相关产品推荐更多 >
万千商家帮你免费找货
0 人在求购买到急需产品
- 详细信息
- 文献和实验
- 技术资料
- 免疫原:
Raised against a 15 amino acid peptide from near the amino terminus of human T-cadherin.
- 形态:
liquid
- 保存条件:
Store at -20˚C
- 克隆性:
Polyclonal
- 适应物种:
Human;Mouse
- 保质期:
12 months
- 抗原来源:
Rabbit
- 供应商:
南京赛戈巍生物科技有限公司
- 宿主:
Rabbit
- 应用范围:
ELISA WB IF
- 抗体英文名:
T-cadherin Antibody
- 规格:
50ul/100ul
配方:Supplied in PBS containing 0.02% sodium azide.
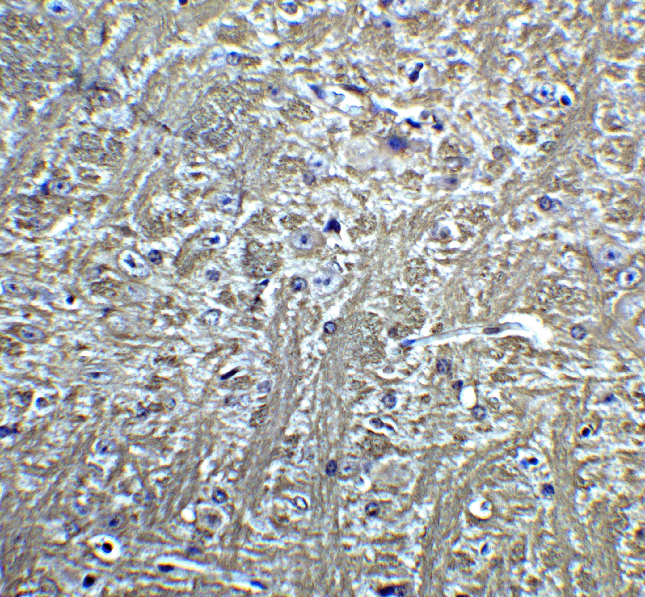
图片:

Western blot analysis of T-cadherin in 3T3 lysate with T-cadherin antibody at (A) 0.5 and (B) 1 ug/mL.
,

Immunofluorescence of T cadherin in mouse brain tissue with T cadherin Antibodyat 20 μg/mL.
,

Immunohistochemistry of T cadherin in mouse brain tissue with T cadherin Antibodyat 5 μg/mL.
风险提示:丁香通仅作为第三方平台,为商家信息发布提供平台空间。用户咨询产品时请注意保护个人信息及财产安全,合理判断,谨慎选购商品,商家和用户对交易行为负责。对于医疗器械类产品,请先查证核实企业经营资质和医疗器械产品注册证情况。
文献和实验网络 四、Cadherin家族 Takeichi最早发现一种介导细胞间相互聚集的粘附分子,在有Ca 2+ 存在时可以抵抗蛋白酶的水解作用,以后又发现两种作用和特性均与其类似的粘附分子,它们的氨基酸序列也有同源性,遂将其命名为Cadherin(Ca 2+
细胞治疗技术正扮演着越来越重要的角色。其中,CAR-T 细胞治疗、间充质干细胞(MSC)治疗以及 T 细胞治疗是三种备受关注的细胞治疗方法。 这些治疗方法通过采集患者体内的特定细胞,经过体外激活、修饰、扩增等步骤,再将这些具有特定功能的细胞移植回患者体内,以达到治疗疾病的目的。为了更好地理解和应用这些治疗技术,下面我们将整合并详细叙述这三种细胞治疗的流程图内容,为研究人员和临床医生提供一个清晰的操作指南。 CAR-T 细胞治疗流程 间充质干细胞治疗流程 T 细胞治疗流程
The Sheep Erythrocyte T-Dependent Antibody Response (TDAR)
The sheep erythrocyte T-dependent antibody Response (TDAR) evaluates the ability of animals sensitized in vivo to produce primary IgM antibodies to sheep erythrocytes (sRBC). The assay enumerates the number of antigen specific IgM antibody
技术资料暂无技术资料 索取技术资料





![SIGLEC11 Antibody[37923]](https://img1.dxycdn.com/p/s14/2025/0922/359/6146153295428599691.jpg!wh200)
![KRT73 Antibody[43544]](https://img1.dxycdn.com/p/s14/2025/0922/568/0046652811090600791.jpg!wh200)
![ARHGEF9 Conjugated Antibody[C34997]](https://img1.dxycdn.com/p/s14/2025/0923/278/4431488150116040791.jpg!wh200)

