相关产品推荐更多 >
万千商家帮你免费找货
0 人在求购买到急需产品
- 详细信息
- 文献和实验
- 技术资料
- 免疫原:
Synthesized peptide derived from human MMP-14.
- 形态:
liquid
- 保存条件:
Store at -20˚C
- 克隆性:
Polyclonal
- 适应物种:
Human;Mouse;Rat
- 保质期:
12 months
- 抗原来源:
Rabbit
- 供应商:
南京赛戈巍生物科技有限公司
- 宿主:
Rabbit
- 应用范围:
WB IHC
- 靶点:
Uniprot:P50281
- 抗体英文名:
MMP-14 Antibody
- 规格:
50ul/100ul
配方:Rabbit IgG in phosphate buffered saline (without Mg2+ and Ca2+), pH 7.4, 150mM NaCl, 0.02% sodium azide and 50% glycerol.
应用详情:Western blotting: 1:500~1:3000
Immunohistochemistry: 1:50~1:100
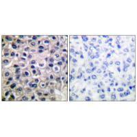
图片:

Western blot analysis of extracts from NIH/3T3 cells, using MMP-14 antibody #33437.
,

Immunohistochemical analysis of paraffin-embedded human breast carcinoma tissue using MMP-14 antibody #33437.
风险提示:丁香通仅作为第三方平台,为商家信息发布提供平台空间。用户咨询产品时请注意保护个人信息及财产安全,合理判断,谨慎选购商品,商家和用户对交易行为负责。对于医疗器械类产品,请先查证核实企业经营资质和医疗器械产品注册证情况。
文献和实验flower1946 菜鸟求助各位大虾,要做miRNA的实验,现已知可以查某个特定miRNA的有哪几个调节靶点,那反过来,如果要查调节某个特定蛋白(如MMP-7)的miRNA,该如何查呢?谢谢! zhujoker 可以使用targscan等软件啊,其实现在很多网站都有了,包括sigma也有一些预测 flower1946 感谢楼上 295546
liteng1117 求助: 构建好了重组腺病毒进行蛋白表达,分子量是14kd,5%的浓缩胶70v,12%,或15%的分离胶110v,跑90min。湿转:100v,90min。封闭用5%的脱脂奶粉,封闭3h(因为背景深,以为封闭久会好些)。一抗1:3000,4度过夜,二抗1:5000,孵育1h,洗膜都是用TBST漂洗15min ×4次。但是显影后背景特别深,虽然可以看见目的条带,但还是有一些非特异性的条带出现,不知道是封闭出问题还是一抗浓度过高。
不能跟上节奏,也可以通过 OneNote 的录音(录像)功能来进行将内容实时地保存到 OneNote 当中。不用担心重要信息的遗漏啦~14. 账号资料云同步只要你记得自己的账号密码,就算是在别的电脑上登录 OneNote,你也可以看到自己账号内所有的笔记资料,不像传统办公软件,所有资料都要保存为本地文件随身携带。尤其是我们一些在工作中常用的资料,记录在 OneNote 就比较方便,只有 OneNote,就不怕忘记带资料这回事。
技术资料暂无技术资料 索取技术资料





![HSPB8 antibody[38413]](https://img1.dxycdn.com/p/s14/2025/0922/359/6146153295428599691.jpg!wh200)
![Semaphorin 4D / CD100 Conjugated Antibody[C57048]](https://img1.dxycdn.com/p/s14/2025/0922/632/2321321568067599691.jpg!wh200)
![Olfactory receptor 11G2 Polyclonal Antibody[41266]](https://img1.dxycdn.com/p/s14/2025/0922/568/0046652811090600791.jpg!wh200)
![TFEB Polyclonal Antibody PE Conjugated[C92310PE]](https://img1.dxycdn.com/p/s14/2025/0922/498/0460884283108299691.jpg!wh200)


