相关产品推荐更多 >
万千商家帮你免费找货
0 人在求购买到急需产品
- 详细信息
- 文献和实验
- 技术资料
- 免疫原:
Peptide sequence around phosphorylation site of serine 3 (M-A-S(p)-G-V) derived from Human cofilin.
- 形态:
liquid
- 保存条件:
Store at -20˚C
- 克隆性:
Polyclonal
- 适应物种:
Human;Mouse;Rat
- 保质期:
12 months
- 抗原来源:
Rabbit
- 供应商:
南京赛戈巍生物科技有限公司
- 宿主:
Rabbit
- 应用范围:
WB IHC IF
- 靶点:
Uniprot:P23528
- 抗体英文名:
cofilin(Phospho-Ser3) Antibody
- 规格:
50ul/100ul
配方:Supplied at 1.0mg/mL in phosphate buffered saline (without Mg2+ and Ca2+), pH 7.4, 150mM NaCl, 0.02% sodium azide and 50% glycerol.
应用详情:
Predicted MW: 19kd
Western blotting: 1:500~1:1000
Immunohistochemistry: 1:50~1:100
Immunofluorescence: 1:100~1:200
图片:

Western blot analysis of extracts from COLO205 cells using cofilin(Phospho-Ser3) Antibody #11139(Lane 2) and the same antibody preincubated with blocking peptide(Lane1).
,

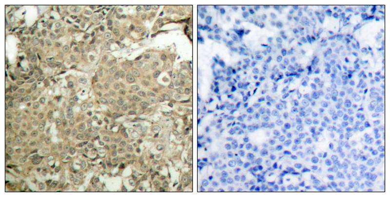
Immunohistochemical analysis of paraffin-embedded human breast carcinoma tissue using cofilin(Phospho-Ser3) Antibody #11139(left) or the same antibody preincubated with blocking peptide(right).
,

Immunofluorescence staining of methanol-fixed Hela cells using cofilin(Phospho-Ser3) Antibody #11139.
,

Lane 1 : Hela?treated with H2O2; Lane 2 : Mouse brain tissue; Lane 3 : Rat brain tissue; Lane 4 : N-peptide blocked Hela?treated with H2O2; Lane 5 : N-peptide blocked Mouse brain tissue; Lane 6 : N-peptide blocked Rat brain tissue; Lane 7 : P-peptide blocked Hela?treated with H2O2; Lane 8 : P-peptide blocked Mouse brain tissue; Lane 9 : P-peptide blocked Rat brain tissue; Lysates/proteins at 40 μg per lane. Predicted band size :?19 kDa Observed band size :?19 kDa
风险提示:丁香通仅作为第三方平台,为商家信息发布提供平台空间。用户咨询产品时请注意保护个人信息及财产安全,合理判断,谨慎选购商品,商家和用户对交易行为负责。对于医疗器械类产品,请先查证核实企业经营资质和医疗器械产品注册证情况。
文献和实验Optimized Protocol to Make Phospho-Specific Antibodies that Work
, not simply its level of expression. In this review, we will discuss both the design of the phosphopeptide immunogen and immunization. The affinity purification of the phospho-specific antibody as well as the methods most suitable for characterizing
Using Phospho‐Motif Antibodies to Determine Kinase Substrates
comprising both the phosphorylated residue and the surrounding residues that determine kinase specificity, with degenerate residues taking up the remaining positions. Currently, several categories of phospho?motif antibody are commercially available
Absorption Control in Immunohistochemistry Using Phospho-Peptides Immobilized on Magnetic Beads
neutralization of phospho-specific antibodies with phospho-peptides immobilized on magnetic beads. This technique allows for sequestration of antibody–peptide complex from the incubation solution, minimizing the risk of formation of unblocked antibodies capable
技术资料暂无技术资料 索取技术资料





![CCR2/CKR2 Antibody[48278]](https://img1.dxycdn.com/p/s14/2025/0923/496/0462304380155040791.jpg!wh200)
![PGR Antibody[37221]](https://img1.dxycdn.com/p/s14/2025/0922/359/6146153295428599691.jpg!wh200)
![PIP5K1A Conjugated Antibody[C36206]](https://img1.dxycdn.com/p/s14/2025/0923/278/4431488150116040791.jpg!wh200)
![ACE2 Rabbit Polyclonal Antibody[53427]](https://img1.dxycdn.com/p/s14/2025/0922/498/0460884283108299691.jpg!wh200)
![CCT8L2 Conjugated Antibody[C46431]](https://img1.dxycdn.com/p/s14/2025/0923/305/2150219664296040791.jpg!wh200)

