相关产品推荐更多 >
万千商家帮你免费找货
0 人在求购买到急需产品
- 详细信息
- 文献和实验
- 技术资料
- 免疫原:
Synthetic Peptide
- 形态:
liquid
- 保存条件:
Store at -20˚C
- 克隆性:
Monoclonal
- 适应物种:
Hu Rt Ms Mk D Chk Hm Rb Shp Insect Yeast
- 保质期:
12 months
- 抗原来源:
Mouse
- 供应商:
南京赛戈巍生物科技有限公司
- 宿主:
Mouse
- 应用范围:
WB IHC IF
- 靶点:
Uniprot:Q13509
- 抗体英文名:
β-Tubulin Monoclonal Antibody(5G3)
- 规格:
50ul/100ul
计算分子量:55kd
配方:Liquid in PBS containing 50% glycerol, 0.5% BSA and 0.02% sodium azide.
应用详情:Western blotting: 1:500-1:2000
Immunohistochemistry: 1:50-1:200
Immunofluorescence: 1:50-1:100
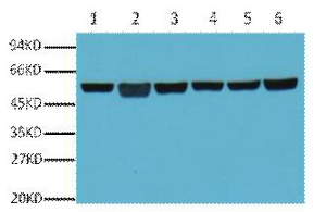
图片:

Western blot analysis of A549 (1), Rat brain (2), Mouse brain (3), Chicken lung (4) and Rabbit testis (5), Sheep muscle (6), diluted at 1:5000.
,

IHC Staining of Human colon tissue, diluted at 1:200.
,

IF analysis of Hela with β-Tubulin Monoclonal Antibody(Left) and DAPI (Right) diluted at 1:100.
风险提示:丁香通仅作为第三方平台,为商家信息发布提供平台空间。用户咨询产品时请注意保护个人信息及财产安全,合理判断,谨慎选购商品,商家和用户对交易行为负责。对于医疗器械类产品,请先查证核实企业经营资质和医疗器械产品注册证情况。
文献和实验Zearalenone (6-[10-hydroxy-6-oxo-trans -1-undecenyl]-β-resorcyclic acid lactone), also known as F-2 toxin, is an estrogenic mycotoxin that is produced by Fusarium graminearum (1 ). This fungus can infect cereal grains and can elaborate
v468 Chapter 7 通过免疫组化来测定β-连环蛋白核定位
. Fig. 7.1. Detection of β-catenin in tissue sections. Immunohistochemical staining of β-catenin in mouse small intestineusing the BD Transduction Laboratories monoclonal antibody #610154. A β-Catenin is visible only at the membrane onthe villus
实验室常见靶基因表达水平检测方法主要集中于在基因转录前调控、转录水平和转录后 mRNA 加工及修饰等过程,合成后靶蛋白质也存在修饰。成熟 mRNA 翻译指导蛋白质合成量分析有多种检测手段,其中最经典和广泛为业界认可是蛋白质免疫印迹杂交实验(Western blotting), 也是论文中最常见的数据呈现形式。蛋白质免疫印迹杂交实验原理是将已分离的总蛋白在 β 巯基乙醇等存在时,高温破坏其三维空间结构充分暴露出抗原结合位点,使针对靶蛋白的抗体能与其结合,再与带有显色标记物(酶)二抗结合,最终
技术资料暂无技术资料 索取技术资料





![PPP1R16A Antibody[39949]](https://img1.dxycdn.com/p/s14/2025/0922/568/0046652811090600791.jpg!wh200)
![Histone H3.3 Rabbit mAb[52335]](https://img1.dxycdn.com/p/s14/2025/0922/498/0460884283108299691.jpg!wh200)
![SSBP4 Conjugated Antibody[C40337]](https://img1.dxycdn.com/p/s14/2025/0923/278/4431488150116040791.jpg!wh200)
![LMO4 Conjugated Antibody[C56820]](https://img1.dxycdn.com/p/s14/2025/0922/632/2321321568067599691.jpg!wh200)
