相关产品推荐更多 >
万千商家帮你免费找货
0 人在求购买到急需产品
- 详细信息
- 文献和实验
- 技术资料
- 形态:
液体
- 保存条件:
-20℃
- 克隆性:
多克隆
- 抗体英文名:
GFP-Tag Mouse Mixture Monoclonal Antibody
- 规格:
10μl/支
The green fluorescent protein (GFP) is a protein composed of 238 amino acid residues (26.9kDa) that exhibits bright green fluorescence when exposed to light in the blue to ultraviolet range. In cell and molecular biology, the GFP gene is frequently used as a reporter of expression.
Product Name:GFP Mouse Mixture Monoclonal Antibody
Isotype: IgG1
Storage Buffer :PBS, pH 7.4, containing 0.02% sodium azide as Preservative and 50% Glycerol
Storage instructions:-20°C. Do not aliquot the antibody
Recommended dilutions: WB: 1:5,000 IP: 1:200
Optimal dilutions should be determined by the end user.
Specificity: The GFP tag antibody can recognize GFP,EGFP and GFP, EGFP tag fusion proteins. It may also recognize RFP, YFP, CFP.
Alternative Names:Green fluorescent protein
Form: Liquid
Reactivity:ALL

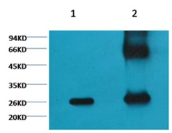
Western blot analysis of GFP transfected Hela with BE2066 diluted at
1) 1:5,000
2) 1:10,000

Western blot analysis of GFP transfected Hela with BE2066 diluted at 1:200 1) Input (control) 2) IP products, antibody dilution 1:200, Secondary antibody: Goat anti-Mouse IgG, Heavy chain specific, 1:5000
风险提示:丁香通仅作为第三方平台,为商家信息发布提供平台空间。用户咨询产品时请注意保护个人信息及财产安全,合理判断,谨慎选购商品,商家和用户对交易行为负责。对于医疗器械类产品,请先查证核实企业经营资质和医疗器械产品注册证情况。
文献和实验【共享】如何检测GFP、GFP、YFP、EYFP、CFP抗体?
对照,2道为1:1000倍稀释我们先看一下EarthOx的单克隆GFP抗体——Anti-GFP Tag Monoclonal Antibody [GF28R](货号#E022030),其免疫原是KLH偶联的水母GFP蛋白的N末端多肽,由于EGFP、YFP、EYFP、CFP得N末端序列与GFP几乎完全一致,因此从免疫原上来说,GFP与EGFP、YFP、EYFP、CFP没有区别。更重要的是,EarthOx对于该单克隆抗体还进行了明确的验证试验,试验也表明该Anti-GFP Tag Monoclonal
Monoclonal Antibody Production
and screening of the hybridomas: 1. Bleeding Mice (1) Place the mouse in a mouse restrainer. (2) Sterilize the tail with 70% ethanol. (3) With a razor blade,nip off the last 2 mm of the tip of the tail. (4) Using a milking motion,pull blood down and let
monoclonal antibody production fusion
Fusion is an important procedure to produce monoclonal antibodies (MoAb). PROTOCOL prepare the culture of myeloma cells and maintain the concentration of the cells at the level of less than 10
技术资料暂无技术资料 索取技术资料







