes a nuclear protein with five C2H2 type zinc finger domains. It functions as both an activator and repressor of transcription, and is specifically involved in the development of pancreatic beta cells, thyroid, eye, liver and kidney. Mutations in this gene have been associated with neonatal diabetes and congenital hypothyroidism (NDH). Alternatively spliced variants that encode different protein isoforms have been described but the full length nature of only two have been determined. |
| 保存条件 | Shipped at 4℃. Store at -20℃ for one year. Avoid repeated freeze/thaw cycles. |
| 注意事项 | This product as supplied is intended for research use only, not for use in human, therapeutic or diagnostic applications. |
| 背景资料 | This gene is a member of the GLI-similar zinc finger protein family and encodes a nuclear protein with five C2H2-type zinc finger domains. This protein functions as both a repressor and activator of transcription and is specifically involved in the development of pancreatic beta cells, the thyroid, eye, liver and kidney. Mutations in this gene have been associated with neonatal diabetes and congenital hypothyroidism (NDH). Alternatively spliced variants that encode different protein isoforms have been described but the full-length nature of only two have been determined. [provided by RefSeq, Jul 2008] |
| 应用 | 推荐稀释比例 |
| {WB} | {1:500-2000} |
| {IHC-P} | {1:100-500} |
| {IHC-F} | {1:100-500} |
| {IF} | {1:100-500} |
| {ELISA} | {1:5000-10000} |

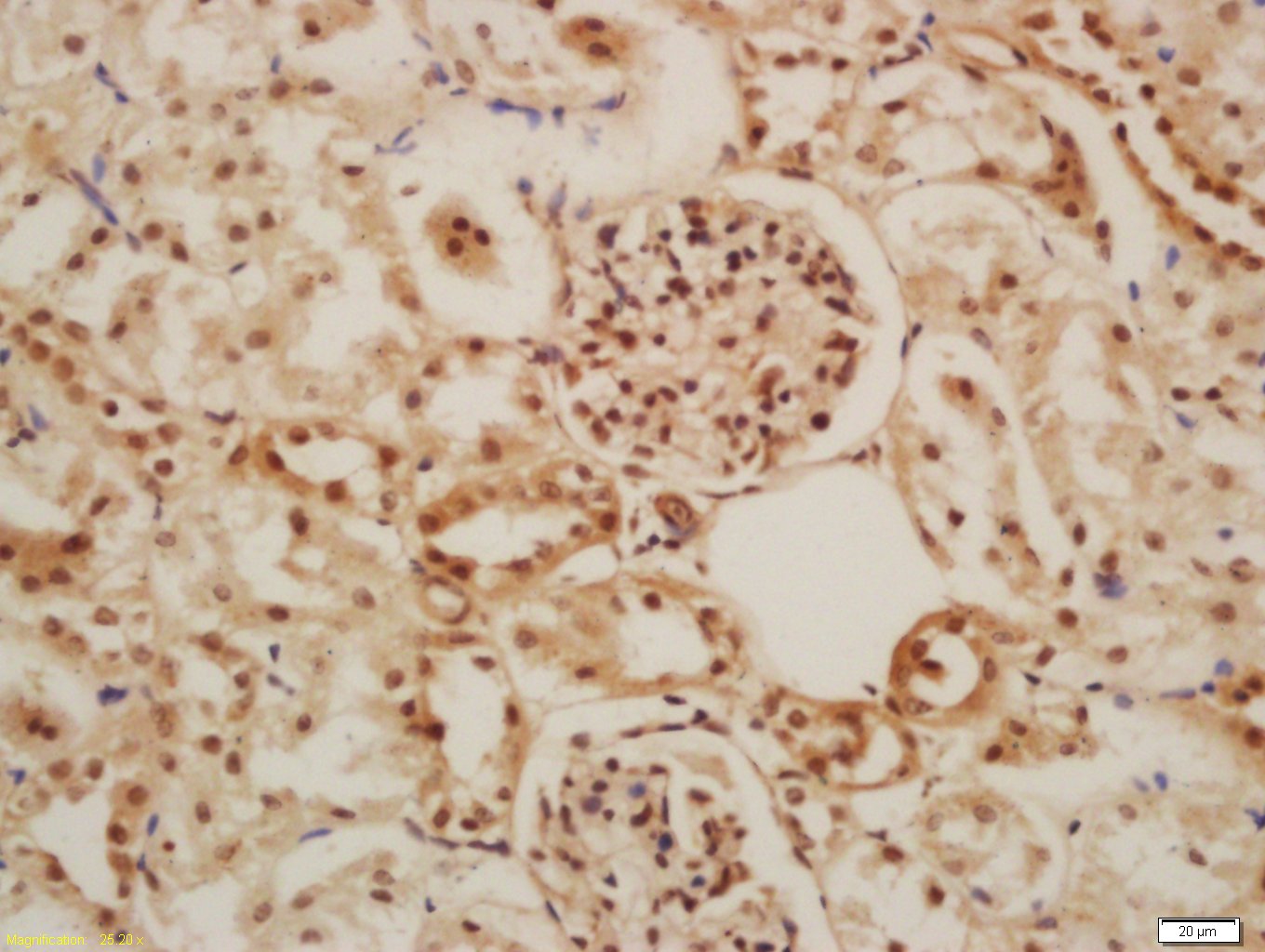
Antigen retrieval: citrate buffer ( 0.01M, pH 6.0 ), Boiling bathing for 15min; Block endogenous peroxidase by 3% Hydrogen peroxide for 30min; Blocking buffer (normal goat serum,C-0005) at 37℃ for 20 min;
Incubation: Anti-GLIS3 Polyclonal Antibody, Unconjugated(bs-16249R) 1:200, overnight at 4°C, followed by conjugation to the secondary antibody(SP-0023) and DAB(C-0010) staining

