相关产品推荐更多 >
万千商家帮你免费找货
0 人在求购买到急需产品
- 详细信息
- 文献和实验
- 技术资料
- 免疫原:
Synthetic peptide corresponding to residues near the C terminal of human tyrosine hydroxylase
- 形态:
liquid
- 保存条件:
Store at -20˚C
- 克隆性:
Polyclonal
- 适应物种:
Human
- 保质期:
12 months
- 抗原来源:
Rabbit
- 供应商:
南京赛戈巍生物科技有限公司
- 宿主:
Rabbit
- 应用范围:
IHC
- 靶点:
Uniprot:P07101
- 抗体英文名:
TH Antibody
- 规格:
50ul/100ul
配方:Rabbit IgG in pH7.3 PBS, 0.05% NaN3, 50% Glycerol.
应用详情:Immunohistochemistry: 1:15-1:50
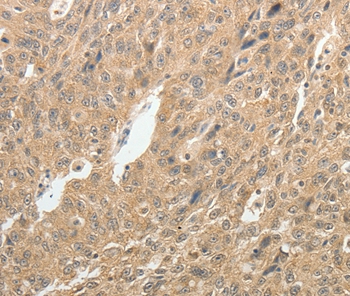
图片:

Immunohistochemical analysis of paraffin-embedded Human tonsil cancer tissue using #37059 at dilution 1/10.
,

Immunohistochemical analysis of paraffin-embedded Human ovarian cancer tissue using #37059 at dilution 1/10.
风险提示:丁香通仅作为第三方平台,为商家信息发布提供平台空间。用户咨询产品时请注意保护个人信息及财产安全,合理判断,谨慎选购商品,商家和用户对交易行为负责。对于医疗器械类产品,请先查证核实企业经营资质和医疗器械产品注册证情况。
文献和实验【请下载】 Molecular Biology of the Gene(5th edition, 2004)
标题:【申请上传】Molecular Biology of the Gene (Watson J.D., et al., 5th edition, 2004) 内容:Molecular Biology 格式:PDF 大小:110 MB 语种:英文 简介:http://www.pearsoned.co.uk/Bookshop/detail.asp?item=300126#Description 位置:老赵一号航母核酸基因技术区/pub/Molecular Biology
人 TH17 酶联免疫 分析( ELISA ) 试剂 盒使用说明书 本试剂仅供研究使用 目的:本试剂盒用于测定人血清,血浆及相关液体样本中辅助信息细胞的 TH17 含量。 实验原理 : 本试剂盒应用 双抗体 夹心法测定 标本 中 人 TH17 水平。用纯化的 人 TH17 抗体 包被微孔板,制成固相 抗 体,往包被 单抗 的微孔中依次加入 TH17 ,再与HRP 标记的 TH17 抗体结合,形成抗体- 抗原 - 酶标
Analysis of Th1/Th2 T-Cell Subsets
Specific immune responses are mediated by activated CD4+ T-helper (Th) cells. Two major subsets, denoted Th1 and Th2, have been identified that are characterized by their distinctive cytokine secretion pattern and associated effector
技术资料暂无技术资料 索取技术资料





![FBXO45 antibody[31960]](https://img1.dxycdn.com/p/s14/2025/0923/305/2150219664296040791.jpg!wh200)
![ASB2 Antibody[36263]](https://img1.dxycdn.com/p/s14/2025/0922/359/6146153295428599691.jpg!wh200)

![TLR4 Rabbit Polyclonal Antibody[54900]](https://img1.dxycdn.com/p/s14/2025/0922/498/0460884283108299691.jpg!wh200)

