相关产品推荐更多 >
万千商家帮你免费找货
0 人在求购买到急需产品
- 详细信息
- 文献和实验
- 技术资料
- 免疫原:
Peptide sequence around phosphorylation site of serine 129 (I-L-S(p)-R-R) derived from Human CREB.
- 形态:
liquid
- 保存条件:
Store at -20˚C
- 克隆性:
Polyclonal
- 适应物种:
Human;Mouse;Rat
- 保质期:
12 months
- 抗原来源:
Rabbit
- 供应商:
南京赛戈巍生物科技有限公司
- 宿主:
Rabbit
- 应用范围:
WB IHC
- 靶点:
Uniprot:P16220
- 抗体英文名:
CREB(Phospho-Ser129) Antibody
- 规格:
50ul/100ul
配方:Supplied at 1.0mg/mL in phosphate buffered saline (without Mg2+ and Ca2+), pH 7.4, 150mM NaCl, 0.02% sodium azide and 50% glycerol.
应用详情:Predicted MW: 43kd
Western blotting: 1:500~1:1000
Immunohistochemistry: 1:50~1:100
图片:

Western blot analysis of extracts from 293 cells untreated(lane 1) or treated with UV(lane 2) using CREB(Phospho-Ser129) Antibody #11273.
,

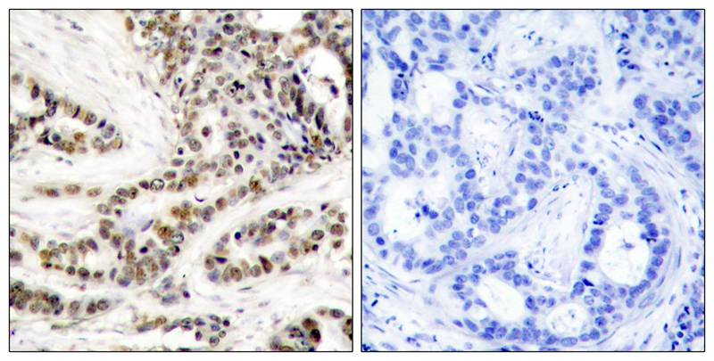
Immunohistochemical analysis of paraffin-embedded human breast carcinoma tissue using CREB(Phospho-Ser129) Antibody #11273(left) or the same antibody preincubated with blocking peptide(right).
风险提示:丁香通仅作为第三方平台,为商家信息发布提供平台空间。用户咨询产品时请注意保护个人信息及财产安全,合理判断,谨慎选购商品,商家和用户对交易行为负责。对于医疗器械类产品,请先查证核实企业经营资质和医疗器械产品注册证情况。
文献和实验antibody. For antiphosphoCREB (IgG, 0.7 mg/ml), I use 1:5,000 - 1:20,000 dilution in 4% BSA in TBST. This should be titrated for optimal results. I incubate with primary Ab 3 hours - overnight at room temp with shaking.10. Remove the antibody solution
% nonfat dry milk works well for anti-PCREB, but in my hands milk is not as good as BSA from USB (it seems to mask the epitope). Remove block solution and add primary antibody. For antiphosphoCREB (IgG, 0.7 mg/ml), I use 1:5,000
secondary antibody review -- data from 99 publications
IgG Alexa Fluor 488 1:250 Molecular Probes 10 goat Cy3 immunocytochemistry detect NMDA receptors in HEK293 cells Jackson ImmunoResearch Laboratories 10 FITC immunocytochemistry 1:100 detect phospho-CREB in human colonic
技术资料暂无技术资料 索取技术资料





![CLIP2 Antibody[46956]](https://img1.dxycdn.com/p/s14/2025/0923/496/0462304380155040791.jpg!wh200)

![KATNAL1 Conjugated Antibody[C31867]](https://img1.dxycdn.com/p/s14/2025/0923/305/2150219664296040791.jpg!wh200)
![SHPRH Antibody[40104]](https://img1.dxycdn.com/p/s14/2025/0922/568/0046652811090600791.jpg!wh200)