Antigen retrieval: citrate buffer ( 0.01M, pH 6.0 ), Boiling bathing for 15min; Block endogenous peroxidase by 3% Hydrogen peroxide for 30min; Blocking buffer (normal goat serum,C-0005) at 37℃ for 20 min;
Incubation: Anti-GLIS3 Polyclonal Antibody, Unconjugated(bs-16249R) 1:200, overnight at 4°C, followed by conjugation to the secondary antibody(SP-0023) and DAB(C-0010) staining

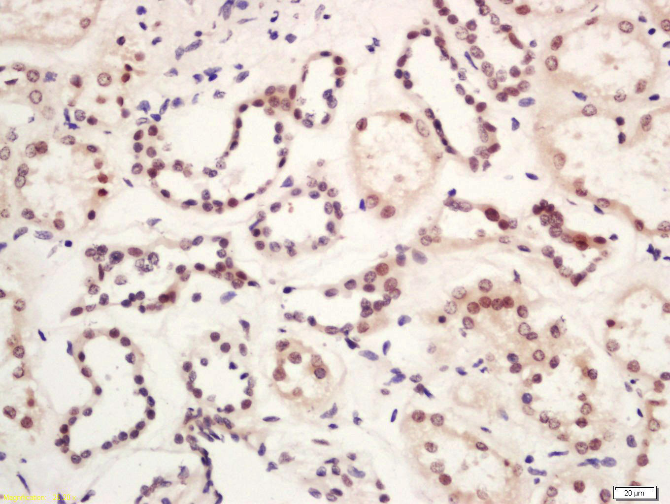
Antigen retrieval: citrate buffer ( 0.01M, pH 6.0 ), Boiling bathing for 15min; Block endogenous peroxidase by 3% Hydrogen peroxide for 30min; Blocking buffer (normal goat serum,C-0005) at 37℃ for 20 min;
Incubation: Anti- GLIS3 Polyclonal Antibody, Unconjugated(bs-16249R) 1:200, overnight at 4°C, followed by conjugation to the secondary antibody(SP-0023) and DAB(C-0010) staining

Antigen retrieval: citrate buffer ( 0.01M, pH 6.0 ), Boiling bathing for 15min; Block endogenous peroxidase by 3% Hydrogen peroxide for 30min; Blocking buffer (normal goat serum,C-0005) at 37℃ for 20 min;
Incubation: Anti- GLIS3 Polyclonal Antibody, Unconjugated(bs-16249R) 1:200, overnight at 4°C, followed by conjugation to the secondary antibody(SP-0023) and DAB(C-0010) staining

Antigen retrieval: citrate buffer ( 0.01M, pH 6.0 ), Boiling bathing for 15min; Block endogenous peroxidase by 3% Hydrogen peroxide for 30min; Blocking buffer (normal goat serum,C-0005) at 37℃ for 20 min;
Incubation: Anti-GLIS3 Polyclonal Antibody, Unconjugated(bs-16249R) 1:200, overnight at 4°C, followed by conjugation to the secondary antibody(SP-0023) and DAB(C-0010) staining

Lane 1: Human U251 cell lysates
Lane 2: Human U87MG cell lysates
Lane 3: Human A549 cell lysates
Lane 4: Human 293T cell lysates
Lane 5: Human MDA-MB-231 cell lysates
Primary: Anti-GLIS3 (bs-16249R) at 1/1000 dilution
Secondary: IRDye800CW Goat Anti-Rabbit IgG at 1/20000 dilution
Predicted band size: 84 kDa
Observed band size: 84 kDa
风险提示:丁香通仅作为第三方平台,为商家信息发布提供平台空间。用户咨询产品时请注意保护个人信息及财产安全,合理判断,谨慎选购商品,商家和用户对交易行为负责。对于医疗器械类产品,请先查证核实企业经营资质和医疗器械产品注册证情况。
文献和实验[IF={{ 3.252 }}] {Zhuohang Liu. et al. GLIS Family Zinc Finger 3 Promoting Cell Malignant Behaviors and NF-κB Signaling in Glioma. Brain Res. 2021 Aug;:147623} {IHC} {Human}
[IF={{ 2.7 }}] {Bing Wang. et al. Co-inhibition of adenosine 2b receptor and programmed death-ligand 1 promotes the recruitment and cytotoxicity of natural killer cells in oral squamous cell carcinoma. PEERJ. 2023 Aug;11:e15922} {IHC} {Human}
= NAL), appears to form upon oxidative cyclization of the nonfluorescent 2:1 lysine-HNE Michael adduct-Schiff base cross-link (Scheme 1). Polyclonal antibody (PAb) to the NAL-HNE fluorophore was raised in rabbit and found to be highly specific
GE Healthcare Benzamidine Sepharose™ 6B is p-aminobenzamidine covalently attached to Sepharose 6B by the epoxy coupling method. p-Aminobenzamidine (PAB), is a synthetic inhibitor of trypsin-like serine protease. Trypsin and trypsin
Nucleic Acid Programmable Protein Arrays: Versatile Tools for Array‐Based Functional Protein Studies
.g., Sigma) 50 mg/ml bis‐sulfosuccinimdylsuberate (BS3 ;Pierce, cat. no. PI 21580) in dimethylsulfoxide (DMSO) 5 mg/ml
技术资料暂无技术资料 索取技术资料






