相关产品推荐更多 >
万千商家帮你免费找货
0 人在求购买到急需产品
- 详细信息
- 文献和实验
- 技术资料
- 免疫原:
Synthetic peptide corresponding to residues near the C terminal of human SH2B adaptor protein 2
- 形态:
liquid
- 保存条件:
Store at -20˚C
- 克隆性:
Polyclonal
- 适应物种:
Human
- 保质期:
12 months
- 抗原来源:
Rabbit
- 供应商:
南京赛戈巍生物科技有限公司
- 宿主:
Rabbit
- 应用范围:
IHC
- 靶点:
Uniprot:O14492
- 抗体英文名:
SH2B2 Antibody
- 规格:
50ul/100ul
配方:Rabbit IgG in pH7.3 PBS, 0.05% NaN3, 50% Glycerol.
应用详情:Immunohistochemistry: 1:25-1:100
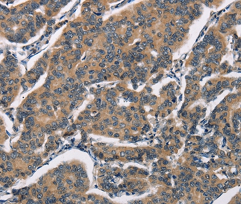
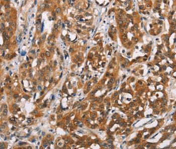
图片:

Immunohistochemical analysis of paraffin-embedded Human breast cancer tissue using #37426 at dilution 1/30.
,

Immunohistochemical analysis of paraffin-embedded Human esophagus cancer tissue using #37426 at dilution 1/30.
风险提示:丁香通仅作为第三方平台,为商家信息发布提供平台空间。用户咨询产品时请注意保护个人信息及财产安全,合理判断,谨慎选购商品,商家和用户对交易行为负责。对于医疗器械类产品,请先查证核实企业经营资质和医疗器械产品注册证情况。
文献和实验《细胞-代谢》(Cell Metabolism)杂志近日发表了中科院上海生科院营养科学研究所刘勇研究组和中科院海外糖尿病研究团队成员-美国密歇根大学芮良优教授的最新合作研究成果,揭示了信号接头蛋白SH2B1对生长发育、糖脂代谢和寿命的调控作用和机制,提示从低等动物果蝇到哺乳动物小鼠的进化中SH2B在特定调节功能上具有保守性。 SH2B是一类含有SH2(Src homology 2)和PH(pleckstrin homology)结构域的信号接头蛋白(Adaptor),在生长发育、代谢
Generation of Antibody Molecules Through Antibody Engineering
been overcome to a large extent using genetic-engineering techniques to produce chimeric mouse/human and completely human antibodies. Such an approach is particularly suitable because of the domain structure of the antibody molecule ( 2 ), where functional
The importance of antibody molecules was first recognized in the 1890s, when it was shown that immunity to tetanus and diphtheria was caused by antibodies against the bacterial exotoxins (1 ). Around the same time, it was shown that antisera
技术资料暂无技术资料 索取技术资料





![HCRT Antibody[43765]](https://img1.dxycdn.com/p/s14/2025/0922/568/0046652811090600791.jpg!wh200)
![CENPC Conjugated Antibody[C49896]](https://img1.dxycdn.com/p/s14/2025/0923/305/2150219664296040791.jpg!wh200)
![OXSR1 Antibody[36674]](https://img1.dxycdn.com/p/s14/2025/0922/359/6146153295428599691.jpg!wh200)


