相关产品推荐更多 >
万千商家帮你免费找货
0 人在求购买到急需产品
- 详细信息
- 文献和实验
- 技术资料
- 形态:
液体
- 保存条件:
-20℃
- 克隆性:
多克隆
- 抗体英文名:
eEF1A2 binding protein Rabbit Polyclonal Antibody
- 规格:
100μl/支
Elongation factor 1-alpha 2 is a protein that in humans is encoded by the EEF1A2 gene. This gene encodes an isoform of the alpha subunit of the elongation factor-1 complex, which is responsible for the enzymatic delivery of aminoacyl tRNAs to the ribosome
Product Name:eEF1A2 binding protein Rabbit Polyclonal Antibody
Isotype: IgG
Storage Buffer :Antigen Affinity Purified IgG in PBS, pH 7.4, containing 0.02% sodium azide as Preservative and 50% Glycerol
Storage instructions:-20°C. Do not aliquot the antibody
Recommended dilutions: WB: 1:2,000-5,000 IHC: 1:200-500
Optimal dilutions should be determined by the end user.
Specificity:Antibody can detects endogenous eEF1A2 binding protein.
Alternative Names: IGFN1 antibody, immunoglobulin-like and fibronectin type III domain containing 1 antibody, EEF1A2BP1 antibody
Form: Liquid
Reactivity:H, R, M, Pg
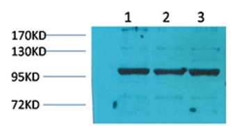
Molecular Weight:115KD

Western blot analysis of 1) Pig Skeletal MuscleTissue, 2) Rat Skeletal Muscle Tissue, 3)Rat Skeletal Muscle Tissue with eEF1A2 Rabbit pAb BE3363 diluted at 1:5,000.

Immunohistochemical analysis of paraffin-embedded Mouse Skeletal MuscleTissue using eEF1A2(BE3363)Rabbit pAb diluted at 1:500.
风险提示:丁香通仅作为第三方平台,为商家信息发布提供平台空间。用户咨询产品时请注意保护个人信息及财产安全,合理判断,谨慎选购商品,商家和用户对交易行为负责。对于医疗器械类产品,请先查证核实企业经营资质和医疗器械产品注册证情况。
文献和实验ANTIBODY BINDING TO PROTEIN A AND PROTEIN G
2c + ++ Sources of information: Akerstrom, B., Brodin, T., Reis, K., and Bjorck, L. 1985. Protein G: A powerful tool for binding and detection of monoclonal and polyclonal antibodies. J. Immunol. 135:2589-2592. Akerstrom, B. and Bjorck, L. 1986
Polyclonal Antibody Production
, if desired this is best accomplished by Protein A Affinity Chromatography. 上一篇:make an Antibody against a Peptides 下一篇:Immunization Protocol for Monoclonal Antibody Production
Polyclonal Antibody Production
Polyclonal Antibody Production Very useful for rapid and simple generation of antibodies for western blots, ELISA assays, and immunoprecipitation. Rabbit Immunization Initial Preparation Your antigen
技术资料暂无技术资料 索取技术资料





