相关产品推荐更多 >

PINX-1 Rabbit pAb, PE-Cy7 conjugated(bs-9594R-PE-Cy7)-100ul
¥2980
HEXIM1 Rabbit pAb(bs-9460R)-50ul/100ul/200ul
¥1180
SIK1 Rabbit pAb, PE-Cy7 conjugated(bs-6252R-PE-Cy7)-100ul
¥2980
GABA A Receptor alpha 3 Rabbit pAb(bs-6500R)-50ul/100ul/200ul
¥1180
phospho-IKK beta (Ser466) Rabbit pAb(bs-3231R)-50ul/100ul/200ul
¥1180
万千商家帮你免费找货
0 人在求购买到急需产品
- 详细信息
- 文献和实验
- 技术资料
- 应用范围:
产品信息以Bioss网站为准
- 规格:
50ul/100ul/200ul
| 规格: | 50ul | 产品价格: | ¥1180.0 |
|---|---|---|---|
| 规格: | 100ul | 产品价格: | ¥1980.0 |
| 规格: | 200ul | 产品价格: | ¥2800.0 |
| 产品编号 | bs-14308R |
| 英文名称 | DCTN5 Rabbit pAb |
| 中文名称 | 动力蛋白激活蛋白5抗体 |
| 英文别名 | DCTN 5; DCTN5; DCTN5_HUMAN; Dynactin 4; Dynactin 5(p25); Dynactin subunit 5; Dynactin subunit p25; p25. |
| 产品应用 | IHC-P=1:100-500, IHC-F=1:100-500, IF=1:100-500 Not yet tested in other applications. |
| 交叉反应 | Rat (Human, Mouse, Pig, Cow, Horse) |
| 抗体来源 | Rabbit |
| 免疫原 | KLH conjugated synthetic peptide derived from human DCTN5 |
| 亚型 | IgG |
| 性状 | Liquid |
| 纯化方法 | affinity purified by Protein A |
| 克隆类型 | Polyclonal |
| 理论分子量 | 20 kDa |
| 浓度 | 1mg/ml |
| 储存液 | 0.01M TBS (pH7.4) with 1% BSA, 0.02% Proclin300 and 50% Glycerol. |
| 研究领域 | Cell Biology > Cell Cycle > Cell Division > Spindle Signal Transduction > Cytoskeleton / ECM > Cytoskeleton > Motor Proteins > Dynein Signal Transduction > Protein Trafficking > Vesicle Transport > Regulation |
| 亚细胞定位 | Cytoplasm > cytoskeleton. |
| 相似性 | Belongs to the dynactin subunits 5/6 family. Dynactin subunit 5 subfamily. |
| 保存条件 | Shipped at 4℃. Store at -20℃ for one year. Avoid repeated freeze/thaw cycles. |
| 注意事项 | This product as supplied is intended for research use only, not for use in human, therapeutic or diagnostic applications. |
