相关产品推荐更多 >
万千商家帮你免费找货
0 人在求购买到急需产品
- 详细信息
- 文献和实验
- 技术资料
- 免疫原:
Raised against a peptide corresponding to 13 amino acids near the center of human ATR.
- 形态:
liquid
- 保存条件:
Store at -20˚C
- 克隆性:
Polyclonal
- 适应物种:
Human;Mouse;Rat
- 保质期:
12 months
- 抗原来源:
Rabbit
- 供应商:
南京赛戈巍生物科技有限公司
- 宿主:
Rabbit
- 应用范围:
ELISA WB IHC
- 抗体英文名:
ATR Antibody
- 规格:
50ul/100ul
配方:Supplied in PBS containing 0.02% sodium azide.
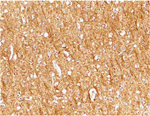
图片:

Western blot analysis of ATR in HepG2 cell lysates with ATR antibody (IN) at (A) 0.5, (B) 1, and (C) 2 ug/mL.
,

Immunohistochemical staining of human brain tissue using ATR antibody at 2 ug/mL.
风险提示:丁香通仅作为第三方平台,为商家信息发布提供平台空间。用户咨询产品时请注意保护个人信息及财产安全,合理判断,谨慎选购商品,商家和用户对交易行为负责。对于医疗器械类产品,请先查证核实企业经营资质和医疗器械产品注册证情况。
文献和实验Identifying Inhibitors of ATM and ATR Kinase Activities
The Ataxia Telangiectasia mutated (ATM) and the ATM and Rad3-related (ATR) proteins function in partially overlapping DNA damage checkpoint pathways that orchestrate the cellular response to DNA damage. Both proteins belong to a growing
A Human Cell Extract-Based Assay for the Activation of ATM and ATR Checkpoint Kinases
The Ataxia telangiectasia -mutated (ATM) and the ATM-Rad3-related (ATR) kinases are master regulators of the DNA damage-signaling pathways that respond to a wide variety of DNA damage. In this chapter, we describe an in vitro biochemical
Generation of Antibody Molecules Through Antibody Engineering
been overcome to a large extent using genetic-engineering techniques to produce chimeric mouse/human and completely human antibodies. Such an approach is particularly suitable because of the domain structure of the antibody molecule ( 2 ), where functional
技术资料暂无技术资料 索取技术资料





![MEF2A (Phospho-Thr312) Conjugated Antibody[C11039]](https://img1.dxycdn.com/p/s14/2025/0923/278/4431488150116040791.jpg!wh200)
![ZNF821 Conjugated Antibody[C31913]](https://img1.dxycdn.com/p/s14/2025/0923/305/2150219664296040791.jpg!wh200)

