相关产品推荐更多 >
万千商家帮你免费找货
0 人在求购买到急需产品
- 详细信息
- 文献和实验
- 技术资料
- 形态:
液体
- 保存条件:
-20℃
- 克隆性:
多克隆
- 抗体英文名:
β-actin Rabbit Polyclonal Antibody
- 规格:
支

Product Name:β-ActinRabbit Polyclonal antibody
Immunogen: Full-length β-Actin protein of human.
Purification:antigen affinity purification
Tested applications: WB IHC IF
Recommended dilutions: WB: 1:2000-5000 IHC: 1:200 IF: 1:200
Optimal dilutions/concentrations should be determined by the end user.
Molecular Weight: 43KD
Form:Liquid
Concentration: 1mg/ml in PBS, pH 7.4, containing 0.02% sodium azide and 50% glycerol
Storage: β-Actin PAB is stable for 1 month at 2-8°C. For long term storage, Aliquot and store at -20°C or below. Avoid repeated freezing and thawing cycles.
Reactivity:Human, Monkey, Mouse, Rat, hamster, Dog, Spodoptera frugiperda, chicken

Western blot analysis of Mouse brain tissue lysate.
Lane1 β-Actin mAb(BE0021 1:5000)
Lane2 β-Actin PAb (BE0022 1:5000)
Lane3 β-Actin PAb (BE0022 1:10000)

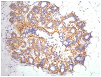
Immunohistochemistry Staining of Human ovary tissue with β-Actin PAB (BE0022) diluted at 1:200.
风险提示:丁香通仅作为第三方平台,为商家信息发布提供平台空间。用户咨询产品时请注意保护个人信息及财产安全,合理判断,谨慎选购商品,商家和用户对交易行为负责。对于医疗器械类产品,请先查证核实企业经营资质和医疗器械产品注册证情况。
文献和实验Polyclonal Antibody Production
Zealand White Rabbits and have them delivered to the ARC. Don’t put all your eggs in one basket only using one rabbit. Let them get accustomed to there home there for two weeks before the first pre-bleed. Pre-bleed
Polyclonal Antibody Production
Polyclonal Antibody Production Very useful for rapid and simple generation of antibodies for western blots, ELISA assays, and immunoprecipitation. Rabbit Immunization Initial Preparation Your antigen
常用的β-actin 引物序列 human actin f ctc cat cct ggc ctc gct gt human actin r gct gtc acc ttc acc gtt cc product size:268 rabbit actin r agt gcg acg tgg aca tcc g rabbit actin f tgg ctc taa cag tcc gcc tag product size:295 mouse actin r cgt
技术资料暂无技术资料 索取技术资料