| 背景资料 | This gene encodes a subunit of dynactin, a component of the cytoplasmic dynein motor machinery involved in minus-end-directed transport. The encoded protein is a component of the pointed-end subcomplex and is thought to bind membranous cargo. A pseudogene of this gene is located on the long arm of chromosome 1. Alternatively spliced transcript variants encoding multiple isoforms have been observed for this gene. [provided by RefSeq, Jan 2011] |
| 应用 | 推荐稀释比例 |
| {IHC-P} | {1:100-500} |
| {IHC-F} | {1:100-500} |
| {IF} | {1:100-500} |

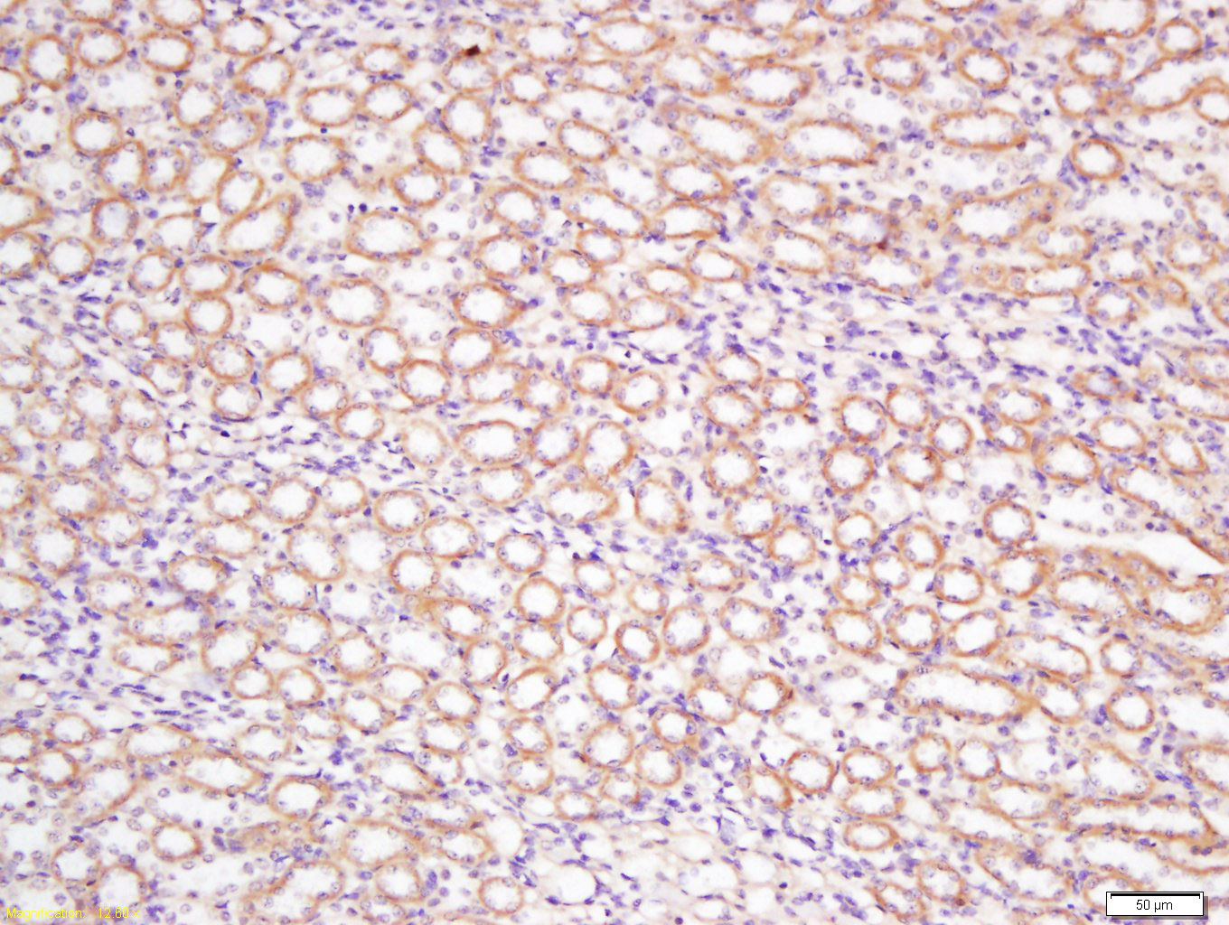
Antigen retrieval: citrate buffer ( 0.01M, pH 6.0 ), Boiling bathing for 15min; Block endogenous peroxidase by 3% Hydrogen peroxide for 30min; Blocking buffer (normal goat serum,C-0005) at 37℃ for 20 min;
Incubation: Anti-DCTN5 Polyclonal Antibody, Unconjugated(bs-14308R) 1:200, overnight at 4°C, followed by conjugation to the secondary antibody(SP-0023) and DAB(C-0010) staining
风险提示:丁香通仅作为第三方平台,为商家信息发布提供平台空间。用户咨询产品时请注意保护个人信息及财产安全,合理判断,谨慎选购商品,商家和用户对交易行为负责。对于医疗器械类产品,请先查证核实企业经营资质和医疗器械产品注册证情况。
文献和实验= NAL), appears to form upon oxidative cyclization of the nonfluorescent 2:1 lysine-HNE Michael adduct-Schiff base cross-link (Scheme 1). Polyclonal antibody (PAb) to the NAL-HNE fluorophore was raised in rabbit and found to be highly specific
GE Healthcare Benzamidine Sepharose™ 6B is p-aminobenzamidine covalently attached to Sepharose 6B by the epoxy coupling method. p-Aminobenzamidine (PAB), is a synthetic inhibitor of trypsin-like serine protease. Trypsin and trypsin
Nucleic Acid Programmable Protein Arrays: Versatile Tools for Array‐Based Functional Protein Studies
.g., Sigma) 50 mg/ml bis‐sulfosuccinimdylsuberate (BS3 ;Pierce, cat. no. PI 21580) in dimethylsulfoxide (DMSO) 5 mg/ml
技术资料暂无技术资料 索取技术资料






