相关产品推荐更多 >
万千商家帮你免费找货
0 人在求购买到急需产品
- 详细信息
- 文献和实验
- 技术资料
- 免疫原:
A synthesized peptide of human Cannabinoid Receptor 1
- 形态:
liquid
- 保存条件:
Store at -20˚C
- 克隆性:
Polyclonal
- 适应物种:
Human;Mouse;Rat
- 保质期:
12 months
- 抗原来源:
Rabbit
- 供应商:
南京赛戈巍生物科技有限公司
- 宿主:
Rabbit
- 应用范围:
WB IHC
- 靶点:
Uniprot:O15123
- 抗体英文名:
Angiopoietin 2 Antibody
- 规格:
50ul/100ul
配方:Rabbit IgG in phosphate buffered saline , pH 7.4, 150mM NaCl, 0.02% sodium azide and 50% glycerol.
应用详情:
Western blotting: 1:500-1:2000
IHC dilution: 1:50-1:200
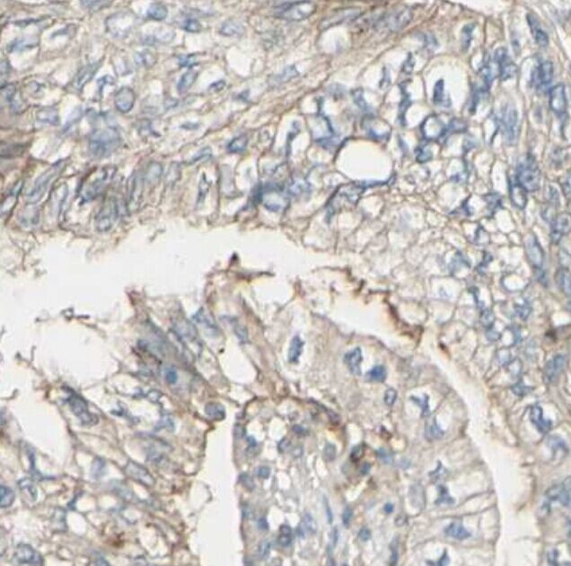
图片:

Western blot analysis of ANG 2 expression in HUVEC cell lysate.The lane on the left is treated with the antigen-specific peptide.
,

Immunohistochemical analysis of paraffin-embedded human breast carcinoma tissue using Angiopoietin 2 Antibody
风险提示:丁香通仅作为第三方平台,为商家信息发布提供平台空间。用户咨询产品时请注意保护个人信息及财产安全,合理判断,谨慎选购商品,商家和用户对交易行为负责。对于医疗器械类产品,请先查证核实企业经营资质和医疗器械产品注册证情况。
文献和实验人血管生成素-1(Angiopoietin-1)ELISA试剂盒 说明书
上海西唐生物科技有限公司 021-55229872, 65333639 www.westang.com 人血管生成素-1 (Angiopoietin-1)ELISA 试剂盒 ( 用于血清、血浆、细胞培养上清液和其它生物体液内 ) 原理 本实验采用双抗体夹心 ABC-ELISA 法。用抗人 Angiopoietin-1 单抗包被于酶标板上,标准品和样品中的
人血管生成素-2(Angiopoietin-2)ELISA试剂盒 说明书
上海西唐生物科技有限公司 021-55229872, 65333639 www.westang.com 人血管生成素-2 (Angiopoietin-2)ELISA 试剂盒 ( 用于血清、血浆、细胞培养上清液和唾液等其它生物体液内 ) 原理 本实验采用双抗体夹心 ABC-ELISA 法。用抗人 Angiopoietin-2 单抗包被于酶标板上,标准品和样品中的
大鼠血管生成素-2(Angiopoietin-2)ELISA试剂盒 说明书
上海西唐生物科技有限公司 021-55229872, 65333639 www.westang.com 大鼠血管生成素 -2(Angiopoietin-2)ELISA 试剂盒 ( 用于血清、血浆、细胞培养上清液和等其它生物体液内 ) 原理 本实验采用双抗体夹心 ABC-ELISA 法。用抗大鼠 Angiopoietin-2 单抗包被于酶标板上,标准品和样品中的 Angiopoietin-2 与单抗结合
技术资料暂无技术资料 索取技术资料





![DIS3L Conjugated Antibody[C29757]](https://img1.dxycdn.com/p/s14/2025/0923/305/2150219664296040791.jpg!wh200)
![SYT16 Antibody[35084]](https://img1.dxycdn.com/p/s14/2025/0922/359/6146153295428599691.jpg!wh200)
![CNN2 Conjugated Antibody[C34522]](https://img1.dxycdn.com/p/s14/2025/0923/278/4431488150116040791.jpg!wh200)

