相关产品推荐更多 >
万千商家帮你免费找货
0 人在求购买到急需产品
- 详细信息
- 文献和实验
- 技术资料
- 免疫原:
Full length fusion protein
- 形态:
liquid
- 保存条件:
Store at -20˚C
- 克隆性:
Polyclonal
- 适应物种:
Human
- 保质期:
12 months
- 抗原来源:
Rabbit
- 供应商:
南京赛戈巍生物科技有限公司
- 宿主:
Rabbit
- 应用范围:
IHC
- 靶点:
Uniprot:P04275
- 抗体英文名:
VWF Antibody
- 规格:
50ul/100ul
配方:Rabbit IgG in pH7.3 PBS, 0.05% NaN3, 50% Glycerol.
应用详情:Immunohistochemistry: 1:50-1:200
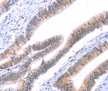
图片:

Immunohistochemical analysis of paraffin-embedded Human colon cancer tissue using #35988 at dilution 1/50.
,

Immunohistochemical analysis of paraffin-embedded Human lung cancer tissue using #35988 at dilution 1/50.
风险提示:丁香通仅作为第三方平台,为商家信息发布提供平台空间。用户咨询产品时请注意保护个人信息及财产安全,合理判断,谨慎选购商品,商家和用户对交易行为负责。对于医疗器械类产品,请先查证核实企业经营资质和医疗器械产品注册证情况。
文献和实验本实验用于vWD的诊断和分型,判断vWF多聚化程度。 (一)vWF抗原的测定 [方法及参考值] 1.Laurell免疫火箭电泳法:61.6%~126.6%。 2.单抗ELISA法:77.9%~137.1%。 3.ELISA法:0.46~1.58U/ml。 [临床意义] 1.vWF:Ag浓度减低,见于vWD,是诊断vWD的重要指标。 2.vWF:Ag浓度增高,见于剧烈运动后、肾上腺素受体被兴奋、妊娠
Generation of Antibody Molecules Through Antibody Engineering
been overcome to a large extent using genetic-engineering techniques to produce chimeric mouse/human and completely human antibodies. Such an approach is particularly suitable because of the domain structure of the antibody molecule ( 2 ), where functional
血管性假血友病因子(vWF)测定: 本实验用于vWD的诊断和分型,判断vWF多聚化程度。 (一)vWF抗原的测定 [方法及参考值] 1.Laurell免疫火箭电泳法:61.6%~126.6%. 2.单抗ELISA法:77.9%~137.1%. 3.ELISA法:0.46~1.58U/ml. [临床意义] 1.vWF:Ag浓度减低,见于vWD,是诊断vWD的重要指标。 2.vWF:Ag浓度增高,见于剧烈运动后、肾上
技术资料暂无技术资料 索取技术资料





![TLR9 Rabbit Polyclonal Antibody[53889]](https://img1.dxycdn.com/p/s14/2025/0922/498/0460884283108299691.jpg!wh200)
![alpha smooth muscle Actin Antibody[35513]](https://img1.dxycdn.com/p/s14/2025/0922/359/6146153295428599691.jpg!wh200)

