
Phosphotyrosine Mouse Monoclon
al Antibody- 询价
- EASYBIO
- BE3431-50
- 2026年04月30日
相关产品推荐更多 >
万千商家帮你免费找货
0 人在求购买到急需产品
- 详细信息
- 文献和实验
- 技术资料
- 形态:
液体
- 保存条件:
-20℃
- 克隆性:
多克隆
- 抗体英文名:
Phosphotyrosine Mouse Monoclonal Antibody
- 规格:
50μl/支
Product Name: Phosphotyrosine Mouse Monoclonal Antibody
Isotype: IgG1
Storage Buffer : PBS, pH 7.4, containing 0.02% sodium azide as Preservative and 50% Glycerol.
Storage instructions:-20°C. Do not aliquot the antibody
Recommended dilutions: WB: 1:2,000-5,000 IHC: 1:50-100
Optimal dilutions should be determined by the end user.
Specificity: Antibody can detects endogenous Tyrosine Phosphorylated protein.
Alternative Names: N/A
Form: Liquid
Reactivity: ALL
Western blot analysis of 1) Jurkat, 2) 293T, 3) Rat Brain Tissue, 4) Mouse Brain Tissue with Phosphotyrosine Mouse mAb BE3431 diluted at 1:2,000.
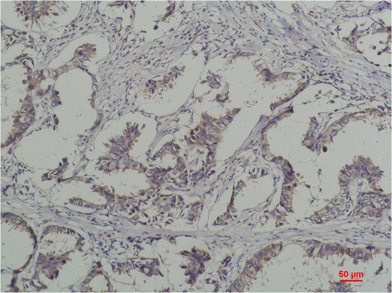
Immunohistochemical analysis of paraffin-embedded Human Breast Caricnoma using Phosphotyrosine(BE3431)Mouse mAb diluted at 1:200.
风险提示:丁香通仅作为第三方平台,为商家信息发布提供平台空间。用户咨询产品时请注意保护个人信息及财产安全,合理判断,谨慎选购商品,商家和用户对交易行为负责。对于医疗器械类产品,请先查证核实企业经营资质和医疗器械产品注册证情况。
文献和实验Monoclonal Antibody Production
and screening of the hybridomas: 1. Bleeding Mice (1) Place the mouse in a mouse restrainer. (2) Sterilize the tail with 70% ethanol. (3) With a razor blade,nip off the last 2 mm of the tip of the tail. (4) Using a milking motion,pull blood down and let
指仅对一种抗原决定基的纯粹的抗体。这类抗体不可能通过将抗原 胞的 Hybridoma,在试管内制成了纯粹的单克隆抗体。用某种抗原使动物产生免疫感应,对应于抗原之不同部分可制成各种不同的抗体复合体。然而,因为一个产生抗体的细胞,只能产生一种抗体,所以骨髓肿瘤细胞与产生抗体细胞间的细胞杂种,可形成边产生抗体边增殖的 hybridoma,将每个杂种细胞进行克隆(无性繁殖系)培养,则一个克隆的细胞群只由单种类产生同一抗体的细胞所组成,这样得到的就是单克隆抗体。此抗体在测定
Monoclonal Antibody Production Protocol
complete with MCM instead of PCM (= IMDM - m ), and keep it in the incubator for fused cells. Isolation of spleen cells Sacrifice mouse by cervical dislocation. Immerse mouse in 70% Ethanol. Remove spleen ( on the left side ) and transfer into a small
技术资料暂无技术资料 索取技术资料




![Enterovirus D68 VP3 antibody [GT1665]](https://img1.dxycdn.com/2022/0329/902/3950146594347020453-14.jpg!wh200)




