相关产品推荐更多 >
万千商家帮你免费找货
0 人在求购买到急需产品
- 详细信息
- 文献和实验
- 技术资料
- 形态:
液体
- 保存条件:
-20℃
- 克隆性:
多克隆
- 抗体英文名:
TNF α Mouse Monoclonal Antibody
- 规格:
100μl/支
TNF-α, the prototypical member of the TNF protein superfamily, is a homotrimeric type-II membrane protein. It can cause cytolysis of certain tumor cell lines; it is involved in the induction of cachexia; it is a potent pyrogen, causing fever by direct action or by stimulation of interlerukin-1 secretion; it can stimulate cell proliferation and induce cell differentiation under certain conditions.
Product Name: TNF α Mouse Monoclonal Antibody
Isotype: IgG1
Storage Buffer : Antigen Affinity Purified IgG in PBS, pH 7.4, containing 0.02% sodium azide as Preservative and 50% Glycerol.
Storage instructions:-20°C. Do not aliquot the antibody
Recommended dilutions: WB: 1:1,000-2,000 IHC: 1:50
Optimal dilutions should be determined by the end user.
Specificity: Antibody can detects recombinant & endogenous TNF α protein.
Alternative Names: APC1 antibody, DIF antibody, TNFSF2 antibody, Tumor necrosis factor alpha antibody
Form: Liquid
Reactivity: H, R, M
Molecular Weight: 17,25KD
Western blot analysis of Recombinant Human TNF a Protein with TNF α Mouse mAb BE3439 diluted at 1:2,000
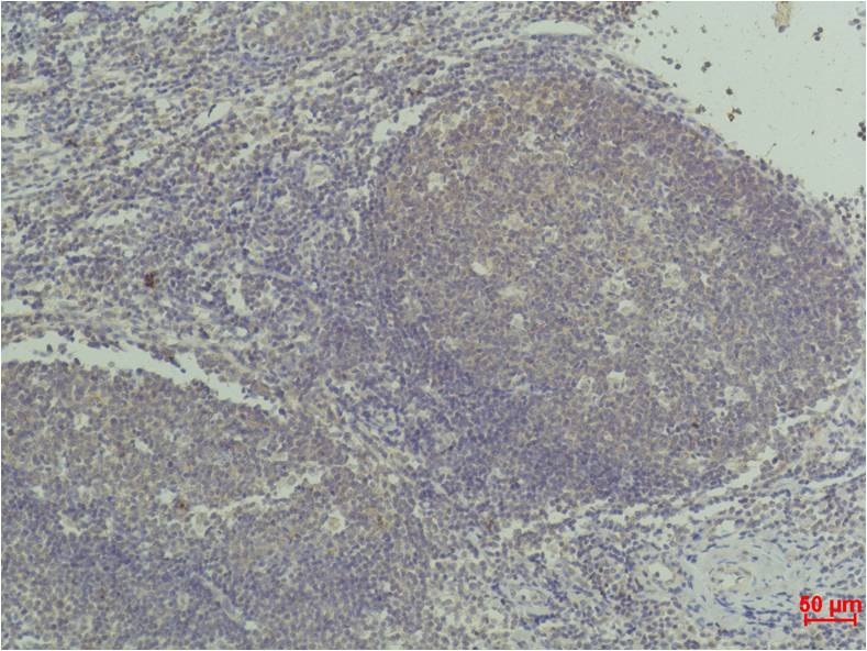
Immunohistochemical analysis of paraffin-embedded Human Tonsil Tissue using TNF a(BE3439)Mouse mAb diluted at 1:50
风险提示:丁香通仅作为第三方平台,为商家信息发布提供平台空间。用户咨询产品时请注意保护个人信息及财产安全,合理判断,谨慎选购商品,商家和用户对交易行为负责。对于医疗器械类产品,请先查证核实企业经营资质和医疗器械产品注册证情况。
文献和实验Monoclonal Antibody Production
and screening of the hybridomas: 1. Bleeding Mice (1) Place the mouse in a mouse restrainer. (2) Sterilize the tail with 70% ethanol. (3) With a razor blade,nip off the last 2 mm of the tip of the tail. (4) Using a milking motion,pull blood down and let
Monoclonal Antibody Production Protocol
complete with MCM instead of PCM (= IMDM - m ), and keep it in the incubator for fused cells. Isolation of spleen cells Sacrifice mouse by cervical dislocation. Immerse mouse in 70% Ethanol. Remove spleen ( on the left side ) and transfer into a small
monoclonal antibody production fusion
Fusion is an important procedure to produce monoclonal antibodies (MoAb). PROTOCOL prepare the culture of myeloma cells and maintain the concentration of the cells at the level of less than 10
技术资料暂无技术资料 索取技术资料





